Only the space between my front teeth is slightly open.
Wouldn’t full orthodontic treatment be a bit excessive...?
I looked up reviews of front teeth partial orthodontic treatment,
and it said some people finished in just a few months.
Hello.
I am Oh Su-hwan, a board-certified orthodontic specialist recognized by the Ministry of Health and Welfare.
As an orthodontic specialist with 18 years of directly treating patients,
I have now accumulated experience with more than 4,000 orthodontic cases.

For every case, I carefully consider and work through
what method would be most suitable for the patient,
and naturally I have handled a wide range of orthodontic cases such as protruding mouths, crowded teeth, non-extraction orthodontics, and partial orthodontics.
This post was prepared with the hope of being of some help to those who are worried about gaps between their front teeth.

Before deciding on treatment too quickly based only on front teeth partial orthodontic reviews,
I will summarize the key points you really need to know from a specialist’s perspective.
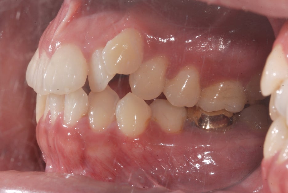
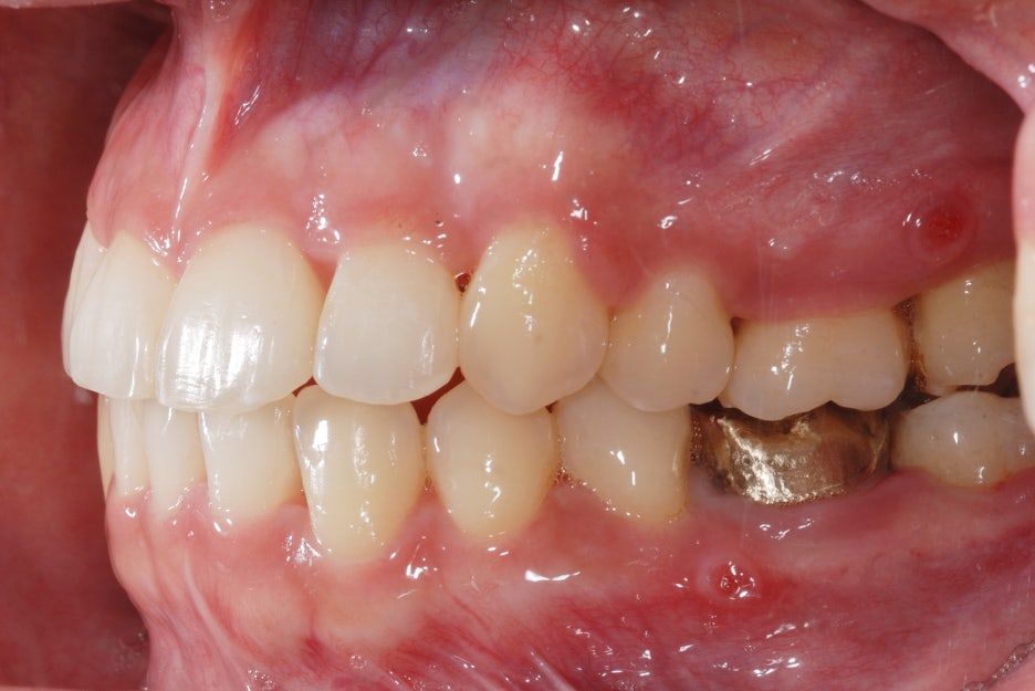
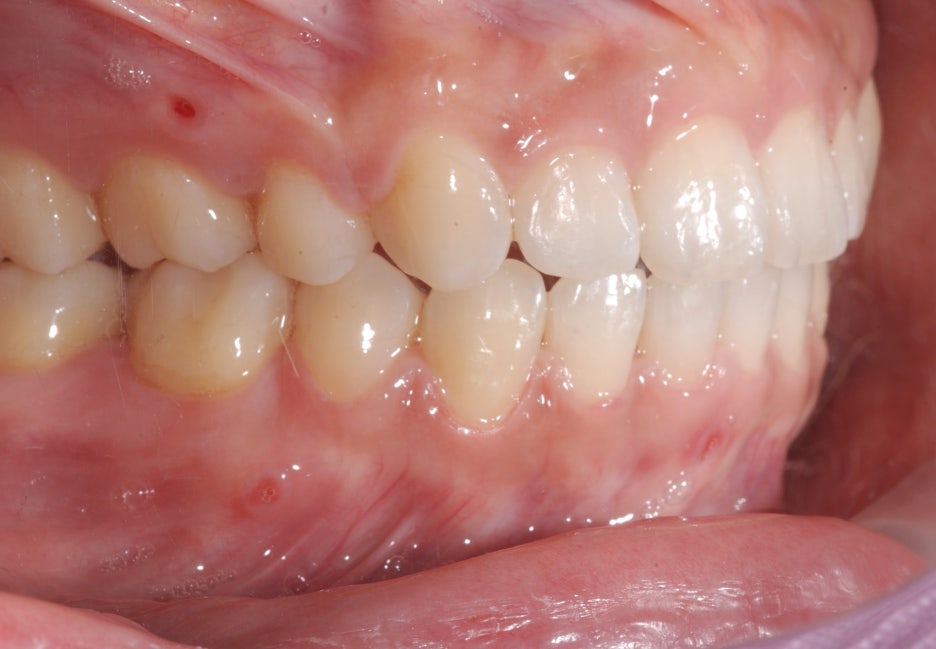
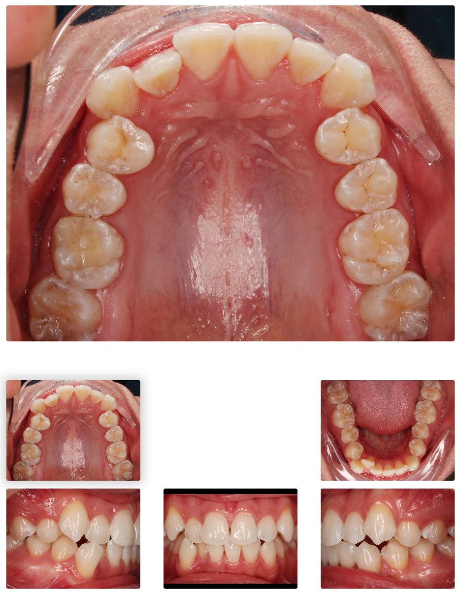
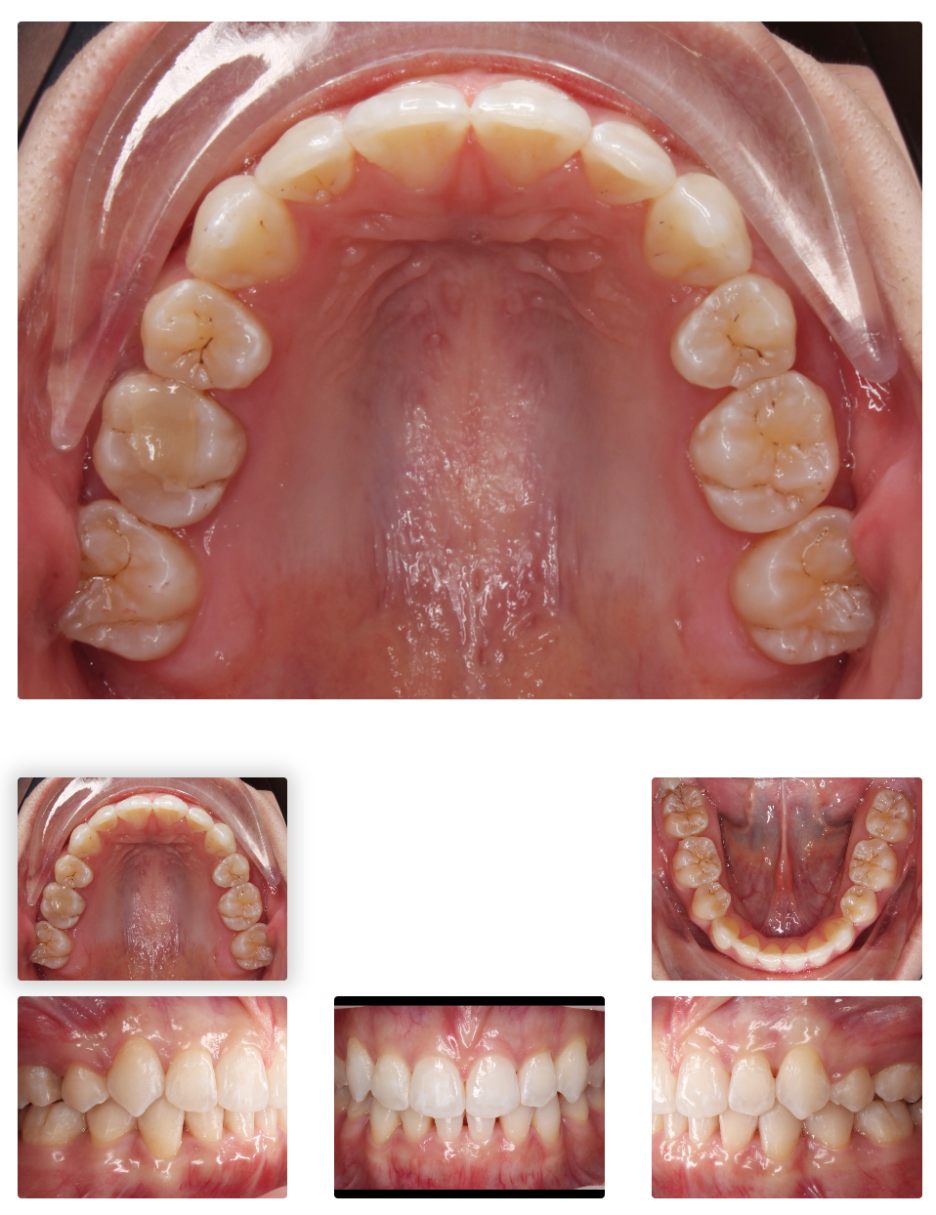
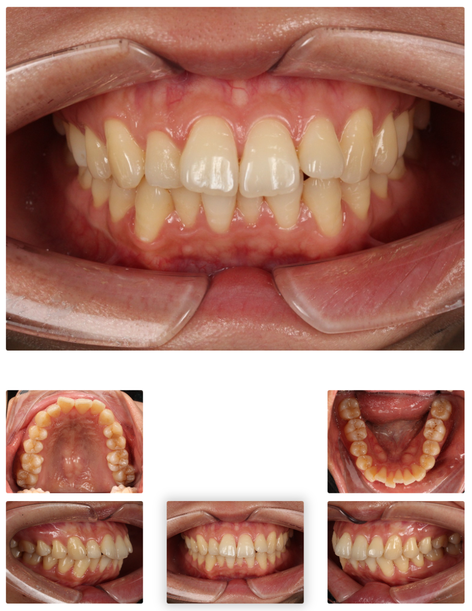
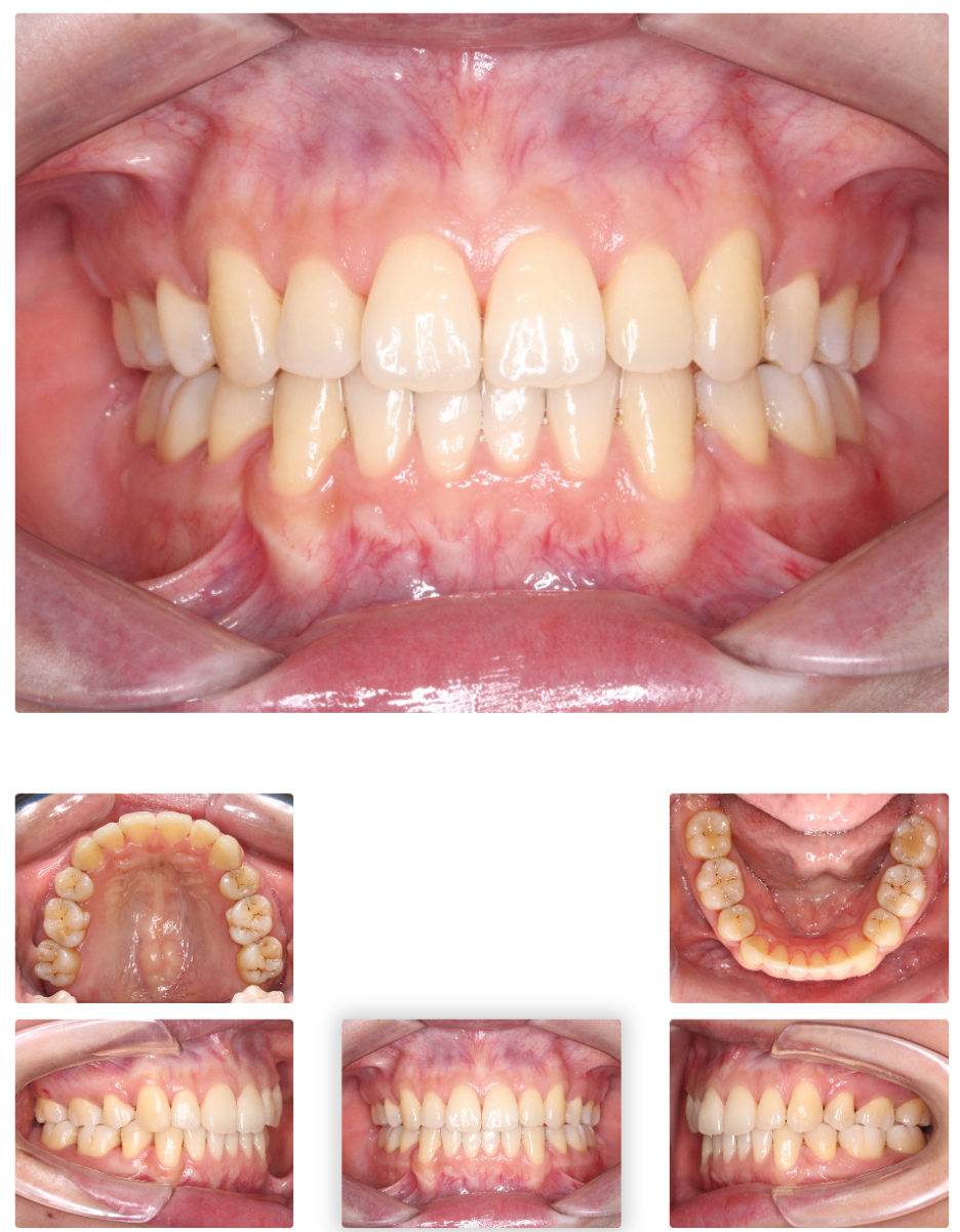
<Before-and-after photos of orthodontic treatment>


Treatment period: 23.05.15 - 24.10.21 (about 1 year and 6 months)


Treatment period: 23.01.18 - 24.6.04 (about 1 year and 6 months)


Kim Byeong*'s treatment period: 23.1.17 - 24.12.07 (about 2 years)


Joo Gyeong*'s treatment period: 24.09.02 - 25.03.04 (about 1 year and 6 months)
*The before-and-after photos were published with the patient’s consent, and the before-and-after photos were taken under the same environment and conditions.
[Smile D Dental Clinic Information]
| ☎️ Smile D Dental Clinic phone number |
|---|
| 0507-1449-2087 |
| ℹ️ Smile D Dental Clinic website |
|---|
| Official website |
| 🎥 Smile D Dental Clinic YouTube |
|---|
| YouTube |
Only the front teeth are a little spaced apart?
You can’t tell just by appearance
When the teeth are slightly spaced apart, most people think this way.
“Can’t I just do partial orthodontics and bring only the front teeth together a little?”
In fact, if the alignment and bite are relatively stable,
and only the space between teeth is open,
front teeth partial orthodontics alone can be enough.

This is what front teeth partial orthodontic treatment looks like ^^
But when we actually diagnose the case, beyond the problem of spaced front teeth,
a lot of cases also involve deep overbite, where the upper teeth cover the lower teeth too much,
or protrusion, where the upper teeth as a whole are pushed forward.
What happens if you only bring the front teeth together with partial orthodontics in these cases?
The front teeth, which do not have enough space to move, may instead flare forward even more or become more protruded.
As a result, the entire dental arch can look more swollen and protruded.

That is why some people rush ahead after trusting only front teeth partial orthodontic reviews,
and eventually come back for full retreatment.
That means spending money and time twice.
So it is more important than anything to accurately understand your own situation.
Is orthodontics the only answer?
Also compare laminate veneers, resin, and crowns
There are not only orthodontic treatments for improving gaps between the front teeth.
In addition to orthodontics, there are methods such as laminate veneers, resin, and crowns.
What is the difference?
Orthodontic treatment, quite literally, closes the gap by moving the teeth themselves.
It takes time, but it preserves the natural teeth and can create a structurally stable result.

On the other hand, laminate veneers and crowns involve reducing the tooth and covering the outer surface.
Aesthetically, they can look improved quickly, but there is the burden of tooth reduction.
In particular, I would have difficulty recommending them to people who feel strongly about not shaving down healthy teeth.

Resin is a method in which a tooth-colored material is filled into the gap between the teeth.
Its advantages are that there is almost no tooth reduction and it can be done quickly.
However, because it is a consumable material, its drawbacks are the risk of breakage and discoloration.

So which method is right for me?
In the end, what matters most is diagnosis and simulation.
The method you saw in a front teeth partial orthodontic review
may not be the same in terms of the cause and structure of your own gap between the front teeth.
That is why at Smile D Dental Clinic, we precisely analyze the tooth structure with an oral scanner,
and after visually checking changes in tooth alignment through a simulation using a patient’s dental model,
we guide patients toward the most appropriate method, whether orthodontics or prosthetics.
If the gap between your front teeth has started to bother you,
As a specialist, I truly understand how you may keep looking up more and more front teeth partial orthodontic reviews.
But even if a case looks the same on the surface,
the internal structure of the teeth and the bite condition are different for everyone.
Just because “only the front teeth are spaced apart” does not mean everyone will be treated in the same way.
If you rush treatment because you want it finished quickly,
there are many cases where you end up considering retreatment later.

So if you have been wondering whether the cases shown in front teeth partial orthodontic reviews could apply to you as well,
I recommend starting with a 3D diagnosis and consultation.
At Smile D, we will work together to improve the gap between your front teeth effectively
while also pursuing a satisfying result without retreatment. :)
This has been Oh Su-hwan, chief director of Smile D Dental Clinic. Thank you.
