The braces are all finished,
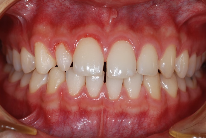
but my front teeth have separated again...
Of course, that can be very stressful.
They are the teeth that are most visible, and if they have opened up again even after adult orthodontic treatment, it can be especially upsetting.
But there is no need to worry too much.
Depending on how much they have separated, sometimes it can be resolved with an adjustment to the retainer only,
sometimes it can be finished with simple prosthetic treatment (resin, laminate),
and only in very severe cases would retreatment be recommended.

Today, at Smile D Dental Clinic, which has treated more than 4,000 orthodontic cases without a single medical accident,
we will explain three solutions for front teeth gaps after adult orthodontic treatment.
<Before-and-after orthodontic treatment photos>
Treatment period: 23.05.15 - 24.10.21 (about 1 year and 6 months)
Treatment performed: improvement of crowded teeth, alignment
Treatment period: 22.05.07 - 24.01.18 (about 1 year and 9 months)
Treatment performed: protrusion, midline improvement
*The before-and-after treatment photos are published with the patient’s consent, and were taken under the same environment and conditions.
[Smile D Dental Clinic Information]
| ☎️ Smile D Dental Clinic phone number |
|---|
| 0507-1449-2087 |
| ℹ️ Smile D Dental Clinic website |
|---|
| Official website |
| 🎥 Smile D Dental Clinic YouTube |
|---|
| YouTube |
Why do front teeth gaps happen again?
There are roughly three common reasons why front teeth gaps recur after adult orthodontic treatment.
Not wearing the retainer consistently
Not enough tooth movement during treatment
A habit of pushing with the tongue (tongue pressure) or cases with narrow interdental space

In fact, just because orthodontic treatment is over does not mean everything is finished.
Even after treatment, teeth have a tendency to slowly move back toward their original positions,
and they need to be managed continuously with a retainer in order to stabilize.
If this is overlooked or left untreated, problems can arise.
That is why I repeatedly emphasize this to my patients.
If you notice even a slight gap, you should visit the dental clinic as soon as possible.
If time passes while the gap remains, it can become fixed in place or the space may widen further.
How can front teeth gaps be resolved?
Depending on the degree of spacing, the solution is largely divided into three types.
If the gap between the front teeth is very slight,
and there are no issues with the overall alignment of the teeth,
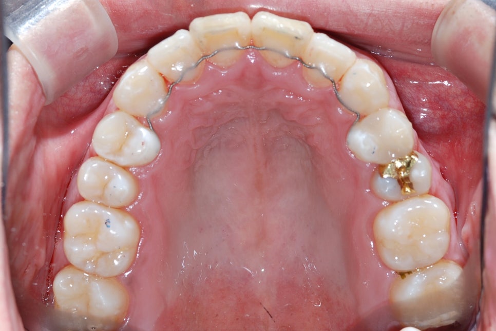
it can be resolved simply by adjusting or remaking the existing retainer.
Retainers are designed to maintain the tooth alignment immediately after orthodontic treatment while also allowing minor adjustments,
so if action is taken early, stabilization can often be achieved without retreatment.
In many of these cases, one or two visits after coming to the clinic and seeing an orthodontic specialist are enough to resolve the issue.
If the space between the teeth is noticeable,
and the cosmetic stress is significant,
it can also be finished with prosthetic treatment such as resin, laminate, or crowns.
Resin is a treatment that fills the gap with a tooth-colored material.
It can be done on the same day, and the advantage is that it does not require shaving down the tooth,
but over time it can discolor or wear down, so periodic maintenance or replacement is needed.

Laminate is a method in which a thin ceramic layer is attached after slightly removing the front surface of the tooth.
Because part of the tooth must be shaved, a more careful decision is needed.
Lastly, a crown is a prosthetic treatment that covers the entire tooth,
and it is recommended when, in addition to the gap, the tooth is badly damaged or its shape itself has been altered.

Which prosthetic option is appropriate depends on the patient’s age, tooth condition, and the patient’s needs.
For reference, we place the highest priority on preserving natural teeth,
so we recommend treatment in a way that minimizes shaving or damage to the teeth as much as possible.
If the gap between the front teeth is 1–2 mm or more,
or if the entire dental arch has collapsed,
retreatment may be necessary.
In that case, we analyze the existing orthodontic data
and determine whether the movement during the initial treatment was insufficient, whether the fixed retainer came off, or whether it was caused by changes in jaw shape or habits,
then provide guidance on the retreatment period and method after an accurate diagnosis.
By the way, we are also sharing how to prevent front teeth gaps
How should you care for them so they do not open again?
Treatment is important,
but preventive care is also essential so that front teeth gaps do not recur.
Just remembering the following four points will help.
- Do not let your guard down about retainers
Retainers are the only means of preventing teeth from returning to their original positions.

Whether fixed or removable, be sure to wear it according to the specialist’s instructions.
If you lose it or it breaks, it is best to come in right away.
- Correct the habit of pushing with your tongue
Surprisingly, many people have an unconscious habit of pushing their front teeth with their tongue.
In particular, when speaking, swallowing, or concentrating, please be mindful not to push the tongue toward the front teeth.
- Interdental care & gum health
People whose teeth separate easily often have weak gums or wide interdental spaces.
Regular scaling, flossing, and using interdental brushes
are also important for keeping the gums and adjacent surfaces healthy.

- Detect issues early through regular checkups
It is a good idea to have an orthodontic specialist check your dental alignment once every 6 months to 1 year.
Because subtle changes are difficult for patients to notice on their own,
being monitored by an expert will certainly help prevent recurrence.

If you leave front teeth gaps untreated,
they may become wider than before orthodontic treatment, and you may end up needing more extensive treatment.
We recommend that you get an early diagnosis and visit when the issue can still be resolved with a small treatment,
so that you can receive an evaluation from a specialist.
If you have any questions, please feel free to consult us at any time.
We will do our best for each and every person’s healthy, beautiful smile.
This has been Smile D Dental Clinic. Thank you.
