I want orthodontic treatment,
but I really do not want brackets.
I think many people can relate.
Especially for those who are working, meet people often, or have a lot of public-facing activities,
metal braces that are visible on the outside can feel like a big burden.
So naturally, people look for transparent, less noticeable orthodontic treatment like Invisalign.


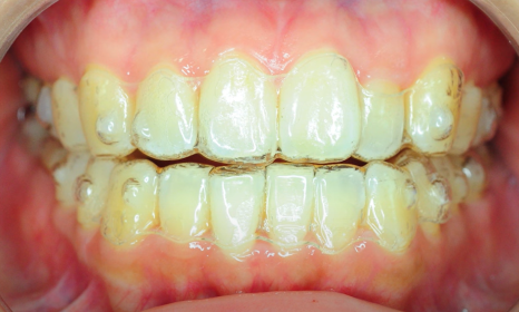
This is what Invisalign looks like when worn ^^
Many people ask this question.
"Can even somewhat difficult orthodontic cases be treated with Invisalign? I’m worried it might not work.."
So today, I’d like to introduce a real Invisalign case that achieved enough results without brackets.

I am Oh Suhwan, an orthodontic specialist certified by the Ministry of Health and Welfare with 18 years of experience.
Over the years, I have treated more than 4,000 orthodontic cases near Sinnonhyeon Station,
and I have built trust with patients without a single medical accident.
If you have been hesitant about orthodontic treatment because brackets feel burdensome,
I hope this article helps answer the question, "Could this work for me?"
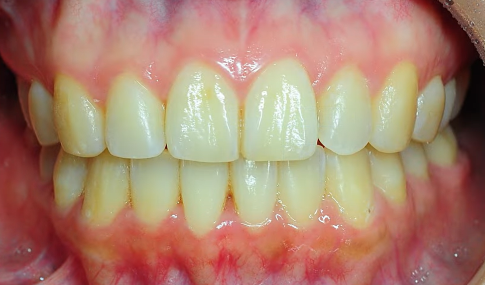
<Before-and-after orthodontic treatment photos>


Treatment period: 23.05.15 - 24.10.21 (about 1 year and 6 months)


Treatment period: 23.01.18 - 24.6.04 (about 1 year and 6 months)


Patient Kim Byeong* Treatment period: 23.1.17 - 24.12.07 (about 2 years)


Patient Jo Gyeong* Treatment period: 24.09.02 - 25.03.04 (about 1 year and 6 months)
*The before-and-after photos were posted with the patient’s consent, and the before-and-after photos were taken in the same environment and under the same conditions.
[Smile D Dental Clinic Information]
| ☎️ Smile D Dental Clinic Phone Number |
|---|
| 0507-1449-2087 |
| ℹ️ Smile D Dental Clinic Website |
|---|
| Official website |
| 🎥 Smile D Dental Clinic YouTube |
|---|
| YouTube |
How far can Invisalign go?
In the past, when teeth were severely crowded or rotated, brackets were always recommended.
But things are very different now.
That is because the range of Invisalign cases has become much broader.
Invisalign today can set up precise tooth movement plans based on digital 3D analysis,

and by attaching small protruding structures called "attachments" to the teeth,
the teeth can be moved more accurately and efficiently.
However, there are conditions for an Invisalign case to succeed.
-
A precise diagnosis and plan suited to the tooth condition must be established,
-
The patient’s cooperation in wearing them for at least 20 hours a day is essential.
When these two factors come together,
even complex arrangements that were difficult in the past can be corrected sufficiently without brackets.
Next is a real Invisalign case treated at our clinic.
A real Invisalign case,
orthodontic treatment completed without brackets
When this patient first visited, one of the upper left front teeth was completely trapped toward the inside.
The entire upper row of teeth was slightly misaligned, and near the canine area there was not enough space, causing the teeth to overlap.
The lower teeth were the same.
The front teeth were crooked and arranged with no space.

It was the kind of condition where anyone would think, "Shouldn’t this be treated with braces?"
But after a precise scan and analysis, it turned out to be fully manageable with Invisalign.
So treatment began, and after consistently wearing the Invisalign appliance for about 1 year and 2 months,


The small front tooth hidden on the inside was aligned normally,
the crooked dental arch was neatly corrected,
and the lower teeth were aligned as well, improving the excessive overlap (deep overbite) too.

Toward the end of treatment, the midline was slightly off, but I told the patient that it could be matched with one more cycle,
and the patient ended treatment, saying they were fully satisfied with the current result.

This case involved a complex situation including protruding teeth, lack of space, and asymmetry,
so I would say it is even more meaningful. ^^
To summarize, not every tooth alignment case can be treated with Invisalign,
but please remember that it is possible to correct a surprisingly wide range of conditions without brackets.
If you have been hesitating because brackets are uncomfortable or wire braces feel burdensome,
just checking through a precise diagnosis whether your teeth are suitable for an Invisalign case can already be very helpful.
At Smile D Dental Clinic, we have treated a wide variety of Invisalign cases,
and we think together with each patient about the orthodontic method that fits their lifestyle and goals.
If you want orthodontic treatment that is not noticeable, that makes eating and oral hygiene management easier,
and above all, that gives you a natural smile,
please consider consulting us about whether an Invisalign case is possible.
This has been Oh Suhwan, chief director of Smile D Dental Clinic. Thank you.
