Doctor, my front teeth keep bothering me.
I want to smile beautifully.
Many of the patients who visit us with concerns about their front teeth say things like this.

“My front teeth look dull in color and the shape isn’t very pretty, so
I keep covering my mouth with my hand when I smile.
I also end up keeping my lips tightly closed in photos.”
If your confidence drops every time you smile because of the color or shape of your teeth,
cosmetic prosthetic treatment may be worth considering.
However, simply covering the teeth with a pretty material is not enough to solve the problem.
For cosmetic prosthetics, careful consideration of function, design, and occlusal stability is necessary.
That is how you get a result that is truly natural and long-lasting.
Today, based on my 18 years of clinical experience combining orthodontics and cosmetic prosthetics at Sinsa Station Dental Clinic,
I’ve put together the key points you should know. :)
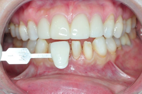
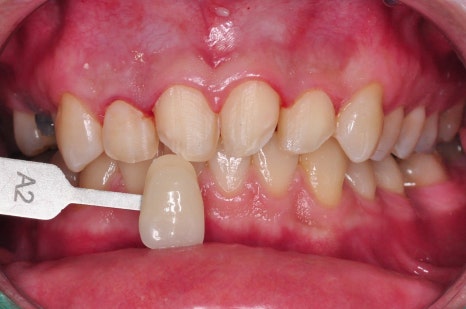
<Before-and-after laminate photos>

*Treatment period: 25.02.05-25.02.13

*Treatment period: 24.7.02-24.07.11
*The before-and-after photos were posted with the patient’s consent, and the before-and-after photos were taken under the same environment and conditions.
*Side effects such as pain, gum inflammation, and root damage may occur, and such side effects may vary depending on an individual’s constitution or condition.
[SmileD Dental Clinic Information]
| ☎️ SmileD Dental Clinic Phone Number |
|---|
| 0507-1449-2087 |
| ℹ️ SmileD Dental Clinic Website |
|---|
| Official website |
| 🎥 SmileD Dental Clinic YouTube |
|---|
| YouTube |
What is cosmetic prosthetics?
Cosmetic prosthetics are, as the name suggests, prosthetic treatments that also take aesthetics into account.
They usually refer to crowns or laminates.
If the front teeth are slightly spaced apart or tilted, or if a tooth is chipped,
or if an old cavity treatment left a gold crown that stands out,
cosmetic prosthetic treatment can naturally restore the teeth’s original color, shape, and position.
(Front) 2024.5.22 (Back) 2024.5.31
*The before-and-after photos were posted with the patient’s consent, and the before-and-after photos were taken under the same environment and conditions.
*Side effects such as pain, gum inflammation, and root damage may occur, and such side effects may vary depending on an individual’s constitution or condition.
However, you should not think of this as a treatment where you just place something on and you are done.
The important thing is that the overall balance has to be harmonious.

First, when doing front tooth prosthetics, you need to look at the smile line.
This means checking how naturally the upper lip and the line of the teeth match when smiling.
You also need to design it harmoniously by considering the length, color, translucency, gum line, and even the shape of the face.
That is what makes it look natural rather than awkward.
How can you avoid failure?
Tip from the Sinsa Station Dental Clinic director
In actual consultations with patients,
there are many people who say,
“I had prosthetic treatment before, but I wasn’t happy with it.”
“It stands out too much, so I’m even more conscious of it.”
Let me summarize a few explanations that I always give patients during consultations.
First, you need to accurately understand the condition of your own teeth.
Every tooth is different.
Even when doing the same crown treatment, you need to first consider the condition of the gums, the bite relationship, and the gum line.
That is why we do not automatically recommend cosmetic prosthetics to first-time patients.
We first perform a precise diagnosis, and only recommend minimal prosthetics when necessary.

The need for coordination with orthodontics should definitely be considered.
If the teeth are crooked or the angle is tilted,
no matter how beautiful the prosthetic is, the light reflection may not match and it can look awkward.
This becomes even more noticeable, especially when light comes in directly from the front while smiling.
In cases like this, rather than forcing the correction through prosthetics,
if you align the tooth framework first with orthodontics and then proceed with prosthetic treatment,
you can preserve a more natural look and significantly reduce the amount of tooth reduction needed.
These days, short-term partial orthodontic treatment is also possible,
so it is a good idea to check whether orthodontic treatment is needed before prosthetics.
It is also better to minimize tooth reduction.
To do prosthetic treatment, it is true that part of the tooth needs to be shaped.
But the problem is when too much is removed.
If too much is reduced, the tooth may become sensitive, or in severe cases, root canal treatment may be necessary.
Since once a tooth is shaved down it cannot be restored, it is better to take a preservation-centered approach.

Being only very white is not the answer.
Making teeth pure white like those of celebrities on TV can actually look awkward in real life.
What matters much more is choosing a shade that blends well with your face, skin tone, and neighboring teeth under natural light or indoor lighting.
That is why, when selecting a color,
we compare the tooth model and color samples directly and decide together with the patient.

You should also pay attention to post-procedure care.
Prosthetics are, in the end, consumable items.
Regular scaling, brushing habits..
If you consistently take care of them, you can use them well for 5 years, 10 years, or more.

The goal of cosmetic prosthetics is not simply to make beautiful teeth.
It is about finding a natural smile that harmonizes with your face and that you can feel satisfied with...
I think that is the true value of cosmetic prosthetics.
If you have felt uncomfortable every time you smile because of your teeth, you are welcome to receive a consultation comfortably.
Just checking your current condition alone
will be a great help in organizing future treatment directions and options.
This has been Oh Suhwan, the head doctor of SmileD Dental Clinic at Sinsa Station. Thank you.