Black Triangle: 4 Ways to Fix the Gap Between Teeth <Revealed>
A black triangular shape has appeared between my teeth.
It looks so bad,
what should I do?
Many people feel especially self-conscious about the spaces between their teeth when they smile or talk because of black triangles.

Perhaps those of you reading this now feel the same way.
In fact, black triangles are not just an unattractive cosmetic issue,
if left untreated, they can also affect gum health and, in severe cases, increase the risk of tooth loss.
So today, I’m going to explain in an easy way—just as I would to my actual patients—why black triangles form between teeth and how they can be prevented and treated.

I’m Oh Su-hwan, the chief director of SmileD Dental Clinic, and I have been treating patients without accidents for 18 years in Gangnam, Sinsa Station.
If you’ve been worried about unsightly black triangles, I hope this article helps. ^^
<Before-and-after orthodontic treatment photos>


Treatment period: 23.05.15 - 24.10.21 (about 1 year and 6 months)


Treatment period: 23.01.18 - 24.6.04 (about 1 year and 6 months)
<Before-and-after laminate photos>


*Treatment period: 25.02.05-25.02.13


*Treatment period: 24.7.02-24.07.11
*The before-and-after photos were posted with the patient’s consent and were taken in the same environment and under the same conditions.
*Side effects such as pain, gum inflammation, and root damage may occur, and these side effects may vary depending on the individual’s constitution or condition.
[SmileD Dental Clinic Information]
| ☎️ SmileD Dental Clinic phone number |
|---|
| 0507-1449-2087 |
| ℹ️ SmileD Dental Clinic website |
|---|
| Official website |
| 🎥 SmileD Dental Clinic YouTube |
|---|
| YouTube |
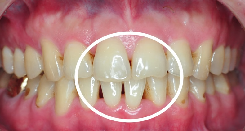
Black Triangle,
Why does it form and how can it be prevented?
A black triangle literally refers to a black triangular gap that forms between teeth.
It usually appears when the gums recede and expose that space.

It typically becomes noticeable gradually after the 30s,
because the gum tissue naturally ages and recedes.
Then why do gums recede?
As we age, the gums naturally become weaker and lower little by little,
which can be considered a natural part of the body’s aging process.
However, the problem is that bad habits can make gum recession happen faster and more severely.
One of the most common reasons is incorrect brushing habits.
Brushing too hard or scrubbing side to side can irritate and damage the gums, causing them to recede.

Eating hard foods often, clenching your teeth due to stress,
or grinding your teeth at night can also strain the gums and reduce the jawbone supporting them.
In addition, using interdental brushes or toothpicks too forcefully or incorrectly
can injure the gums and make black triangles form more easily.

Systemic health problems should not be ignored either.
If you have conditions such as diabetes or autoimmune diseases, your immune system may be weakened, making gum inflammation and recession progress more easily.

So how can you prevent it?
The most important thing is proper brushing habits and consistent gum care.
If you gently brush the gingival sulcus area between the teeth and gums as if massaging it,
you can improve blood circulation in the gums and protect gum health.


Also, getting scaling regularly to reduce gum inflammation and maintain a healthy condition is essential.
And if you massage your gums for about 1 to 2 minutes every day,
your gums will become much healthier, which greatly helps prevent black triangles.
If it has already appeared, how can it be treated?
If a black triangle has already formed, there are several treatment options.
The first is resin filling.
This method fills the black space with a tooth-colored material.

The procedure time is short and the cost is relatively low, so it can be chosen without much burden,
but because it may discolor or come off over time, consistent care is needed.
The second is laminate treatment.
Laminate is a method of improving tooth shape by attaching a thin prosthetic to the surface of the tooth,
and it can naturally conceal black triangles
while also brightening the tooth color, making it a good aesthetic choice.
Recently, it has become possible to do this with minimal or no tooth reduction, which reduces concerns about tooth damage. :)


The third is a combination of orthodontic treatment and interproximal reduction.
While undergoing orthodontic treatment, if the contact points between teeth are slightly reduced to bring the teeth closer together,
the tooth shape becomes more natural and the size of the black triangle can also be reduced.
This method is especially recommended for those who are planning orthodontic treatment.

Lastly, the fourth is crown treatment.
If the gums have receded a lot and food frequently gets trapped between the molars,
this is a method of adjusting tooth shape with crowns to reduce the space.
However, because it may require significant tooth reduction, careful consultation and decision-making are necessary.
Black triangles can happen to anyone.
They are a problem that can be improved sufficiently through prevention, management, and appropriate treatment.
The most important thing is to maintain proper brushing habits and pay attention to gum health in daily life,
and if it has already occurred, I recommend consulting a dental specialist and choosing the treatment that is right for you.
If you are worried about gaps between your teeth,
I recommend getting an accurate diagnosis and consultation at a nearby dental clinic.
At SmileD Dental Clinic, we also carefully guide patients through customized treatment plans,
so please feel free to contact us anytime.
This has been SmileD Dental Clinic. Thank you.
