Invisalign dentistry: what about this place? Read this before asking
People who come in for an initial consultation often ask the same question.
My friend did Invisalign, and it worked out well.
Would it work for me too?
I’ve heard it’s definitely more comfortable than braces,
but does it work just as well?
Invisalign is a treatment with clear advantages.
However, it is not a one-size-fits-all answer for everyone.

Because suitability can vary depending on tooth alignment, skeletal structure, and bite condition,
it is most important for an experienced orthodontic specialist to make a careful judgment.
Today, for those considering Invisalign treatment,
I’ll explain just two points about
“what criteria you should use to choose an Invisalign dentist if you want to avoid regrets.”

Hello.
I am Oh Su-hwan, the chief director of Smile D Dental Clinic,
which has been providing orthodontic care without any accidents for 18 years near Sinsa Station in Gangnam.
As an orthodontic specialist, I am sharing this based on my experience treating more than 4,000 orthodontic cases,
so I hope you read carefully and find it helpful in choosing an Invisalign dentist.
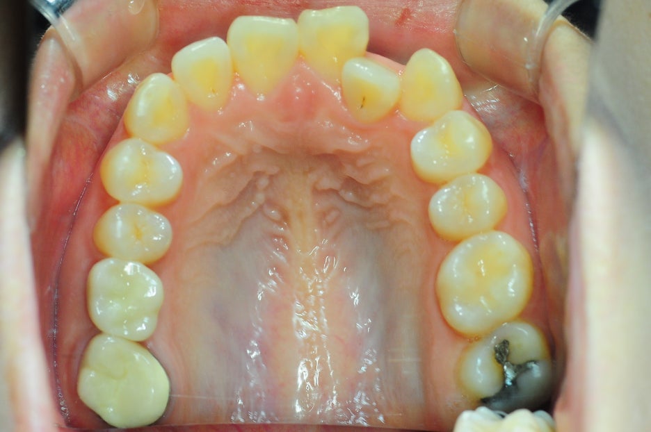
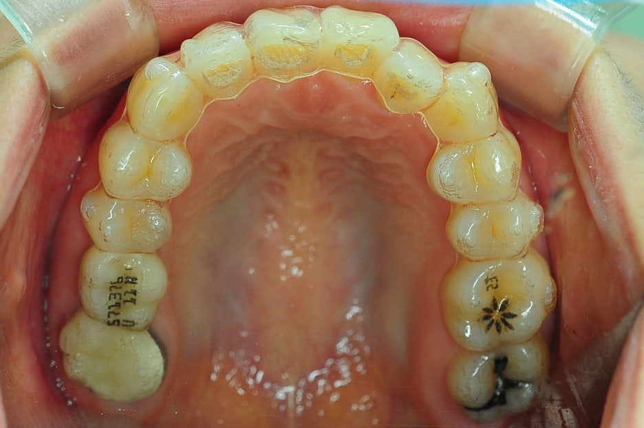
< Some Invisalign treatment cases >


Kim Byeong* treatment period: 23.1.17 - 24.12.07 (about 2 years)


Jo Gyeong* treatment period: 24.09.02 - 25.03.04 (about 1 year and 6 months)


Treatment period: 24.12.13 - ongoing
*The before-and-after photos were posted with the patient’s consent, and the before-and-after photos were taken under the same environment and conditions.
[Smile D Dental Clinic Information]
| ☎️ Smile D Dental Clinic phone number |
|---|
| 0507-1449-2087 |
| ℹ️ Smile D Dental Clinic website |
|---|
| Official website |
| 🎥 Smile D Dental Clinic YouTube |
|---|
| YouTube |
Invisalign dentistry?
The results depend on precision
The most important thing when starting Invisalign treatment is
how precisely it was planned from the beginning.
With braces, the medical staff can directly observe tooth movement and make adjustments each time you come in for a visit,
but Invisalign works by moving the teeth while sequentially replacing the appliances that were made once in advance.

So if the initial setup is wrong,
it is difficult to correct midway, and the treatment period may become longer or the outcome may be disappointing.
That is why we also use a 3D oral scanner to precisely scan the patient’s oral structure,
and based on that data, we design in fine detail the direction
and speed at which the teeth should move.
If even a 0.1 mm error occurs in this process, it may not be noticeable right away,
but as those tiny errors accumulate, the treatment period may become longer,
or the teeth may not move in the expected direction.
Invisalign appliance worn
And I think this kind of precision comes from experience.
Once you have designed appliances hundreds or thousands of times, you learn in advance how to reduce errors
and where problems are likely to occur.
As I have been doing Invisalign treatment for a long time,
I have gradually become able to notice even the small details I used to miss at first,
and I can personally feel that the accuracy of appliance fabrication itself improves.
So if you are considering an Invisalign dentist,
I recommend looking at the depth of experience as well—how much treatment the clinic has done and how carefully it has been done.

A clinic that recommends Invisalign unconditionally
should be examined carefully
Sometimes this happens.
Before properly checking the condition inside the patient’s mouth,
some places say, “Invisalign will be more than enough.”


Of course, Invisalign is indeed an excellent orthodontic method.
However, it is not a universal answer that can be applied equally to every tooth alignment and every oral structure.
For example, if the lower jaw is severely protruded,
tooth is deeply impacted in the bone, or there is an imbalance in the temporomandibular joint,
braces may be more effective than Invisalign.
Or, a combination of the two methods may produce a more stable result.


That is why we always start with a diagnosis.
It is not, “Let’s do Invisalign because it is comfortable and transparent,”
but rather, we must first ask, “Is this really the best treatment method for this patient?”
I hope you keep this in mind when choosing a dental clinic.
Rather than deciding simply because Invisalign is available,
make sure to check whether the clinic explains the treatment method that suits your condition properly.
We first provide people coming in for an initial consultation with a precise diagnosis based on a 3D scan, tooth model simulation, and more,
and then explain whether Invisalign is an appropriate case.
And if it is possible, we also explain how it can be designed,
and if there are limitations or it is not possible, we also guide you through other alternatives.
If you are also considering Invisalign,
please start with this question: “Is this treatment method really a good fit for my teeth condition?”
A dental clinic that sincerely thinks through that question with you can only lead to good results naturally.
If you have any questions, please feel free to make a consultation appointment anytime.
From diagnosis to results, we will guide you without regret.
