Resin for front-tooth gaps vs. laminate veneers for front-tooth gaps, which is more natural?
It feels like my front teeth are getting more and more separated..
How can I close the gap naturally?
When speaking or smiling, the front teeth are usually the first area people notice.
However, some people feel that gaps between the front teeth cause lisping or make their appearance look less balanced.
Especially in important moments like taking photos, job interviews, or blind dates, it’s only natural to pay even more attention to it.

But once you decide to get treatment and start searching,
- “When the gap between the front teeth is open, it’s best to close it with resin”
- “No, you should cover it with laminate veneers from the start if you want it to last”
Because there is such a wide range of information about treatment methods,
many people end up unsure about exactly what criteria to use when choosing.
So today, as a dentist with 18 years of experience, I’ve put the related information together for you.

What are the differences between resin for front-tooth gaps and laminate veneers for front-tooth gaps?
And if you want a natural-looking treatment, which option should you choose?
I think knowing this in advance will help you make a choice you won’t regret. ^^
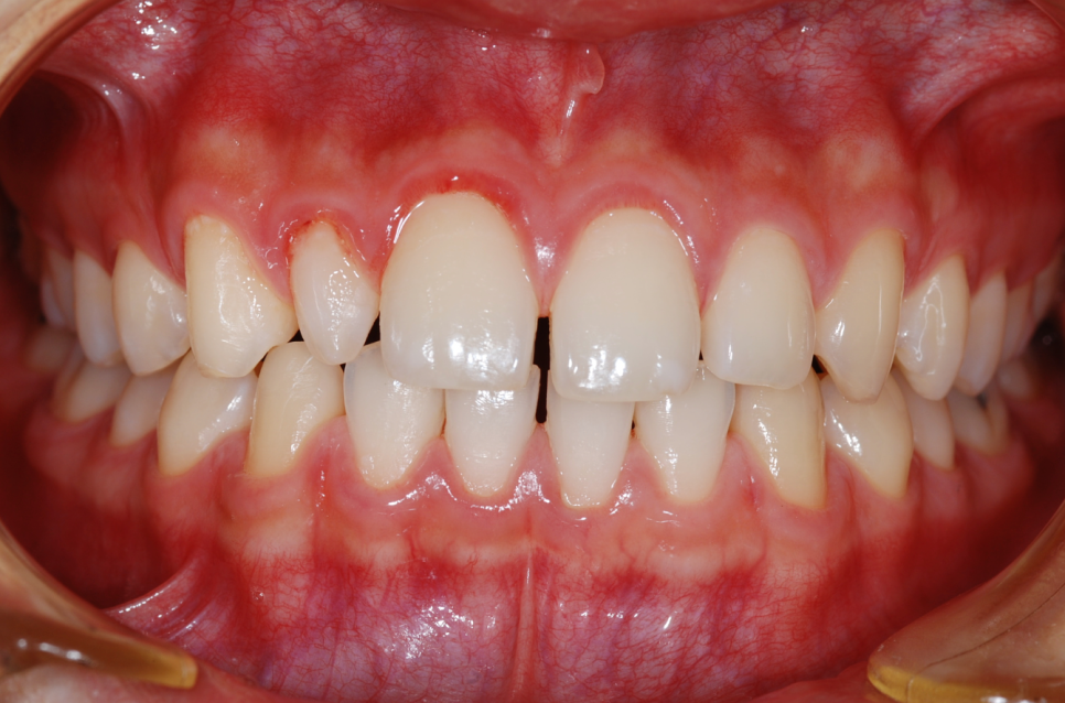
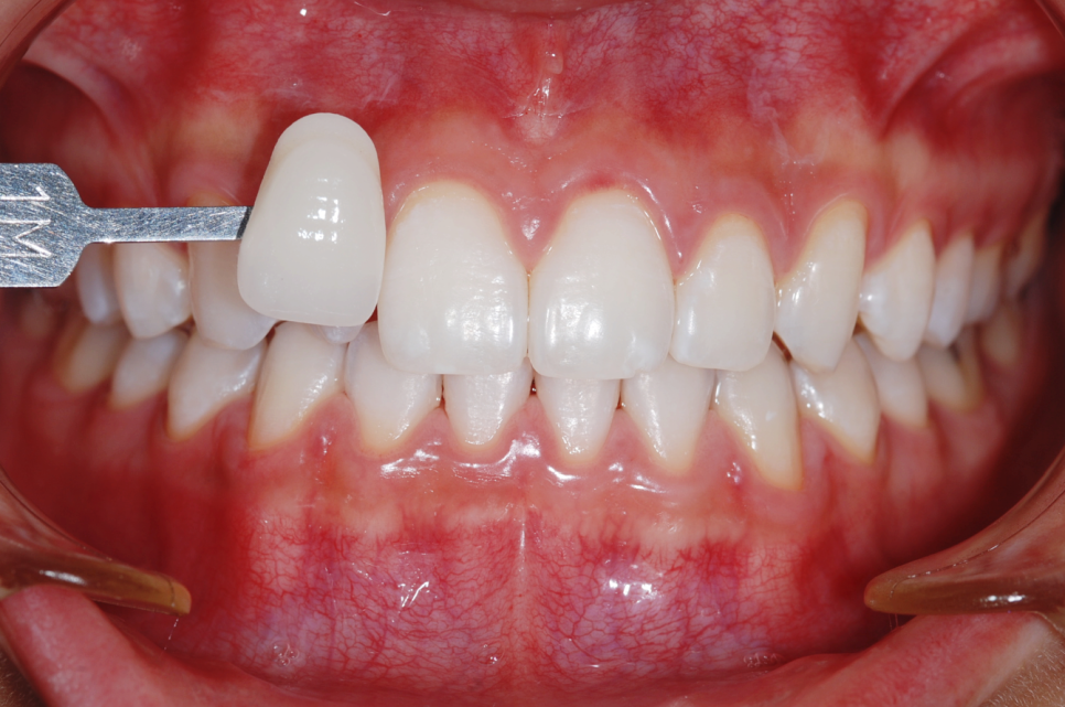
<Before-and-after photos of laminate veneers>

*Treatment period: 24.7.02-24.07.11

*Treatment period: 24.9.7-24.10.12
*The before-and-after photos were posted with the patient’s consent, and the before-and-after images were taken under the same environment and conditions.
*Side effects such as pain, gum inflammation, and root damage may occur, and these side effects may vary depending on the individual’s constitution or condition.
[Smile D Dental Clinic Information]
| ☎️ Smile D Dental Clinic phone number |
|---|
| 0507-1449-2087 |
| ℹ️ Smile D Dental Clinic website |
|---|
| Official website |
| 🎥 Smile D Dental Clinic YouTube |
|---|
| YouTube |
Can front-tooth gaps be simply closed with resin?
Yes, they can.
If the gap between the front teeth is very small, or if there is no major functional problem,
it can be simply improved by filling the space with a resin material that matches the color of the teeth.

Because there is little or only minimal tooth reduction,
it is a treatment recommended for people who want to preserve as much of their natural teeth as possible.
In many cases, treatment can also be completed in a single visit,
and because it is less of a financial burden than laminate veneers for front-tooth gaps,
it can be a very efficient choice for simple cosmetic purposes or when a short-term improvement is desired.
However, it does have drawbacks.
Because of the nature of the material, resin for front-tooth gaps may require regular replacement and maintenance over time due to discoloration or wear.

Also, because resin has limitations in shape adjustment,
if the front teeth are generally asymmetric or the gap is large,
the result may fall short in terms of both function and aesthetics.
In such cases, moving to laminate veneers for front-tooth gaps may provide a better result.
Are laminate veneers for front-tooth gaps
more natural?
Laminate veneers are a treatment in which a very thin layer of the front surface of the teeth is removed,
and a thin ceramic shell is bonded on top.

They are especially often used when the gap is relatively wide,
or when you want to adjust the overall shape and proportions of the front teeth.
Laminate veneers do more than simply fill the space.
One advantage is that they allow adjustment of the tooth’s length, shape, and angle.
That is why they can look more harmonious and natural in real life.
In particular, because they can create tooth proportions that match the lip line when smiling,
they can be designed much more precisely than resin.

Above all, laminate veneers are made from materials that are resistant to discoloration and wear,
so another major advantage is that they can maintain the initial result for a relatively long time.
The issue, however, is the amount of tooth reduction.
Although only a very thin layer of the tooth surface is said to be shaved down, once a tooth has been reduced, it cannot be restored,
so the extent of tooth reduction must be carefully considered before the procedure.
Also, gum health and the bite relationship should be thoroughly checked during diagnosis.
That is why we take an actual tooth model and run a simulation first,
then show the patient directly what kind of result can be expected.

A gap between the front teeth is a common concern that can happen to anyone,
but the solution is not that simple.
Even if the gap looks similar on the surface..
You need to consider several factors together, such as tooth shape and angle, the gum line, and the proportion visible when smiling,
in order to create the most natural and long-lasting result.
Some people ask, “Please just close the front-tooth gap simply,”
only to feel disappointed later because the result looks unbalanced or awkward.
That is why I always ask about the final result the patient wants first,
rather than deciding on the treatment method right away.

Depending on that, whether resin for front-tooth gaps is appropriate,
or whether laminate veneers for front-tooth gaps would be more stable,
is judged in a way that leads to a much more satisfying result than simply focusing on cost or convenience.
If you are worried about gaps between your front teeth, I recommend having your teeth examined in person
and getting a consultation about which treatment is best suited to you.
Please feel free to contact us.
This has been Smile D Dental Clinic. Thank you.
