Doctor, my front teeth are a bit yellow,
and I’m also bothered that they stick out slightly.
Would laminate veneers or teeth whitening
be effective?
Recently, as interest in aesthetic treatments for improving appearance and image has grown,
more and more people have been considering no-prep laminate veneers or one-day teeth whitening.
You may also be wondering about concerns like these:
“Won’t they shave off a lot of tooth structure?”
“Is it really possible to get that white in just one day?”
“Does no-prep laminate veneer really mean no tooth reduction at all?”

Hello.
I’m Oh Suhwan, a dentist who has operated SmileD Dental Clinic at a single location near Sinsa Station for 18 years.
These days, you often see words like “no-prep,” “one-day,” and “natural teeth as they are” on the internet and social media.
Because these expressions can be somewhat exaggerated or misleading, it’s important to understand them accurately.
Today, based on what I actually explain during consultations,
the reality of no-prep laminate veneers and one-day teeth whitening, as well as realistic alternatives, I’ll explain in detail.
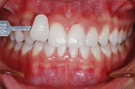
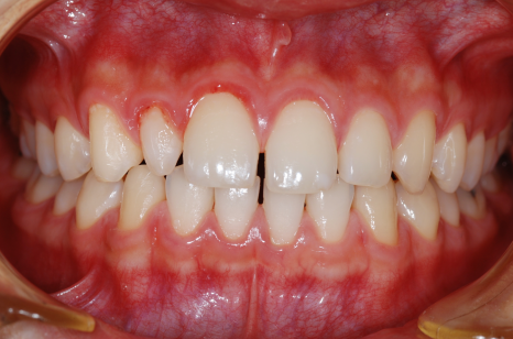
<Before-and-after photos of laminate veneer and teeth whitening>

*Treatment period: 24.7.02-24.07.11

*Treatment period: 24.9.7-24.10.12
*The before-and-after photos were posted with the patient’s consent and were taken in the same environment and under the same conditions.
*Side effects such as pain, gum inflammation, and root damage may occur, and these side effects may vary depending on the individual’s constitution and condition.
[SmileD Dental Clinic Information]
| ☎️ SmileD Dental Clinic Phone Number |
|---|
| 0507-1449-2087 |
| ℹ️ SmileD Dental Clinic Website |
|---|
| Official website |
| 🎥 SmileD Dental Clinic YouTube |
|---|
| YouTube |
No-prep laminate veneers,
can they really be done without shaving off any tooth structure?
These days, the term “no-prep laminate veneer” is used very frequently.
If you’re told that beautiful veneers are possible without shaving off any tooth structure, anyone would be tempted.
But when I consult patients, I often explain it like this:
“In reality, cases where laminate veneers can be done without touching the teeth at all are very rare.”
Only when the teeth are really small, slightly set inward, or have spaces between them (what we call peg-shaped teeth)
can restorations be placed without reduction and still look natural without feeling foreign.
In most cases, laminate veneers require at least about 0.2–0.3 mm of tooth reduction.

What happens if that is not done?
There may be a strong sense of something being in the way, the mouth may look more protruded from the side,
the color may look uneven, or the line may appear rough.
In fact, when no-prep treatment is forced too far,
there are often patients who later come back to have it removed or redone.

(Actually, in the medical field, the term “no-prep” is often avoided.)
That’s why I always explain the extent and limits of tooth reduction in detail to my patients.
One-day teeth whitening,
can teeth really become bright white in a single day?
This is another question I hear often.
“Doctor, I have an important event next week. Can they get white in just one day?”
It may be possible. But it does not apply to everyone.
One-day teeth whitening is a whitening method that aims to achieve the maximum brightness possible in a single visit.

Usually, office whitening using a laser or a special light source is performed, and the procedure takes about 1 to 1.5 hours.
But there is also a premise here.
If the original tooth color is very dark,
or if there is long-standing staining or tetracycline staining,
it is difficult to expect a dramatic change in one day.
Also, sensitivity may appear temporarily right after the procedure,
and to maintain the effect, aftercare and, in some cases, additional whitening may be necessary.
In other words, it is not guaranteed that your teeth will become life-changingly white in just one day.
But if you approach it with realistic expectations,
it can be a good option for achieving satisfying results before an important event.

Veneers without shaving the teeth, whitening that brightens in one day.
Just hearing the words makes it sound dreamy and perfect.
But in reality, it is not a method that applies to everyone.
Whether it is veneers or whitening, what matters is
making a customized plan according to the condition and structure of your teeth,
and the degree of change you want.
That is why in the clinic, we always say:
“First, we’ll accurately diagnose the condition of your teeth and, if needed, guide you through the possible range with minimal reduction or a no-prep approach.
It’s better to avoid an approach that says there will be absolutely no reduction or that it will be finished in one day.”

If you were wondering whether no-prep laminate veneers or one-day teeth whitening are possible for you,
or which method would be less burdensome while still effective, feel free to come in for a consultation.
We’ll think it through with you so you can protect your teeth as much as possible and still find a beautiful smile. ^^
This has been Oh Suhwan, chief director of SmileD Dental Clinic. Thank you.
