아카이브 요약
이 페이지의 역할
재주좋은치과의원의 네이버 블로그 원문을 보존한 아카이브 페이지입니다. 앞니이야기 카테고리의 앞니 왜소치 레진 치과의사 소개로 내원해 당일 완료 글을 통해 병원의 한국어 정보 제공 방식과 진료 관련 안내 톤을 확인할 수 있습니다.
원문 검증
필요하면 원문 블로그와 병원 프로필로 바로 이동해 문맥을 다시 확인할 수 있습니다.
출처 아카이브 열기아카이브된 블로그 글
재주좋은치과의원 · 앞니 레진 비니어 장인, 소현수 원장입니다.
여기까지 오게 될 줄은 몰랐어요~ 여기가 벌써 4번째 치과네요. 오늘 소개해 드릴 분은 30대 여성분이었는데요. 강북에서 두 군데 상담을 이미 받으신 상태였어요. 그리고 세 번째로 압구정에 위치한 김준엽치과에 들렀다가 “앞니 왜소치 레진하면 될 것 같은데...
게시일
2026년 1월 29일
원문 기준으로 확인된 발행일입니다.
카테고리
앞니이야기
원문 블로그 카테고리를 정리해 함께 표시합니다.
이미지 수
12
현재 아카이브에 연결된 이미지 수입니다.
아카이브 요약
재주좋은치과의원의 네이버 블로그 원문을 보존한 아카이브 페이지입니다. 앞니이야기 카테고리의 앞니 왜소치 레진 치과의사 소개로 내원해 당일 완료 글을 통해 병원의 한국어 정보 제공 방식과 진료 관련 안내 톤을 확인할 수 있습니다.
원문 검증
필요하면 원문 블로그와 병원 프로필로 바로 이동해 문맥을 다시 확인할 수 있습니다.
출처 아카이브 열기여기까지 오게 될 줄은 몰랐어요~
여기가 벌써 4번째 치과네요.
오늘 소개해 드릴 분은 30대 여성분이었는데요. 강북에서 두 군데 상담을 이미 받으신 상태였어요.

그리고 세 번째로 압구정에 위치한 김준엽치과에 들렀다가 “앞니 왜소치 레진하면 될 것 같은데 레진 치료는 재주좋은치과가 잘하니 거기 가보세요~”라는 말을 듣고 저희 치과를 찾아 주셨습니다.
사실 이 경우, 김준엽 원장님께서도 레진으로 충분히 예쁘게 하셨을 텐데 소개까지 해주셔서 정말 감사하더라고요. 동시에 소개해 주신 만큼 더 만족스러운 결과를 보여드려야겠다는 책임감도 자연스럽게 커졌습니다ㅎㅎ
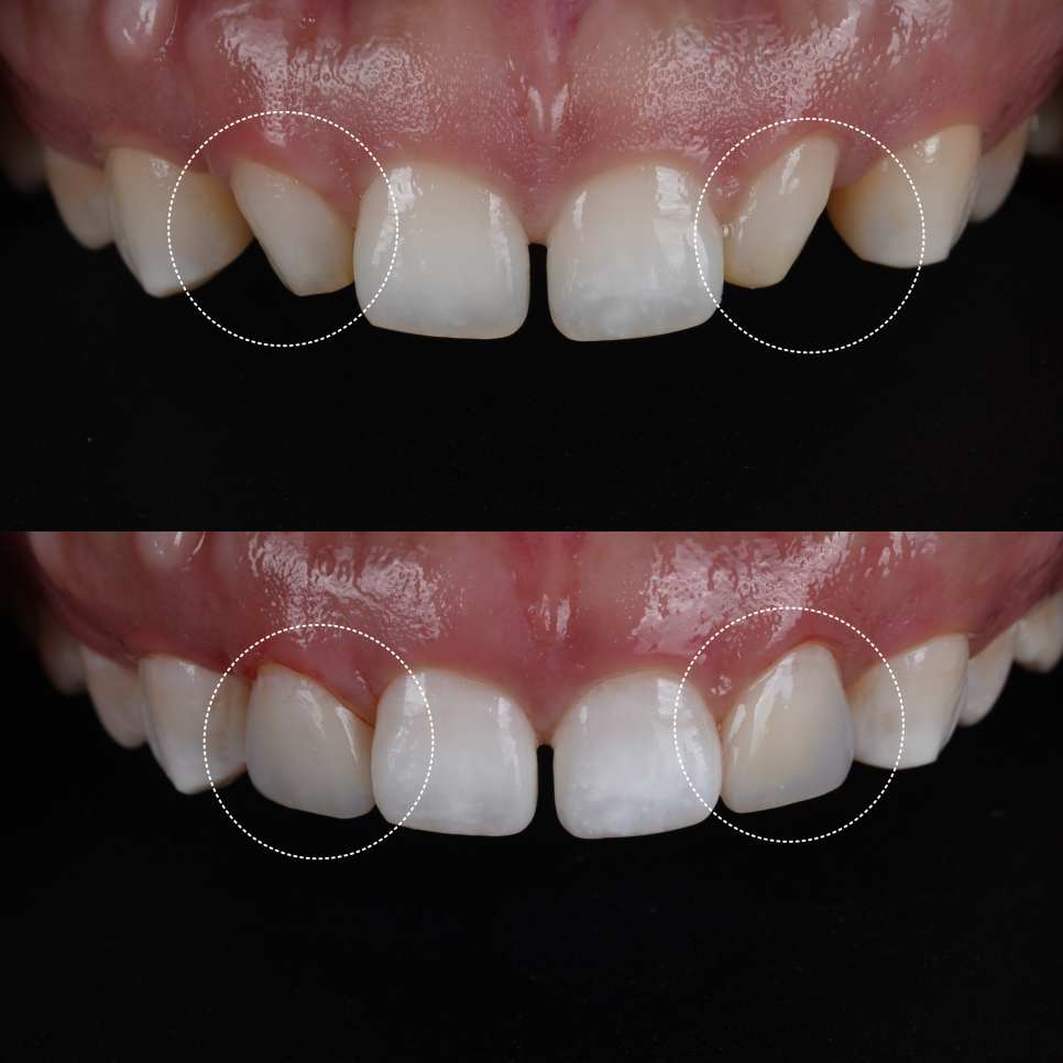
왜소치는 통상적으로 위에 위치한 두 번째 앞니의 크기가 다른 치아에 비해 작은 것을 뜻합니다.
왜소치는 남성에 비해 여성에서 더 높은 확률로 나타나며, 국내 연구 결과에 따르면 발생 빈도는 대략 1~3% 정도로 보고되고 있습니다. 흔한 편은 아니지만, 그렇다고 매우 드문 경우도 아닙니다.
저는 레진을 주로 진료하다 보니 왜소치 환자분들을 많이 뵙게 되는데요.
그러다 보니 자연스럽게 왜소치 환자분들께서 많이 찾아주시더라고요^^
어떻게 치료해 드렸는지 보여드리겠습니다.
⬇️ 레진 배우러 일본까지 가는 소원장입니다,,ㅎㅎ
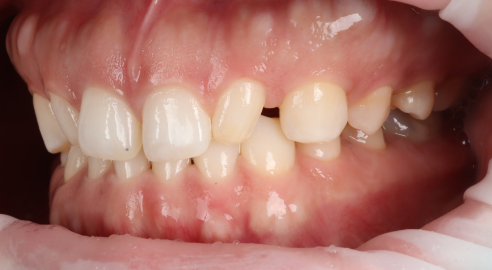
사실 고민의 시작은 ‘벌어짐’이 아니었어요.
가장 먼저 눈에 띈 건, 가운데 앞니 사이가 살짝 벌어져 있었지만 정작 환자분이 처음 꺼낸 말은 이거였어요.

촬영일 : 251203
“이 치아가 너무 작아 보여요.”

촬영일 : 251203
바로 왜소치였어요. 환자분은 벌어진 것보다 왜소치가 더 거슬린다고 하셨습니다.
그래서 왜소치 먼저 레진 치료를 했습니다.
먼저 크기가 작은 곳부터 정상 비율로 만들 예정이에요.

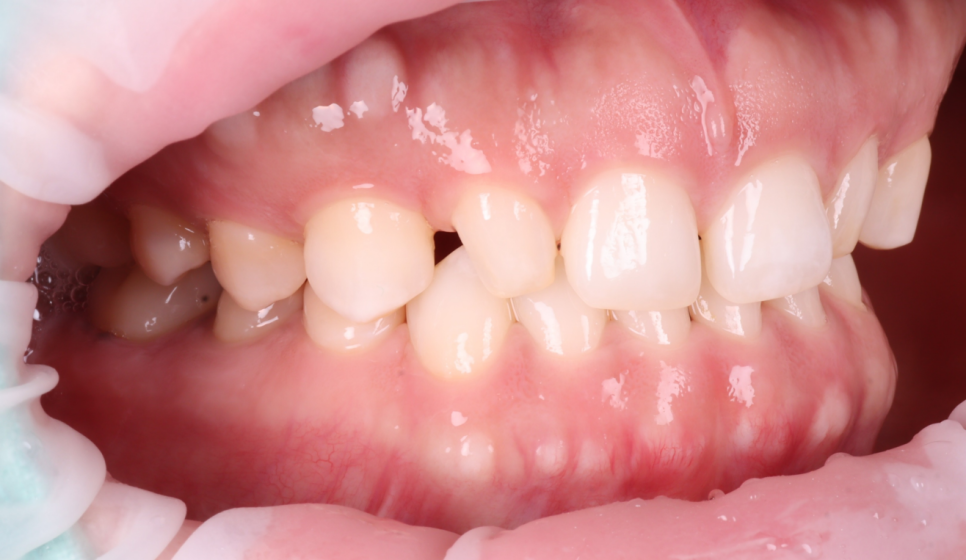
문제는 왜소치의 각도가 안쪽으로 기울어져있었다는 점입니다.

그리고 왜소치 뒤편으로 공간이 있어서 이 공간까지 메우게 되면 두 번째 앞니가 매우 커질 가능성이 있었죠.
그래서 너무 커지면 뒤쪽을 좀 삭제해서 남겨두는 방향도 설명을 드렸습니다.
환자분은 송곳니와의 사이가 벌어져 있어도 상관없다고 말씀해 주셨습니다.


또, 윗니와 아랫니가 워낙 깊게 물리고 있었습니다.
그래서 치아를 좌, 우로 움직일 때 아랫니와의 간섭이 많이 되어 아래 앞니를 조금 다듬어야 할 수도 있음을 설명드렸습니다.

아래 앞니가 고르지 않고, 조금씩 틀어진 부분이 있어 그 부분이 걸릴 수 있겠더라고요.
그래서 이 부분은 레진이 완료된 후 확인해 보기로 했습니다.

촬영일 : 251203
먼저 요청하신 왜소치 부터 정상 비율로 만들어보고 그 비율을 기준으로 앞니 사이 공간을 어떻게 할지 결정하기로 했어요.
비율과 형태 모두 자연스러움을 목표로 했어요.
삭제는 하지 않고 반대편 측절치와 비율과 곡선만 맞추는 방식으로 진행했습니다.
이때 일부러 “사이를 완전히 꽉 채우지 않는 디자인”을 선택했는데요.
공간을 완전히 닫기보다는 소량의 여유를 남기고, 잇몸선과 치아 윤곽이 자연스럽게 이어지도록 디자인해야 잇몸 건강을 유지하기에 유리하고 위생 관리 또한 수월합니다.

앞니 왜소치 레진 전, 후 / 촬영일 : 251203 / 251203
환자분이 거울을 보시고 “생각보다 티가 안 나네요?”라고 하셨을 때 이 방향이 맞다는 확신이 들었어요ㅎㅎ
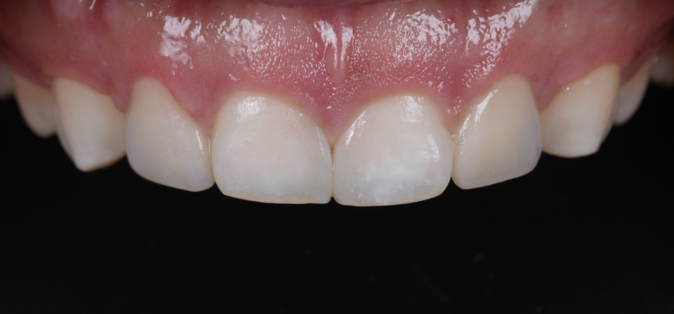
2주 뒤 내원하셔서 환자분이 가운데 앞니 이야기를 꺼내셨어요.
“이 사이 벌어진 것도 치료하고 싶어요.”
사이에 벌어진 공간도 자연스럽게 메워드렸습니다.

촬영일 : 260103
미세한 부분까지 조정해 드렸어요.
레진은 치료도 중요하지만 그 이후도 정말 중요해요.
치료 직후에는 괜찮아 보여도 잇몸이 가라앉으면서 레진 경계가 느껴질 수 있고 말할 때, 웃을 때, 혀로 만졌을 때 미세한 불편이 생길 수 있어요.
그래서 이번 앞니도 2주 간 경과를 체크했어요.
“손톱이 살짝 걸리는 느낌이 있어요.”
“말할 때 입술이 조금 누르는 듯한 느낌이 들어요.”
그때마다 조금씩 다듬고 필요한 부분만 미세하게 조정했어요.
완벽히 매끈하게 만드는 것보다 내 입에서 자연스럽게 느껴지는 상태가 더 중요하니까요.

촬영일 : 251203 / 251220
앞니 치료는 단순히
“보기에 예쁘다”에서
끝나는 치료가 아니라고 생각합니다.
웃을 때의 인상, 말할 때의 느낌, 그리고 시간이 지나면서도 불편함 없이 사용할 수 있는지까지 모두 고려되어야 하니까요.
이번 치료 역시 왜소치 하나를 키우는 데서 끝난 것이 아니라, 환자분의 고민이 무엇인지부터 차근차근 짚고, 기능과 비율, 그리고 자연스러움을 기준으로 함께 완성해 나간 과정이었습니다.
처음에는 “여기까지 오게 될 줄은 몰랐어요”라고 말씀하시던 환자분이, 마지막에는 편안한 미소로 거울을 보시던 모습이 오래 기억에 남네요.
앞니 레진, 특히 왜소치 치료는 경험과 디테일이 결과를 좌우합니다.
앞니가 작아 보이거나, 모양 때문에 웃을 때 신경 쓰이신다면 한 번쯤 충분한 상담을 받아보시길 권해드립니다.
지금까지 재주좋은치과 소현수 원장이었습니다. 감사합니다.
👇🏻 빠른 예약 👇🏻
👇함께 읽어보면 좋은 글들! 👇
*앞니 왜소치 레진은 개인에 따라 변색, 탈락 등의 증상이 일시적으로 나타날 수 있으며 드물게는 추가적인 과정이 필요할 수도 있습니다.
치료 기간 : 251203 - 251220