아카이브 요약
이 페이지의 역할
재주좋은치과의원의 네이버 블로그 원문을 보존한 아카이브 페이지입니다. 앞니이야기 카테고리의 방배동치과 누렇고 벌어진 치아 미백과 레진 치료 글을 통해 병원의 한국어 정보 제공 방식과 진료 관련 안내 톤을 확인할 수 있습니다.
원문 검증
필요하면 원문 블로그와 병원 프로필로 바로 이동해 문맥을 다시 확인할 수 있습니다.
출처 아카이브 열기아카이브된 블로그 글
재주좋은치과의원 · 앞니 레진 비니어 장인, 소현수 원장입니다.
이직 준비 중이라 치아를 하얗게 만들고 싶어요. 그리고 앞니 벌어진 것도 같이 치료하고 싶어요. 방배동치과를 찾아오신 30대 환자분께서 위와 같이 말씀하셨어요. 많은 분들이 미백은 따로, 레진은 따로 생각하시지만, 사실 두 치료가 함께할 때 훨씬 시너지 효과를 내요. ...
게시일
2025년 10월 7일
원문 기준으로 확인된 발행일입니다.
카테고리
앞니이야기
원문 블로그 카테고리를 정리해 함께 표시합니다.
이미지 수
14
현재 아카이브에 연결된 이미지 수입니다.
아카이브 요약
재주좋은치과의원의 네이버 블로그 원문을 보존한 아카이브 페이지입니다. 앞니이야기 카테고리의 방배동치과 누렇고 벌어진 치아 미백과 레진 치료 글을 통해 병원의 한국어 정보 제공 방식과 진료 관련 안내 톤을 확인할 수 있습니다.
원문 검증
필요하면 원문 블로그와 병원 프로필로 바로 이동해 문맥을 다시 확인할 수 있습니다.
출처 아카이브 열기이직 준비 중이라
치아를 하얗게 만들고 싶어요.
그리고 앞니 벌어진 것도
같이 치료하고 싶어요.
방배동치과를 찾아오신
30대 환자분께서
위와 같이 말씀하셨어요.

많은 분들이 미백은 따로,
레진은 따로 생각하시지만,
사실 두 치료가 함께할 때 훨씬 시너지 효과를 내요.
치아 색에 맞춰
레진 색을 선택할 수 있기 때문에
밝아진 치아 색으로 때운다면
한층 더 밝은 치아를 만들 수 있어요.
밝기와 형태, 두 가지 과제
방배동치과
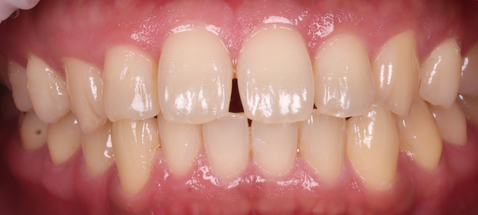
검진 결과 충치는 없었고 잇몸도 건강했어요.



촬영일 : 250911
다만, 전체적인 치아 색이 어둡고
앞니 사이에 벌어진 공간이 있어
시선이 확 꽂히더라고요.
여기서 중요한 건 ‘순서’였어요.
치아 미백을 먼저하고
1주일 뒤에 레진을 해야 하는데요.
그 이유는 미백을 할 때,
산소를 침투시키는데
치아 속에 산소가 남아 있으면
레진이 치아와 잘 붙지 않는다는
이론이 있기 때문이에요.
톤업과 디자인을 동시에
방배동치과
계획은 이렇게 세웠어요.
✅ 미백으로 전체적인 톤을
한 단계 밝게 만들기
✅ 1주일 뒤,
밝아진 톤에 맞춰 앞니 사이 공간을
레진으로 자연스럽게 메우기
✅ 단순히 막는 게 아니라
빛 반사와 투명감을 살려
앞니의 끝부분(절단연)까지
‘원래 내 치아였던 것처럼’ 디자인하기
방배동치과
저는 늘 이렇게 생각해요.
치과 치료는 “수리”가 아니라
“디자인”이어야 한다고요.
기능은 기본이고,
환자가 웃을 때 드러나는 이미지를
디자인한다는 마음으로 접근해야 해요.
미백의 흰빛 위에 그리는 레진
방배동치과
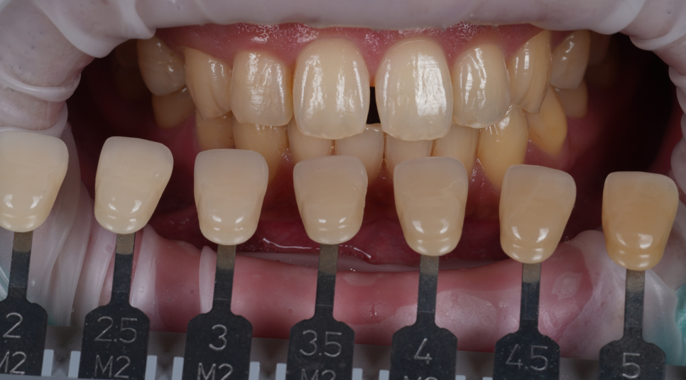
미백 전,
색상을 확인했어요.

촬영일 : 250911
앞니 쪽은 A3.5와 비슷하지만
송곳니부터는 A5에 가까울 정도로
상당히 노란 편이셨어요.
그 후에는 치아 표면을 깨끗하게
에어플로우(air-flow)로
닦아드리고 진행했습니다.
👇🏻에어플로우 자세한 내용 확인해 보세요 👇🏻

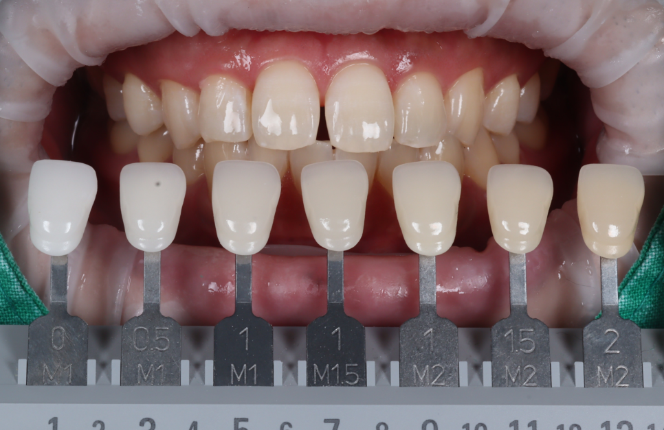
촬영일 : 250911
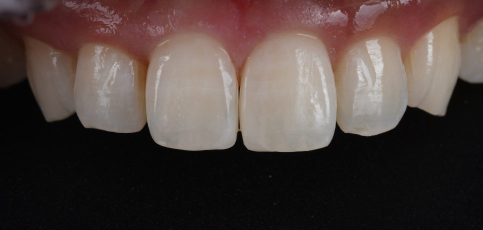
미백 후 색상이 드라마틱하게 밝아졌어요.
밝아진 치아와 맞지 않는 색을 쓰면
인위적으로 보일 수 있기 때문에
미리 여러 색조를 테스트해
자연스러운 조합을 골랐어요.

다음은 레진 치료를 했습니다.

촬영일 : 250911
러버댐을 장착해 습기를 완벽히 차단한 후
미세한 격리를 통해 접착을 철저히 준비했어요.

그 위에 투명층, 본체층, 절단부의
맑은 부분을 각각 레이어링 하듯 쌓아 올렸어요.
치아는 단일 색이 아니라 빛이 투과되는
구조물이기 때문에 이 과정을 생략하면
어색한 ‘가짜 치아’ 느낌이 날 수 있어요.
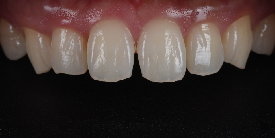
웃음이 달라지는 순간
방배동치과
치료 직후 환자분이 거울을 보고
하신 말이 아직도 기억나요.
“이제야 웃을 때 눈에 걸리는 게 없네요.
밝고 메워진 치아 덕분에 합격할 수 있겠네요.”
라며 활짝 웃으셨어요 :)

촬영일 : 250911
이전에는 미소 속에서 하얀 치아보다도
공간이 먼저 눈에 들어왔다면
이제는 환한 인상만 남게 된 거죠.
이 순간을 위해 저희는 수많은 레이어링과
광택 작업을 집요하게 해요ㅎㅎ

촬영일 : 250917 / 250917

촬영일 : 250911 / 250911

촬영일 : 250917 / 250917
많은 분들이 치과를 “부서진 걸 고치는 곳”이라고
생각하지만 저는 늘 이렇게 말씀드려요.
치과는 “웃음을 디자인하는 곳”이라고요.
미백과 레진을 함께 진행한
이번 케이스가 딱 그 예예요.
밝기와 형태, 두 가지 요소를 동시에 다루었을 때,
환자의 미소는 단순히 고쳐진 게 아니라
새롭게 완성돼요.

방배동치과는 언제나 환자분의
‘웃을 때 자연스럽고 아름다운 모습’을
우선으로 생각해요.
그게 제 철학이고 작은 차이가
큰 만족으로 이어지는 이유죠^^
지금까지 소현수 원장이었습니다. 감사합니다.
👇🏻 빠른 예약 👇🏻
👇함께 읽어보면 좋은 글들! 👇
증상이 일시적으로 나타날 수 있으며
드물게는 추가적인 치료가 필요할 수도 있습니다.
치료 기간 : 250911 - 250917