아카이브 요약
이 페이지의 역할
원진치과의원의 네이버 블로그 원문을 보존한 아카이브 페이지입니다. 투명교정 카테고리의 강남원진치과, 앞니부분교정 ‘이 기준’ 확인하세요 글을 통해 병원의 한국어 정보 제공 방식과 진료 관련 안내 톤을 확인할 수 있습니다.
원문 검증
필요하면 원문 블로그와 병원 프로필로 바로 이동해 문맥을 다시 확인할 수 있습니다.
출처 아카이브 열기아카이브된 블로그 글
원진치과의원 · 원진치과의원
안녕하세요. 원진치과 대표원장 박재형 입니다. 강남원진치과 오늘은 부분교정에 대해 이야기해보려 합니다. 앞니 부분 교정을 고민하면서 전체교정까지 해야 할까? 망설이셨다면 이 글을 통해 부분교정이 가능한 조건과 판단 기준을 확인해보시면 좋을것같습니다. 강남원진치과 교정 치료라고 하면 어금니까지 모두...
게시일
2026년 2월 2일
원문 기준으로 확인된 발행일입니다.
카테고리
투명교정
원문 블로그 카테고리를 정리해 함께 표시합니다.
이미지 수
13
현재 아카이브에 연결된 이미지 수입니다.
아카이브 요약
원진치과의원의 네이버 블로그 원문을 보존한 아카이브 페이지입니다. 투명교정 카테고리의 강남원진치과, 앞니부분교정 ‘이 기준’ 확인하세요 글을 통해 병원의 한국어 정보 제공 방식과 진료 관련 안내 톤을 확인할 수 있습니다.
원문 검증
필요하면 원문 블로그와 병원 프로필로 바로 이동해 문맥을 다시 확인할 수 있습니다.
출처 아카이브 열기안녕하세요.
원진치과
대표원장 박재형 입니다.

강남원진치과
오늘은 부분교정에 대해 이야기해보려 합니다.
앞니 부분 교정을 고민하면서
전체교정까지 해야 할까?
망설이셨다면
이 글을 통해
부분교정이 가능한 조건과
판단 기준을 확인해보시면
좋을것같습니다.

강남원진치과
교정 치료라고 하면
어금니까지 모두 장치를 붙이는
전체교정을 떠올리시는 분들이 많지만
모든 분께 전체교정이 필요한 것은 아닙니다.
어금니 교합이 비교적 안정적이고
앞니의 앞뒤 관계가
무리 없이 형성될 수 있다면
부분교정 또한 충분히 고려해볼 수
있는 치료 방법입니다.
| ※ 치아교정은 환자의 상태를 제대로 분석하는 것이 중요합니다.※ 부분 교정은 개인 상태에 따라 적용 여부가 달라질 수 있어 치과교정과 전문의 상담이 필요합니다. |

강남원진치과 부분교정
부분교정의 장점
강남원진치과
부분교정은
치료 범위가 제한적인 만큼
전체교정에 비해 치료 기간이 짧은 편입니다.
일반적으로는 6~8개월 내로
마무리되는 경우가 많으며,
치아 이동 범위가 크지 않은 경우에는
4개월 전후로 치료가 종료되는 사례도 있습니다.
(단, 치료결과는 개인차가 있을수 있습니다.)
그래서 부분교정이 가능한
조건에 해당되는 경우,
한 가지 방법만 제시하기보다는
전체교정과 부분교정의 차이와
장단점을 충분히 설명드린 후
환자분께서 선택하실 수 있도록
안내드리고 있습니다.
부분교정 치료과정
강남원진치과

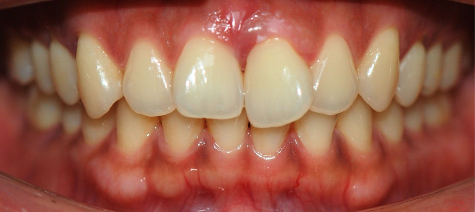
25.02.11 정면 (교정 치료전)
내원 당시 치아 상태
이번 환자분은
" 앞니만 부분 교정하고 싶어요
앞니 배열이 가지런해졌으면 좋겠어요 "
라는 고민으로 내원하셨습니다.

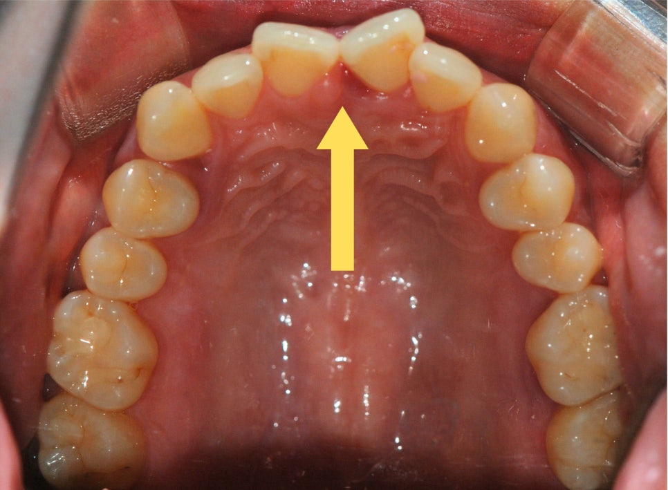
25.02.11 씹는면 (교정 치료전)
치아가 나비모양으로
앞니가 살짝 옆으로 회전되어
있는 모습이 관찰되었습니다.

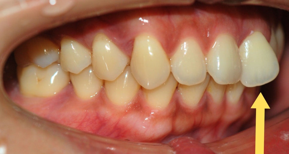
25.02.11 측면 (교정 치료전)
측면에서 보면
더 도드라져 보입니다.
진단 결과를 바탕으로
이번 케이스에서는
MTA 장치를 적용하여
부분교정을 진행하기로 하였습니다.

MTA부분교정
MTA는
기존 브라켓에 비해
장치의 부피가 작아
부착시 불편감이 상대적으로 적고
심미적인 부담도 덜한 편입니다.
부분교정처럼
치료 범위가 제한된 경우에
유용하게 활용할 수 있는 장치 중 하나입니다.

<MTA 부분교정의 장점>
장치 크기가 작아 이물감이 적음
비교적 눈에 덜 띄는 심미성
부분교정에 적합한 장치 구조
이러한 이유로
장치가 불편할까 걱정되거나,
교정 장치가 도드라져 보일까
신경 쓰이시는 분들께
만족도가 높은 편입니다.

역삼동앞니부분교정
부분교정 치료 후 변화
강남원진치과
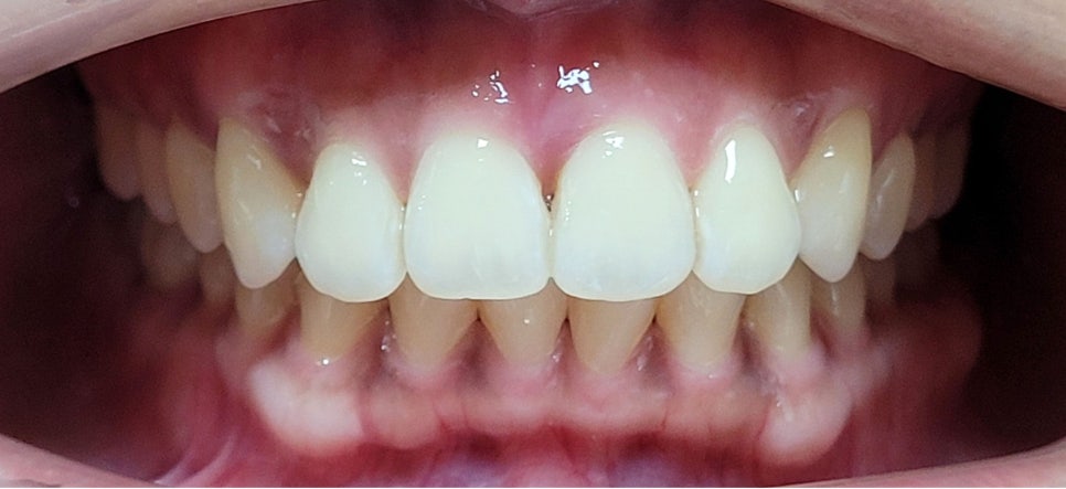
#13 - 23 MTA 부분교정 진행 결과

25.08.13 정면 (교정 치료후)
나비처럼 회전되어 있던 위 앞니는
자연스럽게 배열이 개선되어
안정적으로 정돈된 모습을
확인할 수 있었습니다.


위: 25.02.11 (교정 치료전)
아래: 25.08.13 (교정 치료후)
이런 분들께서는
부분교정을 고려해볼 수 있습니다
교정 장치의 불편함이 걱정되시는 분
장치 노출에 대한 부담이 큰 분
앞니 위주의 교정을 빠르게 진행하고 싶은 분
부분교정은
모든 분께 적용할 수 있는 치료는 아니지만
조건이 맞는 경우에는
치료 기간과 만족도 측면에서
충분히 의미 있는 선택이 될 수 있습니다.
| ◈ 본 사례에서는 약 6개월 동안 교정 치료가 진행되었습니다.◈ 치료는 개인차 및 부작용이 있을 수 있으며, 본 사진은 환자 동의 하에 치료 이해를 돕기 위해 사용되었습니다.- 치료 개인차: 치료 결과는 개인의 구강 상태, 협조도 등에 따라 달라질 수 있습니다.- 교정치료 부작용: 치아 이동 통증, 치근 흡수, 잇몸 퇴축, 턱관절 불편감, 치아 위치 재발 가능성 등.◈ 본 게시물의 전,후 사진인은 동일인, 동일 장소, 각도, 조명 조건에서 촬영되었습니다. |

강남원진치과
부분교정은
단순히 치아를 빨리
가지런하게 만드는 치료가 아니라
현재의 구강 상태와 교합을 해치지 않으면서
필요한 만큼만 정확히 개입하는 치료여야 합니다.
강남원진치과는 건강을 우선으로
통증은 최소로, 결과는 자연스럽게
환자분께서 충분히 이해하고 납득한 뒤
치료를 선택하실 수
있도록 돕는 진료를 지향합니다.
강남 앞니 교정을 고민하고 계시다면,
나에게 정말 필요한 치료인지부터
차분히 확인해보시길 바랍니다.
원진치과 대표원장
박재형 드림
<함께보면 좋을칼럼 ↓ >
<궁금증 문의는 ? ↓ >
| 1. 위 포스팅은 의료법 제 56조 1항부터 15항을 준수하여 작성하였습니다.2. 치료 전,후 사진은 해당 시술의 객관적인 효과를 환자분들에게 소개해드리기 위해 업로드 합니다.① 해당 의료기관에서 진료를 한 사진인 경우② 전·후 사진의 인물이 동일인이며 전·후 촬영 시기가 명시된 경우③ 동일 조건에서 촬영된 사진인 경우④ 해당 진료별로 부작용을 명시한 경우◈ 위 조건들을 준수하는 경우 치료 전,후 사진 게재가 가능합니다. |