아카이브 요약
이 페이지의 역할
재주좋은치과의원의 네이버 블로그 원문을 보존한 아카이브 페이지입니다. 어금니이야기 카테고리의 교대치과 신경치료 후 크라운 안 하고 오버레이로 보존 글을 통해 병원의 한국어 정보 제공 방식과 진료 관련 안내 톤을 확인할 수 있습니다.
원문 검증
필요하면 원문 블로그와 병원 프로필로 바로 이동해 문맥을 다시 확인할 수 있습니다.
출처 아카이브 열기아카이브된 블로그 글
재주좋은치과의원 · 앞니 레진 비니어 장인, 소현수 원장입니다.
대부분 '신경치료를 하면 무조건 씌워야 한다.' 라고 알고 계실 거예요. 물론, 교과서적으로는 맞는 말이에요. 사실 저도 학교에서 그렇게 배웠거든요....^^; 하지만 씹는 힘이 강하지 않은 작은 어금니라면 무조건 씌우지 않아도 된답니다! 오늘은 충치...
게시일
2025년 10월 3일
원문 기준으로 확인된 발행일입니다.
카테고리
어금니이야기
원문 블로그 카테고리를 정리해 함께 표시합니다.
이미지 수
17
현재 아카이브에 연결된 이미지 수입니다.
아카이브 요약
재주좋은치과의원의 네이버 블로그 원문을 보존한 아카이브 페이지입니다. 어금니이야기 카테고리의 교대치과 신경치료 후 크라운 안 하고 오버레이로 보존 글을 통해 병원의 한국어 정보 제공 방식과 진료 관련 안내 톤을 확인할 수 있습니다.
원문 검증
필요하면 원문 블로그와 병원 프로필로 바로 이동해 문맥을 다시 확인할 수 있습니다.
출처 아카이브 열기대부분
'신경치료를 하면 무조건 씌워야 한다.'
라고 알고 계실 거예요.
물론, 교과서적으로는 맞는 말이에요.
사실 저도 학교에서 그렇게 배웠거든요....^^;
하지만 씹는 힘이 강하지 않은
작은 어금니라면 무조건 씌우지 않아도
된답니다!

오늘은 충치로 치아가 반 이상 파절되어
신경치료를 했지만
완전히 덮는 크라운이 아닌,
오버레이 크라운으로 마무리한 사례를
보여드리려고 해요.
치아를 삭제하는 것에
거부감이 있으신가요?
교대치과
그렇다면 오늘 이 글을 끝까지 읽어보세요.
어떻게 치아를 보존하는지 보실 수 있어요😊
첫 만남부터 ‘신호’는 있었어요.
교대치과
처음 오셨을 때는 타 치과에서
하신 골드 인레이가 떨어져 재부착을 도와드렸어요.
불편한 곳만 치료를 원하시는 경우에도
저는 전체적으로 검진을 해드리는데요.

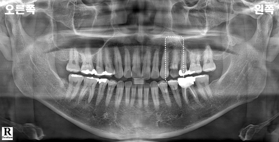
촬영 : 240708
위 사진처럼 충치가 진행되고 있었고,
치료를 권해드렸으나
6개월 뒤에 하시겠다며 귀가하셨어요.
시간이 흐르고 9개월 뒤,
해당 어금니가 완전히 파절되어
내원하셨어요.



촬영일 : 250901
파노라마와 구내 사진, 탐침 검사로 확인하니
손상이 생각보다 컸고
충치가 깊이 진행되었어요.

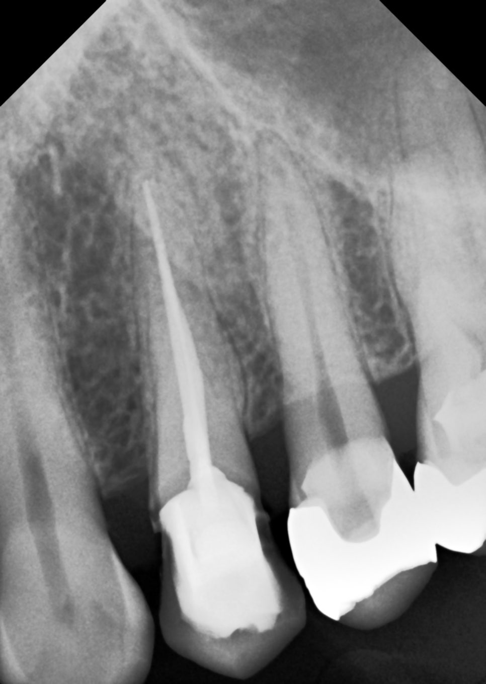
촬영일 : 250901
내용물을 정리해 보니 신경(치수)이
이미 오염되어 있었어요.
신경치료(근관치료)가 먼저였죠..
잠깐, 왜 골드 인레이 자리에서
이런 일이 반복될까요?
교대치과

예전엔 금이 ‘정밀하다’고 사랑받았지만
접착이 아닌 합착(시멘트 의존) 방식이라
시간과 함께 틈이 생기고 그 틈으로
세균이 파고들어요.
그래서 2차 충치가 생기고
얇아진 치아 씹는 힘에 쐐기처럼 균열이 진행돼요.
요즘 골드 인레이를 선호하지 않는 이유가
금값이 올라서인 것도 있지만,
치아를 깨지게 만들기 때문이에요.
그래서 저는 치아가 깨지지 않고
접착이 되는 치료를 선호해요.
“최소 삭제, 최대 보존”의 설계예요.
교대치과

계획은 이렇게 세웠어요.
➡️ 남은 치질을 보강해
스스로 버티게끔 만들 거예요.
레진 월(→ 보호벽이라 생각하시면 돼요^^)을
치아 둘레로 세워 약제 누출이나
신경관 재오염을 막아줄 예정이죠.
➡️ 이후 러버댐(방습) 하에
신경치료로 감염을 완전히 정리할 예정이에요.
➡️ 치아를 전부 깎아 씌우는 대신,
살려야 할 벽은 살리고 약한 벽만 감싸는
보존적 보철 E-max 오버레이
(Partial Veneer/Three-Quarter Crown)로
접착하기로 했어요.

작은 실패가 큰 실패로 번지지 않도록 했어요.
교대치과

촬영일 : 250901
근관치료부터 시작했어요.
러버댐으로 침과 피를 철저히 차단하고
감염된 치수 조직을 제거한 뒤
근관을 확대·성형해 세척과 충전을 준비했어요.
길이 측정을 반복하고 밀폐를 진행했죠^^
여기서 중요한 건
신경치료가 끝났다고 끝이 아니에요.

촬영일 : 250901
약해진 몸통(코어)을 다시 세워야 오래 가요.
그래서 UHMWPE 섬유 포스트로 기초를 다지고
내부는 everX(FRC 보강 레진)로 채워
균열 전파를 억제했어요.
말이 좀 어렵죠?ㅎㅎ
쉽게 말씀드리면,
안에서는 철근+콘크리트처럼
밖에서는 자연치와 비슷한 탄성을
가진 쉘로 감싼 셈이에요.

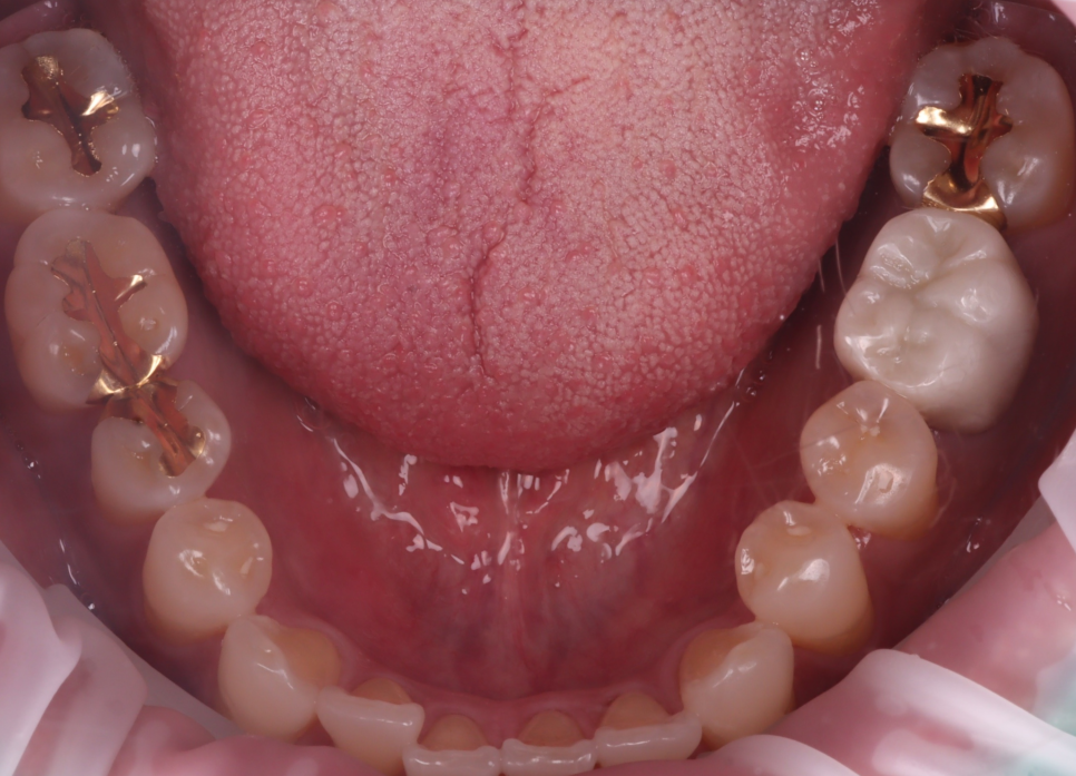
촬영일 : 250908
보철은 E-max 오버레이를 택했어요.
전체를 깎아 씌우는 풀 크라운 대신
필요한 면만 골라 감싸는 방식이에요.

촬영일 : 250915
프렙 시에도 건강한 벽은 남겨 페룰
(지렛대에 버티는 테두리)을 확보했고
임시치로 씹는 높이와 동요를 체크한 뒤
최종 보철은 레진 시멘트로 완전히 접착했어요.
이 모든 과정 내내 러버댐과 격리, 표면 전처리,
큐어링 시간 같은 디테일을
절대 포기하지 않았어요.
보존적 치료일수록 디테일이 곧 내구성이에요.
영구 접착 후 교합을
섬세히 조정하고 마무리했어요.
“임플란트 말고 이런 방법이 있었네요.”
교대치과
환자분의 첫 반응은
“뽑고 임플란트 할 줄 알았는데
이런 방법이 있네요.”였어요.

촬영일 : 250915
통증은 가라앉았고 파절되던 부위는
보강과 접착으로 한 몸처럼 단단해졌어요.
외형은 과도하게 두껍지 않게
기능은 과도하게 낮추지 않게 심미와 강도의
균형을 맞춘 상태예요.
무엇보다 중요한 건
원래 치아를 지켜냈다는 사실이에요.

저는 가능하다면 치아를 덜 깎고, 덜 빼고,
더 오래 쓰게 만드는 길을 찾고 또 찾아요.
임플란트가 아무리 좋아져도 자연치의
생체적 이점을 완전히 대체하긴 어렵거든요.

그래서 저는 러버댐, 방습, 접착, 보강,
부분 보철 같은 단어들을 집요하게 붙들어요.
보기엔 번거롭고 시간도 더 들지만, 결과가 달라요.
‘한 번에 대충’보다 ‘한 번에 제대로’가
결국 환자분의 시간과 비용,
치아의 수명을 함께 지켜줘요^^

촬영일 : 250901 / 250915
저는 진료실에서 매일 같은 질문을
스스로에게 던져요.
“이 치아, 어디까지 지켜볼 수 있을까?”
오늘의 케이스처럼 완전히 부러진 어금니도
끝까지 보존의 길을 찾을 거예요.
그리고 그 길 위에서 디테일을 포기하지 않아요.
오늘 소개해 드린 사례처럼
치아를 살릴 수 있는 방법은 정말 많아요.
발치 판정을 받았더라도 쉽게 포기하지 마세요😊
소현수 원장이었습니다. 감사합니다.
👇🏻 빠른 예약 👇🏻
👇함께 읽어보면 좋은 글들! 👇
증상이 일시적으로 나타날 수 있으며
드물게는 추가적인 치료가 필요할 수도 있습니다.
치료 기간 : 250901 - 250915