
Hello.
I’m Oh Suhwan, a dentist with 18 years of accident-free practice.
There is one question people often ask when they visit us for Gangnam laminate veneers.
If you get laminate veneers, are there no side effects?
Will your teeth become more sensitive afterward?
As laminate veneers have become much more common than before, among those looking for dental clinics in Gangnam or near Sinnonhyeon Station,
many come in for consultations saying they want to naturally cover gaps or misalignment in their front teeth.
However, some people decide on treatment based only on social media reviews,
and later return after experiencing side effects such as sensitivity, pain, or an unnatural appearance.
Today, for those people, I will explain the two criteria you must check to avoid side effects from Gangnam laminate veneers,
and instead achieve a natural result.
Because front-tooth prosthetic treatment is visible from the outside,
the difference comes down to the details, and satisfaction with the result changes significantly.
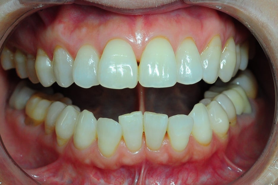
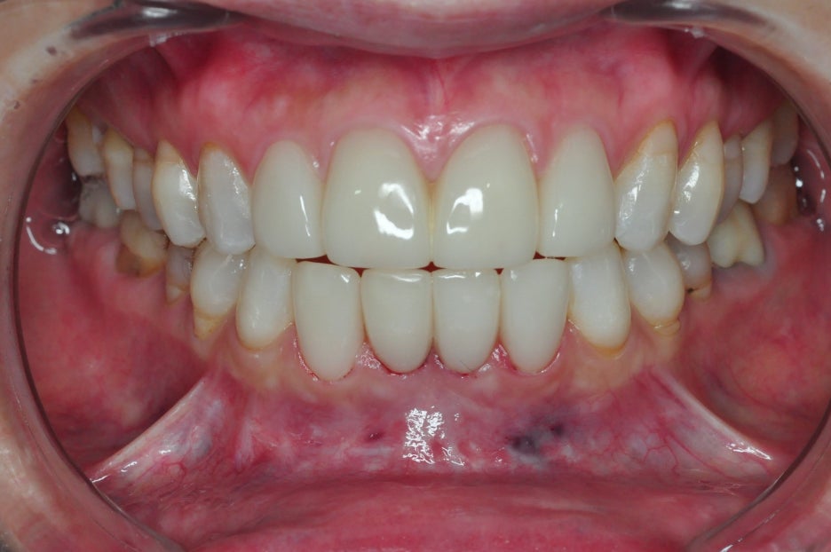
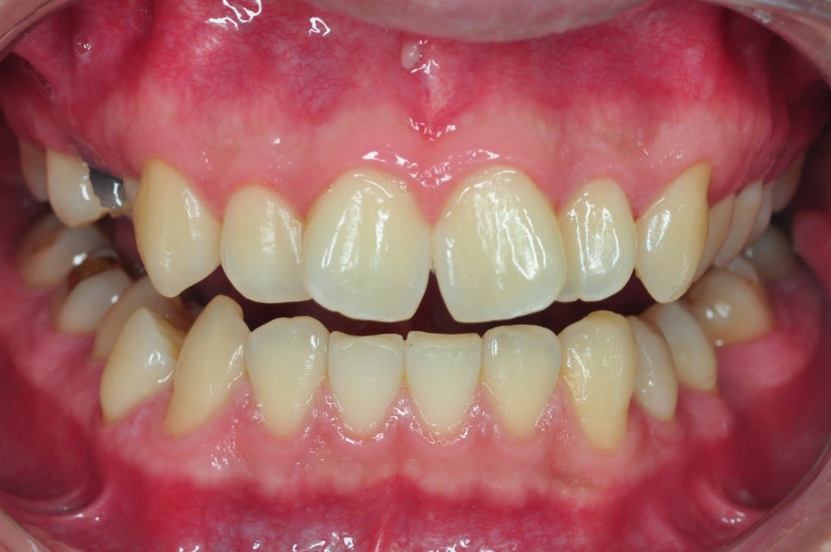
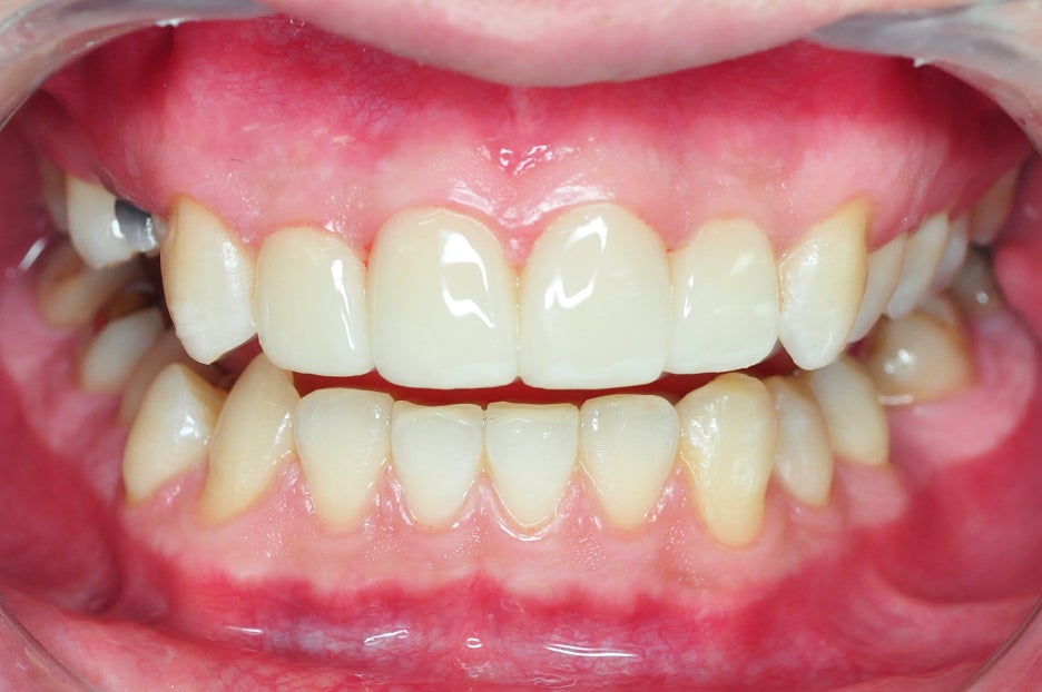
<Before-and-after laminate veneer photos>


*Treatment period: 25.02.05-25.02.13


*Treatment period: 24.7.02-24.07.11
*The before-and-after photos were posted with the patient’s consent, and they were taken in the same environment and under the same conditions.
*Side effects such as pain, gum inflammation, and root damage may occur, and these side effects may vary depending on the individual’s constitution or condition.
[SmileD Dental Clinic Information]
| ☎️ SmileD Dental Clinic Phone Number |
|---|
| 0507-1449-2087 |
| ℹ️ SmileD Dental Clinic Website |
|---|
| Official Website |
| 🎥 SmileD Dental Clinic YouTube |
|---|
| YouTube |
Gangnam laminate veneers,
what side effects can happen if done incorrectly?
Laminate veneers are a treatment in which a very thin layer is removed from the outer surface of the tooth,
and then a ceramic shell is bonded on to improve the shape and color.

If the amount of tooth reduction is limited only to within the enamel, a natural and long-lasting treatment is possible,
but problems arise if too much is removed or if the procedure is done without proper standards.
For example, if the tooth is reduced too deeply and the dentin or area close to the nerve is affected,
you may experience sensitivity, sharp pain, or in severe cases, even bleeding.

Meanwhile, you may have recently heard the term no-prep laminate veneers frequently.
In reality, unless the person was born with naturally small teeth, completely no-prep treatment is difficult.
If done with no preparation, the teeth may instead become thicker, causing a foreign-body sensation,
or the front teeth may appear even more protruded.

In particular, for people with protrusive mouths or concerns about their overall mouth appearance,
if only the front teeth are treated with laminate veneers, the overall harmony can be disrupted.
The front teeth may stand out excessively,
and even when smiling, the harmony between the upper and lower teeth may be disrupted, making the smile line look awkward.
Also, if the treatment is done when the bite is not properly aligned,
the prosthetic restoration may be repeatedly overloaded, and in some cases it may break or come off within 1 to 2 years.
Then what 기준 should Gangnam laminate veneers be based on?
The key point is ultimately,
that they must be done with only as much treatment as the patient truly needs, and within the most natural range possible.
That is why, during treatment, I do not approach laminate veneers as a purely cosmetic procedure.
I believe diagnosis should come first, taking into account not only tooth alignment, color, and length,
but also the lip line, gum line, and overall facial harmony.

To do this, at SmileD Dental Clinic,
we operate a collaborative system in which a specialist with more than 10 years of experience and an orthodontic specialist with 18 years of experience work together.
In other words, we first determine whether laminate veneers are truly necessary,
or whether the problem can be solved with orthodontic treatment alone.
And if laminate veneers are judged to be the appropriate method,
we precisely measure the amount of enamel reduction and design the treatment using a minimal-reduction standard.

After simulating the shape and bite in advance through a digital oral scanner and plaster model analysis,
the final design is decided.
In summary, to avoid side effects from Gangnam laminate veneers and achieve natural results,
① Diagnosis by experienced medical staff
② Advance planning through collaborative care
These two things are essential.
So I recommend visiting several dental clinics
and checking how precisely they diagnose and plan treatment,
and whether the treating doctor personally participates in the treatment.
Laminate veneers are truly an attractive treatment.
They can change the shape and color of noticeable front teeth in a short time,
and they are also excellent for creating a natural-looking impression.
However, if the conditions are not right and the procedure is done forcefully,
or if treatment is carried out carelessly without reduction standards,
side effects can occur.
I have kept the same place in Sinnonhyeon, Gangnam for 18 years,
and so far I have performed more than 4,000 orthodontic and prosthetic treatments without a single medical accident.
If you are considering front-tooth laminate veneers,
I recommend first checking the diagnosis and treatment plan carefully.
Rather than simply recommending the procedure or emphasizing no-prep treatment,
I will show and explain the method that is most suitable for the patient’s facial shape and oral structure.
This has been SmileD Dental Clinic. Thank you.