미국에서 인비절라인으로 교정을
진행하고 계신 한 환자분께서
얼마 전 저희 재주좋은치과를 찾아와 주셨는데요.

“교정 거의 마무리 중인데
앞니 끝이 깨졌고 뭔가 치아가
옆으로 약간 돌아가 보여요..
이번에 한국 온 김에
예쁘게 하고 싶어요.”
신사역치과
이렇게 말씀을 해주시더라고요.
마침 한국 친척 집에 머무는 기간이 생겨
이참에 치료를 결심하게 되셨다고 합니다.
딱 이 타이밍이었습니다.
우리가 진짜로 잘할 수 있는,
‘교정 이후의 마무리’를 도와드릴 타이밍이요^^

영국 킹스칼리지 런던 심미수복 연수

미국 미용 치과 학회 가입
사실 저는 국내 케이스뿐만 아니라
외국 앞니 심미 케이스에도 진심이랍니다🤗
- 레진으로 완성하는 미소
신사역치과

촬영일 : 250714
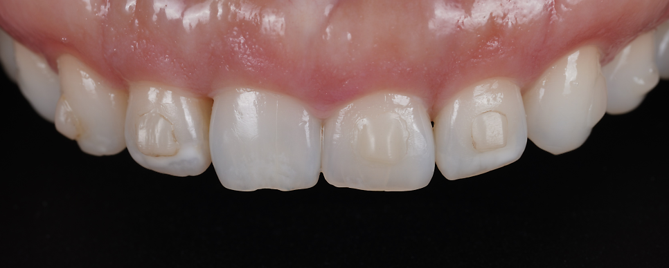
미국에서는 치아가 '크고 밝은 것'을
굉장히 선호하는데요.
환자분도 치아가 짧아 보여서
더 컸으면 좋겠다고 말씀해 주셨습니다.
그리고 #12^13 사이에 교정 후 흔히 볼 수 있는
블랙 트라이앵글(잇몸이 꺼지면서 생기는 틈)이
생겼더라고요.
그것도 메워드리기로 했고요.
👇🏻블랙 트라이앵글에 대해 자세한 내용
한번 읽어봐주세요👇🏻
투명 교정 시에는
'어태치먼트(Attachments-부착물)'
라는 것을 붙여서 치아를 움직이는데요.

촬영일 : 250714
하방으로 반점치가 있더라고요.
반점치도 레진으로 해결하기로 했습니다.

치료 계획
#11,21 길이 연장
#12 블랙 트라이앵글 메우기
#12,22 반점치 제거
이렇게 계획을 세웠습니다.


촬영일 : 250714
아래 앞니는 전체적으로 교모(씹으면서 생긴
닳은 것)이 심했는데 일단 위 앞니를 먼저
해결하기를 원하셔서 지켜보기로 했습니다.
- 덜 건드리고, 더 조화롭게
신사역치과
치아는 한 번 깎으면 다시 돌아오지 않기에
정말 조심해야 합니다.
또, 앞으로 오랜 기간을 사용하셔야 하니
환자분께도 말씀드렸습니다.
“치아 삭제는 거의 하지 않고
조심스럽게 수복하겠습니다.
다만 투명도, 길이, 배열, 광택
이건 조금 섬세하게 만질 예정이에요ㅎㅎ.”

그래서 이런 방식으로 진행했죠.
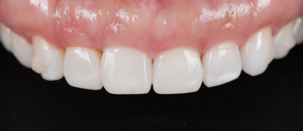
| ✅ 치아는 거의 삭제하지 않고, 기존 치아 형태에 맞춰 미세한 레진 레이어링 |
|---|
| ✅ 4개의 앞니에만 레진 수복을 진행해 정중선, 길이, 투명감, 회전된 느낌까지 자연스럽게 조율 |
| ✅ 밝은 색상을 사용하되 투명도가 살아 있도록 설계(미국 교정 문화 특유의 ‘하얀 미소’ 감성을 반영하되, 오버는 NO) |
- 미소를 완성하는 디자인
신사역치과

촬영일 : 250714
“선생님, 진짜 너무 마음에 들어요.
이거 미국에서 하셨으면 완전 대박 나셨을 거예요!”
그 말을 듣는데
그날따라 입안에서 레진 잘 안 굳던 거며,
치아 끝 각도 미세하게 조정했던 손맛이
다 보상받는 기분이었습니다.

촬영일 : 250714
의사 입장에서 중요한 건 이거예요.
“이 환자에게 내가 한 게, 진짜 의미 있었는가?”
환자분의 미소와 말투를 보면
그건 분명히 ‘예’였다고
자신 있게 말할 수 있었어요ㅎㅎ
치아가 예쁘면 좋은 거죠.
하지만 오래 예뻐야 더 좋은 거예요.
저는 눈에 보이는 걸
단순히 때우지 않습니다.
신사역치과
정중선, 광택, 그림자, 미소선, 잇몸과의
경계까지 모든 걸 하나의 그림처럼 봅니다.
왜냐하면 앞니는 단순히 기능이 아니라
‘표정’이라 생각하거든요.

촬영일 : 250714 / 250714
그래서 우리는 레진 수복을 디자인이라고 부릅니다.
당신만의 얼굴과 미소를 완성하는 디자인입니다 :)
저희 재주좋은치과는
이런 분들께 꼭 맞습니다😄
신사역치과
✅ 교정은 끝났는데 미소가 어딘가 부족한 분
✅ 앞니 레진을 했는데
티 나서 재치료를 원하시는 분
✅ 크라운이나 라미네이트 말고,
덜 건드리는 치료를 원하시는 분
✅ 해외에서 치료받는 게 불안하거나
문화적 디테일을 이해하는 의사를 찾는 분
오늘 소개해 드린 환자분처럼
“앞니는 자연스러워야 해요.
근데 예뻐야 해요. 근데 티 나면 싫어요”
라는 까다로운 숙제를 들고 오신다면,
그 숙제..... 저희가 너무 찰떡으로
잘 풀어드릴 수 있을 것 같아요...🙄

왜냐하면 저는
‘앞니는 자연스러워야 하고,
예뻐야 하고, 티 나면 안 된다’는
그 까다로운 조건이야말로 치과의사가
제일 잘 풀어야 할 문제라고 생각하거든요.
신사역치과
치아는 기능도 중요하지만,
첫인상이 시작되는 곳이잖아요.
조금만 어긋나도 표정이 달라지고,
조금만 과하면 어색해지니까요.
그래서 저희는 덜 건드리고, 더 자연스럽게,
하지만 미소는 더 예쁘게 완성하는 걸
진짜 치과 치료라고 믿습니다.

혼자 하지 마시고
재주좋은치과에서 같이 풀어봐요😁
소현수 원장이었습니다. 감사합니다.
- 개인에 따라 시림, 이물감, 교합 불편 등의
증상이 일시적으로 나타날 수 있으며
드물게는 추가적인 치료가 필요할 수도 있습니다.
치료 기간 : 250714 - 250714