Hello.
I’m Oh Su-hwan, the chief director of Smile D Dental Clinic.
To date, I have safely carried out more than 4,000 orthodontic treatments.
Every day, I do my best so that patients can smile brightly without covering their mouths.

I’m so stressed about my inward-tipped teeth.
My mouth shape also looks unnatural,
and my pronunciation seems unclear.
Some people experience these symptoms after orthodontic treatment,
and they are also commonly seen in people who are naturally born with a small or retruded jaw.
However,
when inward-tipped teeth, where the front teeth lean inward,
and deep bite, where the upper teeth excessively cover the lower teeth,
occur together, orthodontic treatment is far from simple.
Today,
✔ what deep bite and inward-tipped teeth are, and
✔ how orthodontic treatment is carried out
I’ll explain it in an easy-to-understand way.
Please read to the end and make a choice you won’t regret. :)
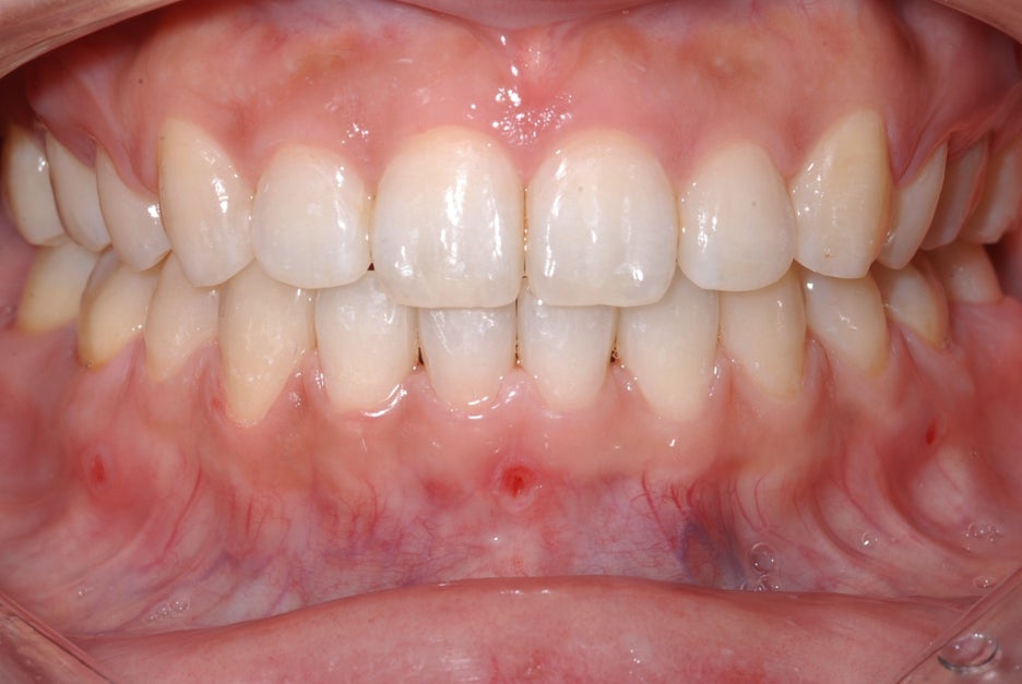
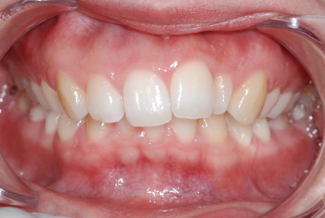
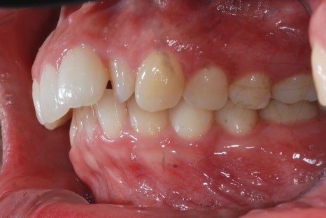
<Before-and-after orthodontic treatment photos>


Treatment period: 23.04.18 - 25.04.23 (about 2 years)
Treatment performed: Improvement of deep bite, protrusion, and dental asymmetry


Treatment period: 23.05.15 - 24.10.21 (about 1 year and 6 months)
Treatment performed: Improvement of crowded teeth and overall alignment


Treatment period: 23.01.18 - 24.6.04 (about 1 year and 6 months)
Treatment performed: Improvement of protrusion and midline alignment
*Before-and-after photos were posted with the patient’s consent and were taken under the same environment and conditions.
[Smile D Dental Clinic Information]
| ☎️ Smile D Dental Clinic phone number |
|---|
| 0507-1449-2087 |
| ℹ️ Smile D Dental Clinic website |
|---|
| Official website |
| 🎥 Smile D Dental Clinic YouTube |
|---|
| YouTube |
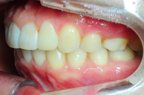
Deep Bite and Inward-Tipped Teeth
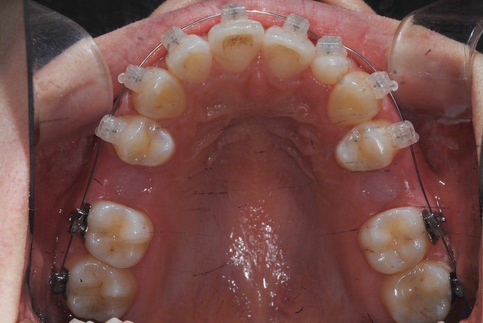
First, inward-tipped teeth refer to a condition where the front teeth lean inward, as shown in the photo below.

Normal teeth are tilted forward by about 15 degrees,
but the defining feature of inward-tipped teeth is that they extend in the opposite direction.
On the other hand, deep bite is a condition in which the upper teeth cover the lower teeth too much.


The lower teeth are barely visible,
and in severe cases, the upper teeth may even touch the lower lip when speaking, causing discomfort.
These two symptoms have different causes, but in reality they often occur together.
They are especially common in structures with a small, retruded jaw, such as a receding chin.
Because the lower jaw is small, the upper teeth may appear relatively protruded,
and within the narrowed dental arch, the teeth are pushed inward, forming inward-tipped teeth,
so these two symptoms can occur at the same time.
In such cases, because the jaw position, bone structure, tooth angulation, and space 확보 method must all be considered comprehensively,
deep bite and inward-tipped teeth correction is regarded as a highly difficult case even among orthodontic specialists.
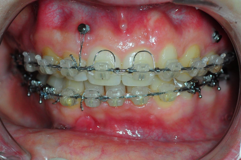
Deep bite + inward-tipped teeth correction is
carried out like this
First, treatment begins by moving the teeth that are overlapping inward (inward-tipped teeth) outward.
However, they should not simply be spread apart at random,
and space must be secured by moving the molars sequentially,
while carefully adjusting the angulation of the front teeth for stable alignment.
In some cases, extraction may be necessary to secure space.

In the case of deep bite, because the upper teeth are excessively covering the lower teeth,
the upper front teeth must be slowly moved upward toward the root direction.
At this time, the roots of the upper teeth are close to the maxillary bone,
so if they are simply lifted, there is a risk of root resorption.
Therefore, first (1) the inward-tipped teeth are straightened properly,
(2) the upper teeth are moved with a counterclockwise rotational movement so the roots are not strained,
and at the same time, the overall bite is readjusted.

These adjustments are never easy without experience.
That’s because you have to calculate the direction, angle, and even the position of the bone where the teeth can move.
It is not something that can be solved simply by attaching brackets and pulling with wires.
If approached incorrectly, the treatment period only becomes longer,
and the inward-tipped teeth may not be corrected properly, which can also negatively affect facial appearance.
In severe cases, it may even progress to buck teeth.
Therefore, if you are planning deep bite and inward-tipped teeth correction,
please talk 충분히 with your doctor and establish a detailed treatment plan.

For reference, at our clinic, I personally, as an 18-year orthodontic specialist and chief director,
am responsible for the entire treatment process from the first consultation to the end.
In addition, specialists with more than 10 years of experience work together in collaborative care to improve the stability of orthodontic treatment.
Before treatment, we begin with an accurate diagnosis by carefully analyzing the patient’s full-face photos, 3D X-rays, and dental model simulations.
Deep bite and inward-tipped teeth correction is a high-difficulty orthodontic treatment that must be approached by comprehensively considering
jawbone structure, tooth angulation, root position, and more.
If you have been concerned about your teeth, you may want to start with a consultation.
To help you regain the smile that suits you best,
Smile D Dental Clinic will start with an accurate diagnosis.
Thank you.
