Does Invisalign Really Not Hurt?
Do You Have to Have Teeth Extracted?
Doctor, I heard Invisalign hurts less.
Is that true?
And do I need to have teeth pulled too?
These are the questions people ask most often when they first start thinking about orthodontic treatment.
They’ve heard things like, “It hurts less because it’s clear aligners” or “You don’t need extractions with Invisalign,”
but many people still hesitate because they’re not sure what will happen in their own case.

Hello, I’m Oh Su-hwan, Chief Director of SmileD Dental Clinic.
I’m a board-certified orthodontist certified by the Ministry of Health and Welfare with 18 years of experience.
So far, I have completed orthodontic treatment for thousands of patients without a single medical accident.
Today, I’ll explain the two things people who are interested in Invisalign ask about most:
- Does Invisalign really not hurt?
- Do you have to have teeth extracted?
I’ll tell you exactly what I explain during consultations.

Invisalign before-and-after after 8 months of orthodontic treatment
*Treatment period: 2024.04.21 - 2024.12.22
*The before-and-after photos were posted with the patient’s consent and were taken under the same environment and conditions.
*All treatments may involve side effects, so please make decisions after sufficient consultation with a doctor.
[SmileD Dental Clinic Information]
| ☎️ SmileD Dental Clinic Phone Number |
|---|
| 0507-1449-2087 |
| ℹ️ SmileD Dental Clinic Website |
|---|
| Official Website |
| 🎥 SmileD Dental Clinic YouTube |
|---|
| YouTube |
Invisalign pain,
is it really not painful at all?
Let me start with the conclusion.
“Invisalign pain? It hurts much less than wire braces, but it’s not completely painless.”
Invisalign is a clear orthodontic appliance made of a thin, flexible special material,
and it gradually moves the teeth by replacing the aligners every 1 to 2 weeks.

Unlike metal brackets, it doesn’t poke the inside of the mouth or cause sores, so everyday Invisalign pain is minimal.
Because it is removable, it is also convenient for eating and brushing, and there is almost no discomfort when speaking.
However, since the teeth still have to move,
you may feel some pressure or soreness on the day you start wearing a new set of aligners.
(But even that usually becomes easy to get used to within about 2 to 3 days.)

In fact, among patients who worry about Invisalign pain,
most have said things like,
“It's better than I expected. I was worried for nothing because people said it would hurt.”
And we also provide detailed guidance on how to wear and care for the appliance, as well as tips for adjusting your diet,
to help make the adjustment much easier. :)
Invisalign extractions — do you really have to pull teeth?
I think this question needs a more careful answer.
That’s because the key to orthodontic treatment is creating enough space.
The reason teeth are crooked or protruding is usually a lack of space in the jaw.
Depending on how that space is created, extractions may be necessary — or they may not be.
For example, if the case involves mild crowding, slightly spaced teeth, or protrusion that is not severe,
orthodontic treatment can be done without extractions.
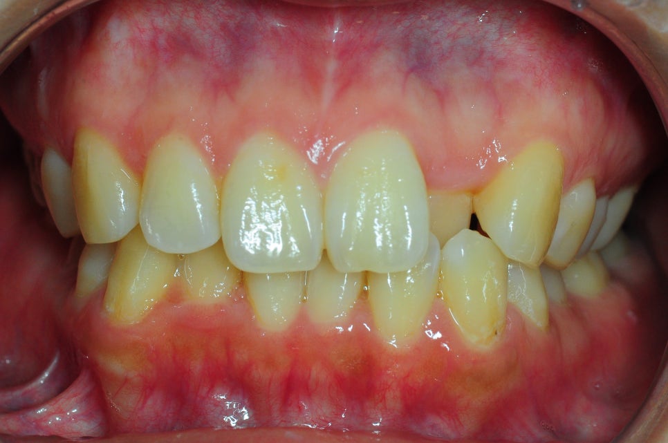
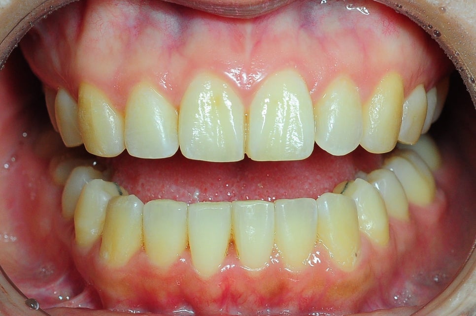
Here’s one example.

As you can see, there is an imbalance in the front-to-back position of the upper and lower front teeth,
and there is also spacing near the right canine.

Some teeth were rotated, and the overall alignment was uneven.
We decided on Invisalign without extractions
- to align the teeth,
- to close the gaps,
- and to guide the bite toward overall balance.

Wearing Invisalign
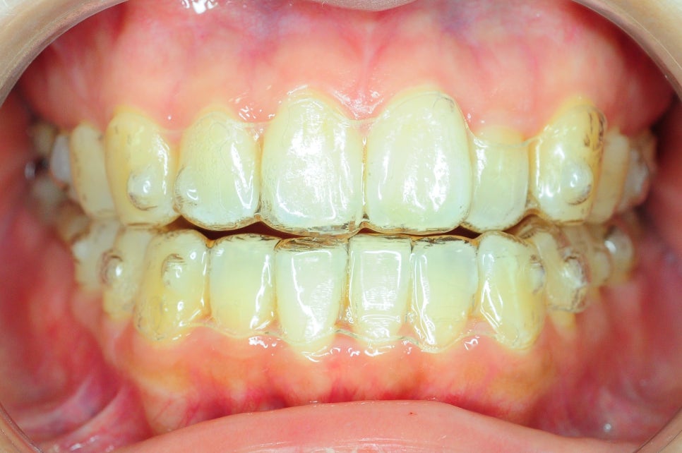
Shall we take a look at the after result?

You can see that the upper and lower front teeth are neatly aligned,
and the spacing between the teeth has been made even.
The upper front teeth are also less protrusive, creating a more natural lip line and bite.
But if the mouth is very protrusive, or if the teeth are large compared to the jawbone,
creating space through extractions may lead to a more stable and harmonious result.
If treatment is forced to proceed without extractions when there is not enough space,
the teeth may become crowded tightly together, and in some cases,
you may see little improvement even after about two years of treatment.
The important thing is,
there is no fixed standard for deciding whether extractions are needed, and different doctors may have different criteria.
When we decide whether to extract teeth, we prioritize non-extraction treatment to preserve natural teeth,
and we make a comprehensive diagnosis that considers not only tooth alignment but also the side profile, jaw size, gum thickness, and degree of protrusion.
We also show you the results of both extraction and non-extraction options visually and explain them,
so that patients can understand and choose for themselves.

Saying we should never extract teeth,
and saying we should always extract teeth
are both inaccurate approaches to orthodontics.
The key is optimal diagnosis that fits each person’s face..
So I recommend checking the treatment style of the clinic you’re considering through its website or reviews,
and seeing how much care they put into diagnosis before choosing.
Invisalign is certainly a more comfortable method than wire braces, and it causes less pain.
It is also highly aesthetic because it is hardly noticeable.
But please keep in mind that not everyone can have a completely painless treatment or avoid extractions.

At SmileD Dental Clinic,
I, an orthodontic specialist with 18 years of experience, personally take responsibility for your treatment from start to finish.
Working together with doctors from multiple departments with more than 10 years of experience,
we provide precise diagnoses tailored to each person’s face and oral structure.
If you have any questions, feel free to make a consultation appointment anytime.
We’ll think through the orthodontic method that best fits you.
This has been Oh Su-hwan, Chief Director of SmileD. Thank you.