The dental resin I had done before
has gradually turned yellow, and I feel so upset.
Many people have come to us with this concern.
When teeth become discolored, or old resin turns yellow, it naturally lowers your confidence when you smile.
It can even make you reluctant to meet people.
That said, even when people think about laminates, many hesitate to decide because they worry about the cost.
In fact, cosmetic dental treatment is not something to judge by cost alone.
You also need to consider which treatment is best suited to you, and how easy it will be to maintain.
Today, I’ll talk realistically about laminate costs,
and explain in detail the problem of dental resin discoloration and how to solve it.
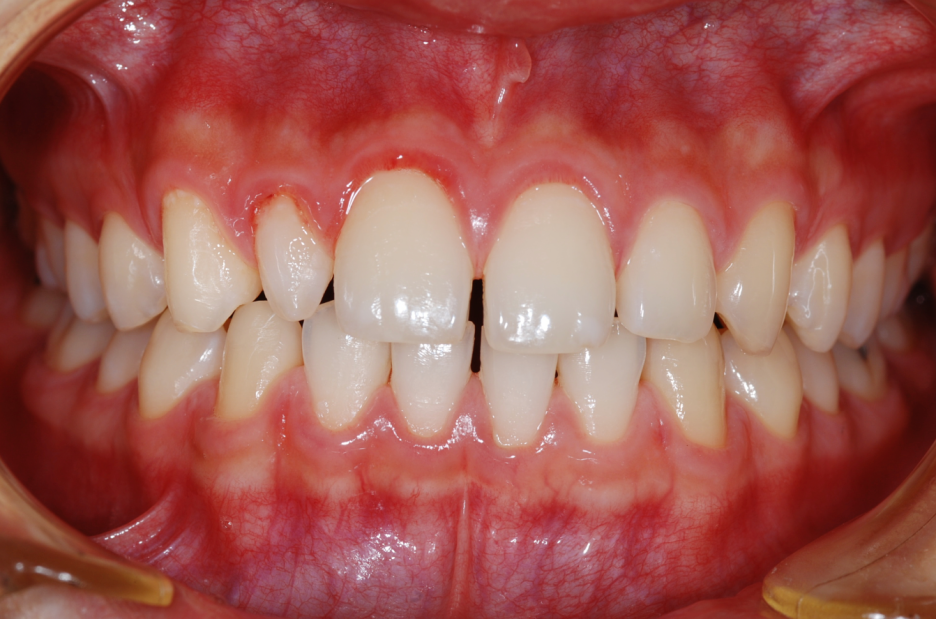
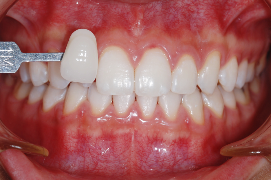
<Before-and-after photos of laminate teeth whitening>


*Treatment period: 24.7.02-24.07.11


*Treatment period: 24.9.7-24.10.12
*The before-and-after photos were published with the patient’s consent, and were taken in the same environment and under the same conditions.
*Side effects such as pain, gum inflammation, and root damage may occur, and these side effects may vary depending on the individual’s constitution or condition.
[Smile D Dental Clinic Information]
| ☎️ Smile D Dental Clinic phone number |
|---|
| 0507-1449-2087 |
| ℹ️ Smile D Dental Clinic website |
|---|
| Official website |
| 🎥 Smile D Dental Clinic YouTube |
|---|
| YouTube |
Tooth resin discoloration,
why does it happen?
When a small cavity forms on the front teeth or a tooth chips, many people simply fill it with resin.

It has the advantages of being quick and economical, but it also has one critical drawback.
That is, it can discolor over time.
The reason tooth resin discoloration happens is that
resin is not a material that is as hard as teeth or one that does not change color.

In particular, people who frequently consume staining foods and smoke, such as coffee, black tea, and cigarettes, are bound to experience discoloration faster.
Also, if you brush too hard or frequently consume acidic foods and drinks,
the surface of the resin becomes microscopically rough, making pigments easier to absorb.
That is why, if care is neglected, many people are surprised to find it has turned yellow before they know it.
That said, there is a limit to simply applying more resin over and over.
This is because old resin loses its adhesion and may come off,
or the boundary between the resin and the tooth can open up, increasing the risk of decay.
Therefore, discolored resin should not simply be “coated over” again.
Depending on the situation, it is better to replace it with a new restoration or consider a more durable treatment that is more resistant to discoloration.
Laminate costs, pros and cons,
and how to choose appropriately
Laminates are a treatment that improves the color and shape of teeth by attaching a thin ceramic shell to the outer surface of the tooth.

Laminate costs are relatively high and the treatment period is somewhat longer,
but the advantages are that discoloration is minimal and maintenance is relatively easy.
In general, laminate costs vary widely depending on the material, the clinic’s location, and the difficulty of the treatment.
Typically, they range from several hundred thousand won to over one million won per front tooth.
We often get asked, “Then what’s better, resin or laminates?”
Resin’s major advantages are that it is inexpensive and can be treated immediately.
However, its risk of discoloration and durability are both inferior to laminates.
Although laminates require a higher initial cost,
they are durable and do not change color, so in the long run they tend to provide higher satisfaction.
Because it depends on the patient’s condition,
we may recommend laminates in cases where tooth discoloration is severe or the shape is badly damaged,
or when someone is stressed by frequent resin replacements.
However, because laminates are performed by shaving the tooth and placing a structure on top,
only the necessary amount must be removed with great care.

If too much enamel is removed, there is a risk of accidentally affecting the nerves and causing tissue damage.
If that happens, not only can pain occur, but the oral cavity itself can become weaker,
which is why it is important to meet skilled medical professionals.
At our clinic, when performing laminate treatment,
we minimize the amount of tooth reduction and make fine adjustments through digital equipment,
and doctors with more than 10 years of experience work together to ensure precise treatment.
Since careful diagnosis and technical skill are necessary for long-term satisfaction,
we strongly recommend receiving a full consultation from medical staff who are experienced and provide cautious treatment.
Tooth resin discoloration and laminate costs are concerns many people relate to.
That is because many people lose confidence in their smile due to discolored resin,
and many cannot easily decide on treatment because of laminate costs.
However, cosmetic dental treatment is not only about cost,
but also about considering long-term satisfaction and health together.
If you are stressed by discolored resin or are 고민 about laminates,
the best thing to do is not to keep postponing it, but to visit a nearby dental clinic and get a consultation.
If you have any more questions or would like a consultation, please feel free to contact us anytime.
This has been Smile D Dental Clinic. Thank you. :)
