Hello.
With the motto
"Designing smiles,"
I have been designing the smiles of each and every patient.
I am Dr. Oh Soo-hwan, the representative director of Smile D Dental Clinic.

"Now that the braces are off, is everything done?"
There is a sense of liberation that comes the moment orthodontic appliances are removed.
The feeling of pride when you look at your neatly aligned teeth in the mirror is something anyone who has had orthodontic treatment can relate to.
But there is one important step left here.
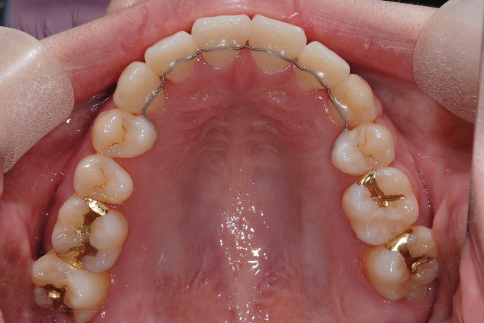
That is wearing an orthodontic retainer.

If orthodontic treatment is the process that changes the alignment of the teeth,
a retainer is the device that helps maintain that change for a long time.
However, many patients get confused about questions like, "Why do I need to wear it, and for how long?"
Today, I will clearly explain the retainer period after orthodontic treatment
just as I explain it to patients in the clinic.
Based on the know-how gained from 5,000 cumulative procedures completed safely at Smile D,
please focus for just one minute and read on.
[Smile D Dental Clinic Information]
[Smile D Dental Clinic Directions]
Why is an orthodontic retainer necessary?
Orthodontic treatment does not mean the teeth are immediately and firmly stabilized.
Teeth are supported by the jawbone, ligaments, and gum tissue,
and right after orthodontic treatment, these tissues are still unstable.
Think of it like tying up a newly planted tree with supports before its roots have taken hold.
That is the role of the orthodontic retainer.
It helps prevent the teeth from moving back to their original positions,
and it stabilizes the neatly aligned teeth created through orthodontic treatment.
But what happens if the retainer is broken or left unused?
This is what happens.

Teeth are under pressure to move out of place more quickly than you might think.
It is similar to the rebound effect our bodies experience after dieting, when they try to return to their previous weight.
Especially right after orthodontic treatment, that force is strong,
so if the appliance does not do its job, the alignment can collapse in just a few days or weeks.
In fact, there are not a few cases where a patient left a broken retainer unattended for a long time
and had to start orthodontic treatment again.
Among many patients who finished orthodontic treatment at Smile D Dental Clinic,
the level of satisfaction with the results changes noticeably depending on how faithfully they wear their retainer.

We have a thorough follow-up care system in place so that patients can wear and manage their retainers comfortably even after orthodontic treatment.
Thanks to this, we do not just stop at improving the appearance of the teeth,
but carefully care for each patient so they can maintain stable results for a long time.
How long is the orthodontic retainer period?
What is needed?
Many people are most curious about exactly how long they need to wear an orthodontic retainer.
Our teeth move little by little throughout our lives,
and the jawbone also tends to gradually recede and weaken with age.
Because of this, it is common for the alignment that was beautifully corrected through orthodontic treatment to become distorted over time.
For this reason, to keep the position of the teeth as stable as possible,
wearing an orthodontic retainer for as long as possible, even as you get older, is very helpful.

In truth, it is difficult to say exactly "how many years."
However, as a general rule, I tell patients that it is safer to wear the retainer for longer than the period they received orthodontic treatment.
In simple terms, if you had orthodontic treatment for two years, you should wear the retainer for at least that long or longer.

In the end, an orthodontic retainer is not something you wear "for a short while" after treatment,
but an essential step that protects the beautiful result.
That is why the longer, the better.
"My orthodontic retainer is broken,
what should I do?"
Sometimes patients visit us because their retainer has broken.
If it is a removable retainer and the wire has broken or a side part has cracked, it cannot be used again.
Because it can affect tooth alignment, it is best to visit the dental clinic and have a new one made.

On the other hand, if the wire of a fixed retainer has broken or the adhesive has come off, it can be repaired at the clinic.
The adhesive can be reapplied, or the broken wire can be reconnected and repaired.

However, if the tooth and the appliance have both come loose, or if the wire has been significantly deformed, it will also need to be remade.
In other words, when an orthodontic retainer is damaged, it is safer to visit the dental clinic as soon as possible for remaking or repair,
rather than leaving it alone or temporarily trying to reattach it yourself.
A small gap can undo a great deal of orthodontic effort, so thinking, "It should be fine," is truly dangerous.
Orthodontic treatment does not end the moment the braces or appliance are removed.
It is no exaggeration to say that the small habit of wearing an orthodontic retainer determines the success or failure of treatment.
At Smile D Dental Clinic, just like our slogan, "Designing smiles,"
we take responsibility for and manage your smile even after orthodontic treatment.
One reason influencers choose us is our ability to handle unexpected changes and our follow-up care system.
If you have just finished orthodontic treatment or are unsure about your retainer-wearing period,
I recommend that you come in for a consultation.
You can make a consultation appointment by phone or through our website.
This has been Smile D Dental Clinic. Thank you.
[Smile D Dental Clinic Information]
| ☎️ Smile D Dental Clinic Phone Number |
|---|
| 0507-1449-2087 |
| ℹ️ Smile D Dental Clinic Website |
|---|
| Official Website |
| 🎥 Smile D Dental Clinic YouTube |
|---|
| YouTube |
