When your mouth looks very protruded, like mine,
people say surgery is absolutely necessary.
But I really want to avoid surgery..
Over the past 18 years, while resolving more than 4,000 dental issues,
I have handled many cases of protruding mouth correction and underbite correction,
so many people have been visiting us with related concerns.
Of course, there were cases where surgery was necessary.
But I have also seen many protruding mouth and underbite cases that could be sufficiently improved without surgery.
If a case can be solved without surgery whenever possible, it would be better for the patient not to have surgery.
So in today’s post,
I’d like to show you actual cases in which protruding mouths and underbites were improved without surgery.
I’m writing this in hopes that you, too, can have some hope.
[Smile D Dental Clinic Information]
| ☎️ Smile D Dental Clinic Phone Number |
|---|
| 0507-1449-2087 |
| ℹ️ Smile D Dental Clinic Website |
|---|
| Official Website |
| 🎥 Smile D Dental Clinic YouTube |
|---|
| YouTube |
Protruding Mouth Correction
This is how much it can change without surgery

This was a patient who came in saying, “My mouth sticks out too much.”
She was a woman in her mid-20s, and her main concern was that her mouth looked very protruded from the side.
She felt psychologically less confident and even avoided taking photos.
As a result of the diagnosis, there was some skeletal protrusion as well.
The teeth were inclined forward,
and the tension in the soft tissue surrounding the lips made the protrusion look even more pronounced.

In cases like this, it can improve to some extent simply by moving the teeth backward.
Of course, patients have different target outcomes, so some people do want surgery.
But in this patient’s case, since she wanted protruding mouth correction without surgery,
we carried out treatment by moving the teeth backward through extraction orthodontic treatment,
and aligning the balance of the lip line and jawline.


The treatment period was about 2 years,
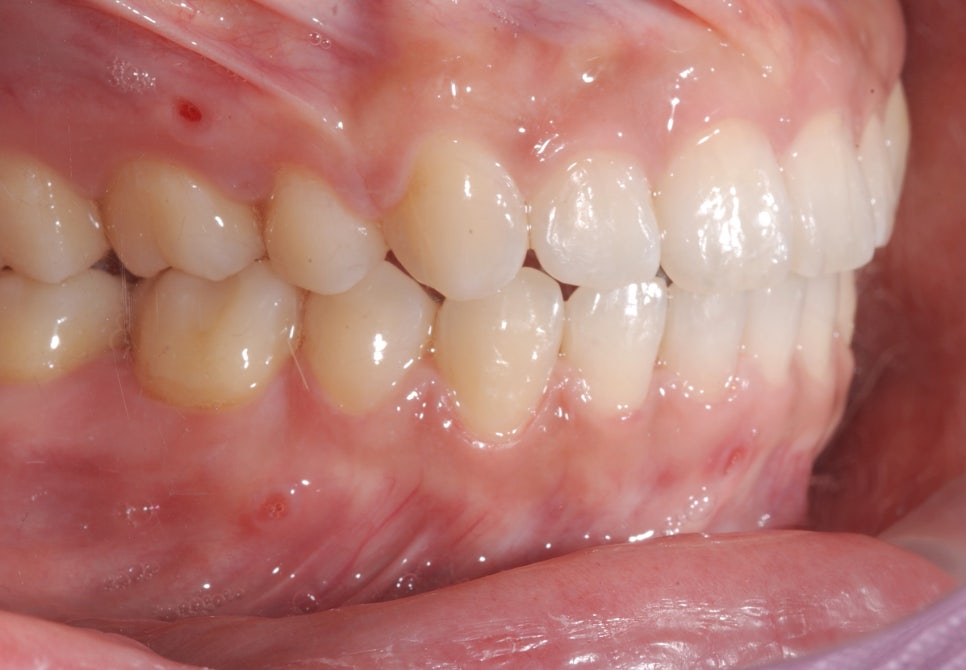
and after treatment, the mouth naturally moved inward, making the side profile much softer and more harmonious.

The X-ray images also show that the protruded mouth improved,
and when comparing before and after protruding mouth correction, you can see that the jawline and lip line are aligned in a more balanced way.
�a


*Treatment period: 2023.01 - 2025.01
*Before-and-after photos were posted with the patient’s consent and were taken in the same environment and under the same conditions.
*All treatments may involve side effects, so please make a decision after sufficient consultation with a doctor.
Above all, the patient was very satisfied, saying, “I didn’t know it could change this much without surgery.”
I was also very satisfied with the treatment outcome. ^^
An underbite does not always require surgery
Now I’ll show you an underbite correction case.
In this patient’s case, the biggest concern was an underbite with the lower jaw developed forward.

As a result of the diagnosis, the teeth were unevenly positioned due to insufficient space,
and because of mandibular overgrowth, the lower front teeth protruded beyond the upper front teeth.
After a detailed analysis of the patient’s facial features, X-rays, and dental arches,
we expanded the shape of the upper and lower arches,

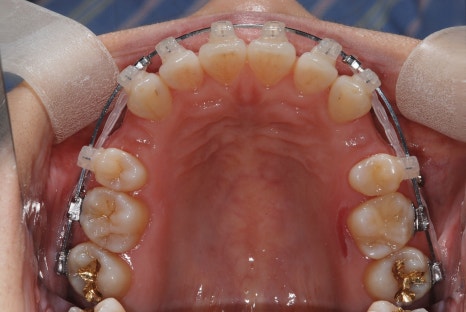
This is what it looks like while wearing the arch expansion device
and performed tooth extraction for backward movement of the lower jaw, moving the lower front teeth backward.
In this process, we also precisely adjusted the occlusion so that the temporomandibular joint would not be strained.
Around 12 months later, the extraction spaces had closed, and you can see that the teeth were moving inward well.

The treatment period was about 1 year and 6 months,
and before treatment, the lower jaw looked more prominent when speaking or smiling,
after treatment, it changed to a much softer and more natural appearance.

*Treatment period: 2023.07 - 2024.12
*Before-and-after photos were posted with the patient’s consent and were taken in the same environment and under the same conditions.
*All treatments may involve side effects, so please make a decision after sufficient consultation with a doctor.
Of course, I cannot say that every case can be treated with orthodontics alone.
In cases where the jaw position itself is severely asymmetrical, or where there is a major skeletal growth abnormality,
there are definitely cases in which surgical orthodontic treatment is necessary.
However, like the protruding mouth correction and underbite correction cases above, through accurate diagnosis and detailed analysis,
if there is an orthodontic treatment option that is possible without surgery, I believe it makes sense to consider that first.
I hope this was a helpful reference for those with similar concerns.
Rather than a place that unconditionally recommends surgery,
I hope you first consult with a place that will open up the possibility of treatment without surgery if it is possible.
If you visit us comfortably,
we will think together about the balance of your face, jaw, and teeth.
Thank you for reading this long post.
This was Oh Su-hwan, Director of Smile D Dental Clinic.
