아카이브 요약
이 페이지의 역할
재주좋은치과의원의 네이버 블로그 원문을 보존한 아카이브 페이지입니다. 앞니이야기 카테고리의 강남치과 짧아 보이는 치아 레진으로 당일 치료 글을 통해 병원의 한국어 정보 제공 방식과 진료 관련 안내 톤을 확인할 수 있습니다.
원문 검증
필요하면 원문 블로그와 병원 프로필로 바로 이동해 문맥을 다시 확인할 수 있습니다.
출처 아카이브 열기아카이브된 블로그 글
재주좋은치과의원 · 앞니 레진 비니어 장인, 소현수 원장입니다.
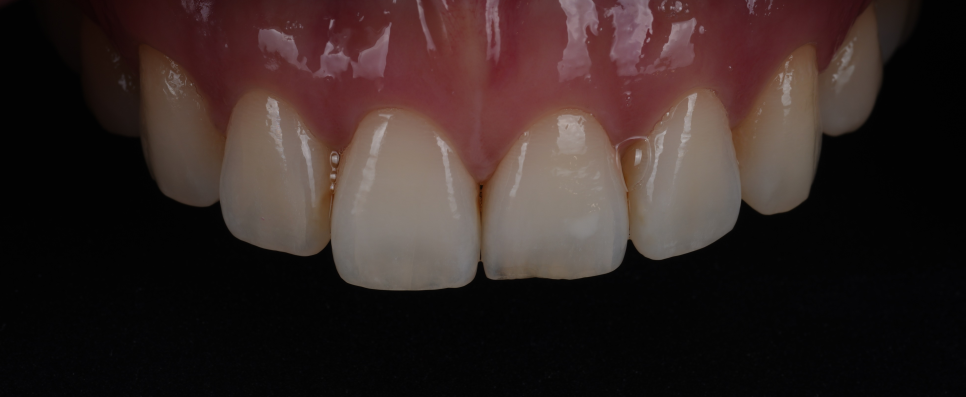
사진만 찍으면 앞니가 짧아 보인다고요? 강남치과 그건 착시입니다!ㅎㅎ 촬영일 : 250930 “선생님, 저 앞니가 짧아요. 사진만 찍으면 꼭 한쪽이 짧아 보여요.”라고 말씀하시며 심각하게 고민하고 계셨어요. 하지만 막상 진단을 해보니… "아 다행이다!"라...
게시일
2025년 10월 17일
원문 기준으로 확인된 발행일입니다.
카테고리
앞니이야기
원문 블로그 카테고리를 정리해 함께 표시합니다.
이미지 수
13
현재 아카이브에 연결된 이미지 수입니다.
아카이브 요약
재주좋은치과의원의 네이버 블로그 원문을 보존한 아카이브 페이지입니다. 앞니이야기 카테고리의 강남치과 짧아 보이는 치아 레진으로 당일 치료 글을 통해 병원의 한국어 정보 제공 방식과 진료 관련 안내 톤을 확인할 수 있습니다.
원문 검증
필요하면 원문 블로그와 병원 프로필로 바로 이동해 문맥을 다시 확인할 수 있습니다.
출처 아카이브 열기사진만 찍으면
앞니가 짧아 보인다고요?
강남치과
그건 착시입니다!ㅎㅎ

촬영일 : 250930
“선생님, 저 앞니가 짧아요. 사진만 찍으면 꼭 한쪽이 짧아 보여요.”라고 말씀하시며 심각하게 고민하고 계셨어요.
하지만 막상 진단을 해보니… "아 다행이다!"라는 생각이 먼저 들었어요. 치아는 멀쩡했거든요😊

길이가 짧은 게 아니라 '착시 현상'이 있었던 거예요.
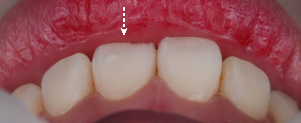
짧은 게 아니라 ‘뒤로 들어간 착시’
강남치과
정밀 촬영을 해보니 문제는 치아의 길이가 아니라 각도였어요.

촬영일 : 250930
예전에 다친 치아를 다듬는 과정에서 앞면이 살짝 뒤로 밀려 있었죠.

촬영일 : 250930
이렇게 각도가 달라지면 빛이 반사되는 위치가 달라서 치아가 짧거나 움푹 들어가 보여요.
마치 조명 한 줄기에 따라 얼굴 인상이 바뀌는 것처럼요.
그래서 저는 환자분께 말씀드렸어요. “이건 치아를 늘릴 게 아니라, 빛의 반사를 교정해야 하는 상황이에요.”

촬영일 : 250930
추가로 검진을 진행해 보니 어금니 쪽에 씌워놓은 인레이가 탈락한 상황이었고 양쪽 사랑니가 심하게 썩어 있었는데요.
이곳도 순차적으로 치료를 도와드리기로 했으며 우선은 앞니 치료를 중점으로 개선을 돕기로 했어요!
깎지 않고 ‘덧입히는 미학’
강남치과
환자분은 단호했어요. “지난번, 타치과에서 깨진 걸 갈아냈거든요. 이번엔 제발 치아 깎지 말고 치료해 주세요.”

좋아요, 깎지 말고 ‘덧입히자’! 제가 선택한 방법은 레진 비니어예요.
└ 쉽게 말하면 ‘치아 위에 얇은 빛의 필름을 입히는 작업’이에요. 그런데 이게 그냥 때우는 게 아니라, 치아 속 색과 질감을 흉내 내는 미세한 조형 예술이죠.
치아 색은 한 가지가 아니에요. 안쪽은 불투명하고 끝으로 갈수록 투명해지니까 이걸 그대로 재현하려면 색을 겹겹이 쌓아야 해요.

그래서 오늘도 저희는 세 가지 색 레진을 손끝으로 조합했죠. 치과에서의 팔레트 작업, 아트의 세계입니다ㅎㅎ
“빛은 속이지 않아요.”
강남치과
치료는 철저한 ‘무결점 모드’로 진행했어요.


촬영일 : 250930
치아 주변에 러버댐(방습막)을 설치해 수분 한 방울도 들어오지 않게 하고 본딩제로 미세한 틈을 채운 뒤 빛으로 굳히며 반사각을 조정했어요.
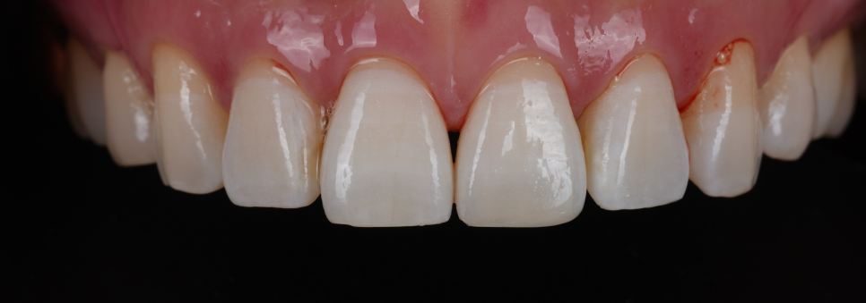
거울을 보여드리니 환자분이 놀라시더군요. “치아 길이를 늘리신 거예요?” 아니요, 길이는 그대로예요.
그저 빛이 올바른 방향으로
반사되게 만든 것뿐이에요.
강남치과
빛이 바뀌면 인상이 달라집니다. 마치 조명 하나로 셀카가 성공하듯이요.
“사진 찍을 때마다 웃음이 먼저 나요.”
강남치과
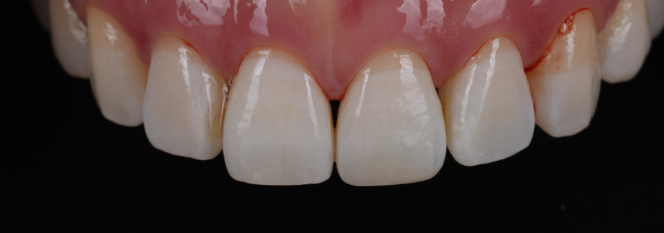
마지막 광택 작업을 끝내고 거울에서 눈을 떼지 못하셨던 환자분 모습이 기억에 남더라고요ㅎㅎ

촬영일 : 250930
“선생님, 진짜 티가 안 나는데요?”

촬영일 : 250930
그 순간, 저도 웃음이 터졌어요. 레진 비니어로 표면이 반짝이자 그동안 뒤로 들어가 있던 치아가 빛을 똑바로 받으며 자신의 자리로 돌아온 거예요.
그 작은 변화 하나가 표정까지 바꿔놓았습니다.
자연스럽게, 그러나 완벽하게
강남치과
강남치과에서는 늘 이렇게 생각해요. 치아는 ‘고쳐야 하는 부위’가 아니라 조율해야 하는 악기예요.

촬영일 : 250930 / 250930
너무 깎으면 소리가 변하고 너무 손대지 않으면 불협이 생기죠.
그 사이에서 자연스러운 조화를 찾는 게 진짜 실력이에요. 이번 치료는 단순히 치아를 고친 게 아니라 빛과 각도를 다루는 세밀한 디자인이었어요.

“앞니 하나로 인상이 바뀌는 경험”
그걸 느끼고 돌아가신 환자분의 미소가 저에게도 최고의 보상이었어요.
앞니 치료를 애정하는 소현수 원장이었습니다. 감사합니다.
👇🏻 빠른 예약 👇🏻
👇함께 읽어보면 좋은 글들! 👇
치료 기간 : 250930 - 250930