아카이브 요약
이 페이지의 역할
재주좋은치과의원의 네이버 블로그 원문을 보존한 아카이브 페이지입니다. 앞니이야기 카테고리의 앞니 벌어짐 레진 비니어 후 미인대회 출전 글을 통해 병원의 한국어 정보 제공 방식과 진료 관련 안내 톤을 확인할 수 있습니다.
원문 검증
필요하면 원문 블로그와 병원 프로필로 바로 이동해 문맥을 다시 확인할 수 있습니다.
출처 아카이브 열기아카이브된 블로그 글
재주좋은치과의원 · 앞니 레진 비니어 장인, 소현수 원장입니다.
앞니가 벌어져있어서 개선하고 싶어요. 제가 곧 미인대회 나가거든요~ 앞니도 예뻐지고 싶어요. 본격적으로 겨울방학이 시작됐다는 것을 체감하고 있습니다. 방학이 되면 앞니 상담을 받으러 오시는 20대 환자분들이 부쩍 늘어나거든요ㅎㅎ 이번에 오신 분도 20대 초반 여성으로,...
게시일
2026년 1월 6일
원문 기준으로 확인된 발행일입니다.
카테고리
앞니이야기
원문 블로그 카테고리를 정리해 함께 표시합니다.
이미지 수
14
현재 아카이브에 연결된 이미지 수입니다.
아카이브 요약
재주좋은치과의원의 네이버 블로그 원문을 보존한 아카이브 페이지입니다. 앞니이야기 카테고리의 앞니 벌어짐 레진 비니어 후 미인대회 출전 글을 통해 병원의 한국어 정보 제공 방식과 진료 관련 안내 톤을 확인할 수 있습니다.
원문 검증
필요하면 원문 블로그와 병원 프로필로 바로 이동해 문맥을 다시 확인할 수 있습니다.
출처 아카이브 열기앞니가 벌어져있어서
개선하고 싶어요.
제가 곧 미인대회 나가거든요~
앞니도 예뻐지고 싶어요.
본격적으로 겨울방학이 시작됐다는 것을 체감하고 있습니다.
방학이 되면 앞니 상담을 받으러 오시는 20대 환자분들이 부쩍 늘어나거든요ㅎㅎ
이번에 오신 분도 20대 초반 여성으로, 제 블로그와 책, 여러 검색을 통해 네이버 예약을 해주셨어요.

“미인대회 나가게 됐어요…”
이 말씀을 듣는 순간, 제 머릿속에서는 ‘자연스럽게, 티 나지 않게 하는 게 중요하겠다!'라는 생각이 스쳐가더라고요. 그래서 어떤 모습으로 바뀌었냐고요?ㅎㅎ
하나씩 보며 설명드릴게요. 앞니 벌어짐 레진으로 간단하게 해결하고 싶은 분들은 치료 후 사진까지 확인해 보세요 :)
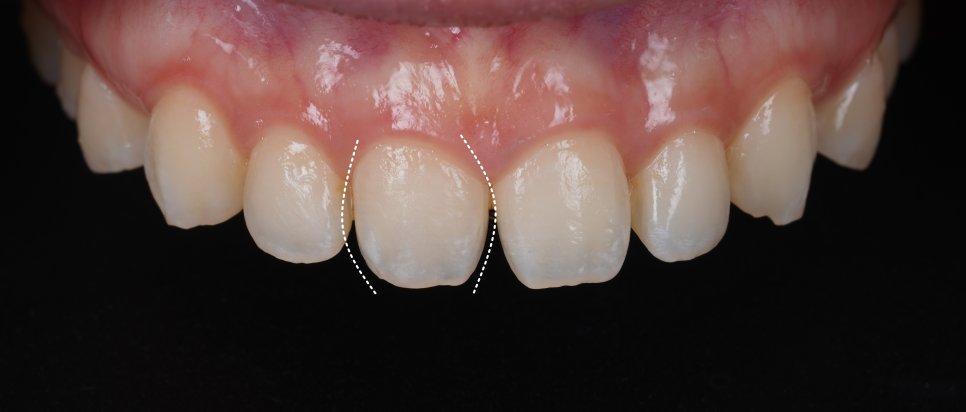
앞니 사이가 벌어진 이유
검진해 보니 치아 사이가 벌어진 이유는 간단했어요. 이 사이에 문제가 생긴 게 아니라 치아 모양이 퍼져 있었어요.

촬영일 : 251216
위쪽은 넓고 아래쪽은 좁은,
딱, 항아리 형태였어요.

촬영일 : 251216
이런 경우는 교정을 하지 않아도 그리고 치아를 깎지 않아도 레진으로 모양만 제대로 잡아주면 사이가 자연스럽게 닫혀 보여요.
대신 조건이 하나 있어요. 잘해야 해요.
조금만 욕심내면 앞니 벌어짐 사이가 커 보이고 조금만 덜 하면 벌어짐이 그대로 남거든요.
웃을 때 자연스럽게 느껴지도록
그동안 제가 많이 설명해 드린 방법인데요. 이번 치료는 레진 비니어로 계획했어요.
치아를 깎지 않고 필요한 부분만 살짝 더해서 형태를 다시 만들어주는 방식이에요.

근데 여기서 중요한 건
‘앞니 벌어짐 공간을 무조건 닫자’가 아니라
‘이 분이 웃을 때 가능한 자연스럽게,
하게 만들자’였어요.
미인대회 무대에서는 억지웃음이 바로 티 날 수 있으니 정면에서 볼 때, 웃을 때 입술이 움직이는 각도까지 다 염두에 두고 계획을 세우기로 했어요.
그리고 가짜 치아 같은 티가 나기보단 원래 본인의 치아였던 것처럼 자연스러움을 살리면서 앞니 벌어짐 공간을 닫기로 방향을 잡았죠.

촬영일 : 251216
밝고 깨끗한 인상을 위해 치아 미백도 함께 진행하기로 했어요.
레진도 여러 가지 색상이 있기에, 치아미백을 먼저 진행하고 색이 안정되면 거기에 맞춘 색상으로 치료하기로 했습니다.

얼굴 사진 활용에 동의해 주셔서 가상 시뮬레이션을 해서 레진 후 모습을 환자분께 미리 보여드렸어요.
얼굴 조화까지 고려한 형태
레진을 하기 전 에어플로우로 깨끗하게 청소를 한 뒤에 치아미백부터 진행했어요.
에어플로우 GBT는 스위스 EMS에서 개발되어
굉장히 고가에 국내에 수입되는 장비인데요.

치과 의자에 기본 옵션으로 장착된 스케일러는 착색은 제거가 잘 안되어 깨끗한 스케일링을 위해 별도로 구매했습니다.
(지금까지도 아깝지 않은, 현명한 소비 중에 하나라고 생각해요😊)
🔽 에어플로우 스케일링 후기도 확인해 보세요 🔽
미백 전, 치아 색상을 확인했습니다.

얼굴색에 비해 어두운 치아 색을 갖고 계셨는데요.
밑에 숫자 적힌 곳을 보시면 송곳니는 3에서 3.5에 가까울 정도로 노란 색상을 띄었습니다.
(*숫자가 1에 가까울수록 하얗습니다.)

촬영일 : 251219
당일 미백만으로도 아주 밝게 변한 것을 확인할 수 있었죠. 1의 숫자와 거의 비슷한 색상까지 밝아졌습니다.
미백 후 최대 72시간까지 계속해서 밝아지기 때문에 1주일 뒤 레진 치료를 하기로 했어요.
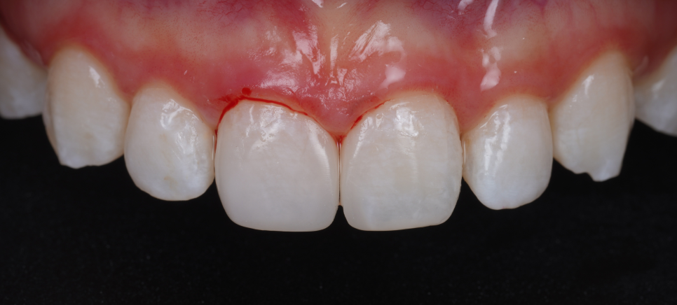
색상을 확인하고 거기에 맞춰 레진 비니어 작업을 했습니다.

방습 후 치아 색상을 맞춰 심미수복용 레진을 한 겹 한 겹 쌓아 올리는 Layering Technique으로 마무리했습니다.

촬영일 : 251226
제가 늘 말씀드리고 강조하는 자연치아가 가진 광학적 특성!
투명층
그 투명층의 재현이 잘 되었죠!?
앞니 벌어짐 레진은
밀리미터 차이로 인상이 바뀌어요.
그래서 치아만 보지 않고 이렇게 얼굴 전체의 조화를 같이 봐야 해요.
앞니보다 먼저 바뀐 건 표정
치료 끝나고 거울을 보셨는데 아까랑 웃는 게 달라졌어요. 공간이 닫혀서가 아니라 이제 신경 쓸 게 없어진 얼굴이더라고요ㅎㅎ
"대회에서 활짝 웃어도 되겠어요."라며 말씀을 해주셨는데요. 그래서 제가 "예선 붙었다고 생각해 보세요~"라고 말씀드리니 더 활짝 웃어주시더라고요.

자신감 있게 변한 치아로 미인대회 대상까지 가셨으면 하는 바람입니다🙏🏻


촬영 : 251226
앞니 벌어짐이 있다고 해서
무조건 다 교정해야 하는 건 아니에요.
치아 모양 때문에 생긴 앞니 벌어짐이라면 깎지 않고도, 교정하지 않고도 충분히 바꿀 수 있어요.
다만 앞니 치료는 무조건 예쁘게 만드는 게 목적이 아니에요. 누가 봐도 티 나지 않게 그리고 스스로 느끼기에도 자연치처럼 편하게 의식하지 않아도 되는 상태로 만드는 거예요.
웃을 때 “괜찮나?” 생각 안 나고 사진 찍을 때 입부터 가리지 않아도 되는 상태요ㅎㅎ 그게 저는 앞니 벌어짐 치료가 잘 끝났다는 기준이라고 생각해요.
그래서 앞니는 항상 신중하게, 꼼꼼하게 진료를 한답니다.
지금까지 재주좋은치과 소현수 원장이었습니다. 감사합니다.
👇🏻 빠른 예약 👇🏻
👇함께 읽어보면 좋은 글들! 👇
치료 기간 : 251216 - 251226