아카이브 요약
이 페이지의 역할
재주좋은치과의원의 네이버 블로그 원문을 보존한 아카이브 페이지입니다. 사랑니이야기 카테고리의 사랑니발치 매복 돼도 이렇게 빼면 안전해요 글을 통해 병원의 한국어 정보 제공 방식과 진료 관련 안내 톤을 확인할 수 있습니다.
원문 검증
필요하면 원문 블로그와 병원 프로필로 바로 이동해 문맥을 다시 확인할 수 있습니다.
출처 아카이브 열기아카이브된 블로그 글
재주좋은치과의원 · 앞니 레진 비니어 장인, 소현수 원장입니다.
친구가 사랑니 매복돼서 신경 손상될 수 있다고 들었다는데.. 저는 괜찮을까요? 환자분들께서 가장 두려워하는 진료로 신경치료와 사랑니를 꼽을 수 있을 것 같습니다. 친구의 치료 경험담을 들으시곤 지레 겁먹으시는 분들도 많은데요. 실제로 매복 사랑니를...
게시일
2025년 12월 20일
원문 기준으로 확인된 발행일입니다.
카테고리
사랑니이야기
원문 블로그 카테고리를 정리해 함께 표시합니다.
이미지 수
15
현재 아카이브에 연결된 이미지 수입니다.
아카이브 요약
재주좋은치과의원의 네이버 블로그 원문을 보존한 아카이브 페이지입니다. 사랑니이야기 카테고리의 사랑니발치 매복 돼도 이렇게 빼면 안전해요 글을 통해 병원의 한국어 정보 제공 방식과 진료 관련 안내 톤을 확인할 수 있습니다.
원문 검증
필요하면 원문 블로그와 병원 프로필로 바로 이동해 문맥을 다시 확인할 수 있습니다.
출처 아카이브 열기친구가 사랑니 매복돼서
신경 손상될 수 있다고
들었다는데..
저는 괜찮을까요?
환자분들께서 가장 두려워하는 진료로 신경치료와 사랑니를 꼽을 수 있을 것 같습니다.
친구의 치료 경험담을 들으시곤 지레 겁먹으시는 분들도 많은데요.

실제로 매복 사랑니를 발치 시 드물게 신경이 손상되는 경우가 있긴 합니다.
확률상으로는 발생 빈도가 높지는 않은데요.
몇 가지만 주의하면 매복 사랑니발치도 안전하게 할 수 있어요.

얼마 전, 30대 여성분이 내원하셨어요.
왼쪽 아래 사랑니가 계속 불편하다고 하셨고 이야기를 나누다 보니 오른쪽 아래도 있는 것 같다고 하시더라고요.
아주 심하게 아픈 건 아니지만 가끔 신경 쓰여 계속 혀가 가는 느낌.. 그러다가 갑자기 참을 수 없는 통증이 느껴지거든요.
대부분 이렇게 통증이 생기면 치과로 오시더라고요.
그런데 아플 때 오시면 염증이 심해서 발치가 어려운 경우도 있거든요. 아프기 전에 예방적으로 발치하시는 것도 좋습니다.
참! 저 레진 진료만 하는 줄 아는 분들도 계신데.. 사랑니발치, 신경치료, 임플란트 다 자신 있답니다ㅎㅎ
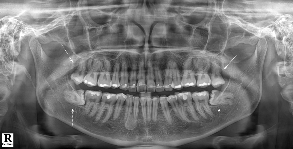
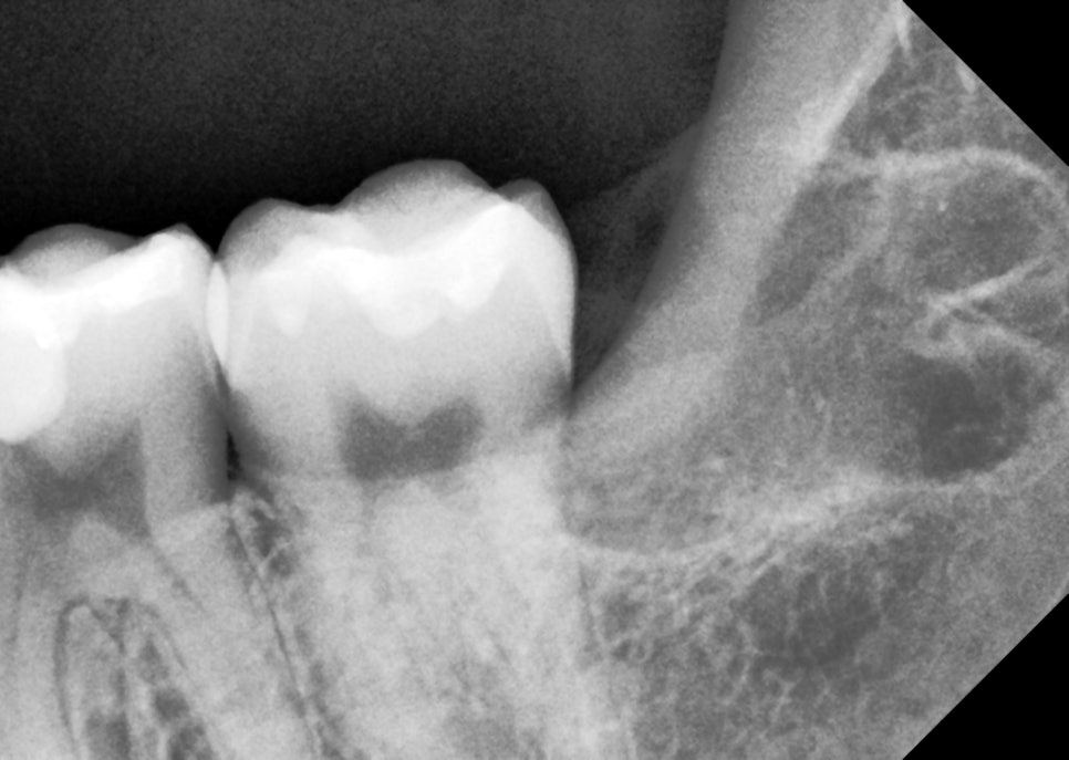
엑스레이를 보고 바로 느낀 건 ‘쉽지 않다’였어요.


촬영일 : 251121
잇몸 속에 묻혀 있는 형태는 육안으로 확인하기가 힘들어서 엑스레이를 통해 정확한 상태를 확인해 봤는데요.

촬영일 : 251121
위쪽은 똑바로 나있었지만 아래 사랑니가 모두 매복 되었고 뿌리가 두 갈래로 갈라져 있었으며, 끝이 많이 휘어 있는 형태였어요.
또, 뿌리 끝과 하치조신경관의 거리가 매우 가까웠는데요.

이런 경우, 발치하다가 하치조신경관이 손상되는 경우도 있어서 매우 조심해야 됩니다.
다행히 붓거나 염증이 있는 상황은 아니라서 당일에 발치해 드리기로 했어요.
'뿌리를 부러뜨리지 않는 것'이 핵심이에요.
이 케이스에서 가장 중요한 건 '뿌리를 부러뜨리지 않는 것'이었어요.
뿌리가 부러진다면... 부러진 끝부분을 찾기 위해 여기저기 만져보다가 오히려 신경관을 손상시킬 수도 있거든요.
그래서 뿌리가 부러진 경우라면, 일부러 뿌리 끝을 그대로 놔두기도 합니다.
가장 이상적인 것은 뿌리가 부러지지 않는 것이죠.

잇몸을 가능한 적게 절개한 뒤, 필요한 만큼만 골 삭제를 하고 치아를 여러 조각으로 나눠 제거하는 계획을 세웠어요.
그리고 양쪽을 한 번에 뽑게 되면 식사하기가 어려워지기 때문에 통증이 있는 왼쪽부터 발치하고, 다음에 오른쪽 사랑니발치를 해드리기로 했어요.
발치 후엔 반드시 더블 체크!
수술 중에는 불필요한 절개를 피하고, 뼈 삭제 범위를 최소화했습니다.
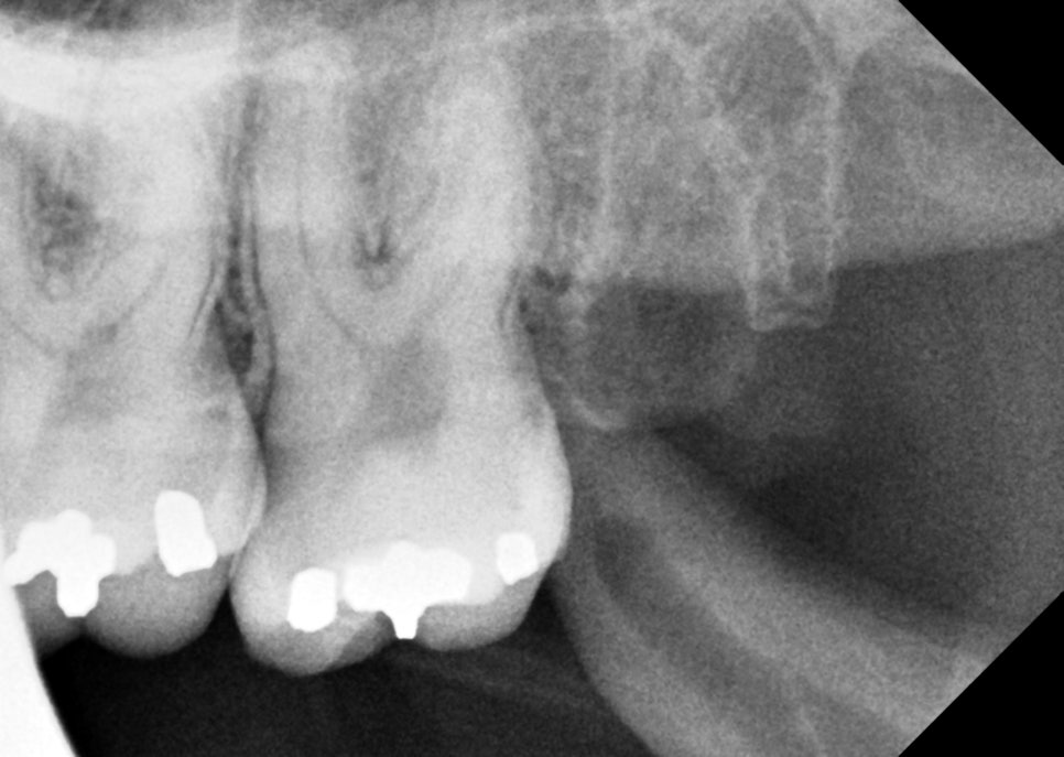
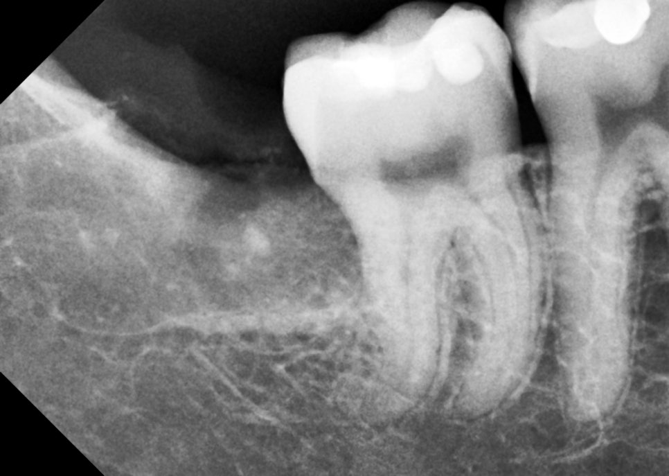
다행히 뿌리가 부러지지 않고 잘 나왔어요.

뿌리와 엑스레이를 보면서 잘 나온 것 같았지만, 더블 체크를 위해 엑스레이를 촬영했어요.


촬영일 : 251121
깔끔하게 제거된 것을 볼 수 있었어요.
봉합하기 전에 지혈제를 넣어드렸는데요.

지혈제는 혈액 응고를 촉진하여 지혈을 돕고, 상처의 혈병이 안정적으로 형성되도록 도와 회복이 원활할 수 있도록 만들어 줍니다.
또한 상처 부위를 보호해 음식물이 끼는 것을 예방하고, 이로 인한 감염 위험도 줄여줘요.
10일 뒤 내원하셔서 실밥을 제거하면서 반대쪽도 위, 아래 사랑니를 발치했어요.


촬영일 : 251121
오른쪽도 뿌리가 부러지지 않고 신경관의 손상 없이 깔끔하게 제거되었어요.

해당 부위에도 지혈제를 넣어 출혈을 줄이고, 상처가 안정적으로 회복될 수 있도록 했습니다.
발치가 끝났다고
진료가 완전히 끝난 건 아니에요.
사랑니 발치 후에 주의 사항을 잘 지켜주는 것은 정말 중요한데요.
종종 지혈이 잘 안돼서 재내원하시는 경우에 확인해 보면
✅ 거즈를 꽉 물지 않으신 경우
✅ 거즈를 2시간 이상 물지 않으신 경우
✅ 거즈를 문 상태로 계속 말씀하신 경우
3가지가 가장 많았습니다.
그러니 저희가 알려드린 주의 사항을 잘 지켜주시길 바랍니다🙏🏻
제가 사랑니발치에서
중요하게 생각하는 기준은!
의사가 얼마나 빠르게 끝내느냐를 보여주는 치료가 아니라고 생각해요.

촬영일 : 251121 / 251201
환자가 덜 아프고, 덜 붓고, 회복이 편한 쪽으로 가는 게 제 기준이에요.
이번 케이스도 그 기준 안에서 진행했어요. 매복의 경우 잇몸을 절개할 수밖에 없기 때문에 절개 범위를 줄이고 뼈 삭제도 줄인 것처럼 말이죠ㅎㅎ
사랑니발치를 고민하고 계신다면 “빨리 빼주세요”보다 “내 상태에 맞게 안전하게 빼주세요”가 훨씬 중요한 말이라고 생각해요.
앞으로도 환자분의 안전을 1순위로 삼고 진료를 이어가겠습니다^^
재주좋은치과 소현수 원장이었습니다. 감사합니다.
👇🏻 빠른 예약 👇🏻
👇함께 읽어보면 좋은 글들! 👇
치료 기간 : 251121 - 251201