아카이브 요약
이 페이지의 역할
재주좋은치과의원의 네이버 블로그 원문을 보존한 아카이브 페이지입니다. 앞니이야기 카테고리의 반포동치과 앞니 깨짐 레진 삭제 없이 당일에 치료 끝 글을 통해 병원의 한국어 정보 제공 방식과 진료 관련 안내 톤을 확인할 수 있습니다.
원문 검증
필요하면 원문 블로그와 병원 프로필로 바로 이동해 문맥을 다시 확인할 수 있습니다.
출처 아카이브 열기아카이브된 블로그 글
재주좋은치과의원 · 앞니 레진 비니어 장인, 소현수 원장입니다.
며칠 전, 30대 초반 남성분이 내원하셨습니다. 운동 중 넘어지며 앞니가 파절되었고 지인 중 한 분이 치과의사셨는데 "거긴 앞니 진짜 잘하니까 꼭 가봐."라며 추천해 주셨다고 하시더라고요. 말씀은 편하게 하셨지만 파절된 곳을 보며 웃을 때마다 조금씩 신경이 쓰였던 듯한 표정이...
게시일
2025년 6월 19일
원문 기준으로 확인된 발행일입니다.
카테고리
앞니이야기
원문 블로그 카테고리를 정리해 함께 표시합니다.
이미지 수
11
현재 아카이브에 연결된 이미지 수입니다.
아카이브 요약
재주좋은치과의원의 네이버 블로그 원문을 보존한 아카이브 페이지입니다. 앞니이야기 카테고리의 반포동치과 앞니 깨짐 레진 삭제 없이 당일에 치료 끝 글을 통해 병원의 한국어 정보 제공 방식과 진료 관련 안내 톤을 확인할 수 있습니다.
원문 검증
필요하면 원문 블로그와 병원 프로필로 바로 이동해 문맥을 다시 확인할 수 있습니다.
출처 아카이브 열기며칠 전, 30대 초반 남성분이 내원하셨습니다.

운동 중 넘어지며 앞니가 파절되었고
지인 중 한 분이 치과의사셨는데
"거긴 앞니 진짜 잘하니까 꼭 가봐."라며
추천해 주셨다고 하시더라고요.
말씀은 편하게 하셨지만 파절된 곳을 보며
웃을 때마다 조금씩 신경이 쓰였던 듯한
표정이 기억에 남습니다.
앞니는 음식을 씹는 기능보다도
얼굴의 인상, 말할 때의 자연스러움에
더 큰 영향을 주는 자리입니다.
단순히 ‘때운다’는 개념보다는 ‘무너진 인상을
다시 디자인한다’는 감각이 필요한 곳이죠.
반포동치과
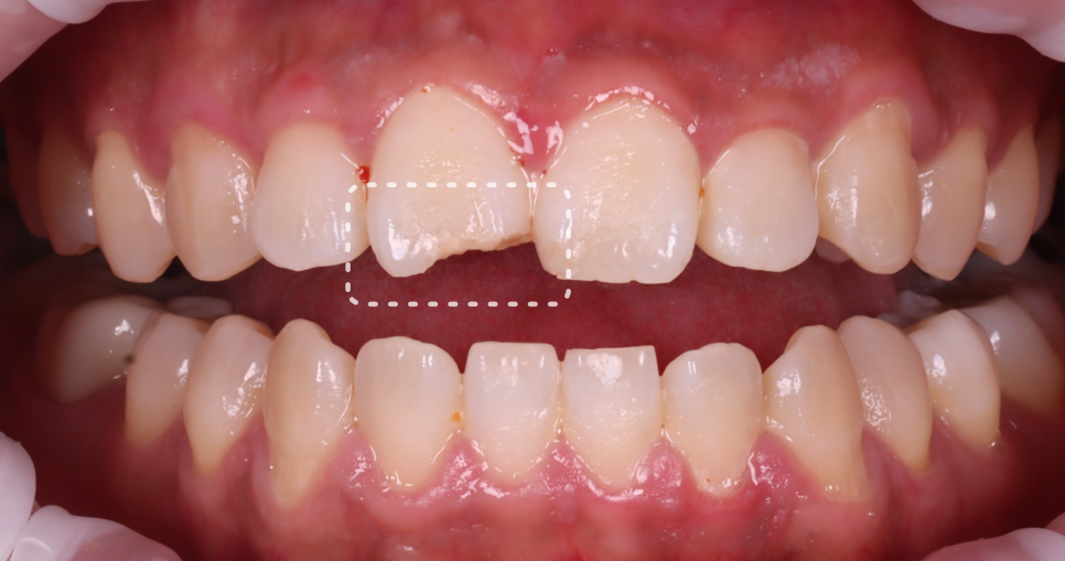
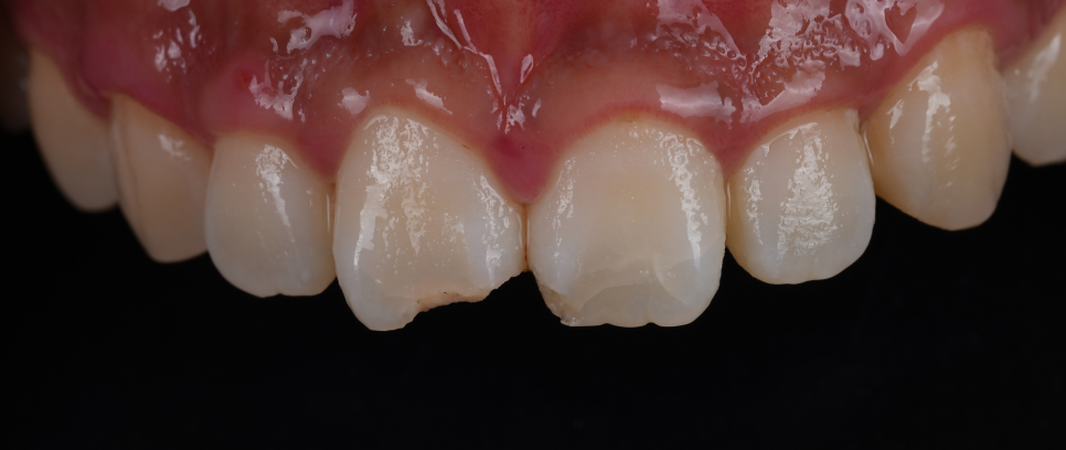
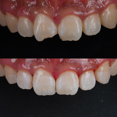
환자분이 내원하신 이유는 분명했습니다.
“운동하다가 넘어졌는데, 앞니가 깨졌어요.”

촬영일 : 250605
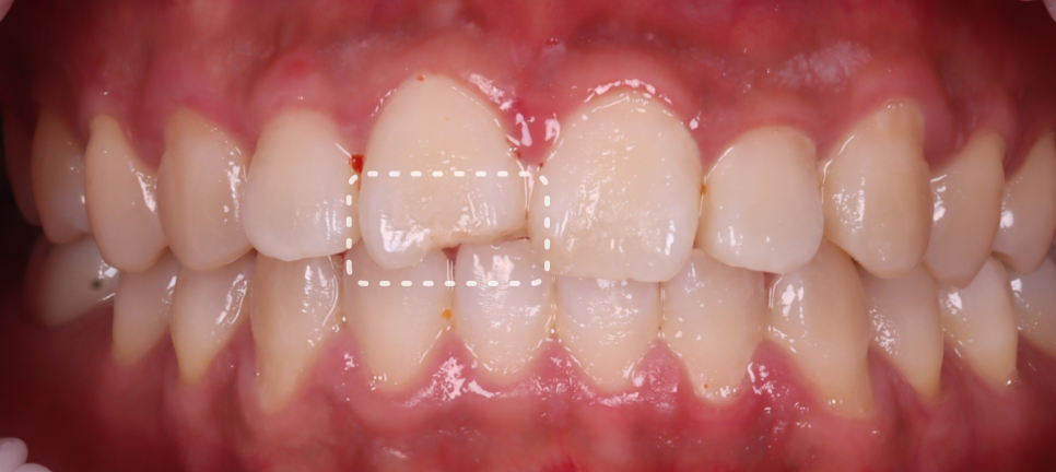
당장 눈에 띄는 건 중앙 앞니 한쪽 끝이
결절 형태로 파절되어 있었고 반대쪽은
미세한 마모와 교합면 충격 자국이 보였습니다.
하지만 저는 그 상황에서 ‘앞니만’ 보지는 않습니다.
실제 파절이 어느 깊이까지 진행되었는지
외부 충격이 인접 치아나 잇몸,
턱관절에도 영향을 주지 않았는지
작용하고 있었는지
신경 노출이 동반되었는지
이런 여러 요인들을 하나씩 체크해 보며
“이게 단순히 앞니 하나가 깨진 일인가,
아니면 더 넓은 문제가 함께 있는가”를
먼저 판단해야 합니다.


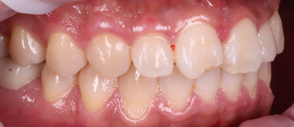
촬영일 : 250605
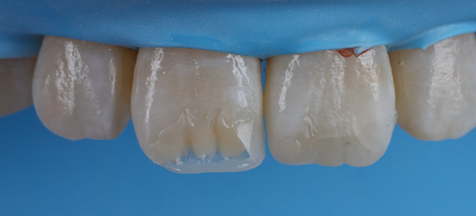
파절 부위는 다행히 깊지 않았고
신경을 건드리지도 않았기 때문에
자연치를 살리는 방식으로
삭제 없는 레진 수복을 결정했습니다.
하지만 이 자리의 복원은
단순한 레진 충전으로 끝나지 않습니다.

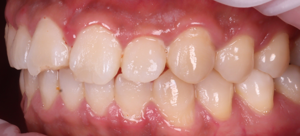
촬영일 : 250605
저희가 중요하게 생각한 건
‘어디를 복원했는지조차 모르게 만드는 것’
그러기 위해선 다음의 요소들이 꼭 필요했습니다
■ 입술 라인에서의 대칭과 흐름
■ 치아 표면의 주름과 광택의 연결
■ 자연치 내부처럼 보이도록
층을 나누는 레이어링
■ 경계선이 사라지는 경면 처리
반포동치과

촬영일 : 250605
특히 반포동치과에서는 이러한 과정을
기계가 아닌 ‘감각과 직관’으로 완성하고 있습니다.
그렇기 때문에 저마다 다르게 생긴
치아 하나하나를 그 사람의 인상에
어울리도록 맞추는 게 가능해지죠!
반포동치과

촬영일 : 250605
치료는 먼저 러버댐을 이용한
완전한 방습으로 시작됐습니다.
레진 복원에서는 구강 내 습기나
침이 조금만 스며들어도 접착 강도에
영향을 줄 수 있기 때문에 ‘깨끗한 환경을
유지하는 것’이 복원의 첫 단계입니다.
반포동치과에서의 앞니 수복은
단일 색상으로 메우는 방식이 아닙니다.
자연치의 구조와 색, 투명도를 나누어 조절하는
다층 레이어링 방식으로 진행합니다.

촬영일 : 250605
이번 환자분도 마찬가지였죠.
겉보기엔 치아가 흰색으로 보이지만
실제로는 치아 안쪽은 불투명한 아이보리 톤,
바깥쪽으로 갈수록 밝고 투명한 톤으로
구성되어 있었습니다.
그걸 정확하게 복제해 내야
빛이 닿았을 때 ‘자연치처럼’ 보입니다.

촬영일 : 250605
그래서 반포동치과에서는
안쪽에는 살짝 탁한 컬러를 사용해
뼈대를 만들고 중앙부는 자연치아의 밝기에 맞춰
조절한 뒤 바깥쪽은 빛을 머금는 느낌의
투명 레진을 사용했는데요.
이렇게 한 겹 한 겹 쌓아 올린 후
경계가 티 나지 않도록 정교하게 다듬고
마지막엔 자연치아 표면에서만 보이는
미세한 주름과 반사광의 흐름까지
재현해 마무리했습니다^^
반포동치과
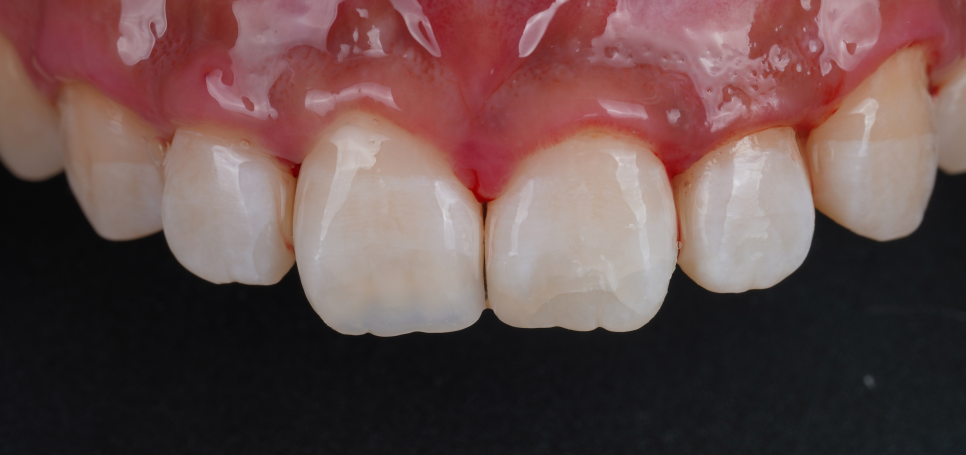
진료를 마치고 거울을 들여다보시던
환자분은 잠시 말을 잇지 못하셨습니다.
“어디를 치료한지 정말 모르겠네요..!”
이 말씀을 듣고 저도 웃으며 한마디를 덧붙였습니다.

촬영일 : 250605
“앞니는 치료가 잘 되면 본인조차
잊어버리는 자리에요ㅎㅎ
깨진 거 티 안 나게끔 정성을 다해 복원해 놨으니
앞으로 편하게 사용하셨으면 좋겠습니다.”
사실 복원이라는 건
치료받은 티가 안 나는 게 제일 좋은 결과입니다.
기능은 기본, 심미는 감각,
그리고 그 안에서 자연치아를 살려내는 것,
그게 제가 가장 중요하게
여기는 진료의 핵심입니다.
저는 앞니 복원을 할 때마다
늘 같은 원칙을 갖고 있습니다.
반포동치과
📌 보이는 부분은 절대 얕게 보지 말 것
📌 조금만 달라도 사람 인상은
달라질 수 있다는 점을 잊지 말 것
📌 감각은 감각으로만 완성된다는 걸 믿을 것
이번처럼 다른 치과의사분이
지인에게 추천해 주신 사례를 접하면
그만큼 더 섬세하게, 더 정직하게,
더 자신 있게 진료하고 싶어집니다ㅎㅎ
누군가가 믿고 보내주신 마음이
환자분에게도 고스란히 전해지길 바라니까요.

촬영일 : 250605
깨진 그 순간은 잠깐의 일이지만
그로 인해 생긴 스트레스는 생각보다 오래 남습니다.
그래서 저는 그 ‘하나의 순간’을 복원할 때
그저 메우는 걸 넘어서 처음부터 그런 일이
없었던 것처럼 되돌려드리는 걸 목표로 합니다.
앞으로도 저희 반포동치과는
단순한 수복이 아니라 자연치와 비슷한 결과를
만드는 복원에 집중하겠습니다.
감사합니다.
*경우에 따라 치료가 달라질 수 있지만
결국 중요한 건 치아의 ‘상태’를 정확히 보는 눈과
그에 맞는 ‘방법’을 고르는 감각이라고 생각합니다.
*해당 진료는 탈락과 시림 등의 부작용이
생길 수 있습니다.