아카이브 요약
이 페이지의 역할
재주좋은치과의원의 네이버 블로그 원문을 보존한 아카이브 페이지입니다. 앞니이야기 카테고리의 방배동치과 앞니 벌어짐 해결하러 강릉에서 오셨어요 글을 통해 병원의 한국어 정보 제공 방식과 진료 관련 안내 톤을 확인할 수 있습니다.
원문 검증
필요하면 원문 블로그와 병원 프로필로 바로 이동해 문맥을 다시 확인할 수 있습니다.
출처 아카이브 열기아카이브된 블로그 글
재주좋은치과의원 · 앞니 레진 비니어 장인, 소현수 원장입니다.
웃을 때마다 앞니 사이가 벌어져서 신경 쓰여요. 원장님이 예쁘게 잘해주실 것 같아서 강릉에서 왔어요. 방배동치과 제가 적은 블로그와 책을 보고 믿음이 갔다며 고3인 학생이 보호자도 없이 먼 발걸음 해주셨더라고요ㅎㅎ 그동안 진료를 마친 후, 아무도 없는 치과에 혼자 남아 블로그를 써왔던...
게시일
2025년 11월 13일
원문 기준으로 확인된 발행일입니다.
카테고리
앞니이야기
원문 블로그 카테고리를 정리해 함께 표시합니다.
이미지 수
13
현재 아카이브에 연결된 이미지 수입니다.
아카이브 요약
재주좋은치과의원의 네이버 블로그 원문을 보존한 아카이브 페이지입니다. 앞니이야기 카테고리의 방배동치과 앞니 벌어짐 해결하러 강릉에서 오셨어요 글을 통해 병원의 한국어 정보 제공 방식과 진료 관련 안내 톤을 확인할 수 있습니다.
원문 검증
필요하면 원문 블로그와 병원 프로필로 바로 이동해 문맥을 다시 확인할 수 있습니다.
출처 아카이브 열기웃을 때마다
앞니 사이가 벌어져서
신경 쓰여요.
원장님이 예쁘게
잘해주실 것 같아서
강릉에서 왔어요.
방배동치과
제가 적은 블로그와 책을 보고 믿음이 갔다며 고3인 학생이 보호자도 없이 먼 발걸음 해주셨더라고요ㅎㅎ
그동안 진료를 마친 후, 아무도 없는 치과에 혼자 남아 블로그를 써왔던 시간들을 보상받는 듯해 마음이 뭉클하고 정말 기뻤습니다🥹
👇🏻제 책도 소개해 드릴게요^^👇🏻
짧은 대화였지만 그 안에 환자분의 마음이 느껴졌어요. “예뻐지고 싶어요”가 아니라 “자신 있게 웃고 싶어요”라는 말이었거든요. 저는 그 마음이 참 좋았습니다.
억지로 바꾸기보다 있는 그대로의 모습에서 자연스러움을 찾아주는 게 치과의 역할이라고 늘 생각해왔으니까요😄


사실 저도 앞니 콤플렉스가 있어서
예전엔 잘 웃지도 않았어요.
그래서 환자분들의 마음을 누구보다 잘 알죠.
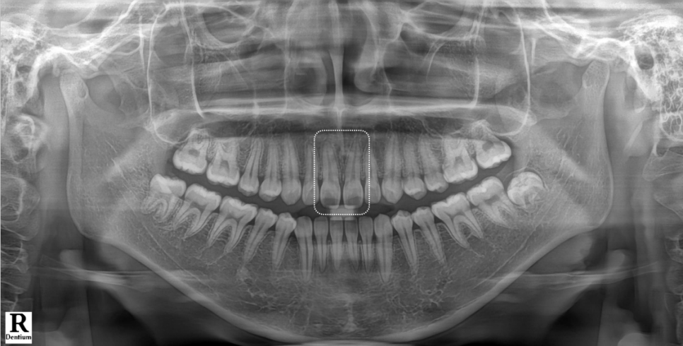
치아 형태 때문에 이가 벌어져 보일 수 있다?
방배동치과
검진을 해보니 앞니 사이가 실제로 벌어졌다기보단 치아 형태 자체가 그렇게 보이게 만드는 구조였어요.

촬영 : 251030
엑스레이를 보면, 뿌리는 벌어지지 않고 정상적인 위치에 있었는데요.

촬영 : 251030
구강 내를 보면, 앞니가 살짝 항아리 모양으로 윗부분은 정상적이지만 끝으로 갈수록 좁아져 벌어져 보이는 형태였죠.
이런 모양은 치아가 움직이지 않아도 빛이 통과할 때 자연스럽게 틈이 더 도드라져 보이게 만들어요.
그래서 이런 경우는 교정으로도 해결이 안 되고, 치아 형태를 다시 디자인해야 합니다.

촬영 : 251030
오랜만에 치과에 오셨다고 하셔서 스케일링과 기본적인 잇몸 상태도 함께 점검했는데요. 잇몸은 약간의 부종과 출혈이 있었지만 부분적으로 스케일링을 진행하니 금세 안정될 수 있는 수준이었어요^^
자연스러움과 교합 두 가지 모두 잡아야 해요.
방배동치과
앞니 사이 공간을 메우는 건 쉽지만 자연스럽게 보이게 만드는 건 전혀 다른 일이에요.
이번 치료의 목표는 단순했습니다. 앞니 사이 틈을 메우되 누가 봐도 “붙였구나”라는 느낌이 들지 않게 개선을 돕기로 했죠.
치료 방향을 이렇게 잡았어요.
방배동치과

앞니가 조금 짧은 감이 있어서 길이 연장까지 할지 선택권을 드렸어요.

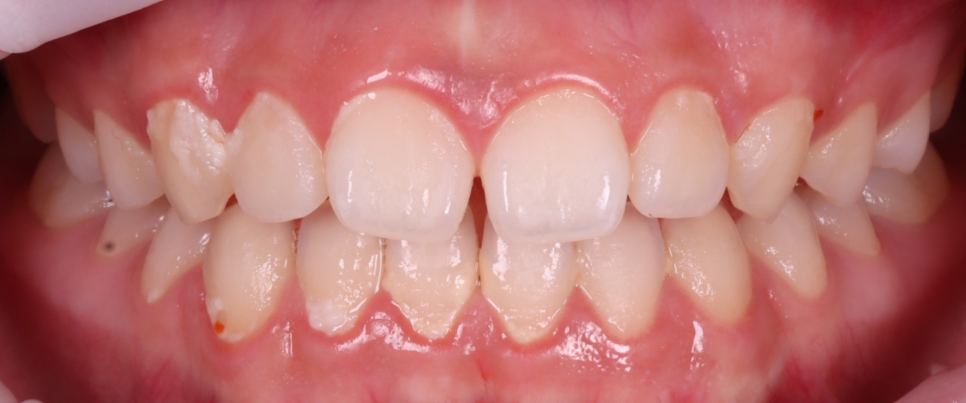
촬영 : 251030
길이를 연장할 경우 턱을 내밀었을 때, 아랫니가 윗니와 닿아서 아랫니가 닿지 않도록 조정해야 합니다.
환자분은 우선 벌어진 것만 원하셨어요.
두 치아의 길이와 폭 비율을 맞추고 웃을 때 자연광 아래에서도 자연스럽도록 투명도와 형태를 조정하기로 했습니다.
환자분이 미성년자라 치료 전에 보호자 분과 통화해 치료 과정과 비용, 마무리 시점까지 충분히 설명드리고 동의를 받았습니다.
형태를 고려해 레진을 쌓아 올렸어요.
방배동치과
치아 표면을 깨끗하게 한 뒤, 러버댐을 장착하고 치료를 시작했어요.


촬영 : 251030
접착이 잘될 수 있도록 표면처리 과정도 꼼꼼하게 진행했습니다.
앞니는 얼굴의 중심에 있기 때문에
조금만 각도나 두께가 달라도
인상이 확 달라져요.
방배동치과
그래서 여러 각도에서 확인해 보며 양쪽 치아의 길이와 곡선을 최대한 똑같이 맞췄어요.
마무리하기 전, 환자분한테 최종 모양을 확인받았어요.
거울을 보면서 “우와! 너무 예뻐요!” 하고 웃으시는데 그 순간 긴장감이 확 풀렸어요ㅎㅎ


촬영 : 251030
마지막으로 거친 표면을 매끄럽게 다듬고 광택을 내면서 빛이 고르게 반사되도록 마무리했어요.
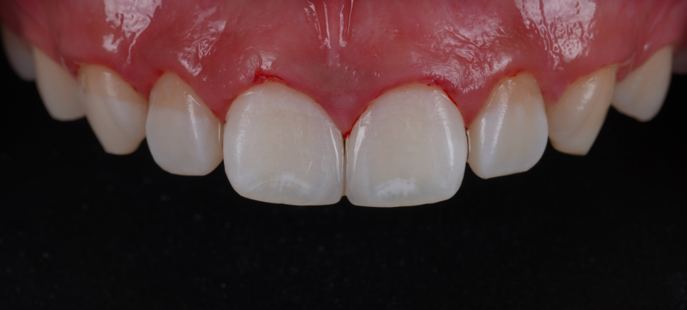
자연스럽게 메꿔진 앞니 사이 공간
방배동치과

촬영 : 251030
치료를 마친 뒤 거울로 확인하더니 “이제 자신 있게 웃을 수 있겠어요!”라고 하시더라고요^^
이번 케이스는 단순히 틈이 있었던 게 아니라 치아 형태 자체가 항아리처럼 끝이 좁아져 실제보다 더 벌어져 보이던 상황이었는데요.
단순히 공간을 채우는 게 아니라 치아의 모서리 라인과 각도를 조정해 형태 자체를 교정하는 데 중점을 뒀습니다.

촬영 : 251030 / 251030
앞니 레진 치료는 ‘공간을 채운다’보다 ‘형태를 다시 만든다’는 개념에 가까워요.
이번 케이스처럼 치아 형태 때문에 벌어져 보이는 경우는 색감보다 곡선, 각도, 비율이 훨씬 중요해요.
레진은 어떻게 계획을 하느냐에 따라 결과에 있어 더 큰 차이를 만드는 치료입니다.
앞니를 예쁘게 하고 싶으시다면 앞니에 대한 이해도가 높은 의료진을 찾아가시길 바랍니다.
비슷한 고민을 갖고 계신 분들께 오늘 글이 도움이 되셨길 바라겠습니다🙏🏻
지금까지 재주좋은치과 소현수 원장이었습니다! 감사합니다.
👇🏻 빠른 예약 👇🏻
👇함께 읽어보면 좋은 글들! 👇
치료 기간 : 251030 - 251030