아카이브 요약
이 페이지의 역할
재주좋은치과의원의 네이버 블로그 원문을 보존한 아카이브 페이지입니다. 앞니이야기 카테고리의 블랙트라이앵글 자연스럽게 메우는 비결은 이것 글을 통해 병원의 한국어 정보 제공 방식과 진료 관련 안내 톤을 확인할 수 있습니다.
원문 검증
필요하면 원문 블로그와 병원 프로필로 바로 이동해 문맥을 다시 확인할 수 있습니다.
출처 아카이브 열기아카이브된 블로그 글
재주좋은치과의원 · Naver Blog
원장님, 앞니 사이가 자꾸 보이니까 웃을 때마다 신경 쓰여요. 오늘 소개해 드릴 환자분은 27살 직장인이신데요. 병원 근처에 직장이 있으셔서 지나가다가 용기 내서 오셨어요. 치료 후 인스타 스토리에 올렸더니 많은 치과의사분들께서 '좋아요'를 눌러주셨는데요....
게시일
2025년 12월 11일
원문 기준으로 확인된 발행일입니다.
카테고리
앞니이야기
원문 블로그 카테고리를 정리해 함께 표시합니다.
이미지 수
13
현재 아카이브에 연결된 이미지 수입니다.
아카이브 요약
재주좋은치과의원의 네이버 블로그 원문을 보존한 아카이브 페이지입니다. 앞니이야기 카테고리의 블랙트라이앵글 자연스럽게 메우는 비결은 이것 글을 통해 병원의 한국어 정보 제공 방식과 진료 관련 안내 톤을 확인할 수 있습니다.
원문 검증
필요하면 원문 블로그와 병원 프로필로 바로 이동해 문맥을 다시 확인할 수 있습니다.
출처 아카이브 열기원장님, 앞니 사이가 자꾸 보이니까
웃을 때마다 신경 쓰여요.
오늘 소개해 드릴 환자분은 27살 직장인이신데요. 병원 근처에 직장이 있으셔서 지나가다가 용기 내서 오셨어요.

치료 후 인스타 스토리에 올렸더니 많은 치과의사분들께서 '좋아요'를 눌러주셨는데요. 환자분도 정말 마음에 들어 하셨던 케이스라 더 자세히 소개해 보려고 해요^^
요즘 유행하는 바이오 클리어, 그런데 왜 저는 잘 안 쓰냐면요.
블랙트라이앵글

벌어진 앞니를 메우는 방법으로 ‘바이오 클리어’라는 것이 있는데요.
요즘 유튜브에서 앞니를 메우는 방법으로 소개가 되어서 어떤 분들은 "바이오 클리어해주세요~"라고 말씀하시더라고요.
이것은 공간을 막는 데 탁월해요. 그런데 단점도 있어요.
치아와 잇몸 사이에 경계 부분이 자연스럽게 재현되지 않아요.
쉽게 말하면 날렵하게 떨어져야 예쁘게 보이는데, 앞니의 선이 퍼져 보이면서 “앞니가 통통해 보이는 것 같은” 느낌이 나더라고요.
그래서 저는 앞니 벌어짐 케이스에서는 다른 방식을 더 많이 씁니다.


저는 Style Italiano의
UNICA PROXIMAL을 주로 사용해요.
제가 자주 쓰는 방법은 Style Italiano라는 레진 스터디 그룹에서 만든 ‘UNICA PROXIMAL’이에요.

이것은 바이오 클리어에서 나타나는 단점이 전혀 없이 앞니의 모양을 예쁘고 자연스럽게 잡을 수 있어요.
대신 한 가지 특징이 있어요.
앞니 사이를 꽉 막기보다는 아주 얇은, 자연스러운 공간이 남을 수 있다는 점인데요.
그럼 보통 이렇게 여쭤보시죠. “원장님, 그러면 치아 사이가 여전히 보이는 거 아닌가요?”
살짝 남겨둔 그 틈은 시간이 지나면 잇몸이 채워줘요.
블랙트라이앵글
이번 환자분도 그랬지만 Unica Proximal을 사용하면 치료 직후에는 아주 좁은 틈이 남아 보일 수 있어요.
그런데 이 틈이 보기 싫어서
다시 메워달라고 하시는 분들은
없더라고요.
그 정도로 눈에 많이 띄지 않을 정도의 아주 조금이라.. 걱정하실 정도는 아니에요ᄒᄒ
시간이 지나면서 잇몸이 점점 회복되면서 그 공간을 자연스럽게 메워줘요.
그래서 2주, 한 달, 두 달이 지나면 처음보다 훨씬 더 자연스럽게 마무리되는 경우가 많아요.
또 하나 장점이 있어요. 치실이 잘 들어가서 위생관리가 쉽다는 점이에요.

사이를 너무 꽉 막아버리면 치실도 안 들어가고 미세하게 찌꺼기들이 더 쉽게 끼게 돼요. 그래서 잇몸이 붓기 쉽거든요.
쉽게 말씀드리자면, 잇몸도 숨 쉴 공간이 필요한 거예요.
실제 치료 과정은 이렇게 진행됐어요.
블랙트라이앵글

촬영일 : 251121
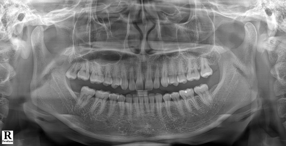
전체적인 상태를 보기 위해 엑스레이를 촬영했고, 다른 문제는 없다는 걸 확인했어요.
환자분께서 당일 치료를 원하셔서 바로 해드렸어요.

촬영일 : 251121
이 사이만 벌어진 게 아니라 경계 부분에 작은 충치가 발견되어 같이 치료해 드리기로 했어요.

촬영일 : 251121
그래서 먼저 앞니 안쪽에 있는 약해진 부분과 충치가 시작된 부분을 깨끗하게 정리하고 내부를 튼튼하게 만들어 줬어요.


촬영일 : 251121
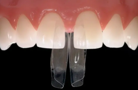
러버댐을 장착하고 Unica Proximal을 사용하여 레진으로 앞니 사이 모양을 디자인하면서 형태를 잡아줬습니다.
마무리로 아주 얇은 연마 기구(soflex)를 활용하여 매끄럽게 다듬어 드렸죠.

촬영일 : 251121
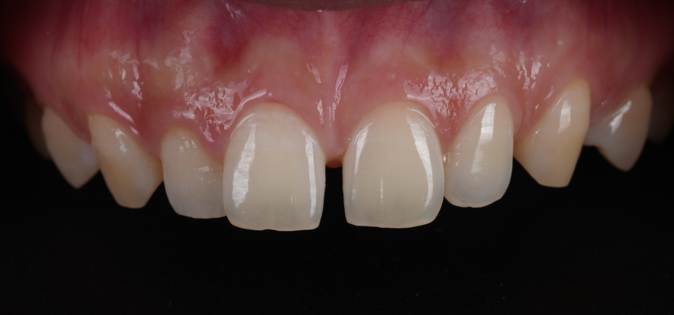
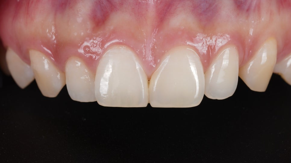
벌어진 사이가 자연스럽게 메워진 것을 볼 수 있었어요.
“저는 조그마한 틈 하나도 싫어요”
라고 하시면?
물론 모든 분들이 이렇게 자연스러운 공간을 좋아하시는 건 아니에요.
“저는 공간이 아예 없었으면 좋겠어요. 티 하나도 안 나게 꽉 막아주세요.” 이렇게 말씀하시는 분들도 있습니다.
그럴 때는 제가 바이오 클리어로도 치료를 해드려요. 대신 반드시 설명을 드립니다. “앞니가 조금 넓어 보일 수 있고 라인이 둥글게 보일 수 있어요. 그래도 완전히 막히는 걸 더 원하시면 이 방식으로 진행해 드릴게요.”라고요.
예쁘다는 기준이 사람마다 다르기 때문에 저는 장단점을 충분히 설명해 드리고 환자분이 선택할 수 있게 해드리는 편이에요.

촬영일 : 251121 / 251121
블랙 트라이앵글을 메울 때 중요한 건 단순히 “틈을 없애는 것”이 아니라 모양이 자연스러운지, 잇몸이 건강하게 차오를 공간이 있는지, 치실이 잘 들어가서 관리가 되는지 이 세 가지를 같이 보는 거라고 생각해요.
이번 케이스처럼 조금은 여유를 남기고 시간이 치유해 주는 부분을 인정해 주는 치료가 오히려 더 자연스럽고 오래가는 경우가 많아요.
앞니 사이 때문에 거울 볼 때마다 마음이 쓰인다면 이렇게 자연스럽게, 건강하게 메우는 방법도 있다는 걸 꼭 기억해두셨으면 좋겠어요.
지금까지 재주좋은치과 소현수 원장이었습니다. 감사합니다.
👇🏻 빠른 예약 👇🏻
👇함께 읽어보면 좋은 글들! 👇
치료 기간 : 251121 - 251121