My front teeth are spaced apart
and I feel too self-conscious when I smile
Even if the front teeth are only slightly spaced apart, or just one or two front teeth are a little rotated, it can still feel quite noticeable when smiling.
�a0
Especially since people often say that spaced front teeth let good fortune escape, many want to improve them quickly.
�a0
In these cases, the options that are often mentioned are front tooth laminate and front tooth partial orthodontics.
�a0
Both methods focus on making the front teeth look better,
�a0
but their principles, process, and results are all different.
�a0
Because of that, some people try what others recommend and then feel, “This isn’t quite the result I wanted.”
�a0

�a0
In today’s post, at Smile D, where we have treated more than 4,000 cases safely over 18 years,
�a0
I’ll clearly explain the differences between front tooth laminate and front tooth partial orthodontics, and the criteria for choosing between them.
�a0
If you take a little time to read, you should get a sense of which treatment you need. ^^
�a0
<Before-and-after orthodontic treatment photos>


Treatment period: 23.05.15 - 24.10.21 (about 1 year and 6 months)
�a0


Treatment period: 23.01.18 - 24.6.04 (about 1 year and 6 months)
�a0
<Before-and-after laminate photos>


*Treatment period: 25.02.05-25.02.13
�a0


*Treatment period: 24.7.02-24.07.11
�a0
*The before-and-after photos were published with the patient’s consent and were taken in the same environment and under the same conditions.
*Side effects such as pain, gum inflammation, and root damage may occur, and these side effects may vary depending on the individual’s constitution or condition.
�a0
[Smile D Dental Clinic Information]
�a0
| ☎️ Smile D Dental Clinic Phone Number |
|---|
| 0507-1449-2087 |
| ℹ️ Smile D Dental Clinic Website |
|---|
| Official website |
| 🎥 Smile D Dental Clinic YouTube |
|---|
| YouTube |
�a0
�a0
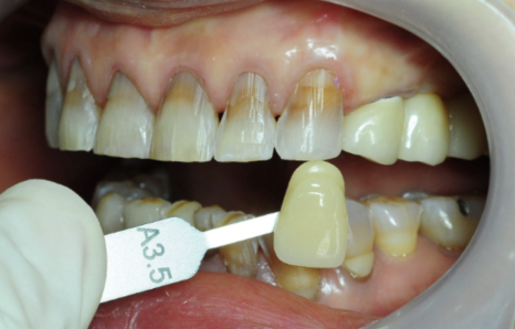
Front tooth laminate is a good option in these cases
Front tooth laminate is a method in which a thin porcelain-like veneer is applied to the front surface of the teeth.
�a0


�a0
It is suitable when the gap between teeth is wide, when the color has changed significantly, or when the teeth have uneven shapes.
�a0
In particular, because it can improve both color and shape at the same time, it is favored by people who want a quick aesthetic improvement.
�a0
Its appeal lies in the fact that it can address discoloration, fractures, and asymmetry that are difficult to solve with orthodontics all at once.
�a0
However, front tooth laminate requires removing a certain amount of tooth structure,
�a0
and once that is removed, it is difficult to return to the original state.
�a0
Of course, there is also no-prep laminate that minimizes tooth reduction, but it is not applicable to every case.
�a0


�a0
Also, if the bite is not aligned properly, the thin laminate can break, so a thorough pre-treatment diagnosis is very important.
�a0
That is why, at Smile D Dental Clinic, we use 3D scanning and bite analysis
�a0
to minimize tooth reduction and create a custom design so that strength and color last longer.
�a0
To summarize, front tooth laminate is a good option when:
�a0
Color and shape need to be changed
�a0
You want to shorten the treatment period
�a0
You do not need full orthodontics, but need subtle alignment and aesthetic improvement
�a0
This is a good option in those cases.
�a0
�a0
Think of front tooth partial orthodontics this way
On the other hand, front tooth partial orthodontics is, as the name suggests, a method that uses orthodontic appliances to align only about 4 to 6 front teeth.
�a0

�a0
Recently, front tooth partial orthodontics has also become possible with clear aligners such as Invisalign,
�a0
which makes it a good alternative for people who find brackets burdensome.
�a0
The advantage of front tooth partial orthodontics is that there is almost no tooth reduction,
�a0
and the arrangement can be corrected while preserving the original tooth structure.
�a0
However, if the alignment is very severely crooked, treatment may take longer,
�a0
and it cannot change the color or shape of the teeth themselves.
�a0


�a0
So if the alignment looks better but the color or shape still feels lacking,
�a0
additional whitening or aesthetic restoration may need to be combined.
�a0
Let me tell you about a case I actually treated.
�a0
It was a patient in their 20s who was an office worker,
�a0
and they said they disliked the shadow that appeared when smiling because the two front teeth were slightly inward.
�a0
After correcting the alignment with front tooth partial orthodontics for about 4 months,
�a0
we proceeded with tooth whitening, and the patient was satisfied, saying, “I didn’t know such a natural change was possible.”
�a0
As you can see, if the main goal is improving alignment, front tooth partial orthodontics may be more suitable.
Front tooth laminate and front tooth partial orthodontics may look like similar aesthetic treatments from the outside,
�a0
but the approaches are completely different.
�a0
Laminate is a “covering” method in which the tooth surface is shaped and ceramic is attached,
�a0
while partial orthodontics is a “moving” method that changes the position of the teeth.
�a0
What matters most is making a decision based on a precise analysis of your own tooth condition and the results you want.
�a0
Rather than judging from photos alone,
�a0
you should have a dental clinic comprehensively check your bite, tooth thickness, and gum condition before making a plan, so that you can avoid failure.
�a0


�a0
For 18 years, we have treated more than 4,000 orthodontic and aesthetic cases without a single medical accident.
�a0
If you are currently feeling uncomfortable smiling because of your front teeth,
�a0
I recommend coming in for a consultation and finding the method that is right for you.
�a0
This has been Smile D Dental Clinic. Thank you.
�a0
�a0