아카이브 요약
이 페이지의 역할
재주좋은치과의원의 네이버 블로그 원문을 보존한 아카이브 페이지입니다. 앞니이야기 카테고리의 신논현역치과 심하게 마모된 60대 남성 앞니 크라운 치료 글을 통해 병원의 한국어 정보 제공 방식과 진료 관련 안내 톤을 확인할 수 있습니다.
원문 검증
필요하면 원문 블로그와 병원 프로필로 바로 이동해 문맥을 다시 확인할 수 있습니다.
출처 아카이브 열기아카이브된 블로그 글
재주좋은치과의원 · 앞니 레진 비니어 장인, 소현수 원장입니다.
아랫니가 많이 닳아서 이를 다물면 거의 안 보여요. 신논현역치과 앞니가 심하게 닳아 저희 치과로 오신 분이셨어요. 감사하게도 수원에 있는 종합병원에 계시는 치과 과장님의 소개를 받아 서울까지 내원해 주셨더라고요ㅎㅎ 치아를 오랫동안 사용하다 보면 누구나 조금씩 닳는데요. ...
게시일
2025년 11월 25일
원문 기준으로 확인된 발행일입니다.
카테고리
앞니이야기
원문 블로그 카테고리를 정리해 함께 표시합니다.
이미지 수
18
현재 아카이브에 연결된 이미지 수입니다.
아카이브 요약
재주좋은치과의원의 네이버 블로그 원문을 보존한 아카이브 페이지입니다. 앞니이야기 카테고리의 신논현역치과 심하게 마모된 60대 남성 앞니 크라운 치료 글을 통해 병원의 한국어 정보 제공 방식과 진료 관련 안내 톤을 확인할 수 있습니다.
원문 검증
필요하면 원문 블로그와 병원 프로필로 바로 이동해 문맥을 다시 확인할 수 있습니다.
출처 아카이브 열기아랫니가 많이 닳아서
이를 다물면 거의 안 보여요.
신논현역치과
앞니가 심하게 닳아 저희 치과로 오신 분이셨어요. 감사하게도 수원에 있는 종합병원에 계시는 치과 과장님의 소개를 받아 서울까지 내원해 주셨더라고요ㅎㅎ
치아를 오랫동안 사용하다 보면 누구나 조금씩 닳는데요.
하지만 1) 아랫니가 유난히 짧아 보이고, 2) 앞니 사이가 삼각형처럼 벌어지면서, 3) 웃을 때 예전보다 치아가 덜 보이고, 4) 턱이 더 깊게 들어가는 느낌이 든다면
치아가 더 빠르게
닳고 있다는 뜻입니다.
신논현역치과
이걸 너무 늦게 알아차리면 윗니, 아랫니 거의 모든 치아를 크라운으로 씌워야 하는 상황까지 갈 수 있어서 꼭 치과에서 검진을 통해 확인해 보시는 것을 권해드려요.
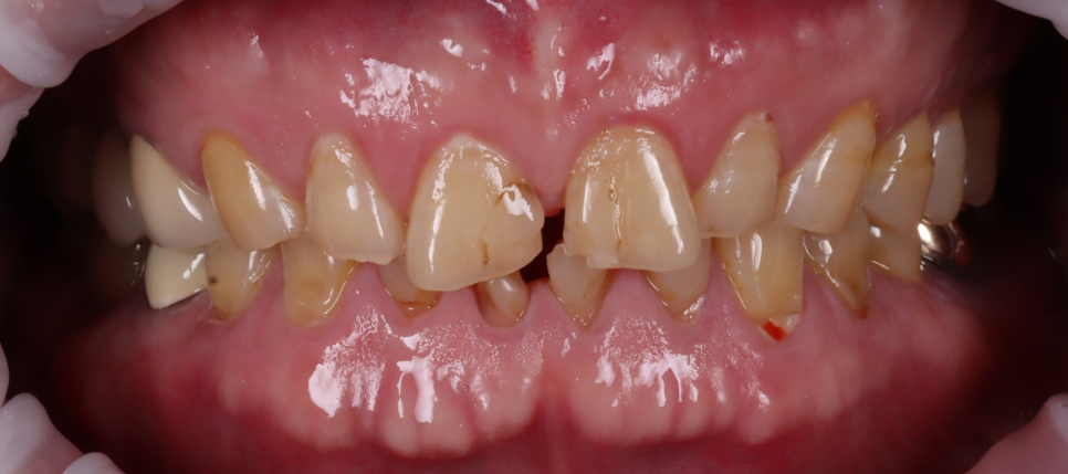
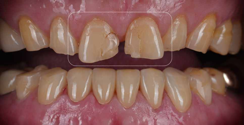
깊게 물리는 교합으로 이미 많이 닳아버린 앞니들
신논현역치과

촬영일 : 251013
아래 앞니는 치아 윗부분(절단면)이 많이 닳아서 길이가 눈에 띄게 짧아져 있었고, 닳아 없어지면서 사이사이에 빈 공간이 보였어요.
뿐만 아니라, 치아 겉 부분(법랑질)이 모두 닳아 신경과 가까운 상아질이 모두 노출되어 있었는데요.

이렇게 상아질이 노출되어 있으면 시린 증상이 나타나며, 장기간 지속될 경우 신경까지 괴사될 수 있어 치료가 시급한 상황이었습니다.

촬영일 : 251013
또, 아랫니가 많이 닳아있어 깊게 무는 형태인 'Deep bite(딥바이트)' 라고 부르는 과개교합 상태였죠.
오랜 시간 서로 부딪히며 위아래가 서로를 갈아버린 흔적이죠.


촬영일 : 251013
양쪽 작은 어금니 쪽에는 잇몸 가까이 패인 마모 부위도 있었고 찬물이나 칫솔질 때 "시큰시큰하다"라고 하셨어요.
환자분은 “아래 앞니가 많이 닳았어요"라고 말씀하셨지만 실제로는 아래 앞니에만 문제가 있는 것이 아니라 전체적인 교합, 마모 패턴을 같이 봐야 하는 상황이었어요.
아래는 크라운이 필요한 상황이었어요.
신논현역치과
한 번 무너진 교합은
회복되지 않아요.
신논현역치과
저는 위·아래를 함께 하는 게 기능적으로 안정적이라고 설명드렸는데요. 환자분은 “일단 아래부터 하고 싶다."라고 말씀하셨어요.
환자분 의사가 분명하면 그 안에서 최선을 찾아가는 게 제 역할이라고 생각해요.
문제는 이미 치아가 너무 많이 닳아 있어서 크라운이 들어갈 공간이 거의 없었는데요.
그래서 일반적인 방식으로 삭제하면 오히려 남아 있는 치아를 더 손상시키게 되는 형태였어요.
그래서 선택한 방식이 BOPT(Biologically Oriented Preparation Technique) 크라운이에요.

BOPT란?
☑️ 경계선을 깊게 만들지 않고 치아의 바깥 라인만 아주 살짝 정리
☑️ '최소량만' 다듬는 방식
마모가 심해도 치아를 최대한 지키면서 크라운을 만들 수 있는 기법이에요.

출처 : 구글
필요한 양만 다듬어서 치아 색상을 확인했습니다.

촬영일 : 251020
마지막으로 3D 스캐너로 스캔했습니다.


촬영일 : 251017
아주 난이도가 높은 케이스라.. 소장님과 수차례 전화 통화를 통해 최적의 형태를 만들 수 있었습니다^^;
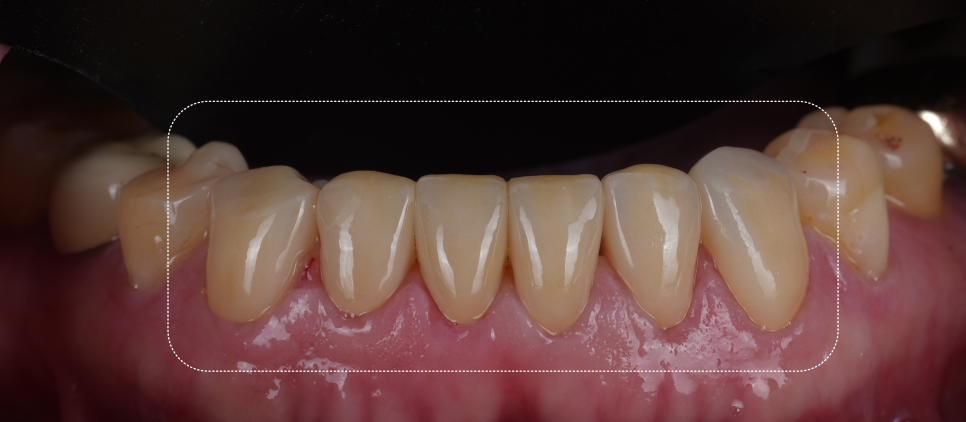
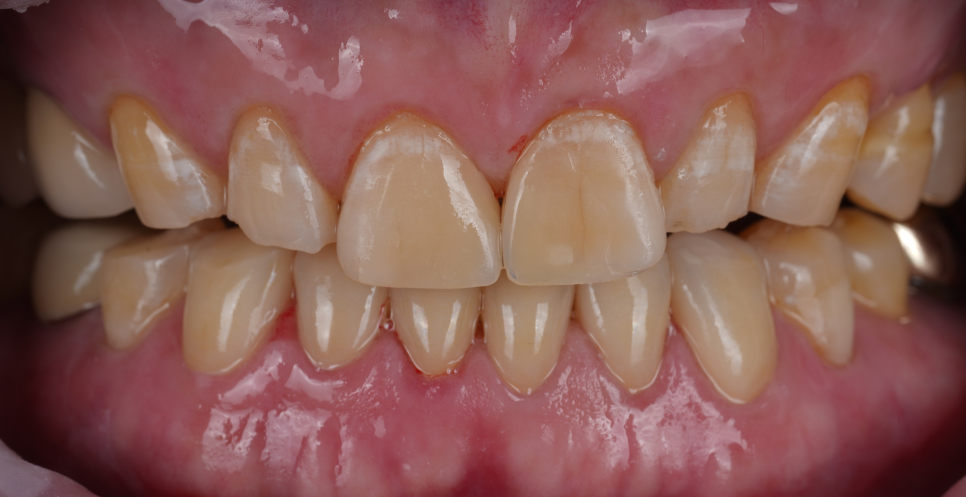
아래를 끝내고 나니 만족스러우셨던 환자분의 질문
신논현역치과
보철이 만족스럽게 제작됐더라고요.
환자분께서도 색상과 모양도 마음에 드신다고 하셔서 임시 접착제로 1주일 간 써보고 경과를 보기로 했습니다.
1주 뒤, 불편한 점이 없으시다고 하셔서 최종 접착을 했어요.

촬영일 : 251029
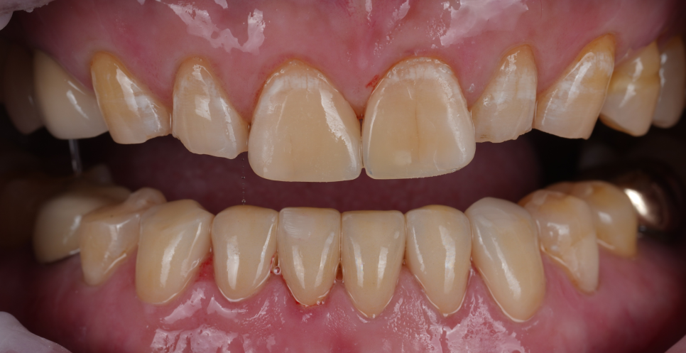
마무리를 하는데 환자분께서 질문을 하시더라고요.
원장님.. 위 쪽은
레진으로 하면 안 될까요?
아랫니가 예쁘게 완성되니
상대적으로 윗니가
너무 보기가 싫어서요...
신논현역치과
사실 위쪽은 구개 면(입천장 쪽)이 너무 닳아 있어서 레진으로는 내구성이 떨어질 수 있어서 크라운이 적합했는데요.
그래서 솔직하게 말씀드렸어요.
“레진으로 하면 깨질 가능성이 있어요. 하지만 불편한 정도가 크시다면 제가 할 수 있는 만큼은 만들어드릴게요.”
치료의 본질은 결국 환자분의 ‘지금’ 불편함을 해결해 드리는 거니까요^^

촬영일 : 251029
그 자리에서 가능한 범위를 계산해가며 색과 형태, 두께를 조절해서 자연스럽게 복원해드렸죠ㅎㅎ

촬영일 : 251029
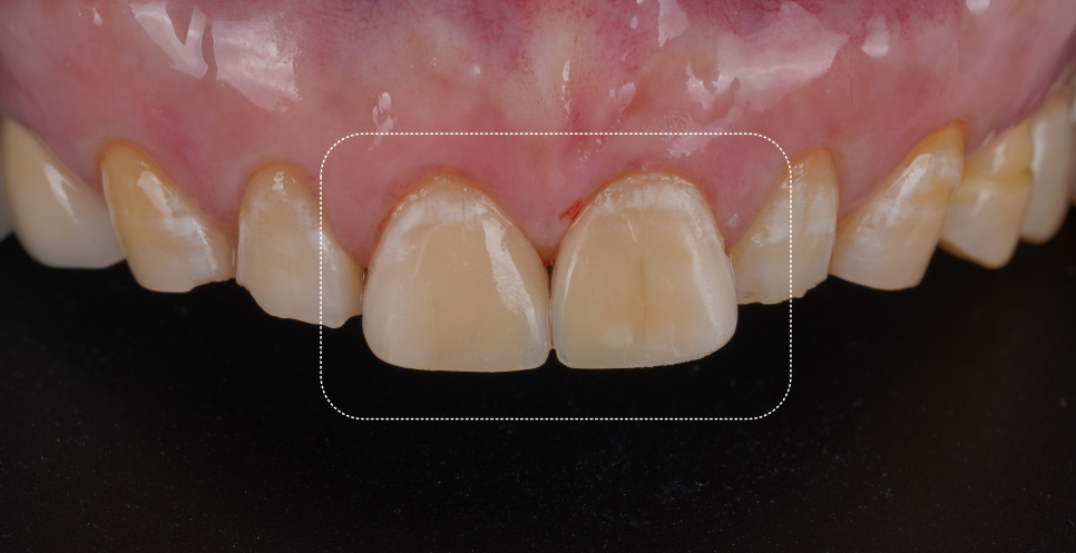
기능·심미 둘 다 회복된 안정적인 상태
신논현역치과

촬영일 : 251029
본래 길이를 되찾았고 주변 치아와도 조화롭게 잘 어우러져 일상생활에서 어색함 없이 사용하실 수 있는 상태가 되었어요.

촬영일 : 251029
'이렇게 감쪽같이 되는 거면 더 빨리할 걸 그랬다.'라고 말씀해 주셨습니다ㅎㅎ

촬영일 : 251013 / 251029
앞니는 어금니보다 마모가 눈에 띄게 드러나기 때문에 많은 분들께서 “치아 모양이 변했다."라고 생각하시는데요.

하지만 이번 케이스처럼 벌어짐 + 짧아짐 + 딥바이트(과개교합)가 동시에 나타나면 그건 치아 자체가 구조적으로 버티기 어려워졌다는 신호예요.
이럴 땐 가능한 치아를 보존하는 계획을
세우는 것이 중요한데요.
신논현역치과
최소한으로 깎고, 오래 쓸 수 있게 만들고, 기능까지 회복하는 것. 그걸 지키려고 저는 BOPT 방식을 선택해서 치료를 도와드려요.
언제나 제가 생각하는 최고의 가치는 '최소 삭제'입니다. 앞으로도 제 신념을 지키며 많은 분들의 치아를 지켜드리겠습니다!
비슷한 고민을 갖고 계시다면 편하게 문의 남겨주세요ㅎㅎ
재주좋은치과 소현수 원장이었습니다. 감사합니다.
👇🏻 빠른 예약 👇🏻
👇함께 읽어보면 좋은 글들! 👇
