아카이브 요약
이 페이지의 역할
재주좋은치과의원의 네이버 블로그 원문을 보존한 아카이브 페이지입니다. 앞니이야기 카테고리의 서초구치과 치아 사이 삭제 부작용과 치료법 글을 통해 병원의 한국어 정보 제공 방식과 진료 관련 안내 톤을 확인할 수 있습니다.
원문 검증
필요하면 원문 블로그와 병원 프로필로 바로 이동해 문맥을 다시 확인할 수 있습니다.
출처 아카이브 열기아카이브된 블로그 글
재주좋은치과의원 · 앞니 레진 비니어 장인, 소현수 원장입니다.
서초구치과 치아 사이 삭제 부작용과 치료법 선생님, 앞니 옆에 충치가 생긴 것 같아요. 교정할 때 치아를 살짝 갈았는데 그 이후로 모양도 마음에 안 들어요. 이 환자분은 선릉역 인근 치과 원장님이 직접 추천해 주셔서 오셨어요. (*이 자리를 빌려 소개해 주신 선릉역 원장님께 다시 한...
게시일
2025년 10월 21일
원문 기준으로 확인된 발행일입니다.
카테고리
앞니이야기
원문 블로그 카테고리를 정리해 함께 표시합니다.
이미지 수
15
현재 아카이브에 연결된 이미지 수입니다.
아카이브 요약
재주좋은치과의원의 네이버 블로그 원문을 보존한 아카이브 페이지입니다. 앞니이야기 카테고리의 서초구치과 치아 사이 삭제 부작용과 치료법 글을 통해 병원의 한국어 정보 제공 방식과 진료 관련 안내 톤을 확인할 수 있습니다.
원문 검증
필요하면 원문 블로그와 병원 프로필로 바로 이동해 문맥을 다시 확인할 수 있습니다.
출처 아카이브 열기서초구치과 치아 사이 삭제 부작용과
치료법
선생님, 앞니 옆에 충치가 생긴 것 같아요.
교정할 때 치아를 살짝 갈았는데
그 이후로 모양도 마음에 안 들어요.
이 환자분은 선릉역 인근 치과 원장님이 직접 추천해 주셔서 오셨어요.
(*이 자리를 빌려 소개해 주신 선릉역 원장님께 다시 한번 감사의 인사를 전합니다!🙏)

의뢰를 받아서 오신 만큼 까다로운 케이스였는데요. 충치도, 심미도 모두 신경 써야 했거든요ㅎㅎ
어떤 고민을 갖고 계셨는지, 어떻게 고민을 해결해 드렸는지 하나씩 설명드릴게요. 끝까지 읽어보세요!

교정의 그림자, ‘IPR’의 비밀
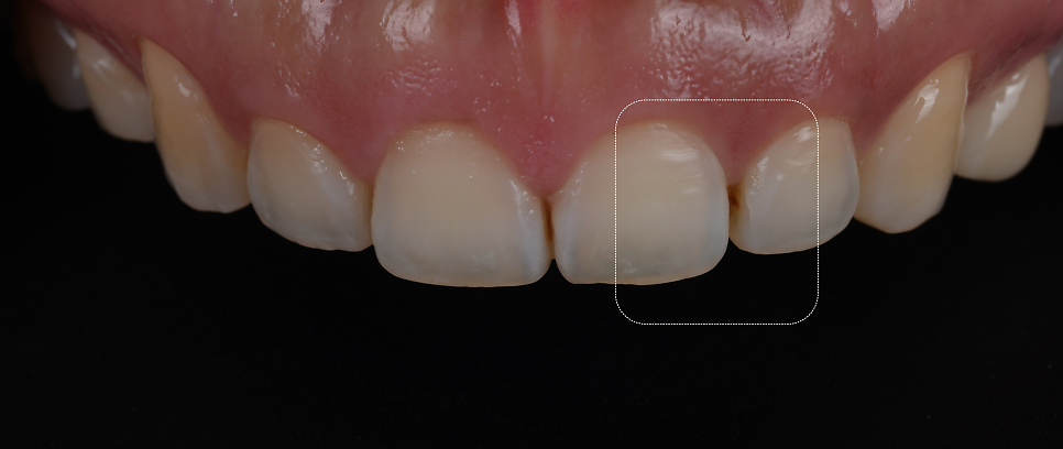
서초구치과

치간 삭제
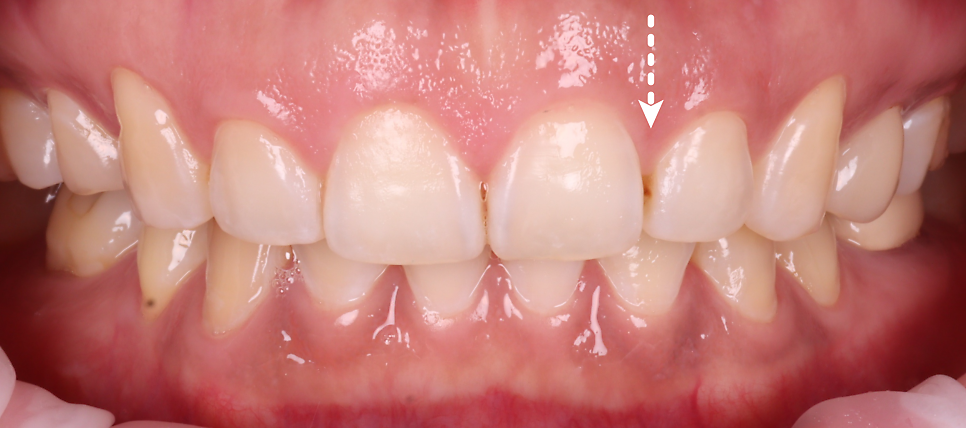
구강을 보자마자 원인을 금세 알 수 있었어요.
치아 사이에 아주 미세하게 각진 흔적, 바로 교정할 때 진행하는 IPR(Interproximal Reduction) 치간 삭제의 결과였죠.


촬영일 : 250925
많은 분들이 교정은 '치아를 전혀 깎지 않는다.'라고 생각하시지만 공간이 부족하여 삐뚤빼뚤해진 치아를 가지런히 배열하기 위해 치아 사이를 아주 얇게 다듬는 과정이 필요할 때가 있어요.
이건 나쁜 게 아닙니다. 교정 시 많이 사용되는 치료 방법 중에 하나죠. 다만, 그 후에 제대로 마무리하지 않으면 거친 표면으로 인해 세균이 들러붙기 쉬운 구조가 되죠.

촬영일 : 250925
이분의 치아가 딱 그랬어요.
IPR 부위가 각지게 마무리되어 음식물이 자주 끼고 그 틈새로 세균이 침투해 충치가 생긴 거예요.
또, 모양이 심미적이지 않아 그 점도 불만이 있으셨어요.

촬영일 : 250925
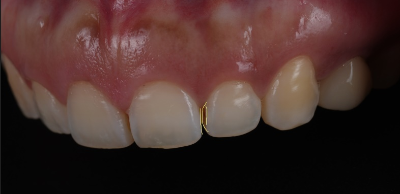
충치만 치료할 순 없어요.
보통 치아 사이 충치라면 '그 부분만 때우면 되겠지?'라고 생각하실 수 있지만 이 케이스는 달랐어요.


촬영일 : 250925
저는 환자분께 이렇게 설명드렸어요. “이건 단순히 충치가 아니라, 치아 형태가 만든 결과예요. 모양을 함께 바로잡지 않으면 다시 충치가 생길 가능성이 높아요.”
그래서 세 가지 목표를 세웠어요.
| 1️⃣ 충치 제거는 조심스럽게 |
|---|
| 2️⃣ 각지고 틀어진 형태를 레진으로 자연스럽게 |
| 3️⃣ 빛 반사와 색 변화까지 고려해 심미적으로 |
치료는 단순한 ‘수리’가 아니라 '재디자인'이에요. 기능과 미를 함께 살리는 게 바로 통합치의학적 접근이죠.
( *쑥스럽지만.. 참고로 저는 통합치의학과 전문의입니다.)

0.1mm의 싸움, 레진의 예술
충치는 조심스럽게 제거하면서 주변 건강한 치질을 보존했어요.
그리고 인접 치아가 손상되지 않도록 격리 후, 본딩 과정을 통해 치아와 레진이 완전히 밀착되게 했죠.

그다음은 색의 레이어 작업이에요. 빛이 투과되는 법랑질, 그 아래의 불투명한 상아질, 이 두 층을 모두 재현해야 진짜 자연스러워요.
그래서 색이 다른 레진을 여러 겹으로 쌓아 올리며 치아의 반사각과 곡선을 그대로 복원했어요.

한 겹 한 겹 쌓을 때마다, 자연광 아래에서 색을 다시 확인하면서요. 어쩔 땐 제가 '예술 작품을 만드는 게 아닌가?' 생각이 들기도 해요..^^;
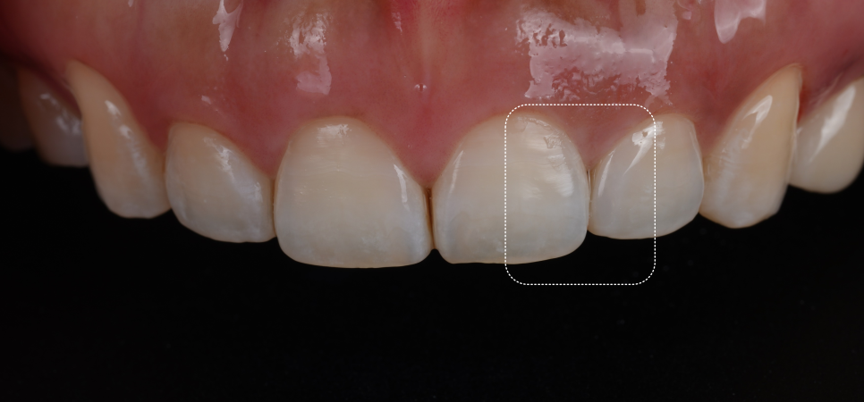
충치도, 모양도, 미소도 한 번에

촬영일 : 250925
까맣게 보이던 충치는 사라지고 각이 졌던 모서리는 매끄러워졌어요.
자연광 아래에서도 티 나지 않게 완료됐어요.

촬영일 : 250925
너무 감쪽같아요!!
그 한마디에 저도 모르게 미소가 지어졌습니다. 저는 환자의 미소를 볼 때마다 살아있는 느낌과 형용할 수 없을 만큼 높은 성취감을 느낍니다ㅎㅎ
‘치아를 살린다’는 건, 그 사람의 삶을 되돌려주는 일
저는 늘 이렇게 생각해요.
충치를 치료하는 게 목적이 아니라 그 충치가 생긴 이유를 바로잡는 것이 진짜 치료라고요.

촬영일 : 250925 / 250925
서초구치과에서는 작은 충치 하나도 단순한 충치로 생각하기보다, 그 뒤에 숨은 습관, 구조, 형태까지 다 분석하고 “다시는 같은 일이 생기지 않게” 해드리고 있어요.
그래서 가급적이면 치료 후 환자분들이 재내원하지 않도록 만드는 것이 제 목표이기도 합니다^^
이런 제 목표를 보시고 누군가는 제가 경영을 못한다고 말씀하실 수도 있어요.
하지만, 저는 한 명을 진료하더라도 그 시간 오롯이 저를 다 쏟아붓고 제가 해드릴 수 있는 모든 것들을 다 해드리고 싶습니다.
저의 진심이 잘 전달되었으면 좋겠습니다🙏🏻
치과의사 소현수였습니다. 감사합니다.
👇🏻 빠른 예약 👇🏻
👇함께 읽어보면 좋은 글들! 👇
치료 기간 : 250925 - 250925
서초구치과 치아 사이 삭제 부작용과
치료법