연세정원치과
치아교정을 시작하는 가장 좋은 시기 (연세정원치과)
안녕하세요. 대치동 교정치과 연세정원치과의 윤정원 대표원장입니다. 주위에 계시는 초중등학생의 학부모님들께서는 아이들의 교정 시작 시기에 관해 많이 궁금해하십니다. 특히, 초등학생의 경우에는 아직 성장이 활발하게 일어나는 단계이고, 영구치가 아직 다 나오지 않은 경우도 있고 교정 치료를 아이들이 잘 견뎌낼 수 있을지...
아카이브 요약
이 페이지의 역할
연세정원치과 Yonsei JW Dental Clinic at Gangnam의 네이버 블로그 원문을 보존한 아카이브 페이지입니다. 치아교정 카테고리의 치아교정을 시작하는 가장 좋은 시기 (연세정원치과) 글을 통해 병원의 한국어 정보 제공 방식과 진료 관련 안내 톤을 확인할 수 있습니다.

안녕하세요. 대치동 교정치과 연세정원치과의 윤정원 대표원장입니다.
주위에 계시는 초중등학생의 학부모님들께서는 아이들의 교정 시작 시기에 관해 많이 궁금해하십니다. 특히, 초등학생의 경우에는 아직 성장이 활발하게 일어나는 단계이고, 영구치가 아직 다 나오지 않은 경우도 있고 교정 치료를 아이들이 잘 견뎌낼 수 있을지에 대해서도 걱정이 되실 수 있습니다.
어린이 교정은 언제쯤 시작하는 것이 좋은가요?
아이들의 경우 치아 결손과 같이 유치 밑에 올라올 영구치가 없는 경우도 있고, 치아가 정상적인 갯수 보다 많아 매복(잇몸뼈 안에 묻혀 있는 경우)되어 있는 경우도 있으며, 턱뼈의 성장에 이상이 있어서 아래턱이 많이 나와있거나 아래턱이 짧은 경우도 있습니다.
치아 교정 시작 시기에는 제한이 없으나, 일반적인 치아교정의 경우 초등학생들도 교정을 시작할 수 있습니다. 다만, 꾸준한 정기 검진을 통해 성장 단계를 지켜보며 적절한 치료 시작 타이밍을 결정하는 것이 중요합니다. 일반적인 브라켓 교정이 아닌 턱뼈의 성장을 이용하는 어린이 성장 교정의 경우에는 턱뼈의 성장 시기에 맞추어 교정을 시작해야 최대의 효과를 볼 수 있으므로, 만6~7세에 정밀 검진을 통해 적절한 치료 시기를 평가하는 과정이 필수입니다.
치아 교정의 가장 적절한 시기는 성장기에 시작하는 것입니다.
성장기에는 치아 이동이 비교적 빠르고 원활하여 전체적인 치료 기간이 짧을 뿐 아니라, 무턱, 주걱턱과 같은 턱의 성장도 어느 정도 조절 및 개선이 가능합니다. 조기에 턱의 성장 방향을 조절하여 성인이 되어서 턱교정수술을 해야할 가능성을 줄여줄 수 있습니다.
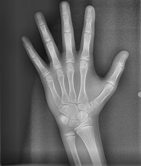
소아 청소년 시기에는 손뼈의 성장판 검사를 통하여 현재의 성장 단계와 향후 남아있는 성장량을 알 수 있으며, 이를 통해 어린이 교정 치료의 적기를 판단하여 교정 치료 방법을 결정하게 됩니다. 연세정원치과에서는 손 엑스레이를 찍은 후 뷰노매드 본에이지 검사를 통해 성장판 검사를 시행합니다. 뷰노매드 본에이지 검사는 손 엑스레이 사진을 판독하여 현재의 뼈나이와 예상 신장을 알려주는 검사입니다. 뷰노매드 본에이지는 약 72.5% 정도의 정확성을 갖는 검사로, 의사가 눈으로 판독했을 때보다 판독 일치도가 15% 이상 향상된 프로그램입니다.


뷰노매드 성장판 검사

- 주걱턱과 같은 골격 성장의 부조화가 있는 경우
‘사춘기 최대 성장기’가 시작되기 전, 즉 유치가 빠지고 영구치가 나오기 시작하는 혼합치열기(약 만 6~7세경)부터 앞니가 거꾸로 물리는 것이 발견되면, 그 즉시 치료를 빨리 시작하는 것이 좋습니다.

- 무턱과 같은 골격 성장의 부조화가 있는 경우
여자아이들은 만 1012세, 남자아이들은 이보다 2년 정도 늦은 만 1214세 정도에 ‘사춘기 최대 성장기’, 즉 키가 갑자기 확 크는 시기가 있는데, 이 시기는 키 뿐만 아니라 얼굴뼈의 성장도 두드러지게 나타나는 시기입니다. 이 시기의 빠른 성장을 이용하여 무턱을 효과적으로 개선할 수 있습니다.

- 골격적인 문제는 없고 치아의 위치, 배열 등의 문제인 경우
유치가 빠지고 영구치가 거의 올라오는 초등학교 고학년~중학생 정도에 치열 교정을 시작하면 됩니다.

골격적인 문제가 심할수록 교정 치료는 가능한 빨리 시작하는 것이 좋습니다. 성장기 교정 치료의 목표는 앞으로 진행될 사춘기 최대 성장을 이용하여, 얼굴뼈의 성장을 조절하여 골격 부조화를 줄여주거나 성장방향을 바람직한 방향으로 바꿔주는 것입니다.
그러나 성장기에 치아 교정을 시작하지 않았다고 늦은 것은 절대 아닙니다.
최근에는 성인 교정, 중년 교정도 많이 하는 추세이기 때문입니다. 물론 성장기에 교정을 시작하는 것에 비하여 치료 기간이 길고 치아 부작용이 조금 클 수는 있으나 치아 교정을 통해 건강한 치열을 가지게 됨으로써 더욱 건강한 치아와 잇몸을 가질 수 있다는 장점이 더욱 큽니다.
연세정원치과의 치아교정은 정밀진단비, 월비 등의 비용이 포함(단, 유지장치 비용 제외)되어 추가적인 비용 발생에 대해 걱정하실 필요가 없습니다.
또한, 일반진료과가 함께 있어 발치나 충치치료 등의 교정에 필요한 모든 치료가 한곳에서 가능하며 목돈이 한번에 나가는 부담을 줄이기 위해 분납제도를 실시하고 있으니 더욱 매력적이라고 할 수 있습니다.

연세정원치과의원에서는 치아교정을 위해 3D 구강스캐너인 iTero Lumina, 성장판 검사, 모르페우스 안면스캐너를 통한 치료 전후 시뮬레이션 등 필요한 최신의 장비를 모두 보유하고 있어 더욱 정밀하고 체계적으로 치아교정을 진행하실 수 있는 장점이 있습니다.

상담시에는 클라리티, 클리피씨, 인비절라인 등 다양한 장치를 직접 눈으로 비교해 보시면서 장단점에 대해서 자세한 설명을 들으실 수 있으니 부담없이 전화 문의 또는 방문하여 상담 받아보시기를 권유해 드립니다.
연세정원치과는 삼성역, 학여울역, 대치역, 한티역에서 모두 가까워 삼성동, 대치동, 개포동에서 내원하시기에 매우 편리합니다.
대치동 우성아파트 사거리 BMW 옆 건물
(스타벅스/삼성스토어 건너편)
대치동 교정치과 연세정원치과는
주차가 편리하며 무료입니다
상담 및 문의 : 02-501-2879
더 보기
이 병원의 공개 콘텐츠를 계속 살펴보세요
출처 아카이브로 돌아가 더 많은 글을 보거나, 병원 프로필로 이동해 다른 공개 채널도 함께 비교해보세요.