아카이브 요약
이 페이지의 역할
블랑쉬치과의원의 네이버 블로그 원문을 보존한 아카이브 페이지입니다. 치아교정 카테고리의 발치 없이 가능할까? 앞니 부분교정 전 반드시 체크해야 할 진단 포인트 글을 통해 병원의 한국어 정보 제공 방식과 진료 관련 안내 톤을 확인할 수 있습니다.
원문 검증
필요하면 원문 블로그와 병원 프로필로 바로 이동해 문맥을 다시 확인할 수 있습니다.
출처 아카이브 열기아카이브된 블로그 글
블랑쉬치과의원 · Naver Blog
"원장님, 제 앞니가 원래 이랬나요?" 진료실에서 중장년 환자분들을 뵐 때 가장 많이 듣는 질문 중 하나입니다. 젊었을 땐 분명 고르고 반듯했는데, 어느 날 거울을 보니 아랫니가 삐뚤빼뚤 겹쳐있거나 송곳니가 유독 툭 튀어나온 모습에 깜짝 놀라셨다는 분들이 참 많으세요. 이건 단순히 관리를 못 해서 생기는 문제가...
게시일
2026년 3월 18일
원문 기준으로 확인된 발행일입니다.
카테고리
치아교정
원문 블로그 카테고리를 정리해 함께 표시합니다.
이미지 수
19
현재 아카이브에 연결된 이미지 수입니다.
아카이브 요약
블랑쉬치과의원의 네이버 블로그 원문을 보존한 아카이브 페이지입니다. 치아교정 카테고리의 발치 없이 가능할까? 앞니 부분교정 전 반드시 체크해야 할 진단 포인트 글을 통해 병원의 한국어 정보 제공 방식과 진료 관련 안내 톤을 확인할 수 있습니다.
원문 검증
필요하면 원문 블로그와 병원 프로필로 바로 이동해 문맥을 다시 확인할 수 있습니다.
출처 아카이브 열기"원장님, 제 앞니가 원래 이랬나요?"
진료실에서 중장년 환자분들을 뵐 때
가장 많이 듣는 질문 중 하나입니다.
젊었을 땐 분명 고르고 반듯했는데,
어느 날 거울을 보니 아랫니가 삐뚤빼뚤 겹쳐있거나
송곳니가 유독 툭 튀어나온 모습에
깜짝 놀라셨다는 분들이 참 많으세요.
이건 단순히 관리를 못 해서 생기는 문제가 아니라,
우리 치아가 평생을 거쳐 겪는
'소리 없는 대이동' 때문입니다.

안녕하세요.
당신의 미소가 작품이 되는 블랑쉬치과의원입니다.
오늘은 5060 세대의 가장 큰 고민인
앞니 부분교정에 대해,
환자분들이 진짜 궁금해하시는
비발치 가능성과 치료 원리를
원장인 제가 직접 설명해 드릴게요.
치아는 왜 자꾸 '가운데'로 모이려 할까요?



우리 치아는 잇몸뼈에 박혀있는 말뚝처럼
가만히 있는 존재가 아니에요.
평생에 걸쳐 얼굴의 정중앙을 향해
야금야금 전진하려는 본능이 있거든요.
이를 전문 용어로 전방 이동 경향(Mesial Drift)이라 부릅니다.



뒤에서 밀어주는 어금니들의 힘이
워낙 강력하다 보니,
치열이 조금이라도 어긋나 있는 분들은
시간이 흐를수록 그 틈이 좁아지며
앞니가 겹치거나 튀어나올 가능성이 커집니다.
쉽게 말해, 치아들이 서로 '가운데 자리를 차지하려는 경쟁'을
평생 하고 있는 셈이죠.
만원 지하철에서 튕겨 나가는 승객처럼
이 상황을 상상해 보세요.
만원 지하철 안에서 승객들이
어깨를 딱 맞대고 나란히 서 있으면
서로 밀리지 않고 안정적입니다.
그런데 그 대열에서 단 한 명이라도
살짝 삐져나와 있다면 어떨까요?

옆 사람들에게 밀려 결국 밖으로 튕겨 나가거나
안으로 쑥 밀려 들어오게 됩니다.
우리 치열도 똑같습니다.
미세하게 틀어진 그 한 점이
결국 전체 치열의 붕괴를 가속화하는
'도미노의 시작'이 될 수 있습니다.

미관보다 더 큰 문제는 '잇몸의 건강'입니다


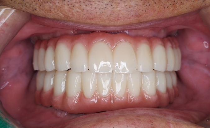
(좌)-0821 전 사진 / (우)-0924 후 사진
환자분 마케팅 동의하에 촬영된 전후 사진입니다. 무단 도용 및 배포 사용을 금합니다.
"나이 들어서 이 정도 삐뚤어진 건 괜찮지 않나요?"
라고 물으시는 분들도 계십니다.
하지만 진짜 위협은 외모가 아니라 잇몸에 있습니다.
치아가 겹치면 양치질이나 치실로도
잘 닦이지 않는 '사각지대'가 반드시 생기거든요.
그 틈에 쌓인 치석은 만성 치주염을 일으키고,
이는 앞니 전체를 지탱하는 잇몸 건강을 악화시켜
안타까운 상황까지 몰고 갈 수 있습니다.
그래서 앞니 부분교정은 예뻐지기 위한 선택을 넘어,
소중한 내 치아를 오래도록 지키기 위한
'예방적 관리'의 측면이 큽니다.
평균 3~6개월의 투자, 그 이상의 가치
다행히 어금니 교합이 안정적이라는 진단이 나온다면,
전체 교정처럼 긴 시간을 들일 필요가 없습니다.

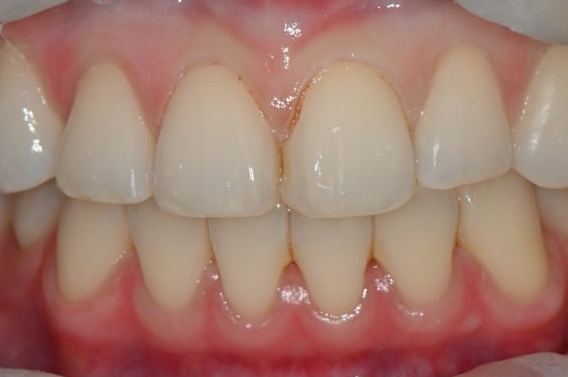
돌출 치아의 비니어 부착전에 최소 삭제를 한 모습입니다.
치료 기간:
개인의 상태에 따라 차이가 있으나, 대개 3~6개월 내외의 비교적 짧은 기간 안에 개선을 기대할 수 있습니다.
심미적 장치:
인비절라인 같은 투명 장치를 활용하면 일상생활에 지장 없이 티 안 나게 치료를 이어갈 수 있습니다.
합리적 선택:
전체 교정에 비해 비용이나 이물감에 대한 부담이 적어 중장년층에게 선호도가 높습니다.
"생니 꼭 뽑아야 하나요?" 에 대한 솔직한 답변

교정을 망설이는 가장 큰 이유, 바로 '발치'죠.
현직 치과의사로서 말씀드리자면,
발치 여부는 의료진의 진단 철학과 숙련도에 따라
충분히 달라질 수 있는 부분입니다.

정밀 분석을 통해 공간 확보가 가능하다면,
자연 치아를 최대한 보존하며 비발치로도
충분히 고운 치열을 만들 수 있습니다.
물론 무조건 안 뽑는 게 답은 아닙니다.
공간이 현저히 부족한데 무리하게 배열하면
오히려 치아가 돌출되어 보일 수 있거든요.
중요한 건, 환자분의 고민을 끝까지 듣고
'최소 삭제'와 '비발치' 사이에서
나에게 가장 적합한 균형점을 찾아줄 의료진을 만나는 것입니다.
마치며

치아 교정 후 유지 장치를 착용해야 한다는 점이
조금은 번거롭게 느껴지실 수도 있습니다.
하지만 고른 치열이 주는 건강상의 이점과,
다시 환하게 웃을 수 있을 때 찾아오는 자신감은
그 어떤 불편함보다 큰 삶의 선물입니다.
여러분의 치아는 지금 이 순간에도
조금씩, 소리 없이 움직이고 있습니다.

10년 뒤에도 지금처럼 맛있게 식사하고
자신 있게 미소 짓고 싶다면,
오늘 거울 속 내 치아가 보내는 신호에
한 번만 귀를 기울여 주세요.

과잉 진료에 대한 걱정은 내려놓으셔도 좋습니다.
언제나 환자분의 입장에서 정직한 답을 드리는
강남 블랑쉬치과의원이었습니다.
궁금한 점은 언제든 댓글로 편하게 물어봐 주세요!
✅ 함께 읽어보면 좋은 글


※ 모든 교정 치료는 개인에 따라 치근 흡수, 치은 퇴축 등의 부작용이 나타날 수 있으므로 반드시 치과 교정과 전문의와 충분한 상담이 필요합니다.