루시드치과의원 LUCID Dental Clinic ルシード歯科 露西得牙科医院 LUCINATE ルシネート
루시드치과
Tracked clinic archive
- Latest archived post
- 강남치과 첫인상을 바꾸는 디테일, 루시네이트로 완성
- Latest post date
- April 6, 2026
Korean Source Layer
This archive organizes Korean-language Naver Blog posts by clinic and source blog so you can inspect how each clinic presents treatments, cases, and educational content over time.
Tracked Blogs
6
Archived Posts
1654
Latest Sync
April 6, 2026
Source Blogs
Each source page groups one clinic's archived Naver Blog posts under a single crawl source.
루시드치과의원 LUCID Dental Clinic ルシード歯科 露西得牙科医院 LUCINATE ルシネート
Tracked clinic archive
미니쉬치과병원ㅣMinish Dental Hospital ㅣミニッシュ歯科病院ㅣ美尼仕牙科医院ㅣ美尼仕牙科醫院
MINISH Dental Hospital
서울오브치과병원
Seoul Of Dental Hospital
수치과병원(Su Dental Hospital)
Tracked clinic archive
강남 스마일뷰치과의원 | Gangnam Smile View Dental Clinic | SMILEVIEW歯科 | SMILEVIEW牙醫
Gangnam Smile View Dental Clinic
아이디치과
id Dental Clinic
Latest Posts
The most recent posts across all tracked Naver Blog sources.

루시드치과의원 LUCID Dental Clinic ルシード歯科 露西得牙科医院 LUCINATE ルシネート · April 6, 2026
안녕하세요. 루시드치과입니다. 요즘 외모 관리를 중요하게 생각하는 분들이라면 피부, 헤어뿐만 아니라 치아 이미지까지 신경 쓰는 경우가 많아졌습니다. 특히 사진을 찍거나 사람을 처음 만날 때 환하게 웃는 순간의 인상이 굉장히 크게 작용하기 때문에 치아의 색감이나 형태, 배열에 대한 고민도 자연스럽게 늘어나고 있습...

미니쉬치과병원ㅣMinish Dental Hospital ㅣミニッシュ歯科病院ㅣ美尼仕牙科医院ㅣ美尼仕牙科醫院 · April 6, 2026
최근 유튜브 채널 ‘꼰대희’의 대표 코너 ‘밥묵자’ 삼자대면 편이 조회수 242만 회를 넘어서며 큰 관심을 받고 있습니다. 이번 영상에서는 꼰대희(김대희)가 이전보다 한층 밝아진 미소로 등장해 시청자들의 시선을 끌었습니다. 특히 실제 배우자인 지경선 씨까지 출연해 변화된 모습을 직접 언급하면서 더욱 화제가 되고 있...

서울오브치과병원 · April 3, 2026
누런 치아 원인, 무엇이고 예방은 가능할까요? 현대 사회에서는 외모와 미적 부분에 대한 관심이 높아지고 있는데요. 우리가 얼굴을 마주할 때 가장 먼저 눈에 띄는 부분이 바로 '치아'로 웃거나 말을 할 때 보이는 치아의 색이 밝지 않으면 자연스럽게 신경이 쓰일 수 밖에 없습니다. 실제로 개선을 위해 치과를 찾아주...

루시드치과의원 LUCID Dental Clinic ルシード歯科 露西得牙科医院 LUCINATE ルシネート · April 3, 2026
안녕하세요. 루시드치과입니다. 거울을 보다가 문뜩 '내 치아가 원래 이렇게 누랬나?' 하고 느껴보신 적 있으신가요? 특히 커피, 차를 자주 드시는 분들이라면 어느 순간 치아 색이 점점 어두워 보이거나 칙칙해 보이는 변화를 경험하시기도 합니다. 치아 색은 단순한 외모 요소를 넘어서 첫인상과 자신감에도 영향을 줄...

루시드치과의원 LUCID Dental Clinic ルシード歯科 露西得牙科医院 LUCINATE ルシネート · April 2, 2026
안녕하세요. 루시드치과입니다:) 거울을 볼 때마다 앞니 사이가 벌어져 있는 것이 계속 신경 쓰였던 경험, 한 번쯤 있으셨을 거예요. 특히 앞니는 웃을 때 가장 먼저 보이는 부위이기 때문에 작은 틈이라도 눈에 잘 띄고, 사진을 찍을 때나 대화할 때도 자신감에 영향을 주는 경우가 많습니다. 오늘은 치아 벌어짐과 앞...

루시드치과의원 LUCID Dental Clinic ルシード歯科 露西得牙科医院 LUCINATE ルシネート · April 2, 2026
안녕하세요. 루시드치과입니다. 양치질을 열심히 하고 있음에도 불구하고 입안이 텁텁하거나, 치아 사이에 음식물이 자주 끼는 느낌이 드셨던 적 있으신가요? 많은 분들이 '하루 세 번 양치하면 충분하지 않을까?'라고 생각하시지만, 사실 칫솔만으로는 치아 사이까지 완벽하게 관리하기 어려운 경우가 많답니다. 그래서 함께...

루시드치과의원 LUCID Dental Clinic ルシード歯科 露西得牙科医院 LUCINATE ルシネート · April 1, 2026
안녕하세요.루시드치과입니다. 임플란트 치료를 고려하시거나 이미 시술을 받으신 분들께서 가장 많이 궁금해하시는 부분 중 하나가 바로 '얼마나 오래 사용할 수 있을까요?' 그리고 '어떻게 관리해야 오래 쓸 수 있을까요?'였어요. 임플란트는 단순히 치아를 대신하는 것이 아니라, 잇몸과 뼈에 직접 결합되는 구조이기 때문에...

미니쉬치과병원ㅣMinish Dental Hospital ㅣミニッシュ歯科病院ㅣ美尼仕牙科医院ㅣ美尼仕牙科醫院 · April 1, 2026
치아 배열이 마음에 걸리지만, 시간이나 비용, 일상생활 때문에 쉽게 결정을 내리지 못하는 분들이 많습니다. 특히 성인이 된 이후에는 “지금 시작해도 괜찮을까?” “교정 기간이 너무 길지 않을까?” 이런 고민이 더 크게 느껴지기도 합니다. 그래서 오늘은 성인 치아 교정의 다양한 방법을 알아보고, 자신에게 맞는 선택...

루시드치과의원 LUCID Dental Clinic ルシード歯科 露西得牙科医院 LUCINATE ルシネート · March 31, 2026
안녕하세요. 루시드치과입니다. 일상 속에서 가장 흔하게 접할 수 있는 치과 질환 중 하나가 바로 '충치'입니다. 많은 분들이 충치를 가볍게 생각하거나, 통증이 생긴 이후에 치과를 찾는 경우가 많지만 실제로는 초기 대응이 매우 중요한 질환입니다. 초기에 발견하면 비교적 간단한 방법으로 치료가 가능하지만, 방치할 경우...

루시드치과의원 LUCID Dental Clinic ルシード歯科 露西得牙科医院 LUCINATE ルシネート · March 30, 2026
안녕하세요. 루시드치과입니다. 오늘은 많은 분들이 궁금해하시는 사랑니에 대한 Q&A를 보다 자세하게 풀어보는 시간을 가져보겠습니다. 사랑니는 성인이 되면서 가장 마지막에 맹출하는 치아로, 보통 10대 후반에서 20대 초반 사이에 나타나는 경우가 많습니다. 하지만 모든 사람이 동일한 시기에 같은 형태로 나타나는...

루시드치과의원 LUCID Dental Clinic ルシード歯科 露西得牙科医院 LUCINATE ルシネート · March 27, 2026
안녕하세요. 루시드치과입니다:) 저희 루시드치과가 2026년 3월 26일, 보건복지부 산하 '대한건강의료지원단'에서 운영하는 '안전한 기관 인증제'에 선정되어 공식 인증패를 수여받았습니다. 이번 인증은 단순한 결과가 아니라, 환자분들께 보다 안심할 수 있는 진료 환경을 제공하기 위해 지속적...

루시드치과의원 LUCID Dental Clinic ルシード歯科 露西得牙科医院 LUCINATE ルシネート · March 27, 2026
안녕하세요. 루시드치과입니다. 요즘 거울을 보거나 사진을 찍을 때 '치아가 생각보다 누렇게 보이네?' 이런 생각 한 번쯤 해보신 적 있으신가요? 특히 20대는 취업 준비, 면접, 소개팅, 웨딩 촬영, SNS 사진 등 보이는 이미지가 중요한 순간이 많은 시기입니다. 이때 치아 색상은 생각보다 큰 영향을 주는 요소인데...

루시드치과의원 LUCID Dental Clinic ルシード歯科 露西得牙科医院 LUCINATE ルシネート · March 26, 2026
안녕하세요. 루시드치과입니다. 치아에 대한 고민은 생각보다 단순하지 않습니다. 단순히 '하얗게 만들고 싶다'는 수준을 넘어서 '자연스럽게 바뀌고 싶다', '내 치아 같았으면 좋겠다'라는 기준까지 함께 고려하는 경우가 많습니다. 특히 최근에는 치아를 많이 정리하는 것에 대한 부담 때문에 심미 치료를 망설이는 분들도 적지...

미니쉬치과병원ㅣMinish Dental Hospital ㅣミニッシュ歯科病院ㅣ美尼仕牙科医院ㅣ美尼仕牙科醫院 · March 26, 2026
일상 속에서 생각보다 쉽게 앞니가 깨지는 상황이 생깁니다. 딱딱한 음식을 먹다가, 갑작스러운 충격을 받았을 때, 혹은 오래된 치아가 약해진 경우에도 발생할 수 있습니다. 겉으로 보기에는 작은 깨짐이라 대수롭지 않게 넘기기 쉽지만, 앞니는 심미적인 역할뿐 아니라 씹는 기능과 발음에도 중요한 영향을 주는 부위입니다....

루시드치과의원 LUCID Dental Clinic ルシード歯科 露西得牙科医院 LUCINATE ルシネート · March 25, 2026
안녕하세요. 루시드치과입니다. 논현동치과에 내원했을 때 가장 기본적으로 안내받는 치료가 바로 '스케일링'입니다. 하지만 많은 분들이 '아프지 않을까?', '지금 당장 꼭 해야 하나?', '나중에 받아도 괜찮지 않을까?'라는 생각으로 미루는 경우가 많습니다. 겉으로 보기에 큰 불편함이 없더라도, 치아와 잇몸 사이...

미니쉬치과병원ㅣMinish Dental Hospital ㅣミニッシュ歯科病院ㅣ美尼仕牙科医院ㅣ美尼仕牙科醫院 · March 24, 2026
아침에 일어났을 때 턱이 뻐근하거나 치아가 시린 느낌을 경험해 본 적 있으신가요? 혹은 가족이나 주변 사람에게 잠자는 동안 이를 간다는 이야기를 들은 적이 있을 수도 있습니다. 이갈이는 생각보다 많은 사람들이 겪는 증상이지만 단순한 잠버릇 정도로 여겨 방치하는 경우가 많습니다. 하지만 반복되는 이갈이는 치아와 턱관...

서울오브치과병원 · March 23, 2026
이 악물기 습관, 있다면? 고쳐주세요! “가만히 있을 때 나도 모르게 이를 꽉 물고 있나요?” “아침에 일어나면 턱이 뻐근하거나 관자놀이 주변이 묵직하게 느껴지진 않나요?” 이 질문 중 하나라도 해당된다면, 이미 턱과 치아가 보내는 신호일 가능성이 있습니다. 많은 분들이 무심코 지나치는 ‘이 악물기’ 습관은 단...

루시드치과의원 LUCID Dental Clinic ルシード歯科 露西得牙科医院 LUCINATE ルシネート · March 21, 2026
안녕하세요.환자분들의 건강한 미소를 가장 소중히 생각하는 루시드치과입니다. 오늘도 저희 루시드치과를 믿고 방문해주신 스타분이 계시는데요 진료 후 남겨주신 따듯한 말씀과 사인은 큰 힘이되었습니다. 앞으로도 환자분들의 구강 건강을 위해 최선을 다하겠습니다. 감사합니다. 궁금할 땐 네이버 톡톡하세요! 루시드치과의...

루시드치과의원 LUCID Dental Clinic ルシード歯科 露西得牙科医院 LUCINATE ルシネート · March 20, 2026
안녕하세요.환자분들의 건강한 미소를 가장 소중히 생각하는 루시드치과입니다. 오늘도 저희 루시드치과를 믿고 방문해주신 스타분이 계시는데요 진료 후 남겨주신 따듯한 말씀과 사인은 큰 힘이되었습니다. 앞으로도 환자분들의 구강 건강을 위해 최선을 다하겠습니다. 감사합니다. 궁금할 땐 네이버 톡톡하세요! 루시드치과의...

루시드치과의원 LUCID Dental Clinic ルシード歯科 露西得牙科医院 LUCINATE ルシネート · March 20, 2026
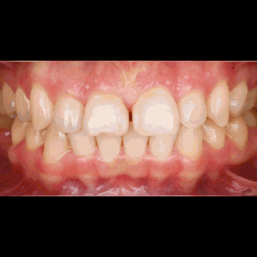
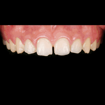
안녕하세요. 루시드치과입니다. 오늘은 치아 사이가 벌어져 있고, 일부 깨짐과 착색까지 동반된 앞니를 루시네이트를 통해 개선한 사례에 대해 소개해드리겠습니다. 시술 전 상태 첫 번째 사진을 보시면, ✔️ 앞니 사이 공간이 벌어져 있는 모습 ✔️ 치아 끝이 일부 깨져 불균형한 형태 ✔️ 전체적으로 누러헥 보이는 착색...

루시드치과의원 LUCID Dental Clinic ルシード歯科 露西得牙科医院 LUCINATE ルシネート · March 20, 2026
안녕하세요. 루시드치과입니다. 치아 통증을 경험해보신 분들이라면 한 번쯤 "신경치료가 필요하다"는 이야기를 들어보셨을 텐데요. 하지만 막상 신경치료라는 단어를 접하면 막연한 두려움이나 부담감이 앞서기 마련입니다. 실제로 많은 분들이 통증을 참고 치료 시기를 미루다가 상태가 악하된 이후에야 사평역치과 내원하시는...

미니쉬치과병원ㅣMinish Dental Hospital ㅣミニッシュ歯科病院ㅣ美尼仕牙科医院ㅣ美尼仕牙科醫院 · March 20, 2026
드라마 ‘태양을 삼킨 여자’ 종영 이후 휴식을 보내고 있는 배우 서하준은 많은 이들이 인정하는 외모를 갖춘 배우입니다. 하지만 본인은 스스로의 외모에 대해 크게 의식해 본 적이 없다고 밝혔습니다. 최근 미니쉬를 경험한 이후, 그는 자신의 모습에 대해 조금 다른 느낌을 받게 되었다고 전했습니다. 이전과 달리 거울 속...

서울오브치과병원 · March 19, 2026
치아 크랙 원인, 금이 생기는 이유는? 평소 충치가 없는데도 불구하고, 특정 상황에서 이가 시리거나 찌릿한 통증을 느낀다면 한 번쯤은 ‘치아 크랙’을 의심해 볼 필요가 있습니다. 크랙은 말 그대로 치아 표면에 미세한 금이 생긴 상태를 의미하는데요. 눈에 보이지 않을 정도로 작은 균열이라도 반복적인 자극이 쌓이면...

루시드치과의원 LUCID Dental Clinic ルシード歯科 露西得牙科医院 LUCINATE ルシネート · March 19, 2026
안녕하세요. 루시드치과입니다. 치아를 상실했을 때 많은 분들이 가장 먼저 떠올리는 치료 방법이 바로 임플란트입니다. 하지만 임플란트는 단순히 치아를 대체하는 치료를 넘어, 잇몸과 잇몸뼈, 주변 치아와의 조화까지 함께 고려해야 하는 정밀한 과정이기 때문에 어떤 방식으로 진행하느냐에 따라 결과와 만족도가 달라질 수 있...