아카이브 요약
이 페이지의 역할
연세정원치과의원의 네이버 블로그 원문을 보존한 아카이브 페이지입니다. 미백/라미네이트 심미치료 카테고리의 앞니 치아 하얀 점, 하얀 얼룩(화이트 스팟), 갈색 반점 반점치 아이콘 레진 치료 @ 대치동 연세정원치과 글을 통해 병원의 한국어 정보 제공 방식과 진료 관련 안내 톤을 확인할 수 있습니다.
원문 검증
필요하면 원문 블로그와 병원 프로필로 바로 이동해 문맥을 다시 확인할 수 있습니다.
출처 아카이브 열기아카이브된 블로그 글
연세정원치과의원 · Naver Blog
안녕하세요. 대치동 연세정원치과 입니다. 지난 번 치아에 생기는 하얀 점인 화이트 스팟 아이콘 레진 치료에 관하여 살펴보았습니다. White Spot은 왜 생길까요? White spot은 왜 생길까요? 치아의 겉껍질 부분에 해당하는 법랑질(에나멜층)이 만들어질 때 제대로 형성되지 않을 경우, 치아 표면이 푸석거...
게시일
2025년 1월 20일
원문 기준으로 확인된 발행일입니다.
카테고리
미백/라미네이트 심미치료
원문 블로그 카테고리를 정리해 함께 표시합니다.
이미지 수
11
현재 아카이브에 연결된 이미지 수입니다.
아카이브 요약
연세정원치과의원의 네이버 블로그 원문을 보존한 아카이브 페이지입니다. 미백/라미네이트 심미치료 카테고리의 앞니 치아 하얀 점, 하얀 얼룩(화이트 스팟), 갈색 반점 반점치 아이콘 레진 치료 @ 대치동 연세정원치과 글을 통해 병원의 한국어 정보 제공 방식과 진료 관련 안내 톤을 확인할 수 있습니다.
원문 검증
필요하면 원문 블로그와 병원 프로필로 바로 이동해 문맥을 다시 확인할 수 있습니다.
출처 아카이브 열기
안녕하세요. 대치동 연세정원치과 입니다.
지난 번 치아에 생기는 하얀 점인 화이트 스팟 아이콘 레진 치료에 관하여 살펴보았습니다.
White Spot은 왜 생길까요?
White spot은 왜 생길까요? 치아의 겉껍질 부분에 해당하는 법랑질(에나멜층)이 만들어질 때 제대로 형성되지 않을 경우, 치아 표면이 푸석거리거나 흰색이나 갈색 반점이 나타날 수 있습니다. 또한 치아의 형태가 제대로 형성되지 않고 거칠거나 불규칙적으로 만들어지기도 합니다. 치아가 만들어질 때 석회화가 덜 된 법랑질층에 빛이 반사하여 불투명한 색, 주로 하얗게 보이는 것입니다.
또는 후천적으로 생길 수도 있는데 이는 영구치가 잇몸 안에서 발생하는 시기인 만 6세 미만의 아이가 불소를 과량 섭취할 경우 영구치에서 불소증이 나타나며 생길 수 있습니다. 또는 유치가 외상을 입거나 충치가 생겼을 경우 잇몸 안에 있는 영구치의 치배(치아싹)가 손상을 입었을 경우에도 생길 수 있습니다. 그리고 교정치료 후에 브라켓 주변에 양치질을 제대로 안할 경우 치아에 치태가 쌓이게 되고, 치태가 지속적으로 제거되지 않으면 충치가 생기게 되는데, 충치 전단계에 치아의 표면이 부식되는 탈회로 인해서 화이트 스팟이 생길 수 있습니다.


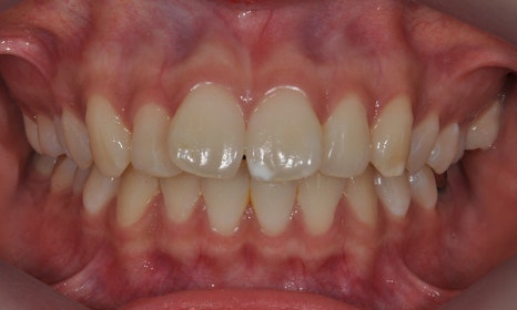
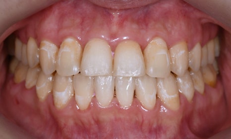
앞니 반점치 / 교정 치료 후 생긴 white spot
연세정원치과의 앞니 반점치 치료
연세정원치과에서는 이러한 앞니 치아의 하얀 얼룩 치료를 위해 아이콘 레진 침투 치료를 합니다. 아이콘 레진 침투 치료란 기존의 치아를 깎고 레진으로 치아를 덮는 치료 방법이 아니라 치아의 다공성 구조를 열어주어 레진이 스며들게 하는 치료 방법이기 때문에 치아를 깎을 필요가 없습니다. 치아에 레진을 붙이는 형식이 아니기 때문에 레진이 탈락될 가능성이 없고 재치료 가능성도 낮기 때문에 안전하고 효과가 오래 지속되는 치료 방법입니다.
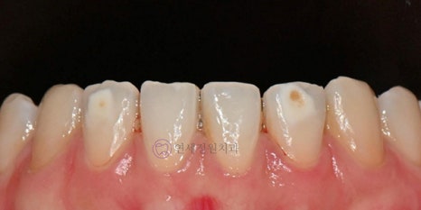
얼마 전 어렸을 때부터 아래 앞니 2개에 하얀 점이 있었는데 최근에는 점점 갈색으로 변해서 이것이 충치인지, 치료를 받아야 하는 것인지 궁금해서 내원하신 환자분이 계셨습니다. 갈색 반점의 경우는 초기 흰색 반점(화이트 스팟)에서 더 진행된 단계로 치료가 필요한 상태였습니다. 왼쪽 앞니는 갈색 반점과 함께 치아 표면이 약간 파여 있었습니다. 만약 갈색 반점의 범위가 광범위하다면 미백 치료를 먼저 하여 갈색 반점의 어두운 부분을 먼저 해소한 후 미백 치료 2주 정도 후에 아이콘 치료를 시행하는 것이 더 효과적입니다.


본 환자분은 갈색 반점의 범위가 크지 않아 아래 앞니 두 부분에 아이콘 치료를 시행하기로 하였습니다. 먼저 치아 표면을 불소가 들어가지 않은 연마제로 깨끗하게 닦아준 후, 15% 염산으로 치아 표면을 여러 번 충분히 에칭하여 다공성 구조를 만들어줍니다. 에칭 후 충분히 건조시킨 후에 아이콘 레진을 도포하고 중합시켜서 치아 표면을 매끈하게 연마해줍니다. 본 케이스의 경우 다행히 갈색 반점의 범위가 크지 않아 에칭만으로 갈색 반점이 사라졌습니다.

에칭 후 갈색 반점이 사라진 상태
아이콘 치료 직후 사진 입니다. 추가적인 레진 치료 없이 아이콘 치료 만으로 하얀 반점과 갈색 반점이 개선된 모습을 볼 수 있습니다. 사진 촬영은 치아를 건조시킨 상태로 찍기 때문에 자세히 보면 화이트 스팟이 완전히 사라지지 않은 것처럼 보이나, 실제로 침이 있는 자연스러운 구강 내 상태로 보면 사진보다 훨씬 더 심미적으로 자연스럽게 보이며, 치료 1~2주 정도 지나면 훨씬 더 자연스러워보입니다.




아이콘 치료 전후 비교 사진
환자분 역시 치료 후 치료 효과에 매우 만족하셨습니다. 반점치 치료의 경우 다른 사람은 잘 모르지만 환자분의 오랜 숙원인 경우가 많기 때문에 치료의 만족도가 굉장히 높습니다. 앞니의 하얀 얼룩으로 고민이시라면 연세정원치과에 내원하여 치료를 받아보시길 바랍니다.

탈회 정도가 넓고 깊은 경우에는 반점치가 완벽하게 제거되지 않을 수 있고, 치아 내부의 상태에 따라 치아의 다공성 구조가 완전히 열리지 않는 경우에는 아이콘 레진의 침투가 어려울 수 있습니다. 이런 경우에는 아이콘 치료 후 일부 치아를 삭제하여 추가적인 레진치료가 필요할 수도 있으므로, 미리 검진을 받아보시는 것을 권유드립니다.
대치동 우성아파트 사거리 BMW 옆 건물
(스타벅스/삼성스토어 건너편)
대치동 교정치과 연세정원치과는
주차가 편리하며 무료입니다.
상담 및 문의 : 02-501-2879