Because your parents are older,
and repeated treatment is difficult,
is same-day implant possible?
I heard someone said the implant was finished in one day.
Is that really true?
If you need an implant, you would naturally hope the treatment period would be short.
So when you hear the term “same-day implant,” it is hard not to be intrigued.
You may also feel hopeful, thinking, “Can implant surgery really be finished in just one day?”
In some cases, people do receive implant surgery and even temporary teeth on the same day,
but this does not apply to everyone, so it is important to first understand the exact concept and the criteria for application.
I will personally explain when it can be applied,
and what you must check before surgery, as a dentist with 18 years of experience.

I should introduce myself first.
I am Oh Soo-hwan, the chief director of Smile D Dental Clinic, and I have been running the clinic in one place near Sinsa Station for 18 years. ^^
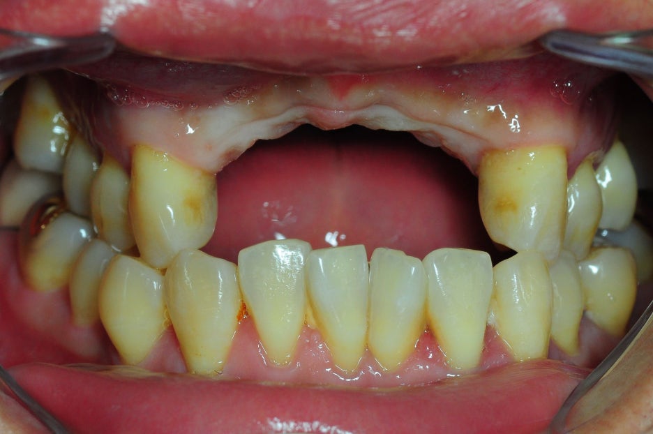
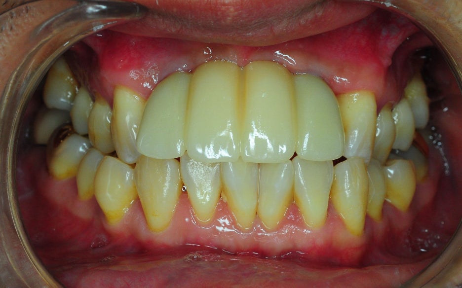
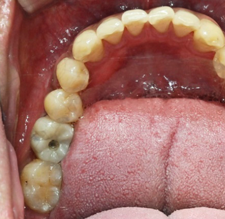
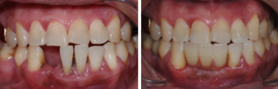
< Some implant surgery cases >


Treatment period: 23.12.25 - 24.6.28
Problem tooth location: maxillary anterior region


Treatment period: 24.11.3 - 24.12.3
Problem tooth location: tooth no. 46

Treatment period: 22.5.27 - 23.2.14
Problem tooth location: tooth no. 22

Treatment period: 21.6.23 - 22.4.8
Problem tooth location: mandibular anterior region
[Smile D Dental Clinic Information]
| ☎️ Smile D Dental Clinic phone number |
|---|
| 0507-1449-2087 |
| ℹ️ Smile D Dental Clinic website |
|---|
| Official website |
| 🎥 Smile D Dental Clinic YouTube |
|---|
| YouTube |
What is same-day implant?
In general, implant surgery proceeds through the following steps.
-
Extraction of the problematic tooth
-
Recovery of the gums and alveolar bone (about 2–3 months)
-
Implant placement
-
After placement, waiting another 2–3 months for osseointegration, when the bone and implant fuse
-
Once osseointegration is confirmed, the final prosthesis (crown) is attached
In other words, standard implant surgery usually takes at least 4 to 6 months in total.
In some cases, it can take more than a year.

By contrast, same-day implant shortens this treatment process,
and refers to a method in which implant placement and temporary prosthesis attachment are performed on the same day.
In other words, it is a method in which a temporary tooth that can be used for chewing is made on the day of surgery.

However, this method does not apply to just anyone.
If the tooth has already been extracted, or if there is no inflammation and an implant can be placed immediately after extraction,
if the height and thickness of the gum bone are sufficient so that the implant can be fixed without bone grafting,
if overall oral hygiene is good and surgery is not limited by systemic disease or medication use,
if the implant site is in a location where strong biting force is not concentrated, such as a molar area, or if occlusion can be sufficiently adjusted,
it is only possible in specific cases like those above.

At this time, the prosthesis used in same-day implant is a temporary tooth,
and after a certain period of time, it is replaced with the final prosthesis after confirming osseointegration.

In other words, strictly speaking, even with same-day implant, not all treatment is completely finished in one day.
Placement and temporary prosthesis attachment are possible on the day of surgery, but that is only the first stage of recovery.
That said, because it allows quick recovery of appearance and basic chewing function,
it can certainly be a big advantage for busy office workers or people with many social commitments.
If you are wondering whether placement and temporary prosthesis attachment are possible on the same day,
please visit comfortably, receive a detailed diagnosis of your current oral condition, and find out whether it can be applied.
How to receive same-day implant without problems
You should look for a place like this
Same-day implant is not a treatment in which simply placing the implant quickly is what matters.
It is a treatment that is possible only when accurate diagnosis, thorough planning, and skilled surgery are all in place.
If these are insufficient,
the implant may not settle properly, or complications may occur after surgery.
That is why I always tell patients this.
“If you are considering same-day implant, please check these two things.”
First, a clinic with at least 00 years of implant surgery experience
Implants are ultimately a surgery performed by human hands, no matter how much the technology advances.
In particular, same-day implant requires judging the condition of the jawbone, occlusion, and surrounding teeth all at once,
so experience is truly important.
I have also been performing implant surgery for 18 years,
and I deeply feel that no two patients are exactly the same.
However, if the medical team has consistently performed implants for more than 10 years,
there is likely accumulated know-how for various cases, so you can trust them with post-treatment management as well.


Second, a place where the medical team does not change from consultation to treatment and follow-up care
Same-day implant finishes the first stage of treatment in one day,
but if you include the process of checking whether the bone is attaching well afterward and replacing it with the final prosthesis,
the treatment requires management over several months.
If the medical team changes during this process,
it is difficult to accurately carry forward what has already been done,
and it is not easy to respond quickly if an unexpected problem arises.
A place where the person who helped with the initial consultation takes responsibility for the entire treatment until the end,
I believe that is the most basic condition for completing implant treatment stably.
Implant surgery: accuracy matters more than time.
If it is carried out forcefully without an accurate diagnosis,
problems such as loss due to insufficient implant stability or inflammation can occur,
so careful and thorough examination is absolutely necessary.
“Are you wondering whether your condition allows same-day implant?”
“Or if repeated visits are difficult, or you want a faster recovery”
please start with a personalized diagnosis that matches your own dental condition.
This has been Oh Soo-hwan, chief director of Smile D Dental Clinic. Thank you.
