아카이브 요약
이 페이지의 역할
재주좋은치과의원의 네이버 블로그 원문을 보존한 아카이브 페이지입니다. 앞니이야기 카테고리의 앞니 레진 라미네이트, 1시간 원데이 치료가 가능한 교대 치과 글을 통해 병원의 한국어 정보 제공 방식과 진료 관련 안내 톤을 확인할 수 있습니다.
원문 검증
필요하면 원문 블로그와 병원 프로필로 바로 이동해 문맥을 다시 확인할 수 있습니다.
출처 아카이브 열기아카이브된 블로그 글
재주좋은치과의원 · 앞니 레진 비니어 장인, 소현수 원장입니다.
앞니를 자연스러운 모양으로 치료할 수 있는 방법은 크라운 / 라미네이트 / 레진 이렇게 크게 3가지 방법이 있습니다. 그 중에서 크라운은 치아 삭제량이 가장 많지만 어느 치과를 가든 75점 이상의 퀄리티 있는 치료를 받을 수 있다는 장점이 있다고 생각해요. 물론 잘할수록 비싸고, 치료가 좀 더 복잡합니다. 라미네이...
게시일
2025년 4월 23일
원문 기준으로 확인된 발행일입니다.
카테고리
앞니이야기
원문 블로그 카테고리를 정리해 함께 표시합니다.
이미지 수
9
현재 아카이브에 연결된 이미지 수입니다.
아카이브 요약
재주좋은치과의원의 네이버 블로그 원문을 보존한 아카이브 페이지입니다. 앞니이야기 카테고리의 앞니 레진 라미네이트, 1시간 원데이 치료가 가능한 교대 치과 글을 통해 병원의 한국어 정보 제공 방식과 진료 관련 안내 톤을 확인할 수 있습니다.
원문 검증
필요하면 원문 블로그와 병원 프로필로 바로 이동해 문맥을 다시 확인할 수 있습니다.
출처 아카이브 열기앞니를 자연스러운 모양으로 치료할 수 있는 방법은
크라운 / 라미네이트 / 레진
이렇게 크게 3가지 방법이 있습니다.
그 중에서 크라운은 치아 삭제량이 가장 많지만
어느 치과를 가든 75점 이상의 퀄리티 있는
치료를 받을 수 있다는 장점이 있다고 생각해요.
물론 잘할수록 비싸고, 치료가 좀 더 복잡합니다.
라미네이트는 크라운보다 삭제량이 획기적으로 적지만
치아 삭제를 '다듬는다'고 표현하며 자기들은 '무삭제'라고 하는...
마치 중고차 시장의 '무사고' vs '완전무사고' 처럼 말장난이 난무합니다.
대부분 치아 삭제가 소량 필요하고요,
잘 하는 치과에서 받으시면 굉장히 퀄리티 있는 치료를 받으실 수 있지만
잘하는 만큼 비용이 비싸고 치료기간이 2~4주로 깁니다.
(원데이 라미네이트는 저는 너무 부자연스럽다고 생각합니다.)
레진은 치아 삭제량이 가장 적은 치료법인데요,
앞에 두 방법에 비해서 치과마다 퀄리티 차이가 심한 편입니다.
레진 치료 역시 잘 하는 치과에서 받으면 비용은 좀 나가지만
정말 티 안나고 자연스러운 치료를 받으실 수 있습니다.
진단 당일 치료가 완료된다는 장점도 있고요.
치과에 따라 당일 치료가 안되는 경우도 있는데,
길어도 1주일 안에는 끝납니다.
크라운, 라미네이트는
잘하는 치과일수록 치료 과정이 복잡해집니다.
기간도 오래 걸리는 경우가 많고요.
라미네이트 제작기간이 4주 이상 걸리기도 합니다.
그에 반면에 레진 치료는
잘하는 치과라고 해서 치료 과정이 더 복잡하지는 않습니다.
저희는 대부분 실제 치료시간 1시간 전후로 끝나는 편이고요.
다만, 분명히 레진으로는 치료가 안되는 경우들이 있죠.
반드시 크라운으로 치료해야하는 경우도 있습니다.
각각 장단점이 있기 때문에
환자분들께서 잘 알아보시고 치과를 선택하시되,
앞서서 치료하신 분들의 치료 결과를 참고하시면서
그 사진의 퀄리티도 함께 보셨으면 합니다.
일반적인 보급형 카메라로 사진을 찍으면
못한 치료도 잘한 것 처럼 보이는 경우가 많거든요.

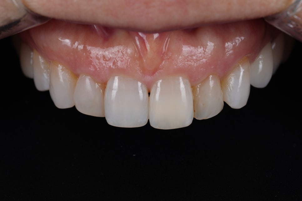
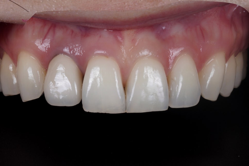
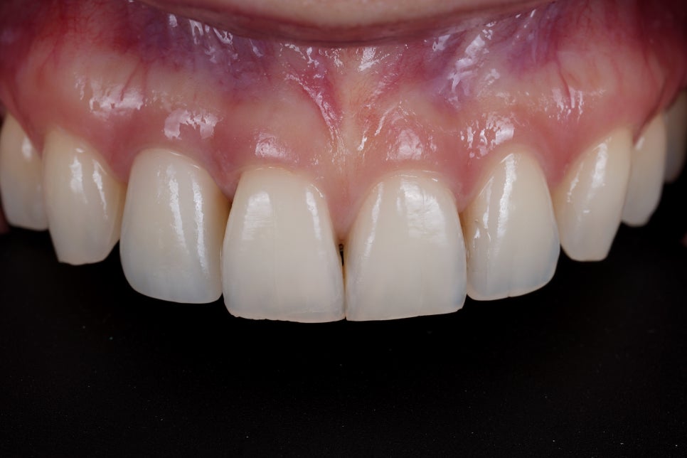
미국에서 오신 환자분이신데,
기존에 치료한 레진이 마음에 들지 않아서 오셨어요.
딱 봐도 뭔가 지저분해 보이잖아요?
그런데 이 상태를
보급형 카메라로 찍으면 별 문제가 없어보입니다.
눈으로 보이는 결점들이 전부 뭉개지거든요.
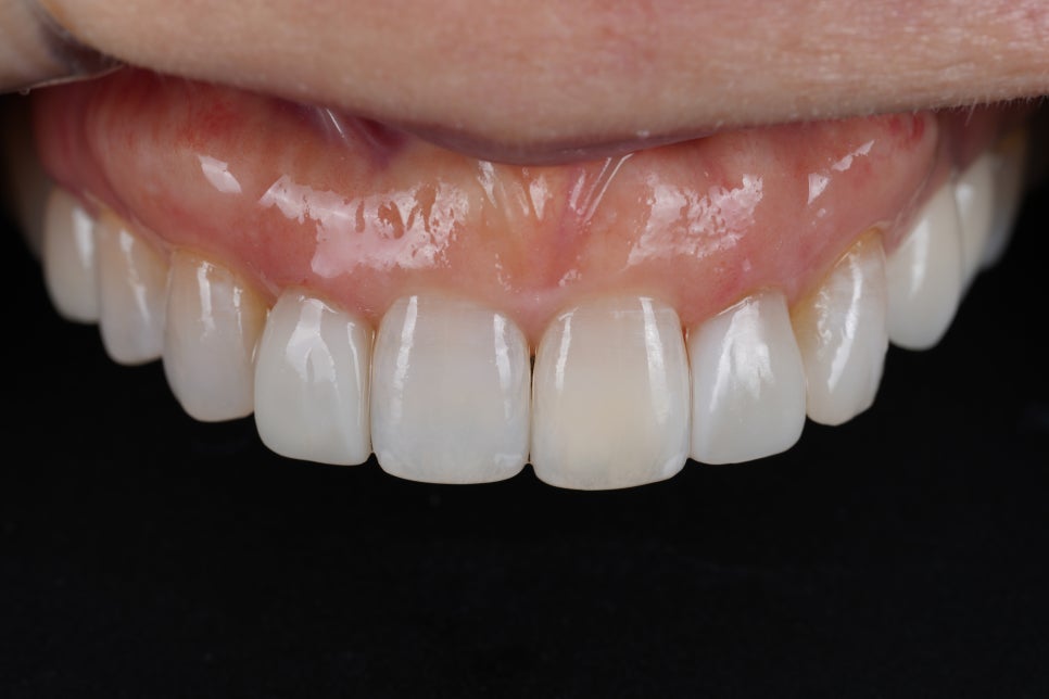
반면에 이렇게 좋은 화질의 전문가용 카메라로 찍으면
눈에 보이지 않는 결점들도 다 드러나게 됩니다.
그래서 치료에 진심인 치과의사들은 대부분
비싼 값을 치르더라도 좋은 카메라를 삽니다.
그래야 실력에 발전이 있고,
환자분에게 떳떳하기 이전에
본인에게 떳떳한 치료를 할 수 있기 때문입니다.

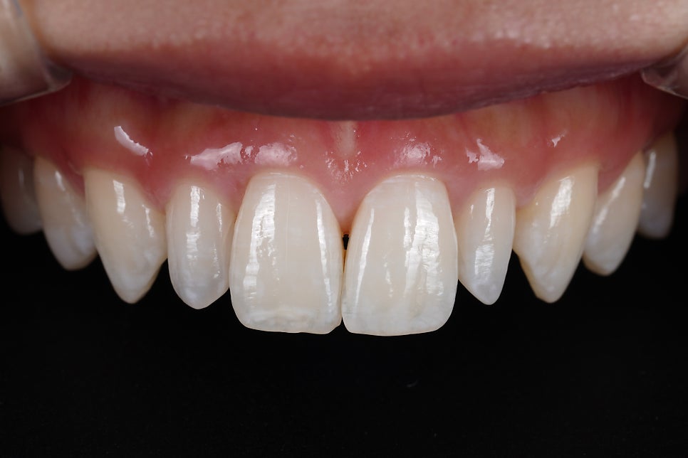
제가 다시 치료해드린 직후의 사진입니다.
이전 치아와 비교하면
색상도 훨씬 좋고
치아의 위치도 개선되었고,
무엇보다 레진으로 치료한 티가 나지 않죠.
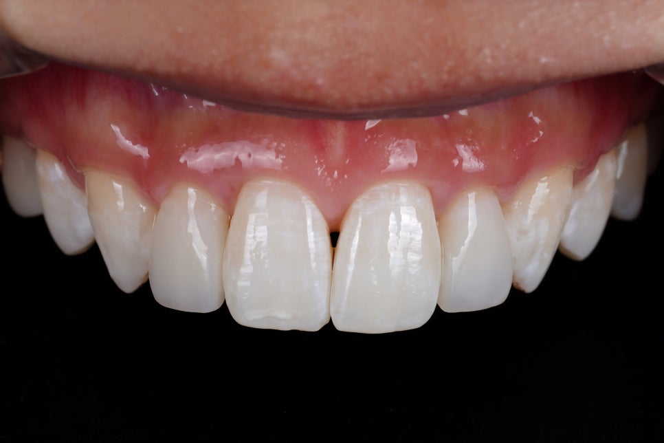
환자분은 미국에서 열심히 구글링해서
제가 레진 specialist 같아서 오셨다고 했는데,
치료 후 거울을 보시더니
본인이 치과를 너무 잘 pick했다고 좋아하셨어요.
미국에서 오셔도 당일날 치료가 끝나니까
얼마나 간편하고 좋나요?
저 또한 치료가 잘 되었다고 생각합니다.
자연치아가 갖고 있는 다양한 특징-
색상 그라데이션, 모양, 굴곡 등등이
자연스럽게 잘 표현된 좋은 케이스라고 생각합니다.

왜소치 레진 빌드업 치료는
저희가 정말 많이 하고 잘하는 치료인데요,
왜소치는 교정으로 해결할 수 없기 때문에
대부분 크라운이나 라미네이트 치료를
추천받게되는데...
치아를 전혀 건들지 않고 바로 위에 접착하는
레진 빌드업 (레진 비니어) 치료도
가능합니다.

뭔가 뾰족뾰족해 보였던 인상을
자연스러운 미소라인으로 바꾸면서
자신감도 생기고, 활짝 웃을 수 있게 되었습니다.


이렇게 다양한 상태를
레진으로도 감쪽같이 치료할 수 있어요
특히 지방에서 오시는 경우가 많은데
그런 경우 레진은 당일 치료가 완료되기 때문에
다른 치료에 비하면 치료 기간이 짧고
아주 간편하다는 장점이 있습니다.
저희가 아무래도 자연치아 보존을 중요시 하다보니
레진 치료를 많이 하기는 하지만,
크라운이나 라미네이트 치료를 안하는 것은 아닙니다.

왼쪽 앞니 크라운은 크라운으로,
오른쪽 앞니 레진은 레진으로
재치료해서 자연스럽게 만들어드린 경우도 있고요.


크라운 재치료도 자주 하고 있습니다.
아무래도 크라운은 크라운으로 재치료해야죠.
그러나 레진치료 후 문제가 생겨 재치료한다고 해서
무조건 크라운으로 설명하고 진행하는 것은
저는 지양해야한다고 생각합니다.
레진은 레진재치료가 가장 좋다고 생각해요.
치과마다 치료방식은 다를 수 있으니
저희 생각에 동의하시는 분들께서 많이 찾아주시고
치료받고 계시다고 생각합니다.
언제나 최선을 다하겠습니다. 감사합니다.