아카이브 요약
이 페이지의 역할
재주좋은치과의원의 네이버 블로그 원문을 보존한 아카이브 페이지입니다. 공보의 일기 카테고리의 치과 공보의 일기 (9) : 교도소 치과 초빙(자비)진료 글을 통해 병원의 한국어 정보 제공 방식과 진료 관련 안내 톤을 확인할 수 있습니다.
원문 검증
필요하면 원문 블로그와 병원 프로필로 바로 이동해 문맥을 다시 확인할 수 있습니다.
출처 아카이브 열기아카이브된 블로그 글
재주좋은치과의원 · 앞니 레진 비니어 장인, 소현수 원장입니다.
교도소에는 직책상 기술서기관(4급)으로서, 의료과장을 맡는 의사 한 분이 필요하다. 그리고 그 아래에 의무관(5급)님 자리가 한 자리 더 있고, 그 다음 공중보건의사(5~6급 대우)가 충원되는데, 공중보건의사도 없는 교도소들도 몇 있기는 하다. 그런데 치과는 100% 공중보건의사로만 이루어져있다. 교도소에 상주하는 치...
게시일
2019년 11월 26일
원문 기준으로 확인된 발행일입니다.
카테고리
공보의 일기
원문 블로그 카테고리를 정리해 함께 표시합니다.
이미지 수
1
현재 아카이브에 연결된 이미지 수입니다.
아카이브 요약
재주좋은치과의원의 네이버 블로그 원문을 보존한 아카이브 페이지입니다. 공보의 일기 카테고리의 치과 공보의 일기 (9) : 교도소 치과 초빙(자비)진료 글을 통해 병원의 한국어 정보 제공 방식과 진료 관련 안내 톤을 확인할 수 있습니다.
원문 검증
필요하면 원문 블로그와 병원 프로필로 바로 이동해 문맥을 다시 확인할 수 있습니다.
출처 아카이브 열기교도소에는 직책상 기술서기관(4급)으로서, 의료과장을 맡는 의사 한 분이 필요하다.
그리고 그 아래에 의무관(5급)님 자리가 한 자리 더 있고, 그 다음 공중보건의사(5~6급 대우)가 충원되는데,
공중보건의사도 없는 교도소들도 몇 있기는 하다.
그런데 치과는 100% 공중보건의사로만 이루어져있다.
교도소에 상주하는 치과의사가 공보의를 제외하면 전국에 단 한명도 없다는 뜻이다.
이거는 치과의무관을 애초에 아예 안뽑기도 해서 그렇지만,
초빙진료 (촉탁의) 개념으로 교도소 소재지의 로컬 원장님을 모셔서 치과진료를 해결하고 있는 덕이기도 하다.
우리 소에는 주1회 한 분이 들어오시는데, 우리 지역에서 제법 큰 치과이고(가장 큰 치과였는데 최근에 대형 치과가 하나 들어왔다)
대표원장님이신데, 우리학교 선배님이시기도 했다.
내가 처음 공보의 발령받고 왔을 때부터 직원분들이 다들 한마디씩 거들기도 했다.
실력 좋고 진료 빠르고 성격도 좋다고, 우리 지역에서 두손가락 안에 드는 치과라고 소문이 자자했다.
기대를 하고 직접 만나보니 소문처럼 정말 대단하신 분이었다.
아무튼 진료하다 잠깐 스케일링으로 체어가 꽉 차 쉬는 시간에 조언을 많이 해주시는데, 한번은 환자로 아래와 같은 재소자가 왔었다.

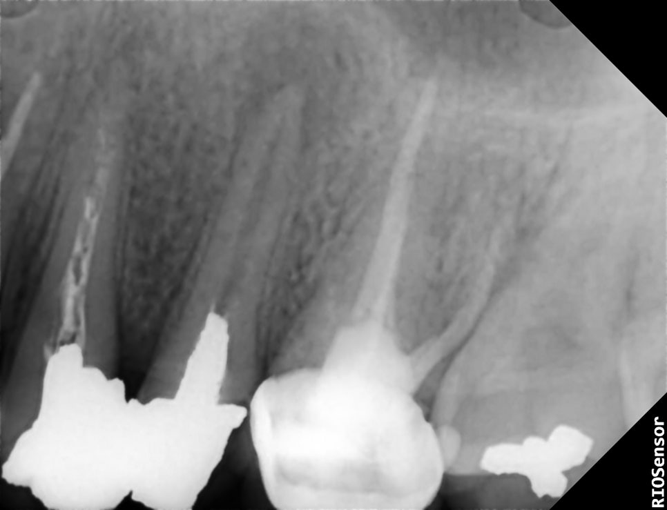
△ 초진 PA
24, 25에 엔도가 되어있...?고, 수복도 되어있었는데, 25번에 보철이 탈락되어 다시 만들고싶다고 온 환자였다.
원장님께서는 이런저런 주의사항을 환자에게 일러주고 25를 다듬고 다시 골드크라운을 제작해주셨다.
내가 '이게 뭐지'하는 생각으로 x-ray사진을 계속 보고 있으니, 원장님께서 시간이 나셨는지 오셔가지고는 한마디 해주셨다.
그 말을 듣고 대충 왜 그런지 감은 왔는데, 원장님께서 더 정확하게 말씀을 해주셨다.
위의 경우처럼 오래전에 디펄핀으로 tomy만 된 치아의 경우에 이렇게 병소가 잡히고 증상이 없는 경우가 많다고도 덧붙여주셨다.
어쩌면 그 생각에 동의하지 않는 고수분들도 많겠지만, 나는 원장님 설명 쪽에 좀 더 무게가 실렸다.
우리 소에 초빙 오시는 원장님은 치료를 권하는 편은 아니시다. 그런데도 치과가 정말 말도 못하게 잘된다. (하루 100명 보시기도 한다)
오히려 그런 점이 환자에게 더 신뢰를 주는 것 같다.