아카이브 요약
이 페이지의 역할
블랑쉬치과의원의 네이버 블로그 원문을 보존한 아카이브 페이지입니다. 블랑쉬 솔루션 카테고리의 커피 치아착색? 누런 치아가 신경 쓰인다면 지금 확인하세요. 글을 통해 병원의 한국어 정보 제공 방식과 진료 관련 안내 톤을 확인할 수 있습니다.
원문 검증
필요하면 원문 블로그와 병원 프로필로 바로 이동해 문맥을 다시 확인할 수 있습니다.
출처 아카이브 열기아카이브된 블로그 글
블랑쉬치과의원 · Naver Blog
커피 치아착색? 누런 치아가 신경 쓰인다면 지금 확인하세요. 커피 치아착색 "아침에 커피 한 잔이 일상인데... 마실 때마다 치아가 더 누래질까 걱정되면서도 끊을 수가 없어요. 솔직히 알면서도 끊지 못하죠..ㅠㅠ (직장인이라면 더더욱이요...) '오늘도 마셨는데... 더 심해지면 어쩌지?' 하는 걱정을...
게시일
2025년 5월 7일
원문 기준으로 확인된 발행일입니다.
카테고리
블랑쉬 솔루션
원문 블로그 카테고리를 정리해 함께 표시합니다.
이미지 수
13
현재 아카이브에 연결된 이미지 수입니다.
아카이브 요약
블랑쉬치과의원의 네이버 블로그 원문을 보존한 아카이브 페이지입니다. 블랑쉬 솔루션 카테고리의 커피 치아착색? 누런 치아가 신경 쓰인다면 지금 확인하세요. 글을 통해 병원의 한국어 정보 제공 방식과 진료 관련 안내 톤을 확인할 수 있습니다.
원문 검증
필요하면 원문 블로그와 병원 프로필로 바로 이동해 문맥을 다시 확인할 수 있습니다.
출처 아카이브 열기커피 치아착색?
누런 치아가 신경 쓰인다면
지금 확인하세요.
커피 치아착색

"아침에 커피 한 잔이 일상인데...
마실 때마다 치아가 더 누래질까
걱정되면서도 끊을 수가 없어요.
솔직히 알면서도 끊지 못하죠..ㅠㅠ
(직장인이라면 더더욱이요...)
'오늘도 마셨는데... 더 심해지면 어쩌지?'
하는 걱정을 안고도...
그 향긋한 한 잔을 포기하기 어려운 마음...
충분히 이해합니다.
그래서 오늘은 정말 착색의 원인이 커피뿐만 일지...
많은 분들이 의외로 잘 모르시는 착색 원인들에 대해 솔직하게 이야기 나눠보려 합니다.

착색 유발 음식은 외의로 많습니다
커피 치아착색
커피 치아착색 때문에 고민하시는 분들 정말 많으신데요.
사실 커피를 즐기는 분들 중에서도...
"내 치아만 왜 이렇게 누렇지?"
라고 의아해하시는 경우가 있습니다.

아침에 커피 한 잔이 일상인데 주변 사람들과 비교해 봐도...
왜 내 치아만 더 누런 걸까요?
놀랍게도 치아를 노랗게 만드는 음식 1위는 바로 라면입니다.
라면의 국물에는 강한 색소 성분이 들어있어 치아 표면에 착색을 일으키키 쉽습니다.
그렇다고 맛있는 라면을 포기할 수는 없겠죠. ㅎㅎ
라면 드신 후에는 꼭 바로 양치를 해주시는 것이 좋습니다.
그리고 더 충격적인(?) 사실이 있는데요.
커피보다 차(茶)가 치아착색을
더 많이 유발합니다.
이건 제 개인적인 의견이 아니라
실제 연구 결과에서 나온 사실인데요.
홍차나 녹차 등의 차류에 함유된 타닌 성분이 커피보다 치아에 더 강한 착색을 일으킨다는 거죠.

아마도 치아 착색 때문에
커피 대신 차로 바꾸신 분들은
많이 놀라셨을 거 같습니다.ㅠㅠ
와인, 콜라, 카레 등도 치아착색의
주요 원인이 되는 음식들입니다.
일상에서 자주 접하는 음식들이라 완전히 피하기는 현실적으로 어렵죠.
그래서 이런 음식을 섭취한 후에 가장 좋은 방법은...
음식 섭취 후 바로 물로 입을 헹구는 것입니다.
바로 양치를 하는 것도 좋지만...
산성 음식을 먹은 직후에는
치아 에나멜이 약해진 상태이므로
30분 정도 기다렸다가 양치하는 것이 좋습니다.^^
생각보다 빠르게 진행됩니다
커피 치아착색

치아 착색은 생각보다 서서히...
그러나 꾸준히 진행됩니다.
대부분의 분들이 착색이
눈에 띄게 보일 때쯤에야
"언제부터 이렇게 누래졌지?"
라고 깨닫게 되죠.
특히 커피 치아착색은 매일의 습관이 쌓이면서 서서히 진행되는 특징이 있습니다.
하루에 2~3잔의 커피를 꾸준히 마시는 분들은 6개월에서 1년 사이에 눈에 띄는 변화를 느끼시게 됩니다.
"그럼 커피를 끊어야 하나요?"
물론 그것도 하나의 방법이지만...
사실 현실적으로 쉽지 않은 선택이죠.^^;
대신 커피를 마신 후 물을 마시거나 껌을 씹어 타액 분비를 촉진하는 것이 도움이 됩니다.

그리고 치아착색이 눈에 띄게 진행되었다면...
전문적인 치아 미백을 고려해 볼 시점일 수 있습니다.
일반적인 스케일링으로는
표면의 치석과 일부 착색만 제거할 수 있어
오래된 커피 치아착색에는
한계가 있을 수 있습니다.
이런 경우 전문적인 미백 시술이 효과적인데요.
치아의 상태나 착색 정도,
원하는 결과에 따라 적합한
미백 방법이 달라질 수 있죠.
커피 치아착색

많은 분들이 치아 미백 후에도 기대했던 만큼의 하얀 치아를 얻지 못해 실망하는 경우가 있습니다.
미맥은 치아 표면의 착색을 제거하고 내부 색을 밝게 하는 효과가 있지만...
치아의 원래 색상이나 투명도 또는 질감 등은 변화시키지 못합니다.
또한 치아의 형태나 배열 문제는 미백만으로는 해결되지 않죠.
커피 치아착색이 오래되었거나 내부적인 변색이 있다면 미백의 효과는 제한적일 수 있습니다.
이런 경우에는 보다 근본적인 접근이 필요합니다.
요즘은 치아를 거의 또는 전혀 깎지 않고도 색과 모양을 개선할 수 있는 방법이 있습니다.
바로 초박형 세라믹을 이용한 라미네이트 시술인데요.
초박형 세라믹 시술은 자연치아를 최대한 보존하면서도 색상이나 형태, 배열을 모두 개선할 수 있습니다.
특히 커피와 음식으로 인한
착색에 크게 영향받지 않는
세라믹 재질을 사용하기 때문에...
완성 후에는 커피를 마셔도 착색에 대한 불안함이 적다는 장점이 있죠.^^
이 방식은 오랜 기간 누적된 커피 치아착색으로 미백 효과가 제한적인 분들에게 좋은 대안이 될 수 있습니다.
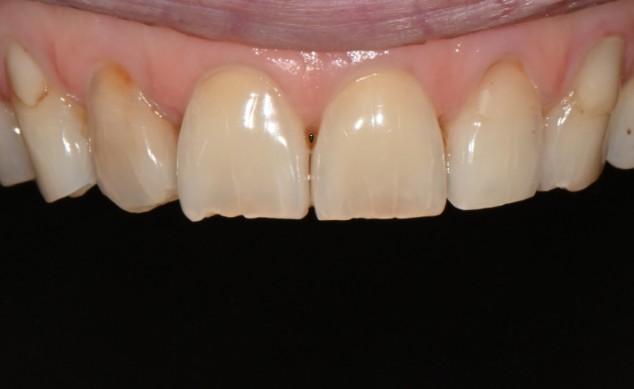
0.3mm 정도의 얇은 세라믹이 치아 앞면에 자연스럽게 부착되어 원래의 내 치아처럼 자연스러운 결과를 얻을 수 있구요. ㅎㅎ
<실제 블랑쉬 전후사진>
찾아보실 수 있습니다.





오늘은 누런치아의 착색 원인과
근본적인 해결책까지 알아보았습니다.
사실 착색은 일상 생활에서
완전히 피하기 어려운 문제입니다.
그러나 올바른 정보와 적절한 관리만으로도 건강하고 아름다운 치아를 유지할 수 있다는 점을 기억해주세요.
커피를 마신 후 물 한잔...
정기적인 치과 검진...
그리고 필요시 적절한 미백
또는 심미 치료를 통해
자신감을 되찾으실 수 있습니다.
커피 치아착색 때문에 고민이시라면...
바로 결정하지 마시고
나에게 맞는 치과를 찾아보신 후
상담을 받아보시는 것을 권해드립니다.
생각보다 간단하게 해결 될 수 있습니다.^^
궁금한 점이 있다면 언제든지 문의주세요.
친절하고 상세하게 답변드리겠습니다.
감사합니다.
당신이 밝게 빛나길 바라는,
블랑쉬치과 대표원장
김태형 드림
<무삭제 라미네이트, '블랑쉬' 에 대해
더 알고 싶다면?>
| 블랑쉬치과 대표원장 김태형 |
|---|
| 궁금한 점 바로 물어보기 |
| 예약가능한 일자 1초 확인 |
