아카이브 요약
이 페이지의 역할
재주좋은치과의원의 네이버 블로그 원문을 보존한 아카이브 페이지입니다. 앞니이야기 카테고리의 교대역치과 타치과 신경치료, 크라운 진단받았으나 레진으로 치료 글을 통해 병원의 한국어 정보 제공 방식과 진료 관련 안내 톤을 확인할 수 있습니다.
원문 검증
필요하면 원문 블로그와 병원 프로필로 바로 이동해 문맥을 다시 확인할 수 있습니다.
출처 아카이브 열기아카이브된 블로그 글
재주좋은치과의원 · 앞니 레진 비니어 장인, 소현수 원장입니다.
3년 전, 타치과에서 신경치료하고 씌워야 한다고 했어요. 탄산음료를 마시면 시리기도 해서 정말 신경치료해야 할 것 같긴 해요.. 그런데 제가 20대인데 치아를 벌써부터 깎는 것은 싫고 다른 방법은 없는지 다른 선생님들의 의견을 들어보고 싶어서 상담 요청드려요. 대구 살고 있는데, 멀더라도 잘하는 선생님께 진료받...
게시일
2025년 11월 18일
원문 기준으로 확인된 발행일입니다.
카테고리
앞니이야기
원문 블로그 카테고리를 정리해 함께 표시합니다.
이미지 수
24
현재 아카이브에 연결된 이미지 수입니다.
아카이브 요약
재주좋은치과의원의 네이버 블로그 원문을 보존한 아카이브 페이지입니다. 앞니이야기 카테고리의 교대역치과 타치과 신경치료, 크라운 진단받았으나 레진으로 치료 글을 통해 병원의 한국어 정보 제공 방식과 진료 관련 안내 톤을 확인할 수 있습니다.
원문 검증
필요하면 원문 블로그와 병원 프로필로 바로 이동해 문맥을 다시 확인할 수 있습니다.
출처 아카이브 열기3년 전, 타치과에서 신경치료하고
씌워야 한다고 했어요.
탄산음료를 마시면 시리기도 해서
정말 신경치료해야 할 것 같긴 해요..
그런데 제가 20대인데
치아를 벌써부터 깎는 것은 싫고
다른 방법은 없는지
다른 선생님들의 의견을
들어보고 싶어서 상담 요청드려요.
대구 살고 있는데,
멀더라도 잘하는 선생님께
진료받고 싶어서요~
처음 네이버 톡톡으로 연락을 주셨을 때 이렇게 장문의 메시지를 주셨는데요.
쭉 읽어보는데 치아를 살리고 싶으신 간절한 마음이 느껴지더라고요...
이분은 다행히 신경치료를 하지 않고 레진으로 마무리할 수 있었습니다.
앞니를 치료 후, 또다시 먼걸음을 하셔서 어금니까지 치료하셨습니다😊
증상이 있었음에도 불구하고 어떻게 신경치료 없이 레진으로 해드릴 수 있었는지 자세히 설명드릴게요!
치아를 깎지 않고 보존적으로 진료하고 싶으신 분들이라면 끝까지 읽어보세요 :)

(최근에 저희 단체복을 맞췄는데요^^
'SMILE BUILDER'라는 문구로 '웃음 짓는 사람들'이라는 뜻입니다. 앞으로도 많은 분들의 웃음을 책임지겠습니다😄)
앞니 충치, 어떻게 신경치료 없이 레진으로 해결할 수 있었을까?
교대역치과
앞니 충치는 깊긴 했지만 바로 신경치료나 크라운이 필요할 정도는 아니었어요.


촬영일 : 250909
치료를 하더라도 가급적이면
불필요한 삭제를 줄이는 것이
정말 중요해요.
그렇게 진료가 시작되면 점점 더 큰 치료를 해야 할 수밖에 없거든요.
그래서 가능하다면 삭제가 제일 적은 레진으로 해드리는 편입니다.

촬영일 : 250909
충치를 확인해 보니 깊긴 했지만, 신경치료까지 필요할 정도는 아니라고 판단했습니다.
그래서 조심스레 제거 후, 레진으로 마무리하기로 했어요.

촬영일 : 250909
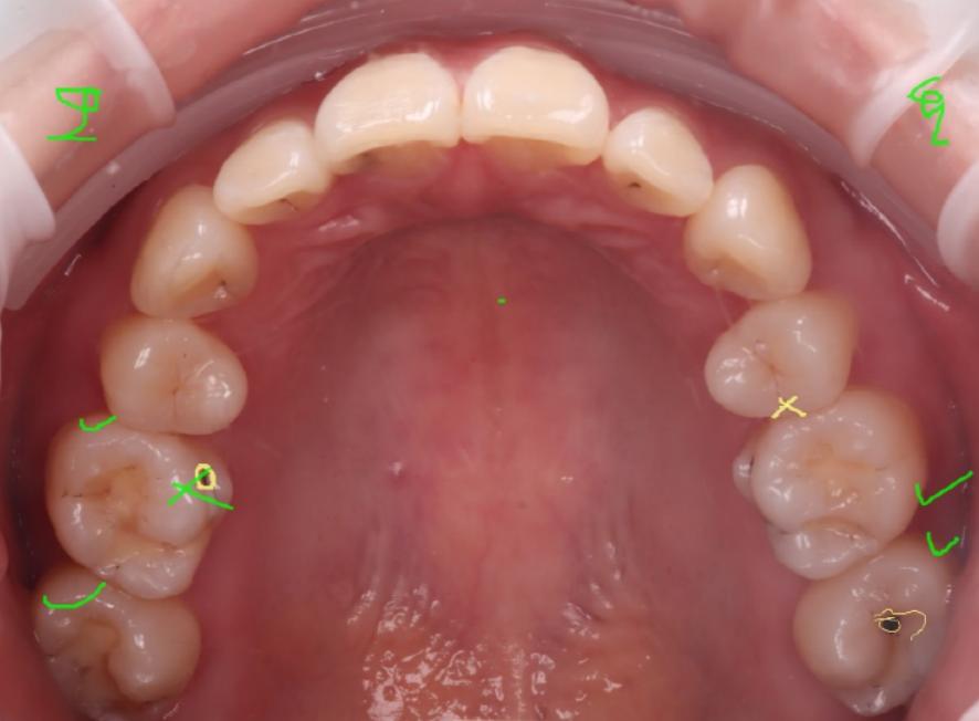
전체 구강을 살펴봤더니 왼쪽 제일 뒤어금니에도 충치가 있더라고요.
그래서 어금니(#27)도 같이 레진으로 치료하기로 했어요.
레진으로 자연스럽게 메꿔진 충치
교대역치과
앞니 레진은 ‘간단한 진료’라는 인식이 많지만 사실은 굉장히 섬세하고 정말 손이 많이 가는 작업이에요^^;


촬영일 : 250909
러버댐을 장착하고 수분이 닿지 않도록 격리한 다음, 한 층씩 빛으로 굳히면서 양옆 치아와 자연스럽게 어울리도록 형태를 잡아줘야 해요.

촬영일 : 250909
어금니도 충치 제거 후 자연스레 쌓아 올렸어요.


촬영일 : 250909 / 250909
2주 뒤, 경과 체크를 위해 내원해 주셨습니다.


촬영 : 250919
큐레이로 확인해 봐도 충치가 보이지 않고 깔끔하게 완료된 것을 확인할 수 있었습니다.
그날 다시 한번 구강 내 전체를 확인해 보는데 오른쪽 아래 어금니에 미세하게 크랙이 보였습니다.
다음 진료를 예약하고 귀가하셨죠.
어금니 치료를 앞두고 생긴 일
교대역치과
3주 뒤, 환자분께서는 왼쪽 아래 어금니에 치료해둔 레진이 닳아서 진료를 원한다며 내원하셨어요.


촬영일 : 251021
실제로 확인해 보니 예전에 때워뒀던 재료가 변색되고 경계 부분이 떨어지면서 새로 충치가 생긴 곳도 있어서 교체해야 되겠더라고요.


촬영일 : 251021
오른쪽 아래 어금니(#37) 하나만 원하셔서 그렇게 해드렸습니다.

촬영일 : 251021
큐레이를 이용해 충치만 최소로 삭제하며 진행을 했어요.

#37 완료 / 촬영일 : 251021
그 뒤로 레진을 이용해 말끔하게 채워드렸죠.
다른 쪽 어금니와 크랙 있던 어금니의 계획을 여쭤봤더니 “치료는 잘하시는 것 같은데… 너무 비싸요…”라며 귀가하셨어요.
한 달 후, 다시 연락이 왔습니다.
타치과에서 치료를 했는데 색도 어색하고 모양도 마음에 안 들고 무엇보다 얼마 안 있어 깨지고 아프다는 내용이었어요.
기존 치료를 제거해 보니..
교대역치과
기존 재료 아래에 하얗게 굳은 재료(ZPC로 추정)가 두껍게 깔려 있었어요.

촬영일 : 251110
쉽게 말하면 레진이 치아에 붙어 있는 게 아니라 ‘시멘트 같은 재료’ 위에 붙어 있는 구조였던 거죠.
이 구조는 아무리 레진을 잘해도
깨지고 빠질 수밖에 없어요...
레진은 치아에 직접 붙어야 튼튼해지거든요.
깨지지 않도록 재설계
교대역치과

촬영일 : 251110
그래서 저희는 기존에 했던 재료를 최대한 깨끗하게 걷어내고 바닥을 다시 정리했어요.
그리고 그 치아에 직접 레진이 단단하게 붙도록 구조를 다시 만들고 씹는 힘이 골고루 분산되도록 모양도 재설계했어요.

#46 / 촬영일 : 251110
오른쪽 아래 한 개(46), 그다음은 왼쪽 아래쪽(36), 마지막으로 왼쪽 위쪽(26) 순으로 보험 적용을 받으실 수 있도록 날짜를 나눠가며 하나씩 진행했어요.

#36 / 촬영일 : 251110
치료 후 환자분께서 “원장님께 치료받았으니 이번엔 오래 잘 쓸 수 있을 것 같다"라고 말씀하시더라고요.

#26 완료 / 촬영일 : 251111
저희 수가가.. 높은 편이라 느껴질 수 있어요.
그리고 인레이보다 레진 수가가 더 높아서.. 환자분들이 간혹 의문을 가지시기도 하죠.
그간의 제 기술과 노하우 등을 담아 자연치를 가능한 보존하는 쪽으로 진료를 하기 때문에 이 모든 것이 책정된 비용이라 이해해 주시면 돼요.
치아는 한번 삭제되면 돌이킬 수 없기 때문에 소중한 치아의 수명을 지켜드리는 과정입니다^^
필요 없는 삭제는 하지 않고 오래 버티도록 구조를 설계하는 것. 그게 레진을 할 때 가장 중요하게 보는 부분인데요.
이분도 대구에서 왔다가 한 번은 가격 때문에 떠나셨지만 결국 치료 방식과 결과 때문에 다시 돌아오셨던 것처럼 여러분들께서도 한 번 진료받을 때 올바른 곳에서 진료받으시길 바랍니다ㅎㅎ
재주좋은치과 소현수 원장이었습니다. 감사합니다.
👇🏻 빠른 예약 👇🏻
👇함께 읽어보면 좋은 글들! 👇
