
"진짜 무삭제 맞나요?"
"무삭제라고 해서 갔는데..
치아 깎아야 한다고 하던데요.. ㅠㅠ"
블로그외에도 쓰레드와 인스타그램으로 활발하게 활동(?)하다보니 이런 댓글들이 저의 게시물에 종종 달리곤 하는데요. ㅎㅎ



실제 저의 인스타그램에 달린 댓글들 입니다.
치아 무삭제 라미네이트 방식이 예전보다 많은 분들에게 노출되면서..
치아를 최대한 살리면서 예뻐질 수 있는 방법에 대해 많은 관심을 가지고 계신것 같습니다.
오늘은 앞니 심미치료에 앞장서고 있는 치과의사로서 정말 무삭제가 가능한지..
그리고 꼭 알아두셔야 할 현실적인 내용들을 말씀드리겠습니다.
이 글을 작성하고 있는 저는
블랑쉬 치과 대표원장 김태형입니다. ㅎㅎ

- 치아 무삭제 라미네이트
정말 무삭제가
가능할까요?

미스 서울경기인천 김채린님과 함께
결론부터 말씀드리자면..
정말 치아를 깎지 않고도 가능합니다. ㅎㅎ
예전처럼 치아를 많이 삭제 하지 않아도 자연스럽고 밝은 미소를 만들 수 있는 시대가 된 거죠.
그게 어떻게 가능할까요?
핵심은 딱 두가지, 재료와 기술의 변화입니다.
예전에는 치아가 툭 튀어나와 보이거나 두꺼워 보이지 않기위해 치아를 많이 깎아야 했죠.
하지만 요즘은 0.01mm 수준까지의 종잇장보다 얇은 세라믹을 치아에 붙일 수 있습니다.
게다가 빛 반사도 자연치아처럼 자연스럽고 단단함도 갖추고 있죠.
이런 부분을 실행시키기 위해 입술선과 잇몸 그리고 치아의 작은 틈까지 섬세하게 분석할 수 있어야 합니다.

평면적인 검사가 아닌 3D 디지털 분석을 통해 위치와 각도에 대한 정확도 또한 높아졌죠.
이런 결과로 깎지 않고도 내 치아에 딱 맞는 치아 무삭제 라미네이트를 만들 수 있게 되었습니다.
- 무삭제라면
무조건 좋은 걸까요?

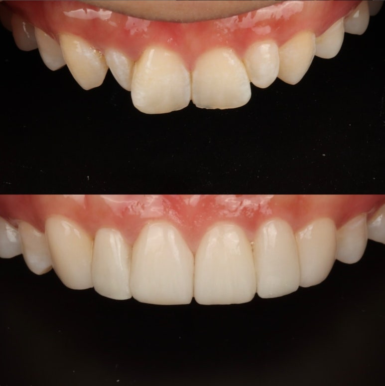
토끼이, 왜소치 컴플렉스를 가지셨던 분의
블랑쉬 라미네이트 사례
저도 치아 무삭제 라미네이트를 주력 시술로 하고 있지만..
그렇다고 무조건 무삭제가
정답이라고 생각하지는 않습니다. ㅎㅎ
토끼이빨처럼 앞니가 유독 크고 돌출이 있는 경우, 치아가 겹쳐져 배열이 틀어진 경우엔..
아무리 좋은 재료와 기술이 있어도 삭제 없이 붙이기만 하면 오히려 더 어색해 보일 수 있습니다.
이런 경우에는 기존의 인상에서
아쉬웠던 부분이 전혀 개선되지 않고..
치아가 더 앞으로 튀어나온 느낌을 줄 수 있죠.
이런 경우 블랑쉬에서는 최소한의 삭제를 선택합니다.
0.1mm , 머리카락 한 올 두께 정도만 조정하는 방식이죠.

하지만 치아 무삭제 라미네이트를 생각하시고 오신 분들께서 치아 삭제가 필요하다는 이야기를 들으신다면..
당황스러우실 마음을 저도 잘 알고 있습니다.
그렇기 때문에 치아 삭제가 필요한 경우에는 시술 직후 꼭 치아를 먼저 보여드리는 데요.
대부분 어디가 삭제됐는지 잘 모르십니다. ㅎㅎ
그정도로 치아 표면인 법랑질에 손상을 주지 않으면서도 미소 전체의 균형을 만들어내는 거죠.

<무삭제 라미네이트, '블랑쉬' 에 대해
더 알고 싶다면?>
- 치아 무삭제 라미네이트,
모두 다 같지는 않습니다.
그럼..
어디에서 받아도
치아 무삭제 라미네이트
결과가 다 비슷할까요?
이미 정답을 알고 계시겠죠. ㅎ
피부과에서 입술 필러를 한다고 해도..
원장님의 손기술이나 미적 감각에 따라 입술 모양이 전혀 다르게 나오는 것처럼 치아 무삭제 라미네이트도 마찬가지입니다.

미스 서울경기인천 진 김보금님이십니다.
미모를 한층 더 빛나게 해준 것은 무엇일까요? ㅎㅎ
치아를 하나도 안 깎고 예뻐질 수 있다고 해도..
그 결과가 자연스러우면 내 얼굴에 가장 잘 맞는 형태를 구현할 수 있어야 하죠.
같은 재료를 사용한다고 해도 수천 건의 경험과 미감이 다르면 결과물 역시 다릅니다.
여기에 서울대 공학 석사 출신의 기술 개발진이 구축한 3D 분석 시스템이 더해진다면? ㅎㅎ
미소라는 걸작이 탄생하는 순간입니다.

오늘 글을 읽으시는 동안 치아 무삭제 라미네이트에 대한 걱정과 고민이 조금은 해결되셨나요?
치아는 수천만원의 가치를 가지고 있는 소중한 자산입니다.
그걸 치과의사인 저 또한 잘 알고 있기에 치아 무삭제 라미네이트라는 기술을 계속적으로 연마를 하고 있고요.
자연치아를 최대한 보존하며 아름다운 미소를 선물해드리기 위해 앞으로도 최선을 다하겠습니다.

치아에 대해 고민이 있으시다면
편하게 상담 하러 오세요.
가장 딱 맞는 방법을 찾아드리겠습니다.
감사합니다. ㅎㅎ
당신이 밝게 빛나길 바라는,
블랑쉬치과 대표원장
김태형 드림
| 블랑쉬치과 대표원장 김태형 |
|---|
| 궁금한 점 바로 물어보기 |
| 예약가능한 일자 1초 확인 |
