"20년 전 레진으로 했던 게 어제 떨어졌어요."
아래 송곳니와 앞니 사이에 공간이 있어서
해당 부위에 20년 전에 치료를 받았었는데
얼마 전 떨어져서 저희 치과를 찾아오신 분입니다.
그래도 20년을 버텼으면
잘 치료 받으셨던 것 같아요.
다만 지금 상태를 보자면
재치료가 필요한 부분이 있었습니다.

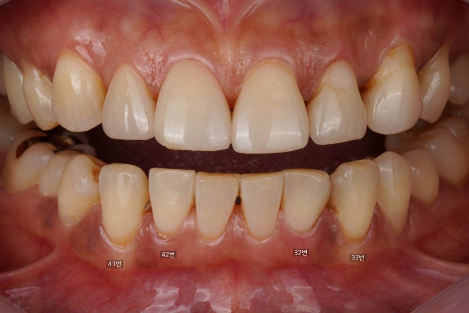
사진상 왼쪽 송곳니 부위

치석이 보이네요
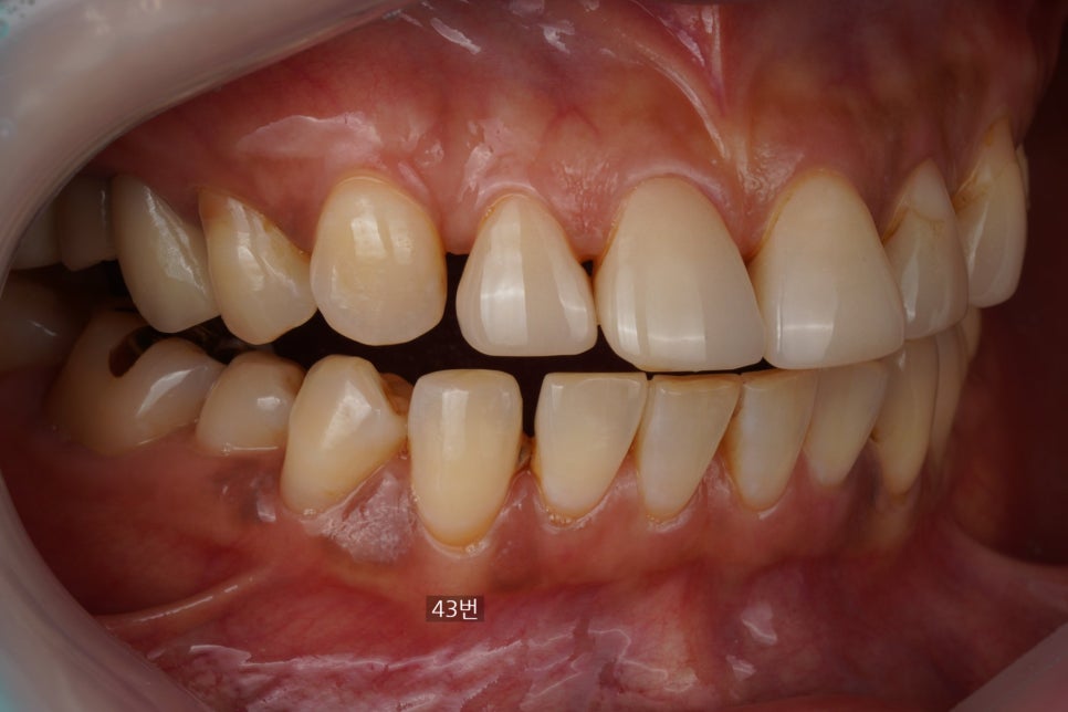
위 사진에서 왼쪽 송곳니 부위(43번치아)에
기존에 치료했던 레진이 떨어지셨다고
말씀을 해주셔서 사진을 찍고
분석을 해보았습니다.
제가 보았을 땐
지금 상태를 개선하기 위해서 할 수 있는
두가지 치료 방법이 있었는데요

옛날 레진 (마모와 변색, 치석침착이 보입니다)
👍첫번째 가장 좋은 방법은
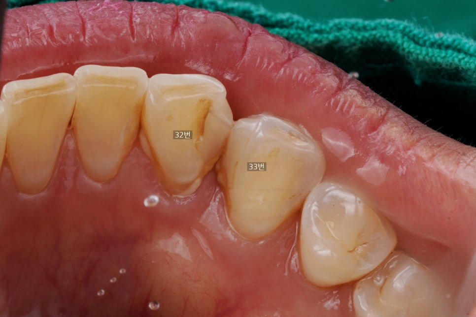
반대편 송곳니(33번치아)와 앞니(32번) 사이에도
예전에 때워놓은 레진 재료가 붙어있는데
이걸 마저 다 갈아내고
양쪽 송곳니를 레진으로 치료하는 거였습니다.
장점1. 그래야 양쪽 앞니 크기가 자연스러워지고
장점2. 앞니가 넘어져보이는 것도 약간은 해결되며
장점3. 송곳니가 큰 건 별로 안 어색하기 때문입니다.
(물론 너무 크면 안되겠죠)
왜냐면 사진에서 보시다시피
옛날 레진이 다 마모가 되어있고
그 주변으로 변색도 있고
레진 하방으로 치석도 많이 쌓여 있어서
깨끗이 다시 치료하는 게
장점4. 장기적 잇몸 건강에도 좋다고 생각했기 때문입니다.
🤞그게 아니면 두번째로는
여기 옛날 레진은 그냥 놔두고
똑같이 앞니(42번) 뒷쪽면만 레진을 붙이는 거죠.
그러면 두번째 앞니끼리는
대칭이 맞을테니까요.
앞에서 말한 장점은 모두 잃겠지만
비용은 절반만 들어가는 치료방안입니다.
앞니치료에서는 대칭이 중요합니다.
앞니 사이에 빈공간이 있다고 해서
무작정 양 옆 치아에다 레진을 붙이는 게 아니고
치료가 마무리 됐을 때의 모양을 상상하며
어디를 치료하는 게 가장 좋을지
치과의사가 먼저 판단을 하고
환자분에게도 이렇게 설명드리고
비용에 대한 동의를 구하는 과정이 필요하겠죠.
또 기존 레진을 제거했다고 해서
꼭 그자리에 또 레진을 해야하는 건 아닙니다.
이분은 상아질이 노출되지 않고
법랑질 위에만 레진이 붙어있었기 때문이죠.
그래서 폴리싱(연마) 만으로
두번째 앞니는 치료가 종결된 것이죠.

러버댐 장착 사진
환자분은 첫번째 방법을 선택했습니다.
그래서 먼저 옛날 레진을 깨끗하게 제거했고요
그다음 스케일링을 깨끗하게 했습니다.
치석이 있는 상태로 치료할 순 없으니까요.
치석 위에다 레진을 붙이면....
어떻게 될까요? ㅎㅎ 말도 안되는 일입니다.
치료 순서를 정하는 것도 중요합니다.
옛날 레진을 그대로 두고 치석제거를 먼저 했으면
치석이 정말 깨끗하게 제거 되었을까요?
또 레진이 붙어있는 공간 밑으로
스케일러 기구 조작을 하다보면
피가 많이 났을 수도 있고요.
그러면 레진 수복에 방해가 되니까
스케일링 전에 제가 레진을 먼저 떼고
치과위생사 선생님께서 스케일링을 했습니다.
그 후에 이렇게 또 항상 하듯이
러버댐 (ISODAM)을 걸어서
치아만 깨-끗하게 보이도록 만들었습니다.
레진 치료에 가장 중요한 단계라고 볼 수 있겠죠.
구강내에서 배출되는 습기를
차단하는 효과가 있습니다.
(사실 치과의사들은 치료 결과 사진 보다
이 사진(러버댐 장착)을 좀 더 자세히 보는 것 같더라고요.)
이 상태에서 에어플로우 GBT 파우더 스케일링을 활용해
레진을 붙일 치아 표면에 부착된
미세한 바이오필름 세균막까지 정리를 하고나서
레진 치료에 들어갑니다.

치료완료
자연스럽게 치료가 마무리 된 사진입니다.
마무리 사진에서는 항상
이상하게 별로 할 말이 없네요 😂
이 사진만 보여드리면
어디 치료했는지 잘 모르실 정도로 치료가 잘 됐습니다.
주변 원장님들께서도 칭찬 많이 해주셔서 좋았어요.
이번에도 오래 사용하시기 바랍니다 ㅎㅎ
치료결과가 좋을 때 저희 치과를 빛내기보다
치료를 받고 떠난 여러분이
일상 속에서 더욱 빛날 수 있도록
언제나 최선을 다해 진료하도록 노력하겠습니다.
읽어주셔서 감사합니다.
-대표원장 소현수-