아카이브 요약
이 페이지의 역할
재주좋은치과의원의 네이버 블로그 원문을 보존한 아카이브 페이지입니다. 앞니이야기 카테고리의 서초동치과 전라도 광주에서 레진 재치료 받으러 오신 사례 글을 통해 병원의 한국어 정보 제공 방식과 진료 관련 안내 톤을 확인할 수 있습니다.
원문 검증
필요하면 원문 블로그와 병원 프로필로 바로 이동해 문맥을 다시 확인할 수 있습니다.
출처 아카이브 열기아카이브된 블로그 글
재주좋은치과의원 · 앞니 레진 비니어 장인, 소현수 원장입니다.
저 레진 재치료받으려고 검색해서 블로그 보고 전라도 광주에서 왔어요! 네...? 환자분의 말씀을 듣고 정말 깜짝 놀랐습니다... 말씀 듣고 나니, 최근에 레진 연수를 위해 일본에 다녀온 것이 더 뿌듯하게 느껴지더라고요^^ 두 달 전, 다른 치과에서 앞니 사이 충치를 레진으로...
게시일
2025년 11월 7일
원문 기준으로 확인된 발행일입니다.
카테고리
앞니이야기
원문 블로그 카테고리를 정리해 함께 표시합니다.
이미지 수
12
현재 아카이브에 연결된 이미지 수입니다.
아카이브 요약
재주좋은치과의원의 네이버 블로그 원문을 보존한 아카이브 페이지입니다. 앞니이야기 카테고리의 서초동치과 전라도 광주에서 레진 재치료 받으러 오신 사례 글을 통해 병원의 한국어 정보 제공 방식과 진료 관련 안내 톤을 확인할 수 있습니다.
원문 검증
필요하면 원문 블로그와 병원 프로필로 바로 이동해 문맥을 다시 확인할 수 있습니다.
출처 아카이브 열기저 레진 재치료받으려고
검색해서 블로그 보고
전라도 광주에서 왔어요!
네...? 환자분의 말씀을 듣고 정말 깜짝 놀랐습니다...
말씀 듣고 나니, 최근에 레진 연수를 위해 일본에 다녀온 것이 더 뿌듯하게 느껴지더라고요^^
두 달 전, 다른 치과에서 앞니 사이 충치를 레진으로 메꿨는데 표면이 거칠고 빛이 반사될 때 경계가 너무 보이는 게 마음에 걸리셨대요.
또, 표면이 너무 거칠어서 계속 혀로 만지게 된다고 하시더라고요.
같은 치과에서 한 번 더 치료받아봤지만 결국 “이건 아니다” 싶어 서울까지 올라오셨다는데요.
멀리서 오셨다는 말에 제가 먼저 농담처럼 말했죠. “멀리서 올라오신 만큼 확실히 차이를 보여드려야겠네요.”
한편으로는 '얼마나 신경이 쓰이셨으면 그 먼 거리를 오셨을까..?' 마음도 쓰였는데요. 우선 상태를 살펴본 뒤 최선을 다해 개선해 드리기로 했어요.
서초동치과
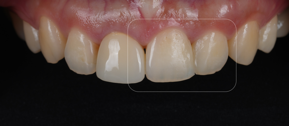
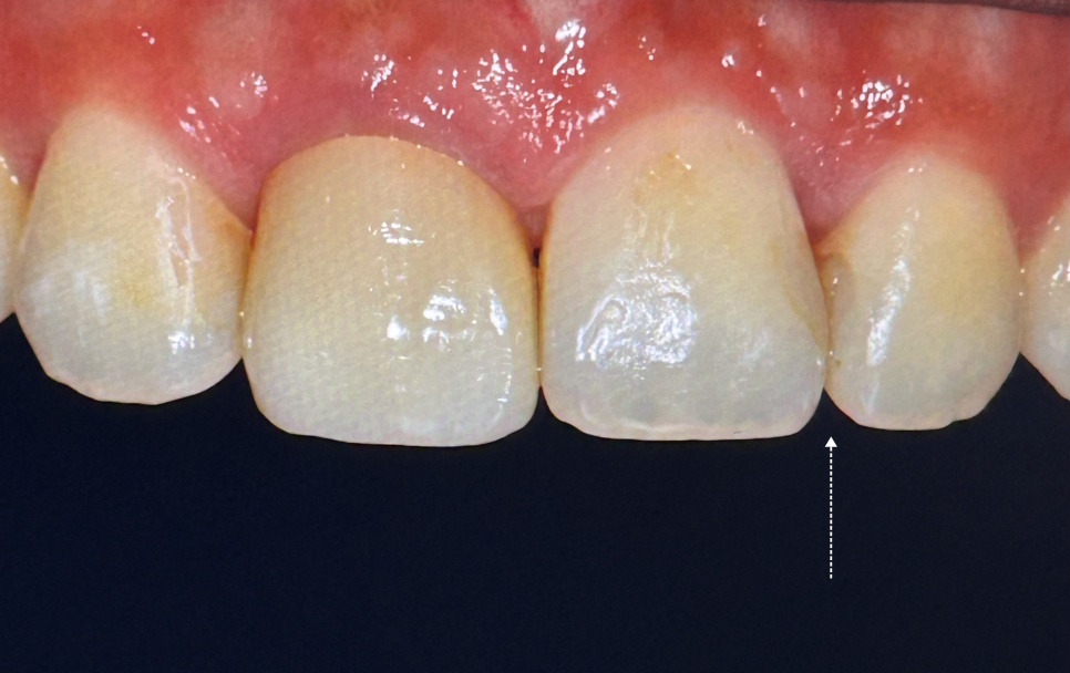
확인해 보니 각이져 보이는 느낌이 들었고 거칠었는데요.


촬영일 : 251023
문제는 레진의 ‘마감선’이었습니다.
서초동치과
레진과 자연치 경계가 매끄럽지 않았어요.
자연스럽게 보이려면 빛의 굴절, 반사, 곡선 등 다양한 요소들을 고려해야 하죠.


화살표를 표시해둔 곳을 잘 보시면 무슨 느낌인지 아실 거예요.
촬영일 : 251023
그중 어느 하나만 삐끗해도 ‘인공적인 느낌’이 나게 돼요.

촬영일 : 251023
이분의 경우 그 경계 하나 때문에 계속해서 신경 쓰이셨던 거죠.
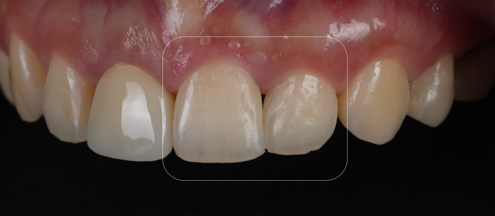
서초동치과
앞니 치료는 색도 중요하지만 그만큼 형태와 연마도 정말 중요해요.
색은 요즘 제품이 워낙 잘 나와서 누구나 맞출 수 있지만 형태와 연마는 의료진의 손 ‘감각’이 있어야 하거든요ㅎㅎ
자 그래서 어떤 계획을 세웠냐면요!
서초동치과

치아를 전혀 삭제하지 않고 기존 재료만 완전히 제거한 뒤 각이 지지 않게 치아 고유의 곡선을 복원하고,
충분한 연마를 통해 혀로 만져도 치아와 레진의 경계가 전혀 느껴지지 않고 미끄러지듯 매끄러운 표면을 만들어드리기로 했습니다.
레진은 결국 ‘디테일의 싸움’
서초동치과

촬영일 : 251023
레진은 수분에 약하기 때문에 방습을 철저히 해야 해요.
그래서 중간중간 격리가 잘 되고 있는지 확인을 해가며 작업을 했고 큐레이를 이용해 남아 있는 충치 및 레진은 없는지 꼼꼼하게 확인까지 도와드렸죠.


입 천장 쪽에서 확인한 모습
촬영일 : 251023
기존 레진을 다 제거한 뒤 접착층을 만들고 치아색과 투명도가 비슷한 레진을 여러 층으로 쌓았어요.
한 층 붙이고 굳히고 또 붙이고 굳히고.... 정성스레 겹겹이 쌓아 공들여 작업해야 돼요.
환자분 입장에서는 이 과정에서 시간이 오래 걸려 지루하실 수 있는데요^^;;
살짝 피곤해하셔서 제가 웃으면서 “이건 마술 같은 거예요ㅋㅋ 끝나고 보면 ‘이게 레진이야?’ 하실 거예요.” 했더니 진짜로 치료 끝나고 나서 그렇게 말씀하시더라고요.
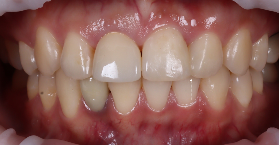
'자연스러움’은 비워둘 줄 아는 용기
서초동치과
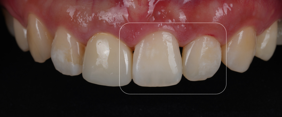
완성 후에는 치아 경계가 사라지고 자연 채광에서 봐도 거친 부분 없이 매끄럽게 보였어요.

촬영일 : 251023
이전의 각진 부분도 사라졌죠.
서초동치과
환자분이 거울을 보시면서 “와.. 진짜 감쪽같아요.” 그 한마디로 피로가 다 풀리더라고요ㅎㅎ
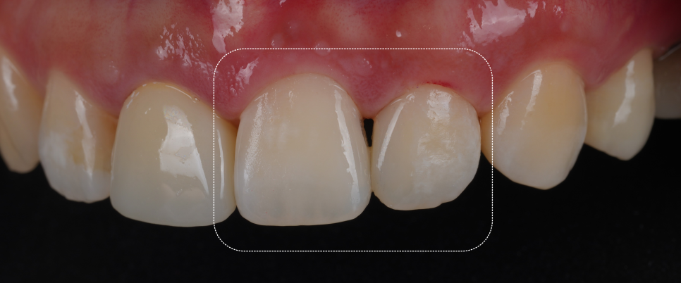
치료 후엔 잇몸과 치아 사이에 아주 얇은 ‘블랙트라이앵글’이 남았는데요.
왜 치아 사이에 공간이 생겼지?
라고 생각하실 수도 있는데요. 제가 일부로 만들어둔 것이랍니다.
자연스러운 곡선을 살리다 보면 잇몸이 완전히 닿지 않는 부분이 생겨요.

촬영일 : 251023
그걸 억지로 메우면 오히려 부자연스러워져요.
또, 치아 사이에 치실이 들어가지 않아 위생 관리가 어렵게 되어 충치도 잘 생기며, 잇몸에 염증도 잘 생기죠.
자연스러움을 위해 비울 줄도 알아야 합니다ㅎㅎ
“반대쪽도 치료할게요!”
서초동치과
광주에서 올라오셨던 환자분이 “멀리 온 보람이 있네요. 너무 마음에 들어요! 원장님~ 저 반대쪽 앞니도 치료할게요!” 치료가 끝나고 이렇게 말씀하시더라고요 ᄒᄒ

만족하셔서 다른 치료까지 맡겨주신다는 말이 저는 제일 좋더라고요ㅎㅎ
앞니 레진 치료는 단순한 충전이 아닙니다. 빛, 곡선, 형태, 그리고 인상까지 함께 다루는 ‘작업’이에요.
저는 이 일을 하면서 늘 그렇게 생각합니다. “치아를 덮는 게 아니라, 치아를 이해하는 게 먼저다.”라고요.
이분처럼 해결이 안 되는 문제로 고민 갖고 계시면 언제든 문의 주세요~ 최선을 다해 해결해 드리겠습니다😊
재주좋은치과 소현수 원장이었습니다. 감사합니다.
👇🏻 빠른 예약 👇🏻
👇함께 읽어보면 좋은 글들! 👇
치료 기간 : 251023 - 251023