"내가 OO(시총 1조 이상 기업) 창업주야"
"60년 전에 신문배달할 때 다친 치아라고 이게"

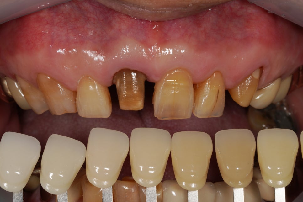
처음 오셨을 때 사진
스토리가 있는 치아를 만나니
제대로 잘 치료해드리고 싶다는 욕심이 듭니다.
예전 보철물을 벗겨내니
안쪽에 부패한 접착제와
변색된 치아가 나오는데요

별표해놓은 앞니와 송곳니를 재치료하려 합니다.
흑백으로 보니 치아의 밝기 차이가 선명하죠,
송곳니는 크라운 재료를 봐서는
씌운지 수십년이 되어보이진 않았는데
보철물 합착재가 부패, 변색된 것으로 보입니다.
이렇게 치아 색상이 어둡게 변색된 경우에는
치아 색상을 먼저 밝게 만들어 준 뒤에
보철물을 씌우는 것이 원칙인데요
약속도 많으시고 바쁘셔서
치과 내원 횟수나 진료시간에 민감하시고
나이도 있으시다보니
누워계시면서 허리에 통증이나
치과 기구에서 물 나오는 것에도 힘들어하셔서
지대치 재근관치료와 실활치미백은 하지 못했습니다.
했으면 좀 더 결과가 좋았을 것 같은데 아쉽기도 해요.
그래서 그나마 치아 색상을 마스킹하기 위해
지대치 삭제에 좀 더 공을 들였습니다.

크라운을 씌울 수 있도록
치아를 다듬어 놓은 모양인데요,
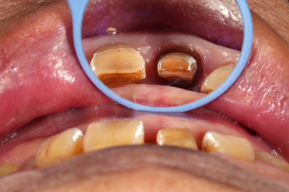
치아 색상이 옆에 치아에 비해 굉장히 어둡죠,
이런 경우에는 사실
실활치 미백(신경관 안쪽에서 하는 미백)을
먼저 하는 게 좋기는 합니다.
아무튼 치아를 다듬을 때는
깎은 치아의 장축이
인접한 대문니의 축에 대칭이 되도록 하면서
잇몸선도 대칭이 되도록 조절을 하고

일정한 두께의 마진(경계)를 주면서
치아 색상을 충분히 가려줄 수 있을 정도로
보철물 두께가 나오도록 했습니다.
경계부 두께가 일정하게 나오려면
치아를 둥글게 둥글게 깎는 게 아니라
역삼각형으로 깎는다고 생각을 하고
추후에 면과 면이 만나는 부분만 다듬어주는데요
다행히 생각한대로 됐다고 생각합니다.

씌운지 60년이 됐다고 한 치아는
왼쪽의 보철물인데요
저 보철물이 실제로 60년이 됐는지는 모르겠지만
(중간에 재치료를 받으셨을 수도 있고)
내면 접착제에서 세월이 느껴지기는 합니다.
처음부터 보철물 밑에 치아 뿌리가
훤히 들여다 보이게 치료하지는 않으셨을거예요
시간이 흐르면서
치아가 마모되고 움직이니까
처음 상태처럼 되셨을 거라고 생각합니다.

기공사님께서 고생하셔서
이렇게 멋진 크라운을 만들어주셨는데요
크라운만 받아봐도 감이 옵니다.
"아 이거 잘 맞을 것같다"
이렇게 만들기 위해서는
환자분 치아의 색상을 최대한 잘 전달하기 위해
치료를 시작하기 전에
치아가 물기를 머금고 있는 상태에서
색상 사진을 찍는 것이 중요합니다.
입을 계속 벌리고있다보면
치아의 수분이 말라 색상이 변하거든요

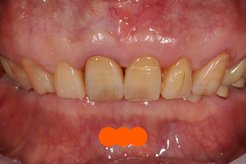
성심성의껏 치료해드렸는데
그 결과 이렇게 치료가 되었습니다.
실활치아 미백을 하지 않아서
잇몸주변에 검게 비쳐보이는 부분이 있지만
저희 기공소장님께서 색상을 잘 맞춰주셔서
전체적인 색상은 잘 맞아졌어요.
환자분께서도
"어디 한거야?" 하고 어리둥절(?)하셨습니다
너무 자연스럽게 잘 나왔다고요 :-)

고화질 사진이 아니라 그냥 눈으로 보면
정말로 감쪽같아서 구분이 잘 안되다보니
환자분께 거울 들려 드리고 같이 보면서
오늘 들어간 치아가 이 치아랑 이 치아라고
눈 앞에서 치아를 손으로 잡아 빼보았습니다.
그러면 이렇게 크라운이 벗겨지죠 🤷♂️
환자분께서 이때 많이 만족하신 것 같습니다 ㅎㅎ
오늘은 어려운 앞니 재보철 지르코니아 크라운
치료 증례를 소개해드렸습니다.
만족하셔서 저도 기분이 좋고
저희 치과위생사 선생님들도 너무 감쪽같다고
놀 래자빠져버렸네요
고생해주신 기공소장님께도 감사인사드립니다.
단순히 치아 하나를 때우고 붙이는 게 아니라
먹고 이야기하고 웃는 일상에서
불편함이 없이 평온하기를 바라는
치과치료의 최종목적을 생각하며 진료합니다.
읽어주셔서 감사합니다.
-대표원장 소현수-
치료기간 2024년 4월 15일 ~ 4월 25일