아카이브 요약
이 페이지의 역할
재주좋은치과의원의 네이버 블로그 원문을 보존한 아카이브 페이지입니다. 사랑니이야기 카테고리의 교대역 사랑니 통증 자주 생긴다면? 발치 타이밍 가이드 글을 통해 병원의 한국어 정보 제공 방식과 진료 관련 안내 톤을 확인할 수 있습니다.
원문 검증
필요하면 원문 블로그와 병원 프로필로 바로 이동해 문맥을 다시 확인할 수 있습니다.
출처 아카이브 열기아카이브된 블로그 글
재주좋은치과의원 · 앞니 레진 비니어 장인, 소현수 원장입니다.
최소 절개, 최소 침습으로 비외상성 발치를 우선으로 고려하는 재주좋은치과 통합치의학과 전문의 소현수 입니다. 🙃 사랑니가 이제 막 나기 시작했거나, 갑자기 통증이 생겨서 걱정되시는 분들이 계실거라고 생각합니다. 안뽑아도 된다고 해주길 바라실지도 모르겠네요 ㅋㅋ 저도 사랑니가 나기 시작할 때 "내 치아는 아무 문제...
게시일
2025년 1월 8일
원문 기준으로 확인된 발행일입니다.
카테고리
사랑니이야기
원문 블로그 카테고리를 정리해 함께 표시합니다.
이미지 수
2
현재 아카이브에 연결된 이미지 수입니다.
아카이브 요약
재주좋은치과의원의 네이버 블로그 원문을 보존한 아카이브 페이지입니다. 사랑니이야기 카테고리의 교대역 사랑니 통증 자주 생긴다면? 발치 타이밍 가이드 글을 통해 병원의 한국어 정보 제공 방식과 진료 관련 안내 톤을 확인할 수 있습니다.
원문 검증
필요하면 원문 블로그와 병원 프로필로 바로 이동해 문맥을 다시 확인할 수 있습니다.
출처 아카이브 열기최소 절개, 최소 침습으로
비외상성 발치를 우선으로 고려하는
재주좋은치과
통합치의학과 전문의 소현수 입니다.
🙃
사랑니가 이제 막 나기 시작했거나,
갑자기 통증이 생겨서 걱정되시는 분들이
계실거라고 생각합니다.
안뽑아도 된다고 해주길 바라실지도 모르겠네요 ㅋㅋ
저도 사랑니가 나기 시작할 때
"내 치아는 아무 문제 없을 거야!"하고
생각했던 적이 있어요.
그런데 사랑니쪽에 통증이 한 번씩 생긴다면
방치했을 때 더 큰 문제를 만들 가능성이
아주 높기 때문에
꼭 치과에서 검진을 받아보셔야 합니다.
영어로는 Wisdom tooth,
이름은 예쁘지만 현실은
절대 사랑스럽지 않은 친구죠...
"왜 하필 지금?"싶은 그 통증부터
잇몸 속에 숨어서
몰래 이상한 일을 벌이는 매복치까지
정말 성가신 경우가 많습니다.
그래서 오늘은
사랑니 통증의 원인부터
발치가 꼭 필요한 경우
그리고 발치 후의 주의사항까지
여러분의 고민을 싹 정리해드리겠습니다.
통증이 생기는 이유는
대부분 "부분 맹출"인 경우가 많아요.
제3대구치가 일부만 빼꼼 나오고
잇몸 속에서 시위라도 벌이는 건지..
이불처럼 덮은 잇몸에
염증을 일으키는 경우가 많습니다.
붓고 아프고, 피도 나고요.
두번째는 치열 문제
이가 날때 "내 자리좀 만들어봐!"하고
다른 치아를 밀어내는 경우가 있는데
그러다 치열이 망가지기도 합니다.
제3대구치가 밀어서
앞에 있는 어금니가 뺨쪽으로 돌아나면
양치질이 굉장히 힘들어지기 때문에
다른 어금니도 쉽게 썩게 되곤 해요.
마지막으로,
사랑니에 생기는 충치가 문제가 됩니다.
가장 안쪽 구석에 있어서
칫솔이 닿기 어렵다보니
나도 모르는 사이에 충치가 생기기 쉽죠
"사랑니 그냥 두면 안되나요?"하고
묻는 분들이 정말 많죠?
사랑니가 별 문제 없이
그냥 그 자리에 계속 있기만 하다면야
저는 미리 뽑자고 말씀드리지는 않는데요,
아래와 같은 상황이라면
발치를 진지하게 고려해 보아야 해요..
잇몸 염증이 반복될 때
옆 치아를 밀 때
매복 사랑니에 낭종이 있을 때
턱에 통증이 생겼을 때
충치가 생겼을 때
사랑니 발치 타이밍
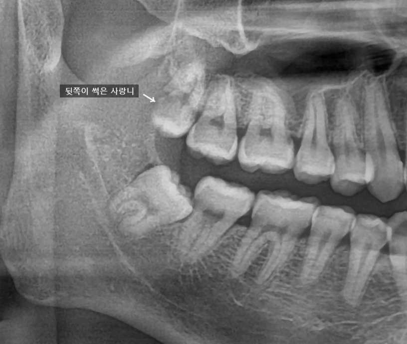
특히 이렇게 가장 뒷쪽에 난 사랑니의 경우
양치질이 제대로 되지 않는 경우가 많아서
쉽게 썩게됩니다.
썩은 걸 제가 봤다 하면은
그냥 둘 수가 없어요
꼭 뽑자고 말씀을 드립니다.

2025.01.07.
사랑니를 뽑을 때에는
사랑니가 나올만한 공간을
만들어줘야 나올 수 있겠죠
그런데 멀쩡한 뼈를 너무 많이 갈아내거나
잇몸 절개를 너무 많이 해버리면
사랑니를 뽑고나서 붓기가
한참동안 오래갈 수 있습니다.
물론 그렇게 해야만 치아를 뽑을 수 있는 경우가
분명히 있기 때문에... 어쩔 수 없는 때도 있어요.
하지만 최소한의 절개를 통해서
최소침습으로,
비외상성 발치를 통해 치료를 한다면
치아를 뽑고 불편감이 그리 오래 가지 않습니다.

사랑니 고민이 좀
해결이 됐나요?
그래도 치과를 방문하는 건
망설여지는 일이겠지요
하지만
문제를 미루다보면 더 큰 문제를
만들게 되는 경우가 많으니
꼭 미리미리 와서
검사를 받아보시고,
뽑아야하는 경우에는
빠르게 뽑는 것이 낫다는 점!
기억해주세요.