Teacher, why do I have to wear rubber bands..?
They’re uncomfortable even when eating
and they’re noticeable too.
This is a question that people undergoing orthodontic treatment often ask at least once.
Especially for those who chose clear aligners, they often hesitate to wear rubber bands for aesthetic reasons.
But in orthodontics, rubber bands are not just an auxiliary tool.
They can be considered a key factor that determines the completeness of treatment.

Hello.
I’m Oh Su-hwan, chief director of Smile D Dental Clinic.
Today, as an orthodontic specialist with 18 years of experience, I’ll explain the questions many people are curious about:
"Why orthodontic rubber bands are needed"
"What the wearing period and precautions are"
"How much popular clear aligner treatment costs these days"
I’ll share them just as I explain them in actual consultations.
[Smile D Dental Clinic Information]
| ☎️ Smile D Dental Clinic Phone Number |
|---|
| 0507-1449-2087 |
| ℹ️ Smile D Dental Clinic Website |
|---|
| Official website |
| 🎥 Smile D Dental Clinic YouTube |
|---|
| YouTube |
Why are orthodontic rubber bands necessary?
What do you think the goal of orthodontic treatment is?
To align the teeth neatly? Of course, that’s correct.
But in addition to a tidy arrangement, functional occlusion,
that is, restoring the function of chewing by making the upper and lower teeth fit together properly, is important.
For example, in the case of deep bite,
- the bite is opened so that the upper teeth do not cover the lower teeth too much,
and
- balancing the dental arch so that the midline does not shift is a key goal of treatment.
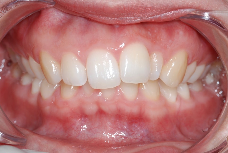
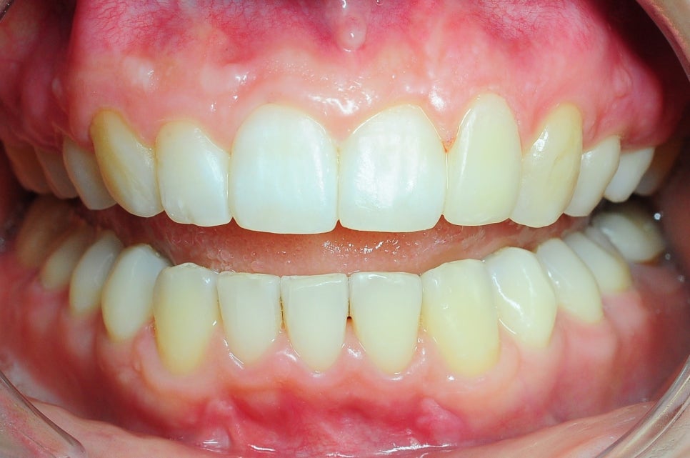
< Before-During-After Deep Bite Treatment >



*Treatment period: 2023.12.27 - 2023.3.16
*Before-and-after photos were posted with the patient’s consent, and were taken under the same environment and conditions.
*All treatments may involve side effects, so please decide after sufficient consultation with a doctor.
However, there are cases where brackets and wires alone, which are the basic appliances, have limitations.
That’s when rubber bands are attached.
These small bands, with strong elasticity, continuously apply force in a specific direction,
helping not only tooth movement but also improvement of the bite.

Removable orthodontics (such as Invisalign) are no exception.
Many people ask, "Don’t clear aligners not need rubber bands?"
But in complex cases such as open bite, deep bite, and asymmetrical bite,
orthodontic rubber bands are also needed with clear aligners.
Attachments are bonded to the teeth,
and hooks are designed on the aligners so rubber bands can be attached.
Although they are less visible from the outside, the orthodontic principle is the same.
How long do you wear orthodontic rubber bands, and do they hurt?
The wearing period for rubber bands usually ranges from 1–2 months to more than 6 months.
This varies depending on the patient’s bite condition, jaw structure, and treatment goals.
When first wearing them, you may feel a pulling sensation from the rubber bands, along with some pain or discomfort.
However, most people say they adapt within 2–3 days.
One thing to keep in mind is the wearing time.


For rubber bands that the patient hooks on themselves,
the orthodontic period can vary depending on how well the daily wearing time is followed.
The rule is to wear them for at least 20 hours a day.
It is best to wear them continuously except during meals and brushing.
If you wear them only at night or inconsistently because they’re bothersome or because you don’t want them to be seen,
something that could have been finished in 2 months may take more than 6 months.

Since orthodontic rubber bands are often used in the final stage of treatment,
please don’t let your guard down at the point when you think, "It’s almost over now..."
I repeatedly ask you to stay strong until the end.
How much do clear aligners cost?
These days, many people look for orthodontic appliances that are not very noticeable.
There are various types, from Invisalign to Clippy-C, and the costs also vary.
To give you a rough average price range, it looks like this:
| Mild (partial front-tooth correction) | In the 2–3 million won range |
|---|
| Moderate (partial alignment + simple bite adjustment) | In the 4–6 million won range |
| Severe (full case including bite correction) | 7 million won to over 9 million won |
However, the exact cost of clear aligner treatment depends on the condition of the mouth, treatment period, and number of appliances needed,
so getting an estimate after an accurate consultation is the most reliable approach.
At our clinic, centered on the chief director with 18 years of experience,
all treatments are carried out in cooperation with specialists who each have more than 10 years of experience.
We help provide customized diagnosis and cost guidance based on the patient’s condition.
Today, we looked at orthodontic rubber bands.
They say even one small habit can make a big difference, right?
Even if wearing rubber bands feels a little uncomfortable, if you push through a little longer,
the completeness of your orthodontic treatment can improve even more. ^^\n
If you have any more questions, feel free to contact us anytime.
This has been Oh Su-hwan, chief director of Smile D Dental Clinic. Thank you.
