Crooked teeth correction? Is it possible with partial orthodontics or without extraction?
When I smile, one of my upper front teeth overlaps,
so can I just correct that one tooth?
Instead of full orthodontic treatment,
is partial correction, where only the crooked tooth is slightly adjusted, also possible?
This is one of the most common questions asked by patients who visit us because of crooked teeth.
Many people consider orthodontic treatment because they dislike the appearance of overlapping front teeth,
but they hesitate because full orthodontic treatment feels like too much, or because they are reluctant if extraction is needed.
So for front teeth that are slightly visible when smiling, or when only one or two upper front teeth overlap,
most people come in hoping, “Can’t this just be corrected simply and partially?”

Today, I’d like to talk about exactly that question.
Can crooked teeth really be corrected with partial orthodontics?
Can it be resolved without extraction?
If you focus for just 3 minutes, you’ll be able to take away the information you need. :)
I’m a little late introducing myself.
I am Oh Soo-hwan, the chief director and orthodontic specialist with 18 years of experience.
I have carried out more than 4,000 orthodontic treatments without a single accident. ^^

<Before-and-after orthodontic treatment photos>

Treatment period: 23.05.15 - 24.10.21 (about 1 year and 6 months)

Treatment period: 23.01.18 - 24.06.04 (about 1 year and 6 months)

Mr. Kim Byung* Treatment period: 23.01.17 - 24.12.07 (about 2 years)
*The before-and-after photos were published with the patient’s consent, and the before-and-after photos were taken under the same environment and conditions.
[Smile D Dental Clinic Information]
| ☎️ Smile D Dental Clinic Phone Number |
|---|
| 0507-1449-2087 |
| ℹ️ Smile D Dental Clinic Website |
|---|
| Official website |
| 🎥 Smile D Dental Clinic YouTube |
|---|
| YouTube |
The position of the crooked tooth determines the scope and method of treatment
Crooked teeth are teeth that are not aligned neatly and overlap, protruding outward or inward.
They often occur in the front teeth area that stands out when smiling (the anterior teeth),
and in most cases, they happen because there is not enough space for the teeth to erupt.
At this point, the most important thing is the position of the crooked tooth.

✔ If only one front tooth overlaps slightly and the gums and dental arch are healthy
crooked teeth can be corrected with partial orthodontics.
In this case, treatment without extraction is often possible,
and the treatment period is relatively short, around 6 months.
✔ If crooked teeth are present symmetrically on both sides, or have shifted toward the canine area
then it is often not simply a matter of insufficient space,
but rather a case where the overall dental arch is narrow or the alignment is more complex.
In such cases, full orthodontic treatment is recommended rather than partial orthodontics,
and depending on the situation, extraction may be necessary to secure space.
In other words, even if it looks like a simple case of crooked teeth,
an accurate diagnosis and treatment plan require checking the condition of the gum bone, jaw bone, and bite relationship through CT or scans.


What conditions are needed for non-extraction or partial orthodontics?
Many people are most concerned about whether
full orthodontic treatment is needed, or whether extraction is necessary.
If possible, they want to correct only the crooked teeth slightly,
and everyone feels the same way about wanting to preserve their natural teeth without extraction.
However, whether that is possible depends on the condition of each person’s dental arch.
✔ Cases where non-extraction orthodontics is possible
When there is a little extra space around the crooked teeth
and the gum bone is relatively sufficient compared to the size of the teeth
and the canine or molar bite is stable
if these conditions are met, there is room to create space without extraction,
and the teeth can be slightly moved outward or backward to align the crooked tooth.

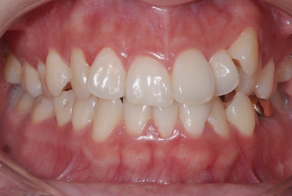
The patient above also came to see me with a crooked tooth that protruded slightly outward.
Because the dental arch was somewhat irregular but the crooked tooth was not severe,
we carried out 1 year and 6 months of non-extraction Clippy-C orthodontics.

Treatment period: 23.05.15 - 24.10.21 (about 1 year and 6 months)
✔ Cases where partial orthodontics is possible
When the problem is limited to a localized issue involving about 2 to 4 front teeth
and the crooked tooth does not significantly affect the overall bite
especially if only one front tooth overlaps and it is visible only when smiling,
satisfactory results can be achieved with partial orthodontics using clear aligners or small appliances.
A crooked tooth does not mean that everyone needs full orthodontic treatment or extraction.
In fact, among the patients who came in because of crooked teeth correction,
more than half are cases that can be sufficiently resolved with non-extraction or partial orthodontics alone.
On the other hand, even if it looks like a simple crooked tooth,
if the gum bone is weak, if the teeth are large compared to the jaw bone, or if there are bite problems,
partial orthodontics alone may not be enough, and the entire set of teeth may need to be rearranged.
The treatment direction is decided after thorough consultation based on CT and scans.
We always first consider a treatment method that matches the patient’s daily life and desired direction,
and if necessary, we also guide patients through full orthodontic treatment.
If you are considering crooked teeth correction, please feel free to visit us for a consultation.
This has been Smile D Dental Clinic. Thank you.