Hello.
I am dentist Oh Suhwan, and I have been providing cosmetic and orthodontic care for 18 years and more than 4,000 cases near Gangnam Sinsa Station.

Recently, among those who come in for laminate consultations, many say things like this.
I definitely don’t want my teeth shaved.
Isn’t no-prep laminate
the safer option?
In fact, when you look at the internet and social media, no-prep is often introduced as if it were the best treatment.
So it is not unreasonable that people naturally think that way.
But in the cases we actually see,
there are quite a few instances where laminates are forced ahead without any tooth reduction,
and the front teeth end up looking even more protruded.

So in what cases is no-prep laminate appropriate?
And who should be especially cautious?
I’ve put the answer to this in writing, so please read on and take away the information you need.
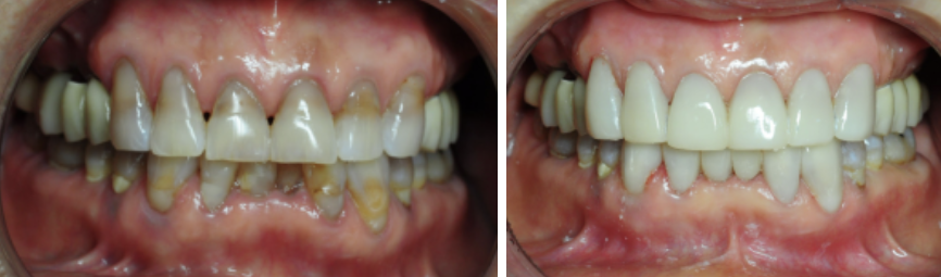
<Before-and-after laminate photos>
*Treatment period: 24.7.02-24.07.11
*Treatment period: 24.9.7-24.10.12
*Treatment period: 24.4.15-24.4.25
*The before-and-after treatment photos are published with the patient’s consent and were taken under the same environment and conditions.
*Side effects such as pain, gum inflammation, and root damage may occur, and these side effects may vary depending on the individual’s constitution or condition.
[Smile D Dental Clinic Information]
| ☎️ Smile D Dental Clinic Phone Number |
|---|
| 0507-1449-2087 |
| ℹ️ Smile D Dental Clinic Website |
|---|
| Official website |
| 🎥 Smile D Dental Clinic YouTube |
|---|
| YouTube |
No-prep laminates for teeth,
are not possible for everyone
As the name suggests, no-prep laminate is a method of attaching a thin ceramic restoration without shaving the teeth at all, or with almost no reduction.

In theory, it is a very attractive treatment because it can improve appearance without damaging the teeth.
But in reality, depending on the shape, alignment, and degree of protrusion of the teeth, it can be difficult to apply.
For example, if the teeth are tilted inward or if the teeth are small (peg-shaped teeth) and there is enough space,
no-prep may be appropriate.
In such cases, it is possible to achieve a natural and stable result without reducing the teeth.
However, if the teeth are already protruding outward,
then the moment laminates are added on top, the front teeth may look even more prominent,
or the lips may not close properly, creating an awkward impression.
Also, if the teeth are irregularly aligned or there is severe spacing or rotation,
trying to solve it with restorations alone can make them look thicker and more artificial than natural teeth.

One more important point here is
that what seems like a tooth-shape problem may actually be a bite problem.
In other words, rather than simply changing the appearance with laminates,
there are many cases where improving the bite through orthodontic treatment is more appropriate.
For example, if the reason the teeth are crooked or protruded is a narrow dental arch,
then moving the teeth from the roots through orthodontic treatment is much healthier and more long-lasting than forcing a prosthetic cover over them.
Precise diagnosis should come before no-prep
That is why no-prep laminate is not simply good because it does not require shaving the teeth.
A diagnosis that considers the patient’s tooth structure, facial shape, and bite condition must come first.
These days, digital scans and CT analysis can be used to simulate in advance whether no-prep laminate is possible,
or whether orthodontic treatment or some minimal reduction should be combined for a more natural result.

Before treatment, we always go through this process
and create a plan that considers both facial harmony and functional stability,
while making sure treatment does not proceed in an overly forced direction.
For patients who are suitable for laminates, we strive to preserve as much of the patient’s teeth as possible while achieving the most ideal harmony.
To do this, we make laminates using a method called “Smileinate.”

Smileinate is a method in which a small amount of tooth shaping is performed while preserving the natural teeth as much as possible,
and then a very thin ceramic restoration of 0.1-0.2 mm is attached on top.
Every step is directly checked through a microscope down to 0.1 mm,
and the dedicated doctor personally designs the restoration to customize it 1:1 for the patient’s facial shape and teeth.

However, in cases where bite problems or jawbone structure need to be improved first,
we firmly recommend orthodontic treatment first.
A solution that satisfies both function and harmony lasts much longer than treatment that only looks good on the surface.
No-prep laminate is certainly an attractive option.
But the truly important thing is whether your teeth are actually suitable for no-prep,
and whether that approach can ultimately harmonize with your face and remain stable over time.
If necessary, orthodontic treatment may need to come before prosthetics,
and in some cases, it may be better to carefully refine only part of the teeth rather than all of them.

For 18 years near Gangnam Sinsa Station, I have treated more than 4,000 prosthetic and orthodontic cases,
with the goal of treatments whose results last a long time and remain natural.
If you are interested in no-prep laminate,
please get a diagnosis to find out which method is the most ideal solution for your current teeth.
We will guide you with harmonious and honest care that considers function as well as appearance.
This has been Smile D Dental Clinic. Thank you.
