Doctor, can’t I have the implant placed right after pulling the tooth today?
This is a question we hear very often.
If you need implant surgery, most people have probably wondered about this at least once.
Especially when a tooth hurts or is loose and you want to remove it right away,
it naturally leads to the concern, “Then should I come back a few days later to get the implant?”
Because you still have to go to work and also worry about appearance or eating,
it is natural to ask, “Can’t everything be done in one visit?”
To get straight to the point,
yes, there are cases where immediate placement is possible, meaning the extraction and implant placement are done at the same time.
However, this does not apply to every case.
Today, I’ll explain in simple terms when immediate placement is possible in implant surgery,
what to watch out for,
and who may be a candidate.
< Some implant treatment cases >


Treatment period: 23.12.25 - 24.6.28
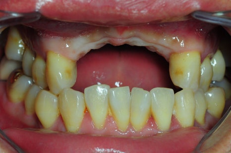
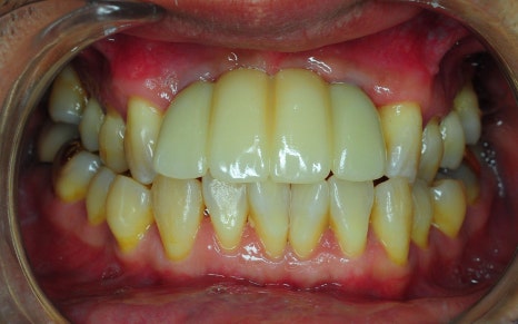
Problem tooth location: upper anterior region


Treatment period: 24.11.3 - 24.12.3
Problem tooth location: tooth #46

Treatment period: 22.5.27 - 23.2.14
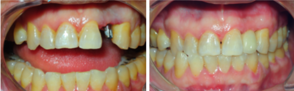
Problem tooth location: tooth #22

Treatment period: 21.6.23 - 22.4.8
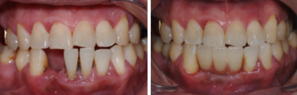
Problem tooth location: lower anterior region
[Smile D Dental Clinic Information]
| ☎️ Smile D Dental Clinic Phone Number |
|---|
| 0507-1449-2087 |
| ℹ️ Smile D Dental Clinic Website |
|---|
| Official website |
| 🎥 Smile D Dental Clinic YouTube |
|---|
| YouTube |
Is there someone who can get an implant on the same day?
There is.
Normally, after a tooth is extracted for an implant,
implant placement is commonly performed after the gums and bone have healed to some extent (about 2 to 3 months).
However, these days, if the bone condition and infection status at the extraction site are acceptable,
immediate placement, where the implant is placed on the same day, is also performed often.

When is it possible?
First, the gum bone (bone tissue) must be sufficient and healthy.
Because an implant is a surgery that is “fixed into the bone,”
the bone needs to be firm and have enough volume for same-day placement.

Also, the gum condition must be acceptable.
If there is severe periodontal disease, pus, or a cyst, the inflammation must be removed first and healing time is needed.
Finally, the area must allow good initial stability after immediate placement.
In particular, in areas such as the lower front teeth or molars, where bone density is high and stable fixation is possible,
success rates for immediate placement after extraction are high.

So, in what cases should it be avoided?
People with severe inflammation at the extraction site or significant bone loss
People whose systemic conditions, such as diabetes or osteoporosis, are not well controlled
People with strong bad habits such as smoking or teeth grinding
In these cases, rather than forcing an implant to be placed on the same day,
it is safer in the long term and leads to better results to place it after bone grafting or gum management once the area has stabilized.
Even if placement is done at the same time as extraction,
the results may differ
Many people ask, “If it’s done on the same day, it hurts less and finishes faster, so isn’t that better?”
That’s true.
If the situation allows, immediate placement, where the implant is placed at the same time as extraction, clearly has several advantages.
The treatment period is shorter, and the number of surgeries is reduced, so it is less burdensome for the patient.

But that also means it requires thorough planning, the clinician’s experience, and sound judgment.
That’s because implant surgery is not something that can be done simply by “placing it in that spot.”
To determine whether immediate placement is possible, we need to consider the amount and density of the alveolar bone at the extraction site,
as well as the space created after extraction, so a three-dimensional analysis is essential.

That is why, before every implant surgery, we perform a precise analysis,
and conduct a pre-surgical simulation to determine at what angle and in what position the implant should be placed.
We do not look at the bone alone; we also consider facial shape, bite, gum line, and prosthetic design,
so that we can plan implant surgery for a natural and long-lasting result.
In this process, doctors from different specialties with more than 10 years of experience collaborate.
Because multiple perspectives come together, a more complete decision can be made,
and the surgical outcome can only become more precise.


“Immediate placement,” where an implant is placed right after extraction, is certainly an attractive option for patients.
But the important thing is to receive an accurate diagnosis of whether you are a suitable candidate for this procedure.
That’s because forcing the procedure can actually lead to worse results, and you may have to deal with discomfort for a long time.
Convenience from finishing everything in one visit is nice...
but please remember that the truly good treatment is an implant that stays healthy and functions naturally for a long time.
We are currently checking the patient’s condition and the state of the jawbone precisely,
and explaining in detail whether immediate placement after extraction is possible, along with its advantages and disadvantages.
If you have more questions or would like a consultation, please feel free to contact us anytime.
This has been Smile D Dental Clinic. Thank you.
