치아 교정 비용과 비발치 교정, 꼭 알아야 할 핵심 포인트
I want to get orthodontic treatment...
I'm worried about the cost and extractions.
Over the course of more than 4,000 orthodontic treatments, I have counseled many patients.
The two questions people ask most often are these.
"Doctor, I really want orthodontic treatment, but the costs vary so much that I don't know where to go."
"I'm afraid of extractions and don't like them. Do I really have to have them?"

Hello.
I am a Ministry of Health and Welfare-certified orthodontic specialist who has been practicing orthodontics for more than 18 years.
That means I have listened to the concerns of many patients and personally treated thousands of cases.
If you have decided to get orthodontic treatment, there are many things to worry about, not just the cost.
Whether extractions are needed, the length of treatment, aesthetics, and more can all be concerns.
Today, I will focus on two of the issues many people keep worrying about on their own.
That is, orthodontic treatment costs and whether non-extraction orthodontics is possible.
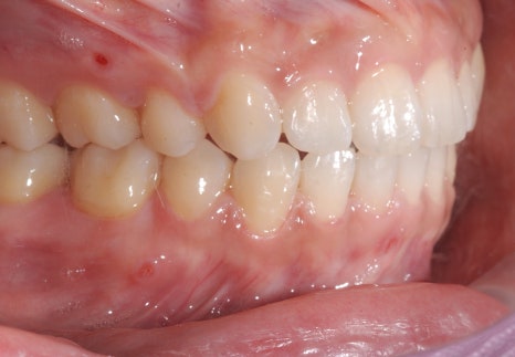
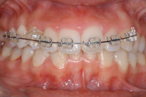
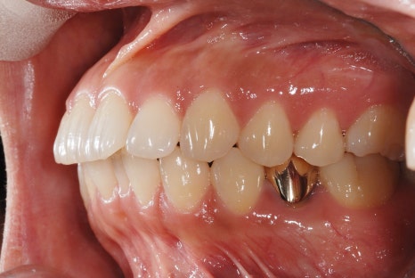
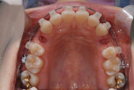
<Before-and-after orthodontic treatment photos>


Treatment period: 23.05.15 - 24.10.21 (about 1 year and 6 months)
Treatment performed: crowded teeth, alignment improvement


Treatment period: 23.01.18 - 24.6.04 (about 1 year and 6 months)
Treatment performed: protrusion, midline improvement
*The before-and-after photos were posted with the patient's consent and were taken in the same environment and under the same conditions.
[Smile D Dental Clinic Information]
| ☎️ Smile D Dental Clinic Phone Number |
|---|
| 0507-1449-2087 |
| ℹ️ Smile D Dental Clinic Website |
|---|
| Official website |
| 🎥 Smile D Dental Clinic YouTube |
|---|
| YouTube |
Orthodontic treatment costs,
why do they differ from clinic to clinic?
The first thing to say is,
Orthodontic treatment costs vary widely depending on the case, appliance, and treatment method.
On average, full orthodontic treatment costs about 3.5 million to 8 million KRW,
clear aligner treatment (Invisalign) costs 5 million to over 10 million KRW,
and partial orthodontic treatment is generally in the 1.5 million to 3 million KRW range.
There is quite a wide variation... so why is there such a big difference?
There are several reasons, but I think it can be explained mainly by three factors.
<1> Depending on which orthodontic appliance is chosen
Metal brackets are the least expensive, while ceramic and self-ligating brackets are slightly more expensive.
Invisalign has a higher appliance cost to begin with,
and because additional precision analysis and simulation costs are included, it is the most expensive option.


**For the characteristics of each appliance, please refer to the post below.
<2> Depending on treatment difficulty
If the degree of malocclusion is severe, or if the position of the jawbone also needs to be adjusted,
or if gum treatment or cavity treatment is needed before or after orthodontic treatment,
the treatment process becomes more complex, which can increase the cost.


<3> Depending on the expertise of the medical staff and the follow-up care system
Whether it is a clinic that specializes in orthodontics, how carefully it provides regular follow-up care,
and whether retainers after treatment are included can also change the overall package cost.

Cheaper is not always better, and more expensive does not always mean better results.
Before comparing orthodontic treatment costs,
I believe it is much more important to know exactly what treatment you need and choose accordingly.
Can non-extraction orthodontics really be done?
"Can orthodontics be done without extractions?"
This is another question I hear very often.
If possible, of course you would want to preserve your natural teeth and receive orthodontic treatment without extractions.
In fact, non-extraction orthodontics is often possible in cases like the following.
-
When there is enough jawbone space relative to tooth size
-
When teeth are only slightly crowded or slightly misaligned
-
When the protrusion is not severe and the lips are not pushed forward
-
When the problem can be solved with partial orthodontic treatment
However, non-extraction orthodontics is not possible for everyone.
Depending on the treatment goals, facial balance, and the condition of tooth alignment, cases that require extractions should also be carefully considered.
For example, extractions may be necessary in cases like the following.
-
When the jaw is narrow relative to tooth size and there is not enough space
-
When the mouth is protrusive or the correction range is wide due to jaw position issues
-
Moderate to severe malocclusion


Even in these cases, if you insist on non-extraction treatment no matter what, the alignment may improve,
but the teeth may tip outward and the protrusion may look more severe,
or the bite may become unstable and lead to temporomandibular joint problems.
That is why, after a precise diagnosis,
I always show the difference in outcomes between non-extraction and extraction orthodontic treatment through simulation,
and then explain everything thoroughly before helping the patient make a decision.
Extraction is not something that is "always bad," and orthodontic treatment costs do not have to be "always cheap."
There is no single correct answer in orthodontic treatment.
You need a customized solution that fits the patient's priorities, facial shape, bite condition, and budget.
That is why we carefully analyze the patient's oral condition to create the optimal treatment plan
and provide transparent information on the total orthodontic cost without hidden additional fees.
Our policy is to explain everything thoroughly so the patient can make the choice themselves.


We will help you find a treatment plan that perfectly fits your teeth and facial shape,
so if you have any questions, please feel free to contact us.
This has been Oh Su-hwan, Chief Director of Smile D Dental Clinic. Thank you.
