I brushed three times a day and even gave up coffee,
so why are my teeth still yellow?
It’s so stressful..
Yellow teeth can make you hesitate to smile brightly every time you look in the mirror.
Many people feel that they look unclean, and their confidence drops as well.
One question often comes up from people who come in with these concerns.
"Doctor, would laminates be better? Or should I try teeth whitening first?"
"Whatever I do, I just want to look natural and prettier."

Hello.
I’m dentist Oh Su-hwan, and for the past 18 years, I’ve built trust with my patients without a single medical accident.
Today, for those worried about yellow teeth,
I’d like to look at whether teeth whitening or laminates would be the better fit for you.
Please read to the end, and I hope it helps you choose between teeth whitening and laminates. ^^
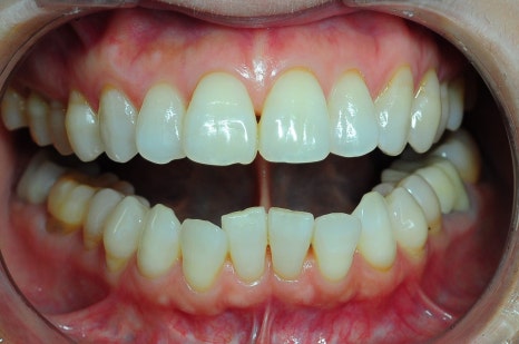
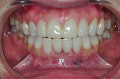
<Before-and-after photos of laminates>


*Treatment period: 25.02.05-25.02.13


*Treatment period: 24.7.02-24.07.11
*The before-and-after photos were posted with the patient’s consent, and the before-and-after photos were taken under the same environment and conditions.
*Side effects such as pain, gum inflammation, and root damage may occur, and these side effects may vary depending on each person’s constitution or condition.
[Smile D Dental Clinic Information]
| ☎️ Smile D Dental Clinic Phone Number |
|---|
| 0507-1449-2087 |
| ℹ️ Smile D Dental Clinic Website |
|---|
| Official Website |
| 🎥 Smile D Dental Clinic YouTube |
|---|
| YouTube |
Teeth Whitening vs. Laminates Review,
Which method is right for me?
If yellow teeth are your concern, most people would probably think of teeth whitening first.
After all, it’s a convenient method that can preserve your natural teeth, so many people prefer it.
Teeth whitening is carried out using professional whitening agents and special light irradiation equipment,
and if needed, it may also be combined with a customized at-home whitening kit that can be used at home.
However, there is one thing you should know.. teeth whitening has the drawback that its effectiveness varies greatly from person to person.
If the tooth color is naturally dark,
or if the discoloration was caused by antibiotics taken in childhood or root canal treatment, whitening alone has its limits.
In cases like this, laminates can be a good alternative.
Laminates involve shaving the outer surface of the tooth,
then attaching a thin ceramic layer shaped like a natural tooth on top.

The advantages are that the brightness and color can be adjusted to your preference,
the effect lasts a long time, and gaps between teeth or crooked teeth can also be improved at the same time.
Seeing is believing, so to show how much can change through laminates,
I’ll show you a real laminate review.

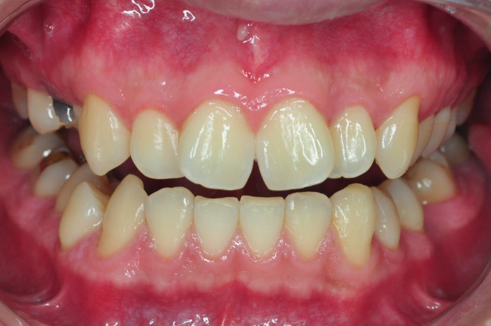
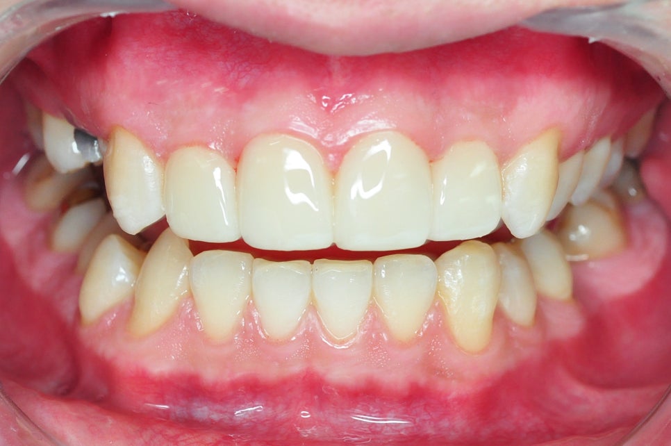
The overall tooth color has a yellowish tint.
The biggest issue is that the right and left front teeth (central incisors) are slightly rotated outward.
So when viewed from the front, they give a crooked and awkward impression.
It almost looks like a door that’s half open ^^;;
These issues are difficult to resolve with whitening alone, which only makes teeth white.
That’s why we chose laminates, which can improve not only whitening but also alignment and shape all at once.

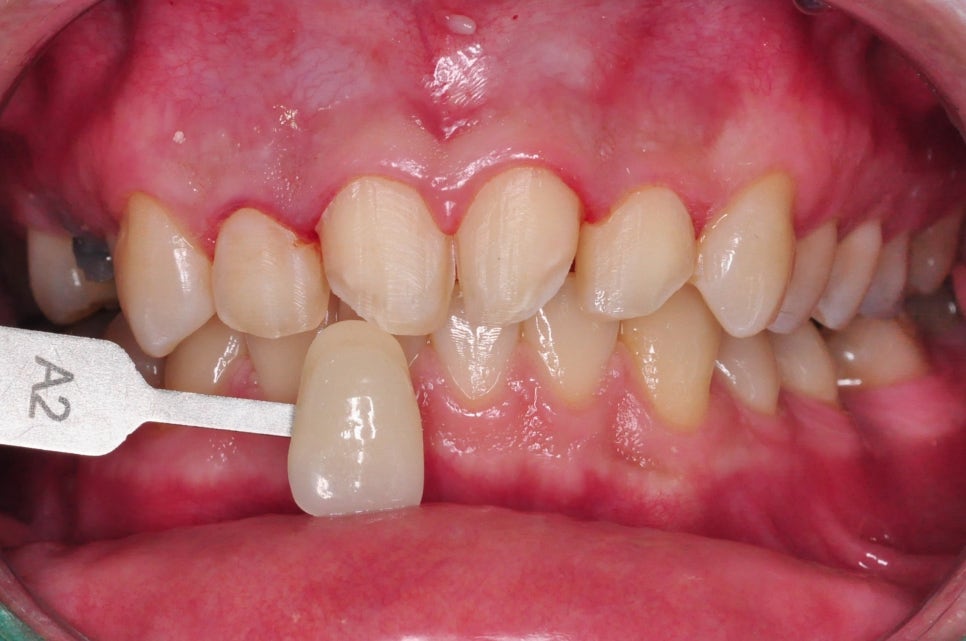
For the asymmetrical central incisors, we carefully removed only the minimum amount from the outer surface,
then attached ceramic that blended well with the tone of the natural teeth.

*Treatment period: 24.7.02-24.07.11
As you can see, the length, angle, and color could all be harmonized,
so you can confirm that a much more natural and balanced front tooth line was completed.
The patient also told us that now they feel they can smile brightly and confidently,
which made this case rewarding for us as well.
Lastly, let me share one important caution..
As you can see from the treatment process, laminates are a procedure that involves removing part of the tooth,
so indiscriminate treatment can actually cause side effects.
Since teeth do not regenerate once they are shaved, only the amount that is truly necessary must be carefully removed,
which is why an accurate diagnosis and plan are essential above all else.
Laminates Review
A good clinic is different in 3 ways
Whether it’s teeth whitening or laminates, I believe the satisfaction with the procedure ultimately depends on the dental clinic you choose.
As a dentist who has operated in the same location for 18 years, I’d like to share 3 tips for finding a good clinic.
First, I hope you check whether enough consultation is provided before the procedure.
If it’s truly a good place, it should perform sufficient diagnosis and consultation before starting the procedure,
and suggest the most realistic and safest method suited to your teeth.

Rather than simply saying, "We’ll do whitening," or "Let’s do laminates,"
a more trustworthy clinic will carefully diagnose the tooth color, shape, gum line, and bite condition,
and fully explain the solution that fits you.
Who performs the procedure is also important.
In particular, laminates can change the impression even with microscopic adjustments of just 0.3-0.5 mm,
so manual skill and aesthetic sense are important.

Please also check whether it is a place where an experienced specialist personally performs the procedure,
creating natural results while minimizing the amount of tooth reduction.
Many people ask, "Which is better?" but there isn’t just one correct answer.
You need to consider tooth condition, color, shape, and lifestyle together.
We listen to each patient’s story,
and our role is to suggest the solution that fits them.
If yellow teeth make you hesitate to smile,
instead of 고민ing alone about laminates reviews or teeth whitening, come in and get a consultation.
We will do our best to provide treatment so your smile can shine.
This has been Oh Su-hwan, head doctor of Smile D Dental Clinic. Thank you.
