I had orthodontic treatment for more than two years...
But my front teeth are gapping again.
I completed orthodontic treatment well and wore my retainer,
but after a few months, many people come to us saying it seems the gap between their front teeth has opened up again.
They often tell us that their pronunciation feels slightly airier,
or that the gap between their front teeth stands out every time they take a photo, which makes them feel self-conscious and upset.
We fully understand the embarrassment and disappointment you feel in those moments.
On top of that, it can be even more confusing because it is hard to tell whether this is a situation that requires retreatment,
or whether it can be resolved with adjustment alone.
So today, I’ll explain step by step why front teeth gaps after orthodontic treatment happen so often, how they are treated,
and whether clear aligners can still be effective in these cases.

Ah, I’m late with my introduction.
I am Oh Su-hwan, a Ministry of Health and Welfare-certified orthodontic specialist,
and I have been running Smile D Dental Clinic at Sinsa Station for 18 years.
Since this is a summary written by a dentist who has performed more than 4,000 orthodontic treatments, including retreatment cases,
I believe it will definitely be helpful if you read until the end.
<Before-and-after orthodontic treatment photos>

Treatment period: 23.05.15 - 24.10.21 (about 1 year and 6 months)
Treatment performed: Crowded teeth, alignment improvement

Treatment period: 22.05.07 - 24.01.18 (about 1 year and 9 months)
Treatment performed: Protrusion, midline improvement
*The before-and-after treatment photos were published with the patient’s consent and were taken in the same environment and under the same conditions.
[Smile D Dental Clinic Information]
| ☎️ Smile D Dental Clinic phone number |
|---|
| 0507-1449-2087 |
| ℹ️ Smile D Dental Clinic website |
|---|
| Official website |
| 🎥 Smile D Dental Clinic YouTube |
|---|
| YouTube |
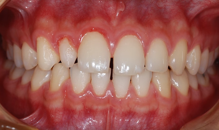
Gaps in the front teeth after orthodontic treatment,
why do they happen?
In fact, gaps in the front teeth after orthodontic treatment are not all that rare.
They can occur years after treatment ends, or even during the early retention period within six months.
There are three main reasons.

<1> Insufficient retainer wear
Right after orthodontic treatment ends, the teeth go through a settling process.
This is called the seating period (usually 6 months), and if retainer wear is insufficient or irregular during this time,
the front teeth may begin to spread apart due to the force trying to return them to their original position.
In particular, because the front teeth are structurally prone to developing gaps,
even being without the retainer for just a few hours a day can make the gap noticeable quickly.
<2> Tongue-thrusting habit
Another major cause of gaps in the front teeth is the habit of pushing the tongue toward the front teeth.
This often happens unconsciously while sleeping or even while speaking, without the person realizing it.
The tongue is a stronger muscle than many people think, so
if it continuously pushes against the front teeth, the alignment can break down.


<3> Structural jaw issues
The third reason front teeth gaps develop is a more structural issue.
Cases where the upper jaw is large and the lower jaw is small
cases where a person was born with naturally wide spaces between the front teeth
cases where orthodontic treatment was completed without bringing the tooth roots together
In these cases, it may be difficult to keep the teeth alignment stable with just one round of orthodontic treatment.
In particular, if the root angles are not adjusted sufficiently,
the front teeth are more likely to spread apart again over time.

<4> Gum changes with age
As people get older, the jawbone that supports the teeth naturally becomes thinner,
and in some cases, the spaces between the teeth gradually widen.
Because this can happen even years after orthodontic treatment,
regular observation and management are needed so that the tooth alignment does not change.
How to fix gaps in the front teeth
The treatment direction when the front teeth have gapped is
based on three points:
"How much has it opened up"
"Has the overall alignment shifted?"
"What caused the recurrence?"
Only after diagnosing these three things can we determine whether simple adjustment will be enough,
or whether retreatment is necessary.
<1> Retainer adjustment
If the gap is less than 0.5 mm and the alignment is relatively stable,
it is often resolved by adjusting the retainer or making a new one.
However, habits such as tongue thrusting must also be corrected at the same time to prevent recurrence.

<2> Esthetic restorations (resin, laminate veneer)
If there is only a slight gap between the front teeth and the patient wants a quick cosmetic improvement,
gap filling with resin or laminate veneers can be one option.
However, if the teeth themselves are structurally spaced apart,
the functional stability may be limited with restorations alone, so this must be judged carefully.

<3> Retreatment
If the gap between the front teeth is more than 1 mm, or if the tooth alignment has become distorted after orthodontic treatment,
realigning it with orthodontics is the cleanest method.
However, if you want the retreatment to be completed as discreetly as possible, clear aligners are probably something you have considered.
Clear aligners are especially suitable in cases like these:
when you do not want fixed wire braces
when you want to re-adjust only part of the front teeth
when aesthetic concerns are significant, such as for office workers or students


| 💰 How much do clear aligners cost?Partial clear aligners: average 800,000 to 1.5 million KRWFull clear aligners: average 2.5 million to 4.5 million KRWThe price of clear aligners varies depending on the number of appliances used, the scope of treatment, and the level of difficulty. Compared with wire braces, the cost is higher, but many people prefer them because they can restore both aesthetics and function. ^^ |
Gaps in the front teeth can lead to speech issues, food getting stuck, and tooth movement.
Above all, they can cause major aesthetic stress.
If you are worried about a gap, please do not struggle with it alone and get an accurate diagnosis first.
If needed, we can check it directly for you.
We will help you smile confidently again with your front teeth. ^^\n
So far, this has been Oh Su-hwan, the head doctor of Smile D Dental Clinic. Thank you.
