아카이브 요약
이 페이지의 역할
재주좋은치과의원의 네이버 블로그 원문을 보존한 아카이브 페이지입니다. 앞니이야기 카테고리의 라미네이트, 크라운 재치료, 잇몸 성형까지 앞니 6개 치료 글을 통해 병원의 한국어 정보 제공 방식과 진료 관련 안내 톤을 확인할 수 있습니다.
원문 검증
필요하면 원문 블로그와 병원 프로필로 바로 이동해 문맥을 다시 확인할 수 있습니다.
출처 아카이브 열기아카이브된 블로그 글
재주좋은치과의원 · 앞니 레진 비니어 장인, 소현수 원장입니다.
원장님 20년 전에 앞니를 했는데요. 여러 군데 상담받아봤는데 다들 치료 방법이 다르더라고요.. 동네 치과에서 감쪽같이 진짜 예쁘게 하고 싶으면 여기 가보라고 하시더라고요. 감사하게도 시간이 지날수록 여러 치과의사 선생님들의 신뢰와 추천을 통해 저희 치과를 찾아주시는 환자분들이 꾸준히 늘어나고 있...
게시일
2026년 1월 15일
원문 기준으로 확인된 발행일입니다.
카테고리
앞니이야기
원문 블로그 카테고리를 정리해 함께 표시합니다.
이미지 수
16
현재 아카이브에 연결된 이미지 수입니다.
아카이브 요약
재주좋은치과의원의 네이버 블로그 원문을 보존한 아카이브 페이지입니다. 앞니이야기 카테고리의 라미네이트, 크라운 재치료, 잇몸 성형까지 앞니 6개 치료 글을 통해 병원의 한국어 정보 제공 방식과 진료 관련 안내 톤을 확인할 수 있습니다.
원문 검증
필요하면 원문 블로그와 병원 프로필로 바로 이동해 문맥을 다시 확인할 수 있습니다.
출처 아카이브 열기원장님 20년 전에 앞니를 했는데요.
여러 군데 상담받아봤는데
다들 치료 방법이 다르더라고요..
동네 치과에서 감쪽같이
진짜 예쁘게 하고 싶으면
여기 가보라고 하시더라고요.
감사하게도 시간이 지날수록 여러 치과의사 선생님들의 신뢰와 추천을 통해 저희 치과를 찾아주시는 환자분들이 꾸준히 늘어나고 있습니다.
(이 자리를 빌려, 소중한 환자분들을 의뢰해 주시는 원장님들께 깊이 감사의 말씀을 드립니다🙏🏻)
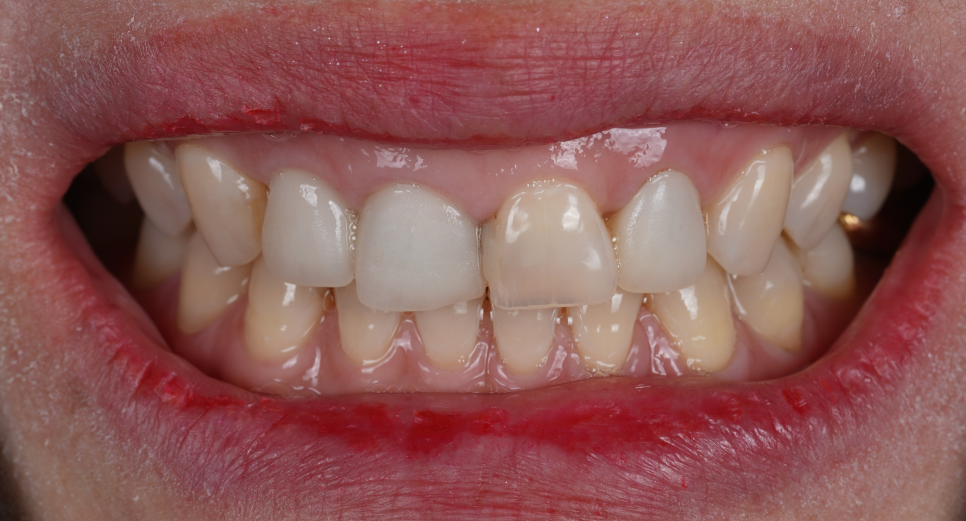
앞니 3개는 크라운이었는데 사이는 원래 치아이다 보니 시간이 지나면서 자연치아의 변색과 마모로 도드라져 보이는 상황이었습니다.
색상이 고르지 않게 보이는 것이 가장 고민이셨는데요.

"레진으로도 가능할까요?"라는 질문을 하셨습니다.
레진이 가능하지만 라미네이트를 권했던 이유

251105
가운데 보철이 안된 치아는 살짝 앞으로 돌출되었더라고요.
이 상태에서 레진으로 덧붙이면 치아를 덜 깎을 수는 있지만 더 튀어나와 보일 수 있어요.

251105
레진은 ‘치아를 거의 삭제하지 않는 치료’라는 분명한 장점이 있지만, 모든 경우에 항상 가장 최선의 선택이라고 보기는 어렵습니다.
그래서 이 치아는 레진이 아니라 라미네이트가 더 자연스러운 결과를 만들 수 있는 상황이라고 설명드렸어요.

직접 스케치하며 설명드렸어요ㅎㅎ
251105
치료 방법을 결정할 때 가장 우선되어야 할 기준은 재료가 아니라, 치아가 놓여 있는 위치와 방향입니다.
치아보다 먼저 손봐야 했던 잇몸
환자분께서는 웃을 때 잇몸이 많이 보이는 거미 스마일(Gummy Smile)을 개선하고 싶다고 하셨어요.

251105
잇몸이 치아를 많이 덮고 있어서 송곳니부터 송곳니까지 6개 치아를 잇몸 성형하기로 했습니다.
그 후 잇몸이 안정되면, 모델을 만들어서 앞니의 모양과 형태를 보고 더 상세한 계획을 세우기로 했어요.
라미네이트와 크라운 2가지 방법을 동시에

251105
색상의 균일화
자연스러운 모양
환자분의 요청을 토대로 앞니 6곳 중 3곳은 크라운 재치료를, 3곳은 라미네이트 수복을 진행하기로 대략적으로 계획을 세웠어요.

이 경우, 라미네이트와 크라운이 재료가 다르다 보니 완벽하게 색상을 균일하게 재현하기는 어렵습니다.
하지만, 치과의사 선생님의 소개로 멀리서 오신 만큼 기공소장님과 오랜 회의를 거쳐 최대한 맞춰서 제작해 보기로 했죠.
자연스러운 결과를 위한 소통

잇몸성형 전, 후
251105 / 251117
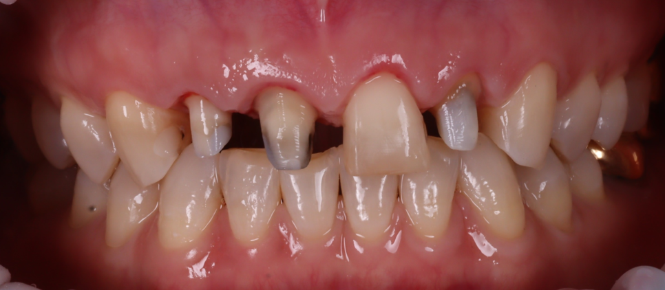
잇몸이 안정된 뒤 기존 보철물은 전부 제거하고 치아 상태를 다시 확인했어요.
치아 삭제가 최소로 가능한 부위는 라미네이트로
돌출과 구조적인 한계가 있는 치아는 크라운으로
3D 스캐너를 활용해 환자분의 구강을 스캔하고, 이를 바탕으로 향후 보철 형태를 구현하기 위한 진단 모형을 제작했습니다.
그 모형을 토대로 임시치아를 제작하고, 최종 보철 모양도 미리 확인할 수 있었죠.



251202
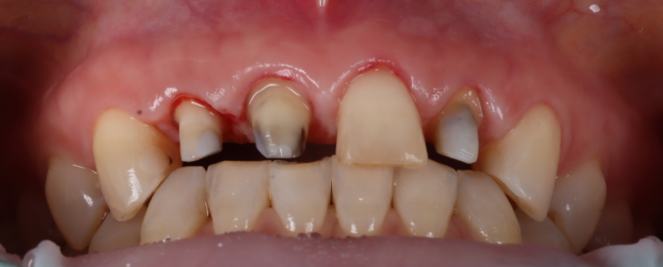
기존 보철을 제거하고 라미네이트 제작을 위해 소량 다듬고 치아 색상을 확인했습니다.
색상도 튀지 않게 하나만 밝아 보이거나 탁해 보이지 않도록 투명도와 명도를 맞추는 데 집중했어요.
중간에 임시치아를 사용하면서 웃을 때 느낌, 발음, 입술 닿는 느낌까지 하나씩 확인해가며 조정했죠^^

251210
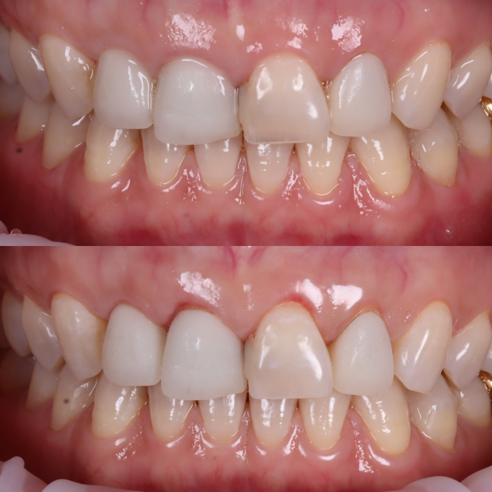
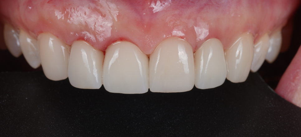
최종 보철을 완성한 뒤, 환자분께서 요청하신 잇몸 라인과 균일한 치아 색상, 자연스러운 치아 형태가 잘 구현되었는지 확인했습니다.
또, 혀에 걸리는 느낌이나 불편한 부위는 없는지, 전체적인 교합 상태까지 면밀히 점검하며 세밀한 조정을 거쳐 치료를 마무리했습니다.
치료를 마치고 나서
보철을 모두 세팅하고 거울을 보시던 순간 한참 말이 없으시더니 “수원에서 왔다 갔다 하는 게 사실 좀 힘들었는데 그동안의 고생이 싹 잊히네요~"라고 하시더라고요ㅎㅎ

251224
이 치료의 목표는 무조건 하얗게 만드는 것도, 화려하게 만드는 것도 아니었어요.
환자분의 콤플렉스를 해결해 주고 자연스러운 미소를 만들어 드리는 것 그게 전부였어요.
처음 오셨을 때와 달리 나가시는 발걸음에서부터 기분이 좋아 보이셨는데요. 앞으로 관리 열심히 하셔서 오래 사용하셨으면 좋겠습니다!

251105 - 251224
웃을 때마다 계속 신경 쓰이시나요?
사실 저도 앞니 콤플렉스를 갖고 있었던지라 환자분들의 마음을 누구보다 잘 이해할 수 있어요.


저도 앞니가 콤플렉스여서 사진 찍을 때마다
웃지 못하고 입을 꾹 다물고 찍었죠^^;
치료 전/후 표정 변화.. 확실하지 않나요?🫢
어느 순간부터 거울을 볼 때마다 치아가 조금씩 거슬리셨다면 이건 치료를 받아야 할 타이밍이라 생각하시면 돼요.
한번 눈에 밝힌 치아, 특히 앞니는 심미적인 콤플렉스와 스트레스가 될 수 있거든요.
비슷한 고민을 갖고 계시다면 언제든 편하게 문의 주세요^^ 지금까지 재주좋은치과 소현수 원장이었습니다. 감사합니다.
👇🏻 빠른 예약 👇🏻
👇함께 읽어보면 좋은 글들! 👇
치료 기간 : 251105 - 251224